Здравствуйте, гость ( Вход | Регистрация )

Форум судебных медиков России
>   Правила раздела >

Здесь обсуждаются вопросы судебно-медицинской танатологии и судебно-медицинской гистологии.

 
75 страниц V « < 8 9 10 11 12 > »   
>

Просто иллюстрации, фотографии интересных случаев

Рейтинг  5
>
sasa_vz
сообщение 27.11.2009 - 09:17
Сообщение #136


Авторитетный участник

Группа: СМЭ
Регистрация: 9.02.2007
Из: Ивановская обл.
Пользователь №: 4 362


Необычное расположение странгуляционной борозды.
Вот еще один "старый" случай. Как много интересного, оказывается, хранит в себе рабочий стол. Но у бабули "хорошо" сдавило сосуды как раз за челюстью. Этого оказалось достаточно, учитывая выраженный атеросклероз.

Судебная медицина - Прикрепленное изображение Судебная медицина - Прикрепленное изображение
Пользователь offline
К началу страницы
+Ответить с цитированием
Expert 126sml
сообщение 13.12.2009 - 21:44
Сообщение #137


Знаток форума
Group Icon
Группа: СМЭ
Регистрация: 9.04.2007
Из: Екатеринбург
Пользователь №: 4 771


Падение с большой высоты на щебень.

Судебная медицина - Прикрепленное изображение
Пользователь offline
К началу страницы
+Ответить с цитированием
Dr_Bob
сообщение 14.12.2009 - 02:30
Сообщение #138


Продвинутый участник

Группа: СМЭ
Регистрация: 6.07.2006
Из: Slovak Republic
Пользователь №: 2 281


Кровоизлияния в nucl. lentiformis. Летальная интоксикация метанолом.
Фотография к сообщению № 13 из темы о метаноле.
Прошу прощения за слабое качество. Фото еще с 2000 года, сканированный цветной снимок.
Коллаж позже делал я для доклада на конференцию (Кормановские судебно-медицинские дни, Мартин 2000).

Судебная медицина - Прикрепленное изображение
Пользователь offline
К началу страницы
+Ответить с цитированием
Expert 126sml
сообщение 14.12.2009 - 21:30
Сообщение #139


Знаток форума
Group Icon
Группа: СМЭ
Регистрация: 9.04.2007
Из: Екатеринбург
Пользователь №: 4 771


Автотравма: сдавление головы между двумя грузовыми машинами.
1. Общий вид головы.
2. Ткань мозга в трахее.
3. Ствол мозга в желудке.

Судебная медицина - Прикрепленное изображение Судебная медицина - Прикрепленное изображение Судебная медицина - Прикрепленное изображение
Пользователь offline
К началу страницы
+Ответить с цитированием
Chivas
сообщение 27.12.2009 - 10:28
Сообщение #140


Мастер I
Group Icon
Группа: Модераторы
Регистрация: 17.02.2007
Из: Кубань
Пользователь №: 4 435


Ятрогенное повреждение легкого дренажной трубкой.
3 дня назад вскрывал (по патане) женщину 1972 года рождения, умерла в реанимации, диагноз вирусная пневмония. Брали на серологию - грипп А (H1N1). Но не это самое интересное вот, что на секции нашел - дренажную трубку уважаемые торакальщики засунули в легкое на 8,5 см.

Судебная медицина - Прикрепленное изображение
Пользователь offline
К началу страницы
+Ответить с цитированием
Chivas
сообщение 28.12.2009 - 17:38
Сообщение #141


Мастер I
Group Icon
Группа: Модераторы
Регистрация: 17.02.2007
Из: Кубань
Пользователь №: 4 435


Пионефроз и уросепсис.
Никогда не думал, что такое можно еще встретить: огромные камни почек и как следствие, гнойный пиелонефрит, скорее пионефроз (из правой почки 600 мл гноя откачал) и уросепсис.
Судебная медицина - Прикрепленное изображение Судебная медицина - Прикрепленное изображение


Отравление угарным газом.
Помарки копоти в передней черепной ямке, на внутренней поверхности продырявленной пластинки решетчатой кости.
Судебная медицина - Прикрепленное изображение
Пользователь offline
К началу страницы
+Ответить с цитированием
ЦУКАТ
сообщение 14.01.2010 - 18:02
Сообщение #142


Участник форума

Группа: СМЭ
Регистрация: 10.05.2008
Пользователь №: 8 381


Внутрипеченочное расположение желчного пузыря.

