Здравствуйте, гость ( Вход | Регистрация )

Форум судебных медиков России
>   Правила раздела >

Здесь обсуждаются вопросы судебно-медицинской танатологии и судебно-медицинской гистологии.

 
75 страниц V « < 12 13 14 15 16 > »   
>

Просто иллюстрации, фотографии интересных случаев

Рейтинг  5
>
Медик
сообщение 18.04.2011 - 16:53
Сообщение #196


Учитель
Group Icon
Группа: Модераторы
Регистрация: 16.05.2010
Пользователь №: 21 553


Инфекционный эндокардит аортального клапана.


Эскизы прикрепленных изображений
Судебная медицина - Прикрепленное изображение
Пользователь offline
К началу страницы
+Ответить с цитированием
Медик
сообщение 18.04.2011 - 17:07
Сообщение #197


Учитель
Group Icon
Группа: Модераторы
Регистрация: 16.05.2010
Пользователь №: 21 553


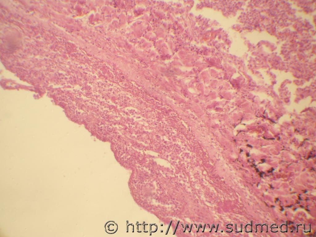
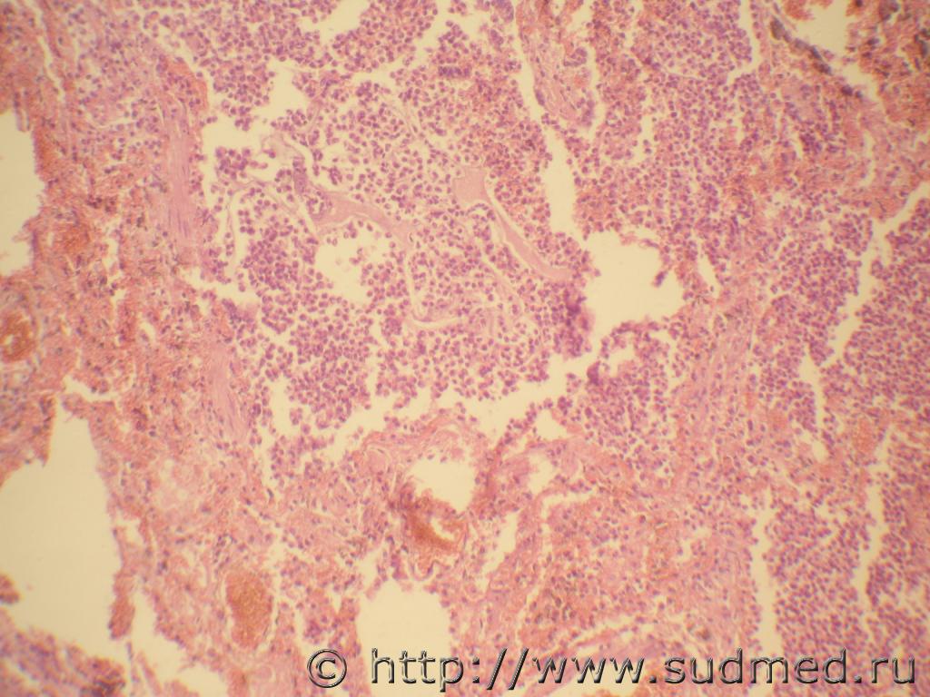
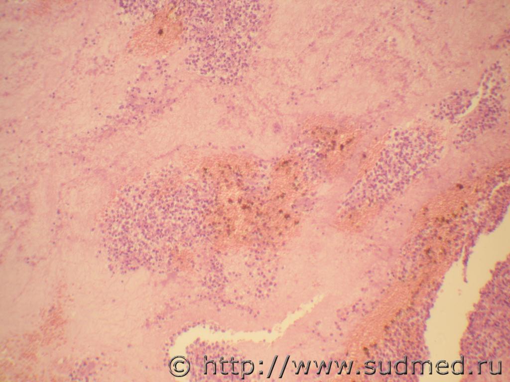
Гнойный лептоменингит.Бактериологически Enterobacter gergoviae.


