Здравствуйте, гость ( Вход | Регистрация )

Форум судебных медиков России
>   Правила раздела >

Здесь обсуждаются вопросы судебно-медицинской танатологии и судебно-медицинской гистологии.

 
75 страниц V « < 10 11 12 13 14 > »   
>

Просто иллюстрации, фотографии интересных случаев

Рейтинг  5
>
О.Александрович
сообщение 16.01.2011 - 11:07
Сообщение #166


Претендент

Группа: СМЭ
Регистрация: 18.03.2009
Пользователь №: 13 502


Обратите внимание на интересный кровоподтек. Бабушка с выраженным атеросклеротическим кардиосклерозом, хронической недостаточностью кровообращения за 2 суток до наступлении смерти ударилась головой правой лобной областью о спинку кровати, что видели многочисленные родственники. Далее кровоподтек начал распротраняться в нижележащие отделы, как видно на фото. На скрытии - выраженный отек мягких тканей в лобной области справа с кровоизлиянием (место удара).

Судебная медицина - Прикрепленное изображение
Пользователь offline
К началу страницы
+Ответить с цитированием
Dw46
сообщение 22.01.2011 - 20:01
Сообщение #167


Вновь прибывший

Группа: Участники
Регистрация: 31.05.2008
Пользователь №: 8 692


№ 1. Ссадины и раны кожи лица причинены осколками банки, устремлённой обвиняемым в голову погибшего.

№ 2. По результатам секции - отравление неустановленным веществом.
Наркоман со стажем. Находился на стационарном лечении в больнице по поводу сепсиса, где ему был установлен подключичный катетер для инфузий. Когда состояние заметно стабилизировалось, начал хвастаться друзьям, что теперь не надо колоть вены, поскольку есть катетер. Убежал вечером из больницы и, видимо, занялся обещанным на лестничной площадке своего дома. Рядом - шприц, и прочие принадлежности.

Сообщение отредактировал Dw46 - 22.01.2011 - 20:02


Эскизы прикрепленных изображений
Судебная медицина - Прикрепленное изображение Судебная медицина - Прикрепленное изображение
Пользователь offline
К началу страницы
+Ответить с цитированием
lex
сообщение 1.02.2011 - 17:58
Сообщение #168


Участник форума

Группа: СМЭ
Регистрация: 4.11.2006
Пользователь №: 3 360


Ушибленная рана от удара основным бойком молотка.


Эскизы прикрепленных изображений
Судебная медицина - Прикрепленное изображение
Пользователь offline
К началу страницы
+Ответить с цитированием
АльбертКазань
сообщение 3.02.2011 - 17:34
Сообщение #169


Знаток форума
Group Icon
Группа: СМЭ
Регистрация: 14.10.2010
Пользователь №: 23 473


Колото-резаное ранение шеи. Рана на изъятом лоскуте кожи (фиксация в 1%-м растворе нейтрального формалина) расположена на фоне ожоговой поверхности.
Судебная медицина - Прикрепленное изображение
Пользователь offline
К началу страницы
+Ответить с цитированием
Norman
сообщение 8.02.2011 - 20:38
Сообщение #170


Авторитетный участник

Группа: СМЭ
Регистрация: 2.01.2010
Пользователь №: 19 127


падение с высоты собственного роста (в алкогольном опьянении) с последующим соударением с краем печи. рвано-ушибленная рана носа с полным отрывом мягких тканей спинки носа от перегородки. Причина смерти - аспирация крови.


Эскизы прикрепленных изображений
Судебная медицина - Прикрепленное изображение
Пользователь offline
К началу страницы
+Ответить с цитированием
М-Михалыч
сообщение 13.02.2011 - 15:34
Сообщение #171


Претендент

Группа: СМЭ
Регистрация: 31.01.2011
Пользователь №: 25 319


В трещинах вдавленных переломов были обнаружены
ущемленные фрагменты полиэтилена.
Позже были обнаружены молоток и полиэтиленовый пакет со следами крови, фрагментами волос.
Удары были нанесены молотком, находящимся в пакете.


Эскизы прикрепленных изображений
Судебная медицина - Прикрепленное изображение Судебная медицина - Прикрепленное изображение Судебная медицина - Прикрепленное изображение
Пользователь offline
К началу страницы
+Ответить с цитированием
О.Александрович
сообщение 10.03.2011 - 19:06
Сообщение #172


Претендент

Группа: СМЭ
Регистрация: 18.03.2009
Пользователь №: 13 502


Сегодня исследовал труп мужчины 56 лет с хроническим алкоголизмом, поставил диагноз - алкогольная кардиомиопатия. Смотрите фото "сердце при алкогольной кадиомиопатии". Макроскопическое описание (кратко): размеры 10 х 10 х 4 см, масса 355 г, верхушка закруглена, снаружи хорошо обложено жировой тканью, под эпикардом множественные темно-красного цвета мелкоочаговые, местами сливные, кровоизлияния диаметром не более 1 мм, под наружной оболочкой белесоватые пятна и полосы (соединительная ткань); миокард дряблый, бледно-коричневого цвета, раздавливается под пальцами, диффузный мелкоочаговый кардисклероз; расширение полостей сердца, пристеночные тромбы.

