Здравствуйте, гость ( Вход | Регистрация )

Форум судебных медиков России
>   Правила раздела >

Здесь обсуждаются вопросы судебно-медицинской танатологии и судебно-медицинской гистологии.

 
75 страниц V « < 69 70 71 72 73 > »   
>

Просто иллюстрации, фотографии интересных случаев

Рейтинг  5
>
Malin_A.I.
сообщение 21.02.2020 - 13:39
Сообщение #1051


Вновь прибывший

Группа: Пользователи
Регистрация: 17.02.2020
Пользователь №: 46 579


Цитата(serg59 @ 3.02.2009 - 20:52)
Повреждения зубами собаки.
Человек был живой (спал), а порода собаки - стаффордширский терьер (сука). Пострадавший - хозяин собаки, а по поводу причины смерти как говориться надо подумать (шок травматический, геморрагический, сочетание и т.д.), хотя это обсуждается в другой теме.


Уважаемые коллеги, извините, мне одной показалось что в области переносицы очень четкий крестообразный дефект? Интересен механизм его образования...
Пользователь offline
К началу страницы
+Ответить с цитированием
Hristov
сообщение 24.02.2020 - 15:20
Сообщение #1052


Участник форума

Группа: СМЭ
Регистрация: 22.01.2011
Из: Болгария
Пользователь №: 25 151


Расслоение аорты, 65-летний мужчина.

Судебная медицина - Прикрепленное изображение
Пользователь offline
К началу страницы
+Ответить с цитированием
Hristov
сообщение 16.03.2020 - 17:13
Сообщение #1053


Участник форума

Группа: СМЭ
Регистрация: 22.01.2011
Из: Болгария
Пользователь №: 25 151


Метастазы рака нижней челюсти в сердце.

Судебная медицина - Прикрепленное изображение
Пользователь offline
К началу страницы
+Ответить с цитированием
Dr_Bob
сообщение 8.04.2020 - 12:23
Сообщение #1054


Продвинутый участник

Группа: СМЭ
Регистрация: 6.07.2006
Из: Slovak Republic
Пользователь №: 2 281


Взрывная травма. Самодельное взрывное устройство с тротиловым эквивалентом около 500 г взорвалось в полиэтиленовом пакете, который погибший нес в правой руке. Взрыв произошел при переноске устройства перед тем, как установить его под автомобиль иной особы, рано утром в 6:00, на следующий день после перевода часов на летнее время. Электронный будильник, который должен был активировать инициатор, был поставлен на 7:00. Подозреваемые не учли тот факт, что время на будильнике автоматически изменилось на летнее в ночь перед закладкой, и взрыв произошел на 1 час раньше планируемого времени. Ампутация правой верхней конечности в области локтя, девастационные повреждения области таза и нижних конечностей. Тело было отброшено на расстояние приблизительно 10 метров, на клумбу с цветами.
Судебная медицина - Прикрепленное изображение
Пользователь offline
К началу страницы
+Ответить с цитированием
Dr_Bob
сообщение 8.04.2020 - 12:34
Сообщение #1055


