Здравствуйте, гость ( Вход | Регистрация )

Форум судебных медиков России
>   Правила раздела >

Здесь обсуждаются вопросы судебно-медицинской танатологии и судебно-медицинской гистологии.

 
75 страниц V « < 66 67 68 69 70 > »   
>

Просто иллюстрации, фотографии интересных случаев

Рейтинг  5
>
Chivas
сообщение 17.12.2018 - 13:45
Сообщение #1006


Мастер I
Group Icon
Группа: Модераторы
Регистрация: 17.02.2007
Из: Кубань
Пользователь №: 4 435


Эндокардит протеза


Эскизы прикрепленных изображений
Судебная медицина - Прикрепленное изображение Судебная медицина - Прикрепленное изображение
Пользователь offline
К началу страницы
+Ответить с цитированием
Витекс
сообщение 20.12.2018 - 12:37
Сообщение #1007


Опытный участник

Группа: СМЭ
Регистрация: 27.01.2013
Из: Удмуртская Республика
Пользователь №: 35 431


Геморрагическая лихорадка с почечным синдромом.

Сообщение отредактировал Медик - 17.01.2019 - 20:16


Эскизы прикрепленных изображений
Судебная медицина - Прикрепленное изображение
Пользователь offline
К началу страницы
+Ответить с цитированием
vjach_ws
сообщение 26.01.2019 - 20:28
Сообщение #1008


Участник форума

Группа: СМЭ
Регистрация: 22.05.2011
Пользователь №: 27 207


ВСС (SCD) в молодом возрасте.
Судебная медицина - Прикрепленное изображение
Пользователь offline
К началу страницы
+Ответить с цитированием
vjach_ws
сообщение 26.01.2019 - 20:42
Сообщение #1009


Участник форума

Группа: СМЭ
Регистрация: 22.05.2011
Пользователь №: 27 207


Истинное удвоение почки (висцеральные дизморфии).
Судебная медицина - Прикрепленное изображение
Пользователь offline
К началу страницы
+Ответить с цитированием
vjach_ws
сообщение 26.01.2019 - 21:08
Сообщение #1010


Участник форума

Группа: СМЭ
Регистрация: 22.05.2011
Пользователь №: 27 207


Мужчина, 37 л., на аутопсии - заместительный постинфарктный кардиосклероз в миокарде задней стенки ЛЖ сердца и коронарный тромбоз ПМВЛКА.
Судебная медицина - Прикрепленное изображениеСудебная медицина - Прикрепленное изображение

Сообщение отредактировал vjach_ws - 26.01.2019 - 21:29
Пользователь offline
К началу страницы
+Ответить с цитированием
vjach_ws
сообщение 26.01.2019 - 21:14
Сообщение #1011


Участник форума

Группа: СМЭ
Регистрация: 22.05.2011
Пользователь №: 27 207


Мужчина, 37 л., на аутопсии - морфология последствий ранее перенесших двух крупноочаговых трансмуральных ИМ:
-верхние трети межжелудосковой перегородки и передней стенки ЛЖ;
-верхушки, боковой и нижней (задней) стенок ЛЖ.
МАРС - множественные АСХ в полостях обоих желудочков сердца.
Судебная медицина - Прикрепленное изображение Судебная медицина - Прикрепленное изображение Судебная медицина - Прикрепленное изображение

Сообщение отредактировал vjach_ws - 26.01.2019 - 21:34
Пользователь offline
К началу страницы
+Ответить с цитированием
доктор морфолог
сообщение 28.03.2019 - 20:40
Сообщение #1012


Мастер I

Группа: СМЭ
Регистрация: 5.12.2013
Пользователь №: 38 421


Тромэмболия легочной артерии.Судебная медицина - Прикрепленное изображение

Сообщение отредактировал доктор морфолог - 28.03.2019 - 20:49
Пользователь offline
К началу страницы
+Ответить с цитированием
Hristov
сообщение 7.04.2019 - 20:21
Сообщение #1013


Участник форума

Группа: СМЭ
Регистрация: 22.01.2011
Из: Болгария
Пользователь №: 25 151


Красота, спасибо!
Пользователь offline
К началу страницы
+Ответить с цитированием
доктор морфолог
сообщение 12.04.2019 - 16:14
Сообщение #1014


Мастер I

Группа: СМЭ
Регистрация: 5.12.2013
Пользователь №: 38 421


Тот же случаи ТЭЛА с пристеночно прикрепленными фибриновыми нитями в стенку легочной артерииСудебная медицина - Прикрепленное изображение Судебная медицина - Прикрепленное изображениеСудебная медицина - Прикрепленное изображение


Эскизы прикрепленных изображений
Судебная медицина - Прикрепленное изображение
Пользователь offline
К началу страницы
+Ответить с цитированием
Медик
сообщение 19.04.2019 - 12:15
Сообщение #1015


Учитель
Group Icon
Группа: Модераторы
Регистрация: 16.05.2010
Пользователь №: 21 553


Аритмогенная дисплазия правого желудочка.
24 г.,муж.