Эскизы прикрепленных изображений
Судебная медицина - Прикрепленное изображение Судебная медицина - Прикрепленное изображение
Пользователь offline
К началу страницы
+Ответить с цитированием
Медик
сообщение 18.04.2011 - 17:22
Сообщение #198


Учитель
Group Icon
Группа: Модераторы
Регистрация: 16.05.2010
Пользователь №: 21 553


Циркулярный рак сигмовидной кишки,метастазы рака в печень.
Фото 1.Поперечный разрез сигмовидной кишки.
Фото 2.Метастазы в печени.


Эскизы прикрепленных изображений
Судебная медицина - Прикрепленное изображение Судебная медицина - Прикрепленное изображение
Пользователь offline
К началу страницы
+Ответить с цитированием
Медик
сообщение 18.04.2011 - 17:37
Сообщение #199


Учитель
Group Icon
Группа: Модераторы
Регистрация: 16.05.2010
Пользователь №: 21 553


Мускатная печень.Разное увеличение под микроскопом.


Эскизы прикрепленных изображений
Судебная медицина - Прикрепленное изображение Судебная медицина - Прикрепленное изображение
Пользователь offline
К началу страницы
+Ответить с цитированием
Медик
сообщение 19.04.2011 - 16:25
Сообщение #200


Учитель
Group Icon
Группа: Модераторы
Регистрация: 16.05.2010
Пользователь №: 21 553


Мужчина,32 лет,проходил лечение в хирургическом стационаре по поводу отморожения пальцев правой стопы.Во время пребывания в больнице перенёс двустороннюю очаговую пневмонию.Через 2 недели после выписки внезапно умер.При исследовании трупа,кроме изменений со стороны правой стопы,выявлены хронический абсцесс левого лёгкого,глубокий венозный тромбоз голеней,тромбоэмболия легочных артерий и геморрагические инфаркты в лёгких.
Фото 1.Правая стопа.
Фото 2.Хронический абсцесс лёгкого.
Фото 3.Тромбоэмболия ветвей правой легочной артерии и геморрагический инфаркт лёгкого.


Эскизы прикрепленных изображений
Судебная медицина - Прикрепленное изображение Судебная медицина - Прикрепленное изображение Судебная медицина - Прикрепленное изображение
Пользователь offline
К началу страницы
+Ответить с цитированием
Медик
сообщение 19.04.2011 - 16:37
Сообщение #201


Учитель
Group Icon
Группа: Модераторы
Регистрация: 16.05.2010
Пользователь №: 21 553


Фото 1.Гиперплазия предстательной железы и гипертрофия мочевого пузыря.
Фото 2.Гидронефроз.


Эскизы прикрепленных изображений
Судебная медицина - Прикрепленное изображение Судебная медицина - Прикрепленное изображение
Пользователь offline
К началу страницы
+Ответить с цитированием
Медик
сообщение 19.04.2011 - 16:51
Сообщение #202


Учитель
Group Icon
Группа: Модераторы
Регистрация: 16.05.2010
Пользователь №: 21 553


Алкогольная кардиомиопатия.Сердце размерами 12х13х6см.,вес 448г,толщина стенки левого желудочка 1,7см.,правого 0,3см.,периметр правого атриовентрикулярного отверстия 13см.,левого 12см.


Эскизы прикрепленных изображений
Судебная медицина - Прикрепленное изображение
Пользователь offline
К началу страницы
+Ответить с цитированием
Медик
сообщение 19.04.2011 - 17:14
Сообщение #203


Учитель
Group Icon
Группа: Модераторы
Регистрация: 16.05.2010
Пользователь №: 21 553


Пристеночный тромбэндокардит в области острого трансмурального инфаркта миокарда.


Эскизы прикрепленных изображений
Судебная медицина - Прикрепленное изображение
Пользователь offline
К началу страницы
+Ответить с цитированием
Медик
сообщение 20.04.2011 - 15:57
Сообщение #204


Учитель
Group Icon
Группа: Модераторы
Регистрация: 16.05.2010
Пользователь №: 21 553


Мужчина,46 лет, находился на стационарном лечении с сочетанной травмой.На седьмые сутки пребывания в больнице умер.В заключительный клинический диагноз вписан и ушиб сердца.
Фото 1.Миокард.Некроз кардиомиоцитов,инфильтрация нейтрофильными лейкоцитами.
Фото 2.Фибринозный перикардит.
Фото 3.Очаговая пневмония.
Фото 4.Фибринозно-гнойный плеврит.