Судебная медицина - Прикрепленное изображение
Пользователь offline
К началу страницы
+Ответить с цитированием
gretta
сообщение 15.01.2010 - 02:32
Сообщение #143


Знаток форума
Group Icon
Группа: СМЭ
Регистрация: 3.04.2006
Пользователь №: 1 536


Переезд автомобилем.
Четко виден след протектора на одежде.

Судебная медицина - Прикрепленное изображение
Пользователь offline
К началу страницы
+Ответить с цитированием
gretta
сообщение 15.01.2010 - 02:45
Сообщение #144


Знаток форума
Group Icon
Группа: СМЭ
Регистрация: 3.04.2006
Пользователь №: 1 536


25 рубленых ран, 43 колото-резаные раны, 5 ушибленных ран.
Ревнивец нанес потерпевшему соответственно 43 удара ножом, потом 25 ударов топором по голове, и напоследок припечатал по голове кувалдой.
К сожалению качество не очень.

Судебная медицина - Прикрепленное изображение Судебная медицина - Прикрепленное изображение
Пользователь offline
К началу страницы
+Ответить с цитированием
Kvaker
сообщение 11.02.2010 - 11:37
Сообщение #145


Претендент

Группа: Участники
Регистрация: 23.11.2007
Из: Riga
Пользователь №: 6 573


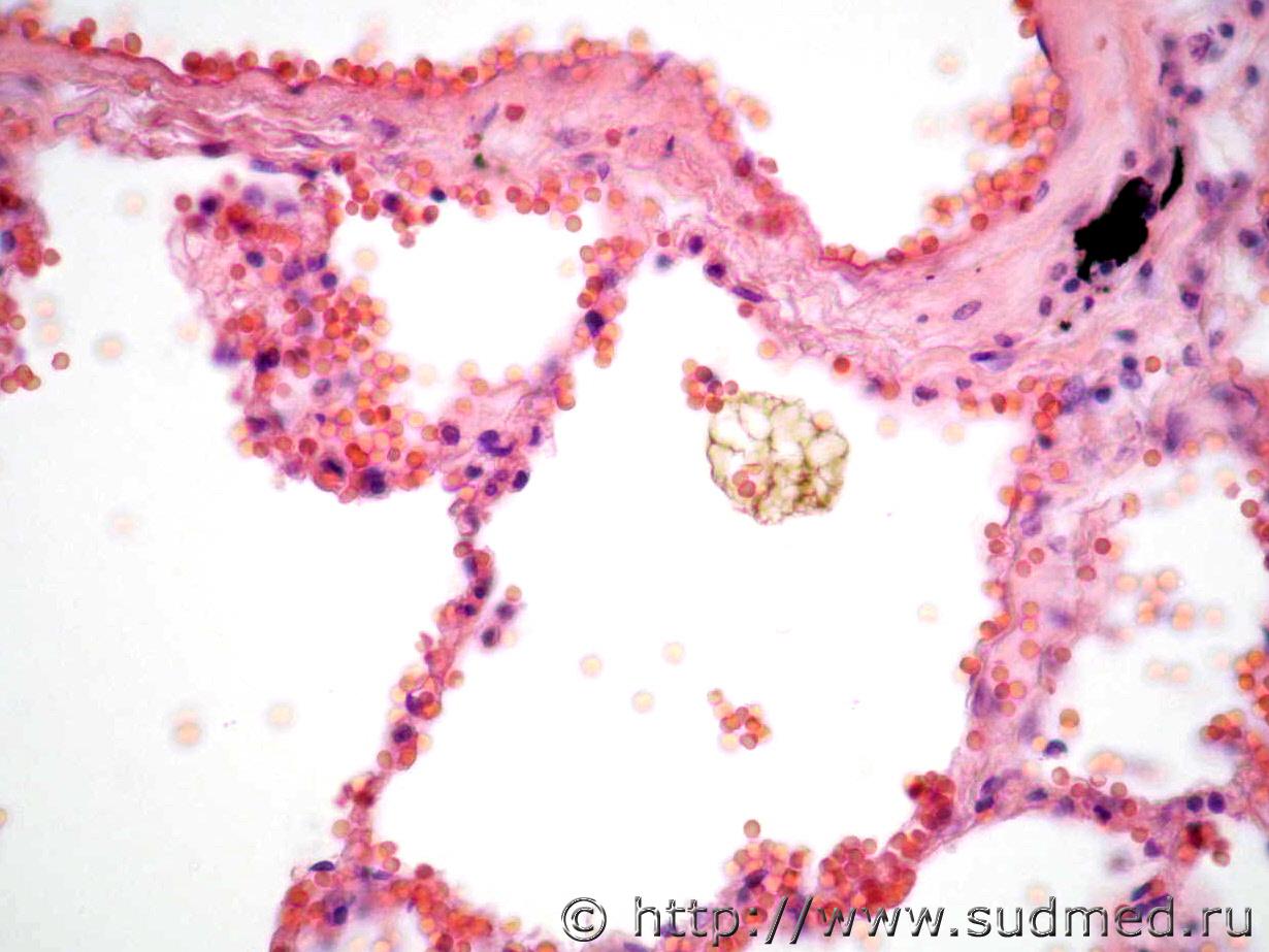
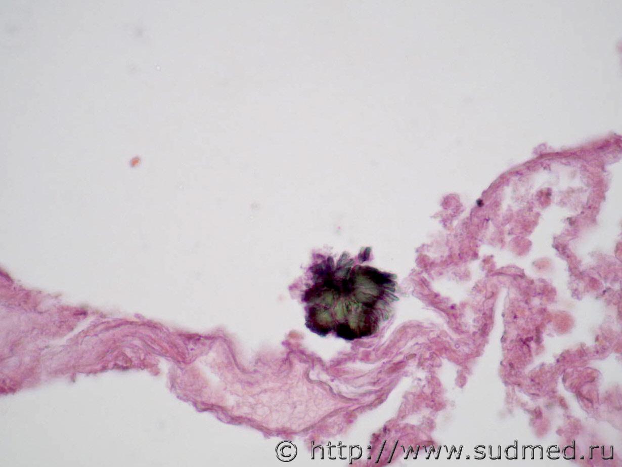
Легкие при утоплении.
Хочу представить на Ваше обозрение микрофотографию легких при утоплении (1200х, Г-Э).
В альвеоле инородное включение - фрагмент подгнившей водоросли.
Второй снимок - гетерогенное включение в альвеоле... но что это - не знаю.