Продвинутый участник

Группа: СМЭ
Регистрация: 6.07.2006
Из: Slovak Republic
Пользователь №: 2 281


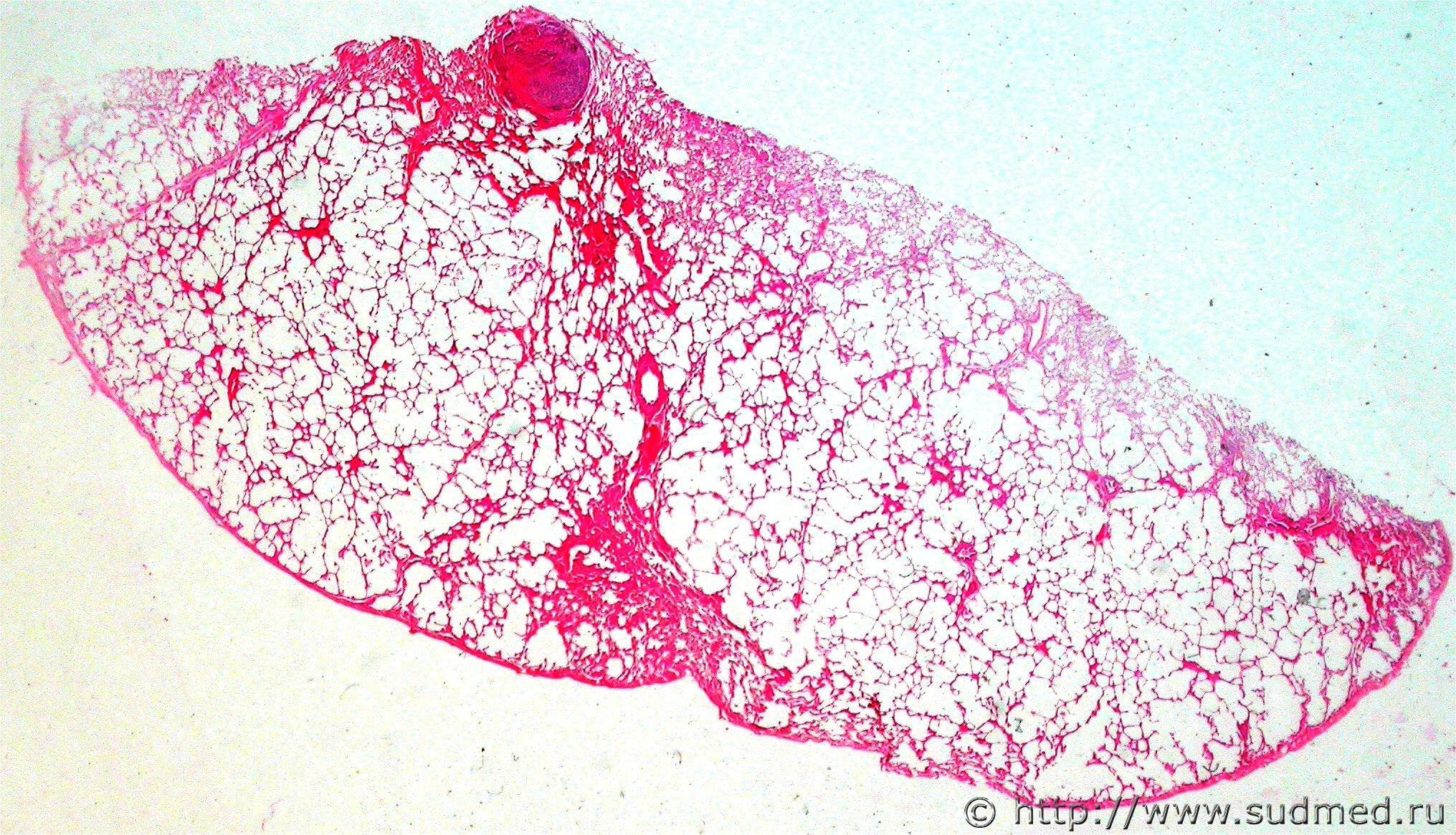
Взрывная травма. Гистотопограмма легких под лупой, увеличение 5х. Баротравма легких - множественные разрывы межальвеолярных перегородок, острая взрывная эмфизема, очаговые кровоизлияния в септальном интерстиции.
Судебная медицина - Прикрепленное изображение
Пользователь offline
К началу страницы
+Ответить с цитированием
Dr_Bob
сообщение 13.04.2020 - 21:17
Сообщение #1056


Продвинутый участник

Группа: СМЭ
Регистрация: 6.07.2006
Из: Slovak Republic
Пользователь №: 2 281


Острый геморрагический панкреонекроз - микропрепарат. Всегда отмечал, что единственная структура, которая до поры, до времени с успехом противостоит самоперевариванию и хорошо дифференцируется в микроскопе - это эпителий панкреатических протоков. Всё остальное вокруг протока некротизировано вперемежку с кровоизлияниями. Окраска ГЭ, ув. 400х.
Судебная медицина - Прикрепленное изображение
Пользователь offline
К началу страницы
+Ответить с цитированием
andron15111987
сообщение 22.04.2020 - 18:10
Сообщение #1057


Знаток форума
Group Icon
Группа: СМЭ
Регистрация: 25.05.2013
Из: Восточная сибирь
Пользователь №: 36 796


Разрыв аневризма аорты. В связи с тем что в верхних отделах левого лёгкого имеется спаечный процесс, кровотечение пошло через ткань левого лёгкого в плевральную полость, а также в дыхательные пути. Также имелся поликистоз почек. Еще обнаружено внутримозговое кровоизлияние 3х2 см в виде жидкой крови и рыхлых свертков, которое к сожалению не сфотографировал. И все это у одного умершего 77 лет.

