Здравствуйте, гость ( Вход | Регистрация )

Форум судебных медиков России
>   Правила раздела >

Здесь обсуждаются вопросы судебно-медицинской танатологии и судебно-медицинской гистологии.

 
75 страниц V « < 68 69 70 71 72 > »   
>

Просто иллюстрации, фотографии интересных случаев

Рейтинг  5
>
Hristov
сообщение 8.10.2019 - 16:32
Сообщение #1036


Участник форума

Группа: СМЭ
Регистрация: 22.01.2011
Из: Болгария
Пользователь №: 25 151


56-летний мужчина. Случай меланомы с множеством метастазов в сердце, печени, легких, селезенке, кишечнике и надпочечниках.


Эскизы прикрепленных изображений
Судебная медицина - Прикрепленное изображение Судебная медицина - Прикрепленное изображение Судебная медицина - Прикрепленное изображение Судебная медицина - Прикрепленное изображение Судебная медицина - Прикрепленное изображение Судебная медицина - Прикрепленное изображение
Пользователь offline
К началу страницы
+Ответить с цитированием
Медик
сообщение 5.11.2019 - 11:14
Сообщение #1037


Учитель
Group Icon
Группа: Модераторы
Регистрация: 16.05.2010
Пользователь №: 21 553


Миокардит Фидлера.


Эскизы прикрепленных изображений
Судебная медицина - Прикрепленное изображение
Пользователь offline
К началу страницы
+Ответить с цитированием
Hristov
сообщение 21.11.2019 - 17:26
Сообщение #1038


Участник форума

Группа: СМЭ
Регистрация: 22.01.2011
Из: Болгария
Пользователь №: 25 151


Зрительный нерв и глазные мышцы после того, как голова была раздавлена грузовиком при ДТП. Череп был сломан, мозг выброшен, но оба глаза были найдены внутри черепа.


Эскизы прикрепленных изображений
Судебная медицина - Прикрепленное изображение
Пользователь offline
К началу страницы
+Ответить с цитированием
Hristov
сообщение 22.11.2019 - 14:36
Сообщение #1039


Участник форума

Группа: СМЭ
Регистрация: 22.01.2011
Из: Болгария
Пользователь №: 25 151


Добрый день. 62-летний мужчина алкоголик. На теле нет никаких травм.

На Вскрытие цирроз, коагулопатия, нетравматическая субдуральная гематома.

Судебная медицина - Прикрепленное изображениеСудебная медицина - Прикрепленное изображениеСудебная медицина - Прикрепленное изображение
Пользователь offline
К началу страницы
+Ответить с цитированием
mechkofff.v
сообщение 22.11.2019 - 15:05
Сообщение #1040


Участник форума

Группа: СМЭ
Регистрация: 4.02.2010
Пользователь №: 19 796


Цитата(Hristov @ 22.11.2019 - 14:36)
Добрый день. 62-летний мужчина алкоголик. На теле нет никаких травм.

На Вскрытие цирроз, коагулопатия, нетравматическая субдуральная гематома.

Судебная медицина - Прикрепленное изображениеСудебная медицина - Прикрепленное изображениеСудебная медицина - Прикрепленное изображение


Субдуральная гематома похожа на хроническую с повторным кровоизлиянием!
Пользователь offline
К началу страницы
+Ответить с цитированием
Hristov
сообщение 26.11.2019 - 17:54
Сообщение #1041


Участник форума

Группа: СМЭ
Регистрация: 22.01.2011
Из: Болгария
Пользователь №: 25 151


Цитата(mechkofff.v @ 22.11.2019 - 15:05)
Субдуральная гематома похожа на хроническую с повторным кровоизлиянием!


Да, возможно. Спасибо, коллега. Хорошее наблюдение. wink.gif

Еще один случай. Перикардит после аортокоронарного шунта.

Судебная медицина - Прикрепленное изображение
Пользователь offline
К началу страницы
+Ответить с цитированием
Hristov
сообщение 10.12.2019 - 19:29
Сообщение #1042


Участник форума

Группа: СМЭ
Регистрация: 22.01.2011
Из: Болгария
Пользователь №: 25 151


Разорванная аневризма мозга 15-летнего мальчика. Его нашли мертвыми в постели его родители. У него не было никаких предшествующих симптомов.