Судебная медицина - Прикрепленное изображение
Пользователь offline
К началу страницы
+Ответить с цитированием
АльбертКазань
сообщение 11.03.2011 - 13:01
Сообщение #173


Знаток форума
Group Icon
Группа: СМЭ
Регистрация: 14.10.2010
Пользователь №: 23 473


Микрочастицы в ушибленной ране.
Судебная медицина - Прикрепленное изображение Судебная медицина - Прикрепленное изображение
Пользователь offline
К началу страницы
+Ответить с цитированием
Медик
сообщение 11.03.2011 - 20:54
Сообщение #174


Учитель
Group Icon
Группа: Модераторы
Регистрация: 16.05.2010
Пользователь №: 21 553


Цитата(О.Александрович @ 10.03.2011 - 19:06)

Судебная медицина

Может эта информация кому пригодится?
На передней поверхности левого желудочка сердца,представленного на фото,виден белесоватый участок,О.Александрович описывает ,как "белесоватые пятна и полосы (соединительная ткань)".Откуда это?Что это?
В доступной мне литературе есть кое-какая информация.
Иногда,особенно на передней поверхности,могут встретиться ограниченные белесоватые утолщения эпикарда,"мозоли",или "солдатские пятна".Происхождение их неясно,клинического значение они,по-видимому,не имеют."Макроскопическая дифференциальная диагностика патологических процессов" П.Ф.Калитиевский,1987г.
Очаговый гиалиноз нередко наблюдается по передней поверхности болезненно увеличенного сердца,что связывают с ударами сердца о внутреннюю поверхность грудины."Общая патологическая анатомия" С.А.Повзун,2008г.
Пользователь offline
К началу страницы
+Ответить с цитированием
Amigo
сообщение 15.03.2011 - 02:41
Сообщение #175


Маэстро форума

Группа: СМЭ
Регистрация: 23.09.2007
Из: зауралье
Пользователь №: 5 905


это обычный искусственный тазобедренный сустав. ему около 5 лет. делал по просьбе наших травматологов.


Эскизы прикрепленных изображений
Судебная медицина - Прикрепленное изображение Судебная медицина - Прикрепленное изображение Судебная медицина - Прикрепленное изображение
Пользователь offline
К началу страницы
+Ответить с цитированием
dav_kost
сообщение 15.03.2011 - 13:21
Сообщение #176


Читатель

Группа: Участники
Регистрация: 18.12.2009
Из: УРФО
Пользователь №: 18 860


Искусственные тазобедренные суставы


Эскизы прикрепленных изображений
Судебная медицина - Прикрепленное изображение
Пользователь offline
К началу страницы
+Ответить с цитированием
Медик
сообщение 18.03.2011 - 15:10
Сообщение #177


Учитель
Group Icon
Группа: Модераторы
Регистрация: 16.05.2010
Пользователь №: 21 553


Абсцессы в миокарде и щитовидной железе


Эскизы прикрепленных изображений
Судебная медицина - Прикрепленное изображение Судебная медицина - Прикрепленное изображение
Пользователь offline
К началу страницы
+Ответить с цитированием
Медик
сообщение 22.03.2011 - 11:35
Сообщение #178


Учитель
Group Icon
Группа: Модераторы
Регистрация: 16.05.2010
Пользователь №: 21 553


