Здравствуйте, гость ( Вход | Регистрация )

Форум судебных медиков России
>   Правила раздела >

Здесь обсуждаются вопросы судебно-медицинской танатологии и судебно-медицинской гистологии.

 
75 страниц V « < 67 68 69 70 71 > »   
>

Просто иллюстрации, фотографии интересных случаев

Рейтинг  5
>
Медик
сообщение 11.07.2019 - 13:28
Сообщение #1021


Учитель
Group Icon
Группа: Модераторы
Регистрация: 16.05.2010
Пользователь №: 21 553


ИФА.


Эскизы прикрепленных изображений
Судебная медицина - Прикрепленное изображение Судебная медицина - Прикрепленное изображение Судебная медицина - Прикрепленное изображение
Пользователь offline
К началу страницы
+Ответить с цитированием
Hristov
сообщение 11.07.2019 - 14:09
Сообщение #1022


Участник форума

Группа: СМЭ
Регистрация: 22.01.2011
Из: Болгария
Пользователь №: 25 151


Супер спасибо!
Пользователь offline
К началу страницы
+Ответить с цитированием
Hristov
сообщение 12.07.2019 - 15:20
Сообщение #1023


Участник форума

Группа: СМЭ
Регистрация: 22.01.2011
Из: Болгария
Пользователь №: 25 151


Судебная медицина - Прикрепленное изображение Судебная медицина - Прикрепленное изображение Судебная медицина - Прикрепленное изображение

Генитальные бородавки, саркоматозная опухоль, саркома капоши и ВИЧ.
Пользователь offline
К началу страницы
+Ответить с цитированием
Zosia
сообщение 14.07.2019 - 16:26
Сообщение #1024


Читатель

Группа: Участники
Регистрация: 10.06.2014
Пользователь №: 39 715


Цитата(Hristov @ 12.07.2019 - 16:20)


Генитальные бородавки, саркоматозная опухоль, саркома капоши и ВИЧ.

А второе фото- разве не меланома?
И еще, фото опухоли мозга и трещины в кости- я видела на 123Anatomy_human321, это не вы случайно? Потому что там были еще красивое фото гнойного вентрикулита, без пояснений, я полагаю- отогенного... так бы узнать права ли я.
Но если не ваше- сорри.
Пользователь offline
К началу страницы
+Ответить с цитированием
Hristov
сообщение 14.07.2019 - 22:27
Сообщение #1025


Участник форума

Группа: СМЭ
Регистрация: 22.01.2011
Из: Болгария
Пользователь №: 25 151


Привет, спасибо за ответ. Опухолевая рак легкого - саркоматозная карцинома.

Я не знаю этого 123Anatomy_human321.

Пользователь offline
К началу страницы
+Ответить с цитированием
Hristov
сообщение 25.07.2019 - 14:48
Сообщение #1026


Участник форума

Группа: СМЭ
Регистрация: 22.01.2011
Из: Болгария
Пользователь №: 25 151


Редкий случай Сиреномелия, также называемая синдромом русалки, представляет собой редкое врожденное уродство, при котором ноги сливаются воедино, образуя хвост русалки. Мать не знала, и ребенок умер при рождении. Легкие были заполнены жидкостью, и причиной смерти была асфиксия.

Судебная медицина - Прикрепленное изображениеСудебная медицина - Прикрепленное изображениеСудебная медицина - Прикрепленное изображениеСудебная медицина - Прикрепленное изображение



Пользователь offline
К началу страницы
+Ответить с цитированием
Клокин
сообщение 26.07.2019 - 04:27
Сообщение #1027


Магистр форума

Группа: СМЭ
Регистрация: 23.01.2008
Из: Сибирь
Пользователь №: 7 163


Еще и хвост есть. Реально впервые вижу smile.gif
Пользователь offline
К началу страницы
+Ответить с цитированием
Hristov
сообщение 27.07.2019 - 19:20
Сообщение #1028


Участник форума

Группа: СМЭ
Регистрация: 22.01.2011
Из: Болгария
Пользователь №: 25 151


Рад что понравилось. Легкие не были раздуты наполненный жидкостью, и мальчик не мог сделать первые вдохи, умер от асфиксии..
Ему было 35 недель, вес меньше 1100гр. яички находились в желудке, а почки имели поликистоз.
Пользователь offline
К началу страницы
+Ответить с цитированием
Медик
сообщение 30.07.2019 - 11:09
Сообщение #1029


Учитель
Group Icon
Группа: Модераторы
Регистрация: 16.05.2010
Пользователь №: 21 553