Эскизы прикрепленных изображений
Судебная медицина - Прикрепленное изображение Судебная медицина - Прикрепленное изображение Судебная медицина - Прикрепленное изображение
Пользователь offline
К началу страницы
+Ответить с цитированием
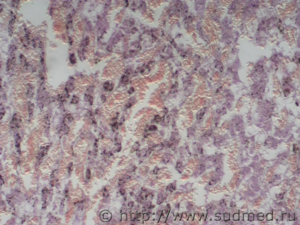
Медик
сообщение 24.04.2019 - 11:37
Сообщение #1016


Учитель
Group Icon
Группа: Модераторы
Регистрация: 16.05.2010
Пользователь №: 21 553


Угольный пигмент в надпочечнике.
Труп строителя метрополитена.

Сообщение отредактировал Медик - 24.04.2019 - 11:37


Эскизы прикрепленных изображений
Судебная медицина - Прикрепленное изображение Судебная медицина - Прикрепленное изображение
Пользователь offline
К началу страницы
+Ответить с цитированием
доктор морфолог
сообщение 28.04.2019 - 19:04
Сообщение #1017


Мастер I

Группа: СМЭ
Регистрация: 5.12.2013
Пользователь №: 38 421


Цитата(Медик @ 24.04.2019 - 14:37)
Угольный пигмент в надпочечнике.
Труп строителя метрополитена.

Угуу! Я не видел такого раньше! Оригинально!
Пользователь offline
К началу страницы
+Ответить с цитированием
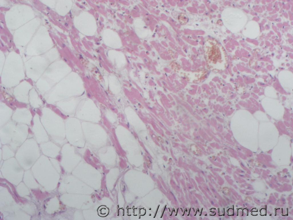
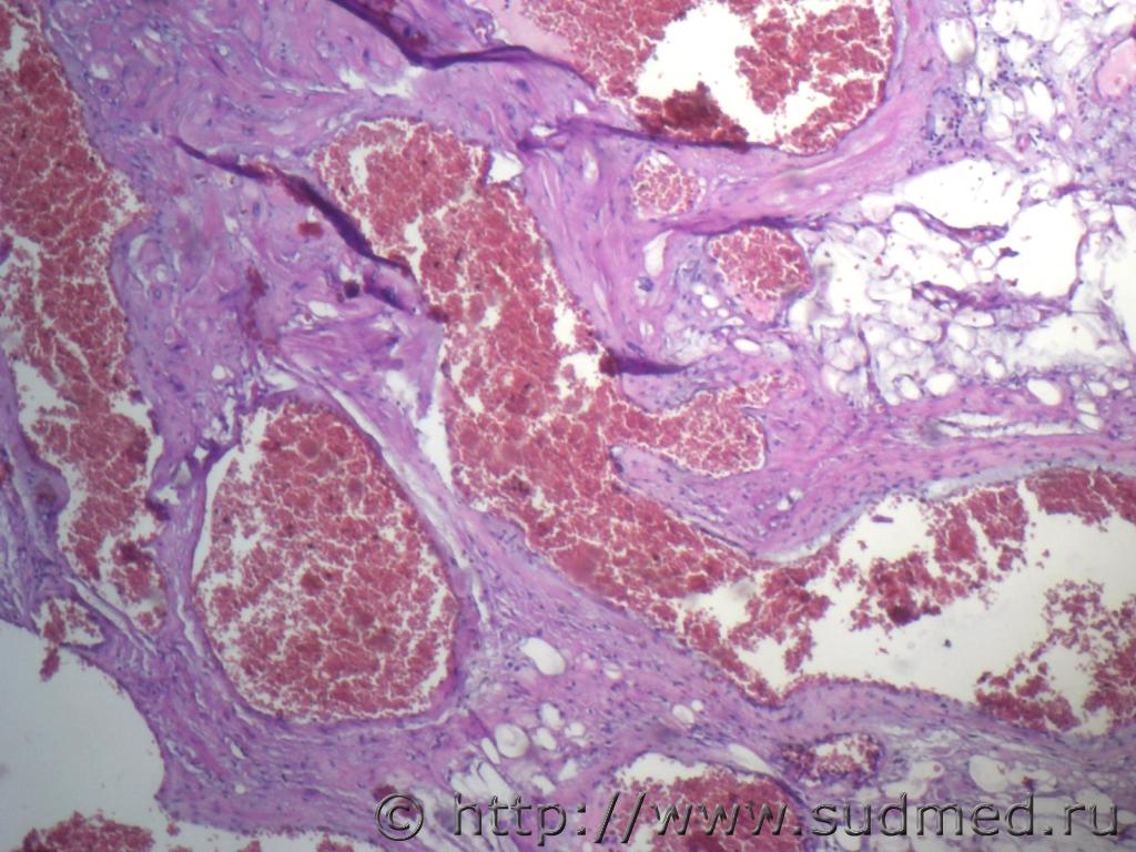
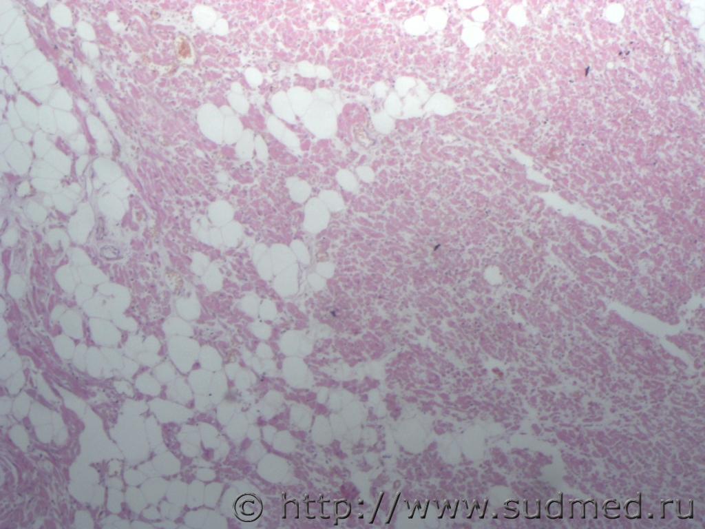
Медик
сообщение 21.06.2019 - 15:47
Сообщение #1018


