Здравствуйте, гость ( Вход | Регистрация )

Форум судебных медиков России
>   Правила раздела >

Здесь обсуждаются вопросы судебно-медицинской танатологии и судебно-медицинской гистологии.

 
75 страниц V « < 13 14 15 16 17 > »   
>

Просто иллюстрации, фотографии интересных случаев

Рейтинг  5
>
Медик
сообщение 5.05.2011 - 18:44
Сообщение #211


Учитель
Group Icon
Группа: Модераторы
Регистрация: 16.05.2010
Пользователь №: 21 553


Туберкулёз тонкой кишки.


Эскизы прикрепленных изображений
Судебная медицина - Прикрепленное изображение
Пользователь offline
К началу страницы
+Ответить с цитированием
Медик
сообщение 5.05.2011 - 19:46
Сообщение #212


Учитель
Group Icon
Группа: Модераторы
Регистрация: 16.05.2010
Пользователь №: 21 553


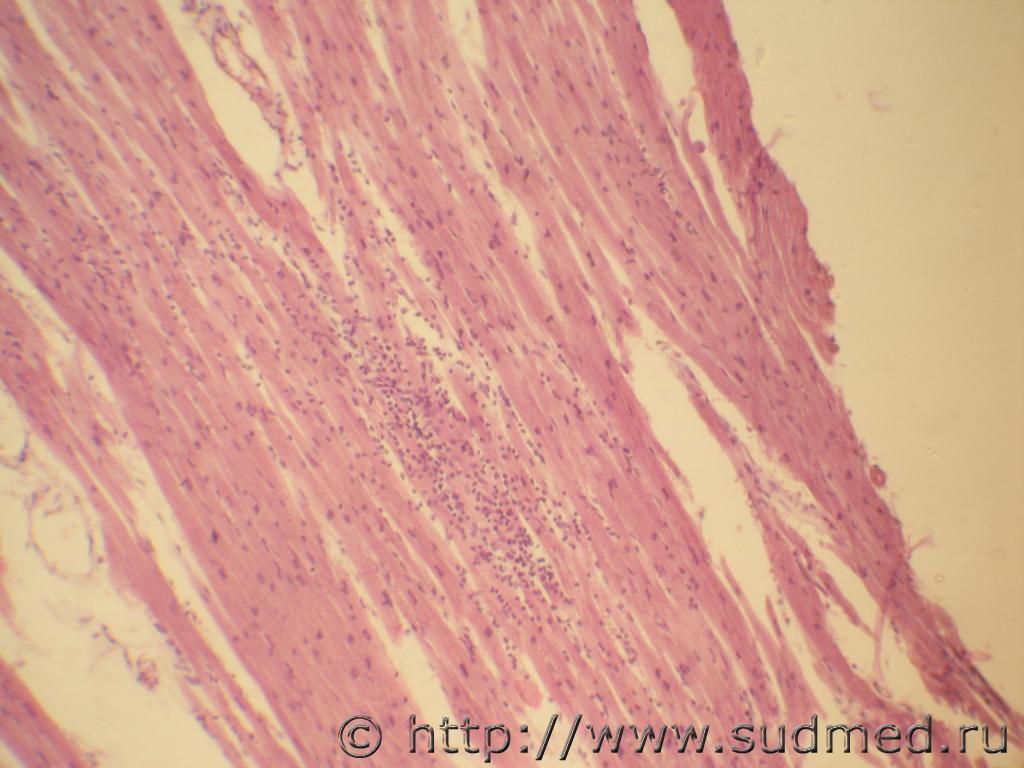
Мужчина,39 лет.Внезапная сердечная смерть.
Продуктивный миокардит.Воспалительный инфильтрат представлен лимфоцитами,моноцитами,гистиоцитами и редкими плазматическими клетками.


Эскизы прикрепленных изображений
Судебная медицина - Прикрепленное изображение
Пользователь offline
К началу страницы
+Ответить с цитированием
Медик
сообщение 11.05.2011 - 15:16
Сообщение #213


Учитель
Group Icon
Группа: Модераторы
Регистрация: 16.05.2010
Пользователь №: 21 553


Глубокий венозный тромбоз правой голени.
Фото 1.Общий вид голени на разрезе.
Фото 2.Отдельно мышцы голени.


Эскизы прикрепленных изображений
Судебная медицина - Прикрепленное изображение Судебная медицина - Прикрепленное изображение
Пользователь offline
К началу страницы
+Ответить с цитированием
Медик
сообщение 12.05.2011 - 16:54
Сообщение #214


Учитель
Group Icon
Группа: Модераторы
Регистрация: 16.05.2010
Пользователь №: 21 553


Мужчина,27 лет,открытый оскольчатый перелом костей голени.В послеоперационном периоде флегмона голени,тромбофлебит,сепсис.Бактериологически в крови выделен золотистый стафилококк.
Фото 1.Тромб из вены голени.
Фото 2.Лёгкое,бактериальный эмбол.