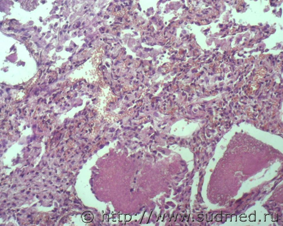
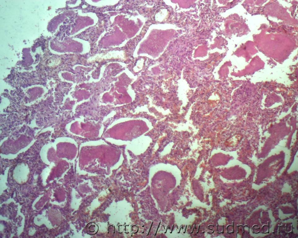
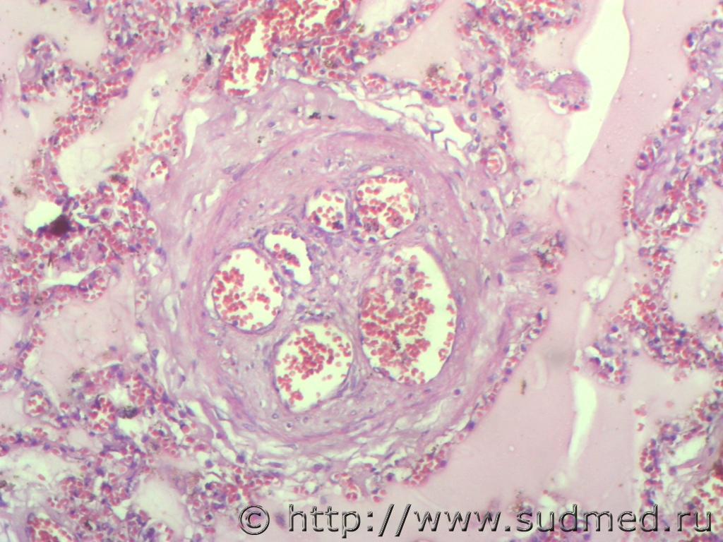
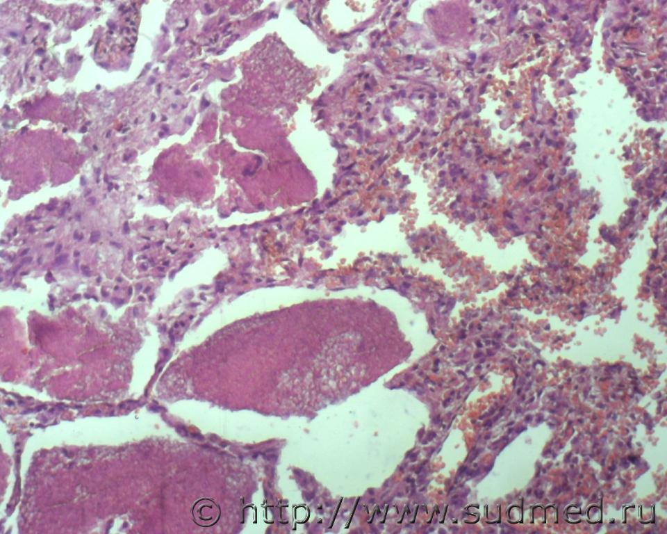
Реканализация тромба артерии лёгкого.


Эскизы прикрепленных изображений
Судебная медицина - Прикрепленное изображение
Пользователь offline
К началу страницы
+Ответить с цитированием
Zosia
сообщение 5.08.2019 - 21:13
Сообщение #1030


Читатель

Группа: Участники
Регистрация: 10.06.2014
Пользователь №: 39 715


Цитата(Hristov @ 25.07.2019 - 15:48)
Редкий случай Сиреномелия, также называемая синдромом русалки,

А где находилось анальное отверстие? В зоне хвоста или сокрыто в тканях сросшихся ног?
Пользователь offline
К началу страницы
+Ответить с цитированием
Hristov
сообщение 7.08.2019 - 16:41
Сообщение #1031


Участник форума

Группа: СМЭ
Регистрация: 22.01.2011
Из: Болгария
Пользователь №: 25 151


Вы можете видеть, что сзади есть нейропор, а не задний проход. Анус был ниже хвоста (это хвост).
Пользователь offline
К началу страницы
+Ответить с цитированием
ultravioletman
сообщение 7.08.2019 - 19:24
Сообщение #1032


Вновь прибывший

Группа: Участники
Регистрация: 21.09.2012
Пользователь №: 34 105


Щанц-марка, спасибо !
Пользователь offline
К началу страницы
+Ответить с цитированием
ultravioletman
сообщение 7.08.2019 - 20:29
Сообщение #1033


Вновь прибывший

Группа: Участники
Регистрация: 21.09.2012
Пользователь №: 34 105


Цитата(Hristov @ 25.07.2019 - 14:48)
Редкий случай Сиреномелия, также называемая синдромом русалки, представляет собой редкое врожденное уродство, при котором ноги сливаются воедино, образуя хвост русалки. Мать не знала, и ребенок умер при рождении. Легкие были заполнены жидкостью, и причиной смерти была асфиксия.

Судебная медицина - Прикрепленное изображениеСудебная медицина - Прикрепленное изображениеСудебная медицина - Прикрепленное изображениеСудебная медицина - Прикрепленное изображение


А мать жива? Не увидел такое в мой жизни, 1/60 000 случаев
Пользователь offline
К началу страницы
+Ответить с цитированием
Hristov
сообщение 8.08.2019 - 13:42
Сообщение #1034


Участник форума

Группа: СМЭ
Регистрация: 22.01.2011
Из: Болгария
Пользователь №: 25 151


Рад что вам понравилось. Да, мама выжила в добром здравии.
Пользователь offline
К началу страницы
+Ответить с цитированием
Hristov
сообщение 23.08.2019 - 14:07
Сообщение #1035


Участник форума

Группа: СМЭ
Регистрация: 22.01.2011
Из: Болгария
Пользователь №: 25 151


Женщина 68 лет Рак почки с множественными метастазами.

Судебная медицина - Прикрепленное изображениеСудебная медицина - Прикрепленное изображение

Мужчина,рак желудка с прорастанием передней стенки. Диффузный фибринозно-гнойный перитонит.

Судебная медицина - Прикрепленное изображение
Пользователь offline
К началу страницы
+Ответить с цитированием

75 страниц V « < 67 68 69 70 71 > » 



- Обратная связь Сейчас: 12.10.2025 - 19:12