Учитель
Group Icon
Группа: Модераторы
Регистрация: 16.05.2010
Пользователь №: 21 553


Гемангиома левого ушка сердца.


Эскизы прикрепленных изображений
Судебная медицина - Прикрепленное изображение Судебная медицина - Прикрепленное изображение
Пользователь offline
К началу страницы
+Ответить с цитированием
Hristov
сообщение 29.06.2019 - 17:22
Сообщение #1019


Участник форума

Группа: СМЭ
Регистрация: 22.01.2011
Из: Болгария
Пользователь №: 25 151


Менингиома и перелом правой височной кости, пересекающие сосцевидный отросток и ту часть, в которой находится среднее ухо.

Судебная медицина Судебная медицина
Пользователь offline
К началу страницы
+Ответить с цитированием
Hristov
сообщение 9.07.2019 - 15:14
Сообщение #1020


Участник форума

Группа: СМЭ
Регистрация: 22.01.2011
Из: Болгария
Пользователь №: 25 151


Судебная медицина Судебная медицина Судебная медицина

Инвагинация кишечника. Восьмимесячного ребенка женского пола, который первоначально имел единственный эпизод рвоты и лихорадки (37,8 ° C), обследовали амбулаторно в отделении педиатрии больницы общего профиля. Клиническое обследование не выявило характерных признаков острого живота, поэтому ребенка отправили домой. Девять-десять часов спустя ее состояние ухудшилось: она стала гиперпиретической и тупой. По дороге в университетскую детскую больницу младенец умер; смерть была подтверждена при поступлении, то есть примерно через 15 часов после появления симптомов. Вскрытие показало инвагинацию 8 см длиной дистальной части подвздошной кишки к слепой кишке. Не было никаких грубых или микроскопических признаков перитонита при вскрытии. Шок, вызванный кишечной непроходимостью с последующим некрозом кишечника, считался причиной смерти.

Сообщение отредактировал Hristov - 9.07.2019 - 15:14
Пользователь offline
К началу страницы
+Ответить с цитированием

75 страниц V « < 66 67 68 69 70 > » 



- Обратная связь Сейчас: 12.12.2025 - 01:40