Сообщение отредактировал медик - 12.05.2011 - 17:54


Эскизы прикрепленных изображений
Судебная медицина - Прикрепленное изображение Судебная медицина - Прикрепленное изображение
Пользователь offline
К началу страницы
+Ответить с цитированием
Медик
сообщение 13.05.2011 - 16:08
Сообщение #215


Учитель
Group Icon
Группа: Модераторы
Регистрация: 16.05.2010
Пользователь №: 21 553


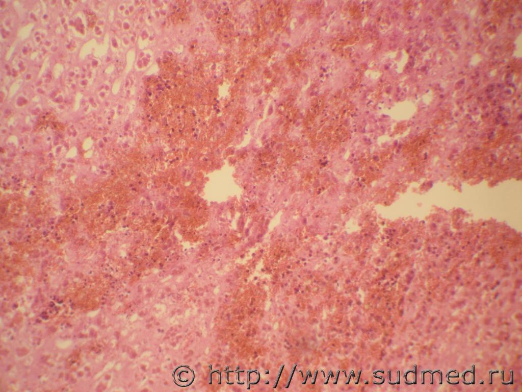
Септический шок.
Фото 1.Интралобулярный некроз в печени.
Фото 2.Лейкостаз в сосудах микроциркуляторного русла лёгкого.
Фото 3.Кровоизлияние в надпочечнике.


Эскизы прикрепленных изображений
Судебная медицина - Прикрепленное изображение Судебная медицина - Прикрепленное изображение Судебная медицина - Прикрепленное изображение
Пользователь offline
К началу страницы
+Ответить с цитированием
Медик
сообщение 16.05.2011 - 16:01
Сообщение #216


Учитель
Group Icon
Группа: Модераторы
Регистрация: 16.05.2010
Пользователь №: 21 553


Смешанный (макро-микронодулярный) цирроз печени.
Фото 1.Общий вид.
Фото 2.Печень на разрезе.
Фото 3.Желтушный нефроз.
Фото 4.Поверхность печени.


Эскизы прикрепленных изображений
Судебная медицина - Прикрепленное изображение Судебная медицина - Прикрепленное изображение Судебная медицина - Прикрепленное изображение Судебная медицина - Прикрепленное изображение
Пользователь offline
К началу страницы
+Ответить с цитированием
Norman
сообщение 19.05.2011 - 20:45
Сообщение #217


Авторитетный участник

Группа: СМЭ
Регистрация: 2.01.2010
Пользователь №: 19 127


Киста селезёнки


Эскизы прикрепленных изображений
Судебная медицина - Прикрепленное изображение Судебная медицина - Прикрепленное изображение
Пользователь offline
К началу страницы
+Ответить с цитированием
Медик
сообщение 20.05.2011 - 18:45
Сообщение #218


Учитель
Group Icon
Группа: Модераторы
Регистрация: 16.05.2010
Пользователь №: 21 553


Женщина,30 лет.Хроническая опиоидная наркомания.Газовая гангрена левой ноги.Бактериологически Сl.perfringens.
Фото 1.Места внутривенных инъекций.
Остальные фотографии-газовая гангрена.


Эскизы прикрепленных изображений
Судебная медицина - Прикрепленное изображение Судебная медицина - Прикрепленное изображение Судебная медицина - Прикрепленное изображение Судебная медицина - Прикрепленное изображение Судебная медицина - Прикрепленное изображение
Пользователь offline
К началу страницы
+Ответить с цитированием
Медик
сообщение 20.05.2011 - 19:26
Сообщение #219


Учитель
Group Icon
Группа: Модераторы
Регистрация: 16.05.2010
Пользователь №: 21 553


Очаговая пневмония.


Эскизы прикрепленных изображений
Судебная медицина - Прикрепленное изображение
Пользователь offline
К началу страницы
+Ответить с цитированием
Медик
сообщение 20.05.2011 - 19:46
Сообщение #220


Учитель
Group Icon
Группа: Модераторы
Регистрация: 16.05.2010
Пользователь №: 21 553


Фото 1.Карбункул почки.

Фото 2,3."Щитовидная почка".

Сообщение отредактировал медик - 20.05.2011 - 19:47


Эскизы прикрепленных изображений
Судебная медицина - Прикрепленное изображение Судебная медицина - Прикрепленное изображение Судебная медицина - Прикрепленное изображение
Пользователь offline
К началу страницы
+Ответить с цитированием
Медик
сообщение 30.05.2011 - 16:05
Сообщение #221


Учитель
Group Icon
Группа: Модераторы
Регистрация: 16.05.2010
Пользователь №: 21 553


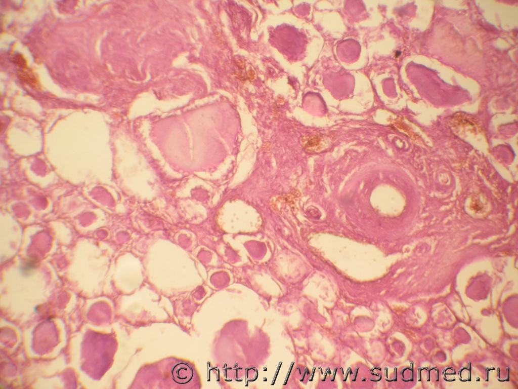
Кисты печени.