Сообщение отредактировал медик - 20.04.2011 - 16:00


Эскизы прикрепленных изображений
Судебная медицина - Прикрепленное изображение Судебная медицина - Прикрепленное изображение Судебная медицина - Прикрепленное изображение Судебная медицина - Прикрепленное изображение
Пользователь offline
К началу страницы
+Ответить с цитированием
Медик
сообщение 20.04.2011 - 16:14
Сообщение #205


Учитель
Group Icon
Группа: Модераторы
Регистрация: 16.05.2010
Пользователь №: 21 553


В продолжение.В сообщение не смог добавить пятый файл.
Фото 5.Тромб из легочной артерии.


Эскизы прикрепленных изображений
Судебная медицина - Прикрепленное изображение
Пользователь offline
К началу страницы
+Ответить с цитированием
КВН
сообщение 21.04.2011 - 08:12
Сообщение #206


Вновь прибывший

Группа: СМЭ
Регистрация: 7.07.2007
Пользователь №: 5 300


ДТП, разрыв матки у беременной в сроке 28 недель, с перемещением младенца[в брюшную полость attachmentid=7004]Судебная медицина - Прикрепленное изображение


Эскизы прикрепленных изображений
Судебная медицина - Прикрепленное изображение
Пользователь offline
К началу страницы
+Ответить с цитированием
Медик
сообщение 22.04.2011 - 17:48
Сообщение #207


Учитель
Group Icon
Группа: Модераторы
Регистрация: 16.05.2010
Пользователь №: 21 553


Отравление дихлорэтаном.Смерть на 4 сутки.
Фото 1.Некроз печени.
Фото 2.Внутрислизистые кровоизлияния в желудке.
Фото 3.Панкреонекроз.
Фото 4.Некротический нефроз.


Эскизы прикрепленных изображений
Судебная медицина - Прикрепленное изображение Судебная медицина - Прикрепленное изображение Судебная медицина - Прикрепленное изображение Судебная медицина - Прикрепленное изображение
Пользователь offline
К началу страницы
+Ответить с цитированием
Медик
сообщение 27.04.2011 - 15:11
Сообщение #208


Учитель
Group Icon
Группа: Модераторы
Регистрация: 16.05.2010
Пользователь №: 21 553


Реканализация тромба.


Эскизы прикрепленных изображений
Судебная медицина - Прикрепленное изображение
Пользователь offline
К началу страницы
+Ответить с цитированием
Медик
сообщение 28.04.2011 - 17:36
Сообщение #209


Учитель
Group Icon
Группа: Модераторы
Регистрация: 16.05.2010
Пользователь №: 21 553


Женщина,53 лет,обратилась за медпомощью в поликлинику.Рентгенологически и эндоскопически рак желудка не диагностирован.До госпитализации в стационар не дожила.
Фото 1.Рентгенограмма.
Фото 2.Диффузный тотальный рак желудка (пластический линит).
Фото 3.Метастазы рака.


Эскизы прикрепленных изображений
Судебная медицина - Прикрепленное изображение Судебная медицина - Прикрепленное изображение Судебная медицина - Прикрепленное изображение
Пользователь offline
К началу страницы
+Ответить с цитированием
Norman
сообщение 30.04.2011 - 18:35
Сообщение #210


Авторитетный участник

Группа: СМЭ
Регистрация: 2.01.2010
Пользователь №: 19 127


Обнаружил давнешние (со времен интернатуры) фотораграфии рентгенограмм со случаев самоубийств из строительных пистолетов.



Эскизы прикрепленных изображений
Судебная медицина - Прикрепленное изображение Судебная медицина - Прикрепленное изображение Судебная медицина - Прикрепленное изображение
Пользователь offline
К началу страницы
+Ответить с цитированием

75 страниц V « < 12 13 14 15 16 > » 



- Обратная связь Сейчас: 12.10.2025 - 22:30