Судебная медицина - Прикрепленное изображение Судебная медицина - Прикрепленное изображение
Пользователь offline
К началу страницы
+Ответить с цитированием
ЦУКАТ
сообщение 5.03.2010 - 23:04
Сообщение #146


Участник форума

Группа: СМЭ
Регистрация: 10.05.2008
Пользователь №: 8 381


Хроническая аневризма сердца.

Судебная медицина - Прикрепленное изображение
Пользователь offline
К началу страницы
+Ответить с цитированием
ЦУКАТ
сообщение 11.03.2010 - 20:58
Сообщение #147


Участник форума

Группа: СМЭ
Регистрация: 10.05.2008
Пользователь №: 8 381


Ятрогенное повреждение интубационной трубкой.
Интубационная трубка, проходящая слева от трахеи (её конец был в плевральной полости).

Судебная медицина - Прикрепленное изображение
Пользователь offline
К началу страницы
+Ответить с цитированием
dav_kost
сообщение 31.03.2010 - 19:26
Сообщение #148


Читатель

Группа: Участники
Регистрация: 18.12.2009
Из: УРФО
Пользователь №: 18 860


Дегенерация митрального и трикуспидального клапанов сердца.
Вич, 21 год.

Судебная медицина - Прикрепленное изображение Судебная медицина - Прикрепленное изображение
Пользователь offline
К началу страницы
+Ответить с цитированием
salaar
сообщение 10.07.2010 - 19:17
Сообщение #149


Читатель

Группа: Участники
Регистрация: 16.04.2009
Из: Житомир
Пользователь №: 14 158


Отпечаток протектора колеса.
Вчера проводил исследование трупа девочки 6 лет, с предварительных данных при перебегании дороги была сбита легковым автомобилем с прицепом (контакт ребёнка был с прицепом) на левой половине лица отпечаток протектора колеса, справа осаднение прямоугольной формы(крыло) перелом костей основания и свода черепа по типу сжатия между двумя тупыми предметами (переезд исключается однозначно), добаляю фото.

Судебная медицина - Прикрепленное изображение
Пользователь offline
К началу страницы
+Ответить с цитированием
PoShoru
сообщение 14.08.2010 - 00:07
Сообщение #150


Продвинутый участник

Группа: СМЭ
Регистрация: 12.09.2008
Из: Северо-Запад
Пользователь №: 9 678


Жидкость со взвесью торфа в лобной пазухе.
(Среда утопления).

Судебная медицина - Прикрепленное изображение
Пользователь offline
К началу страницы
+Ответить с цитированием

75 страниц V « < 8 9 10 11 12 > » 



- Обратная связь Сейчас: 12.10.2025 - 19:12