Сообщение отредактировал andron15111987 - 22.04.2020 - 18:12


Эскизы прикрепленных изображений
Судебная медицина - Прикрепленное изображение Судебная медицина - Прикрепленное изображение
Пользователь offline
К началу страницы
+Ответить с цитированием
Dr_Bob
сообщение 23.04.2020 - 21:08
Сообщение #1058


Продвинутый участник

Группа: СМЭ
Регистрация: 6.07.2006
Из: Slovak Republic
Пользователь №: 2 281


Аденома околощитовидной железы (adenoma gl. parathyroideae), случайная находка при вскрытии. Фотография не из моей практики. Меня заинтересовал шпатель из качественной нержавейки со вштампованной линейкой. У кого-нибудь есть такой? Где можно достать?
Судебная медицина - Прикрепленное изображение

Сообщение отредактировал Dr_Bob - 23.04.2020 - 21:10
Пользователь offline
К началу страницы
+Ответить с цитированием
Hristov
сообщение 27.04.2020 - 18:54
Сообщение #1059


Участник форума

Группа: СМЭ
Регистрация: 22.01.2011
Из: Болгария
Пользователь №: 25 151


Красиво, спасибо.
Пользователь offline
К началу страницы
+Ответить с цитированием
Hristov
сообщение 6.05.2020 - 16:49
Сообщение #1060


Участник форума

Группа: СМЭ
Регистрация: 22.01.2011
Из: Болгария
Пользователь №: 25 151


Падение с 13-го этажа.

Судебная медицина - Прикрепленное изображение
Пользователь offline
К началу страницы
+Ответить с цитированием
Hristov
сообщение 17.05.2020 - 15:49
Сообщение #1061


Участник форума

Группа: СМЭ
Регистрация: 22.01.2011
Из: Болгария
Пользователь №: 25 151


ДТП мужчина, 65 лет, водитель.


Судебная медицина - Прикрепленное изображениеСудебная медицина - Прикрепленное изображениеСудебная медицина - Прикрепленное изображениеСудебная медицина - Прикрепленное изображение

Пользователь offline
К началу страницы
+Ответить с цитированием
psyho77
сообщение 6.06.2020 - 23:29
Сообщение #1062


Вновь прибывший

Группа: Пользователи
Регистрация: 3.02.2011
Пользователь №: 25 412


Цитата(Dr_Bob @ 23.04.2020 - 21:08)
Аденома околощитовидной железы (adenoma gl. parathyroideae), случайная находка при вскрытии. Фотография не из моей практики. Меня заинтересовал шпатель из качественной нержавейки со вштампованной линейкой. У кого-нибудь есть такой? Где можно достать?
Судебная медицина - Прикрепленное изображение

Это ручка от скальпеля, например Paragon.
Пользователь offline
К началу страницы
+Ответить с цитированием
Dr_Bob
сообщение 8.06.2020 - 12:06
Сообщение #1063


Продвинутый участник

Группа: СМЭ
Регистрация: 6.07.2006
Из: Slovak Republic
Пользователь №: 2 281


Цитата(psyho77 @ 6.06.2020 - 22:29)
Это ручка от скальпеля, например Paragon.

Спасибо за информацию, нашел в нете, продается...
Судебная медицина - Прикрепленное изображение
Пользователь offline
К началу страницы
+Ответить с цитированием
Hristov
сообщение 12.06.2020 - 16:50
Сообщение #1064


Участник форума

Группа: СМЭ
Регистрация: 22.01.2011
Из: Болгария
Пользователь №: 25 151


Гипертрофическая кардиомиопатия у парня 33 год.

Судебная медицина - Прикрепленное изображениеСудебная медицина - Прикрепленное изображениеСудебная медицина - Прикрепленное изображение
Пользователь offline
К началу страницы
+Ответить с цитированием
Hristov
сообщение 23.06.2020 - 15:13
Сообщение #1065


Участник форума

Группа: СМЭ
Регистрация: 22.01.2011
Из: Болгария
Пользователь №: 25 151


Еще один случай гипертрофической кардиомиопатии серце вижило 930 грамм.

Судебная медицина - Прикрепленное изображениеСудебная медицина - Прикрепленное изображение
Пользователь offline
К началу страницы
+Ответить с цитированием

75 страниц V « < 69 70 71 72 73 > » 



- Обратная связь Сейчас: 12.12.2025 - 01:05