Судебная медицина - Прикрепленное изображениеСудебная медицина - Прикрепленное изображениеСудебная медицина - Прикрепленное изображение
Пользователь offline
К началу страницы
+Ответить с цитированием
andron15111987
сообщение 11.12.2019 - 01:31
Сообщение #1043


Знаток форума
Group Icon
Группа: СМЭ
Регистрация: 25.05.2013
Из: Восточная сибирь
Пользователь №: 36 796


Женщина пользовалась подручными предметами, для очистки своей трахеостомы, вот результат - вздохнула колпачек от шариковой ручки.


Эскизы прикрепленных изображений
Судебная медицина - Прикрепленное изображение
Пользователь offline
К началу страницы
+Ответить с цитированием
Hristov
сообщение 15.12.2019 - 17:30
Сообщение #1044


Участник форума

Группа: СМЭ
Регистрация: 22.01.2011
Из: Болгария
Пользователь №: 25 151


Супер, впервые вижу такое! Спасибо, что поделились.

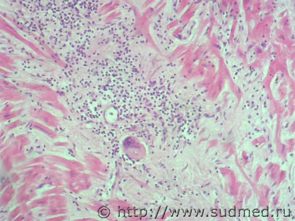
Огнестрельное ранение и фибриновые сгустки в сердце, два отдельных случая.

Судебная медицина - Прикрепленное изображение Судебная медицина - Прикрепленное изображение

Сообщение отредактировал Hristov - 15.12.2019 - 17:30
Пользователь offline
К началу страницы
+Ответить с цитированием
Chivas
сообщение 25.12.2019 - 11:24
Сообщение #1045


Мастер I
Group Icon
Группа: Модераторы
Регистрация: 17.02.2007
Из: Кубань
Пользователь №: 4 435


Повреждение сердца при огнестрельном ранении грудной клетки атипичным снарядом, при выстреле в упор из самодельного нарезного оружия

Сообщение отредактировал Chivas - 25.12.2019 - 11:25


Эскизы прикрепленных изображений
Судебная медицина - Прикрепленное изображение
Пользователь offline
К началу страницы
+Ответить с цитированием
Zosia
сообщение 4.01.2020 - 23:14
Сообщение #1046


Читатель

Группа: Участники
Регистрация: 10.06.2014
Пользователь №: 39 715


и фибриновые сгустки в сердце,
--------------------
а фибриноз легких при этом наблюдался?

Сообщение отредактировал Zosia - 4.01.2020 - 23:15
Пользователь offline
К началу страницы
+Ответить с цитированием
Hristov
сообщение 21.01.2020 - 15:53
Сообщение #1047


Участник форума

Группа: СМЭ
Регистрация: 22.01.2011
Из: Болгария
Пользователь №: 25 151


Странгуляционная борозда.

Судебная медицина - Прикрепленное изображение Судебная медицина - Прикрепленное изображение
Пользователь offline
К началу страницы
+Ответить с цитированием
Клокин
сообщение 22.01.2020 - 04:33
Сообщение #1048


Магистр форума

Группа: СМЭ
Регистрация: 23.01.2008
Из: Сибирь
Пользователь №: 7 163


Цитата(Hristov @ 21.01.2020 - 15:53)
Странгуляционная борозда...

Уникальный случай... smile.gif
Пользователь offline
К началу страницы
+Ответить с цитированием
fbc_v
сообщение 22.01.2020 - 20:20
Сообщение #1049


Знаток форума
Group Icon
Группа: СМЭ
Регистрация: 18.04.2012
Пользователь №: 32 515


Вероятно ДВС, сердце


Эскизы прикрепленных изображений
Судебная медицина - Прикрепленное изображение Судебная медицина - Прикрепленное изображение
Пользователь offline
К началу страницы
+Ответить с цитированием
fbc_v
сообщение 30.01.2020 - 10:44
Сообщение #1050


Знаток форума
Group Icon
Группа: СМЭ
Регистрация: 18.04.2012
Пользователь №: 32 515


Цитата(fbc_v @ 22.01.2020 - 23:20)
Вероятно ДВС, сердце



Эскизы прикрепленных изображений
Судебная медицина - Прикрепленное изображение
Пользователь offline
К началу страницы
+Ответить с цитированием

75 страниц V « < 68 69 70 71 72 > » 



- Обратная связь Сейчас: 12.10.2025 - 19:12