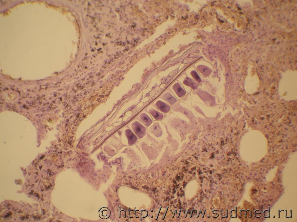
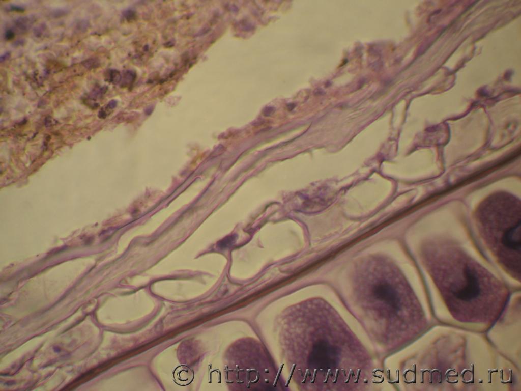
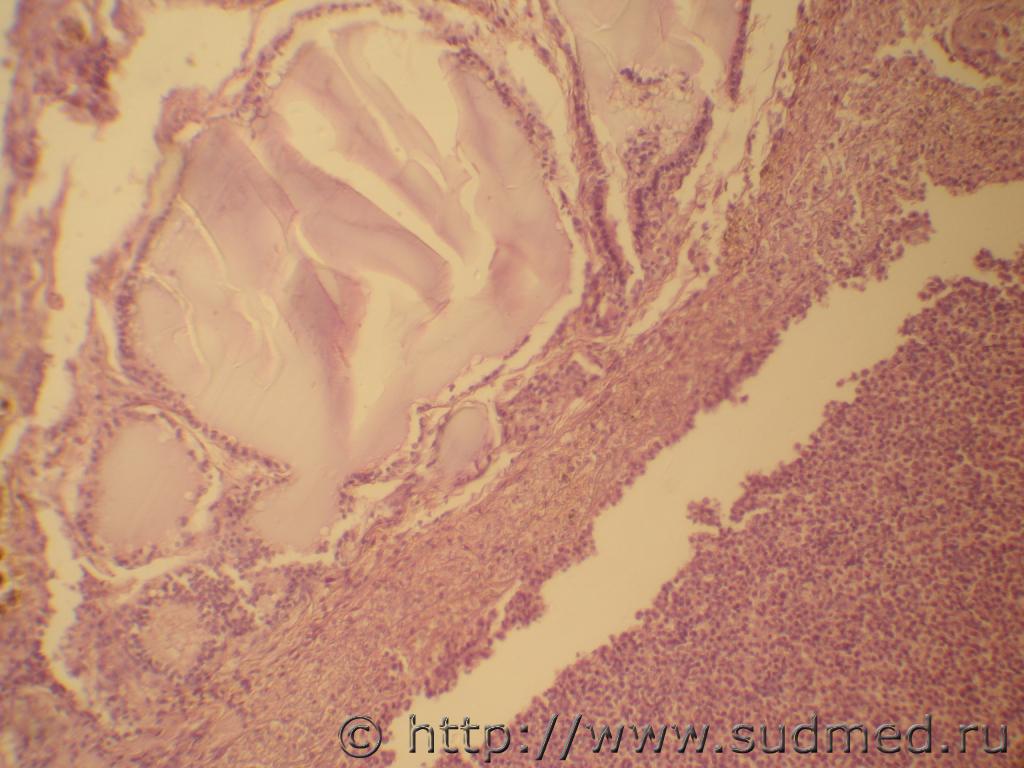
Инородное тело растительного происхождения в лёгком.


Эскизы прикрепленных изображений
Судебная медицина - Прикрепленное изображение Судебная медицина - Прикрепленное изображение Судебная медицина - Прикрепленное изображение Судебная медицина - Прикрепленное изображение
Пользователь offline
К началу страницы
+Ответить с цитированием
Dr_Bob
сообщение 22.03.2011 - 15:55
Сообщение #179


Продвинутый участник

Группа: СМЭ
Регистрация: 6.07.2006
Из: Slovak Republic
Пользователь №: 2 281


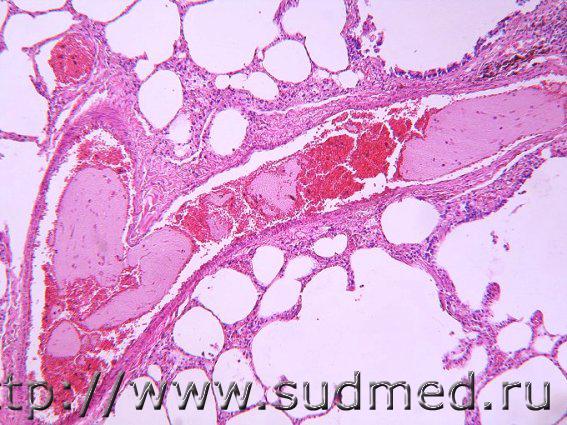
Цитата
Инородное тело растительного происхождения в лёгком.

Качественные, информативные микрофотографии - респект за это.
Каковы обстоятельства смерти? Утопление во выгребной яме? Аспирация желудочного содержимого?
Я выкладываю эмболию ветвей легочной артерии частицами разможженного мозга при открытой черепно-мозговой травме, переживание - несколько минут.
Судебная медицина - Прикрепленное изображение
Пользователь offline
К началу страницы
+Ответить с цитированием
Медик
сообщение 29.03.2011 - 11:00
Сообщение #180


Учитель
Group Icon
Группа: Модераторы
Регистрация: 16.05.2010
Пользователь №: 21 553


Респираторный дистресс-синдром взрослых.


Эскизы прикрепленных изображений
Судебная медицина - Прикрепленное изображение Судебная медицина - Прикрепленное изображение
Пользователь offline
К началу страницы
+Ответить с цитированием

75 страниц V « < 10 11 12 13 14 > » 



- Обратная связь Сейчас: 12.10.2025 - 20:53