Эскизы прикрепленных изображений
Судебная медицина - Прикрепленное изображение Судебная медицина - Прикрепленное изображение Судебная медицина - Прикрепленное изображение Судебная медицина - Прикрепленное изображение
Пользователь offline
К началу страницы
+Ответить с цитированием
Медик
сообщение 30.05.2011 - 16:34
Сообщение #222


Учитель
Group Icon
Группа: Модераторы
Регистрация: 16.05.2010
Пользователь №: 21 553


Алкогольный мелкоузловой цирроз печени.
Фото 1.Общий вид.
Фото 2.Поверхность печени.
Фото 3.Печень на разрезе.


Эскизы прикрепленных изображений
Судебная медицина - Прикрепленное изображение Судебная медицина - Прикрепленное изображение Судебная медицина - Прикрепленное изображение
Пользователь offline
К началу страницы
+Ответить с цитированием
Медик
сообщение 30.05.2011 - 16:48
Сообщение #223


Учитель
Group Icon
Группа: Модераторы
Регистрация: 16.05.2010
Пользователь №: 21 553


Смешанный тромб в просвете артериолы лёгкого.


Эскизы прикрепленных изображений
Судебная медицина - Прикрепленное изображение Судебная медицина - Прикрепленное изображение
Пользователь offline
К началу страницы
+Ответить с цитированием
Жаргал
сообщение 1.06.2011 - 09:33
Сообщение #224


Претендент

Группа: СМЭ
Регистрация: 18.11.2008
Из: Евразия, Россия.
Пользователь №: 10 996


криминальный аборт. мертвый плод в матке умершей.
инородное тело - фрагмент трубки от в/в системы.


Эскизы прикрепленных изображений
Судебная медицина - Прикрепленное изображение
Пользователь offline
К началу страницы
+Ответить с цитированием
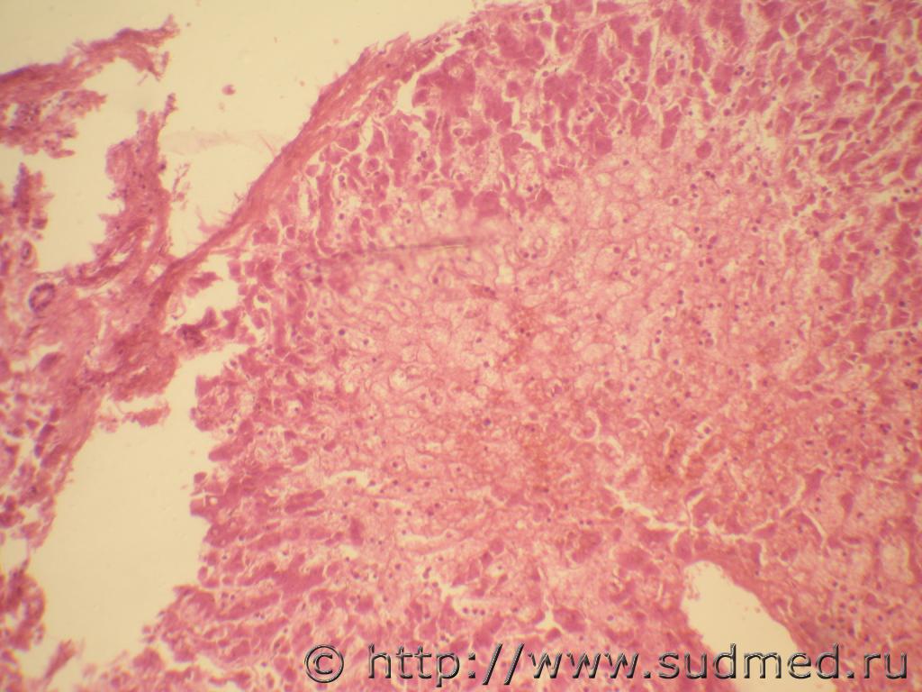
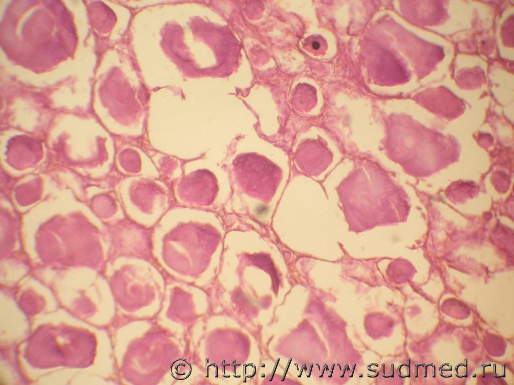
Медик
сообщение 1.06.2011 - 17:37
Сообщение #225


Учитель
Group Icon
Группа: Модераторы
Регистрация: 16.05.2010
Пользователь №: 21 553


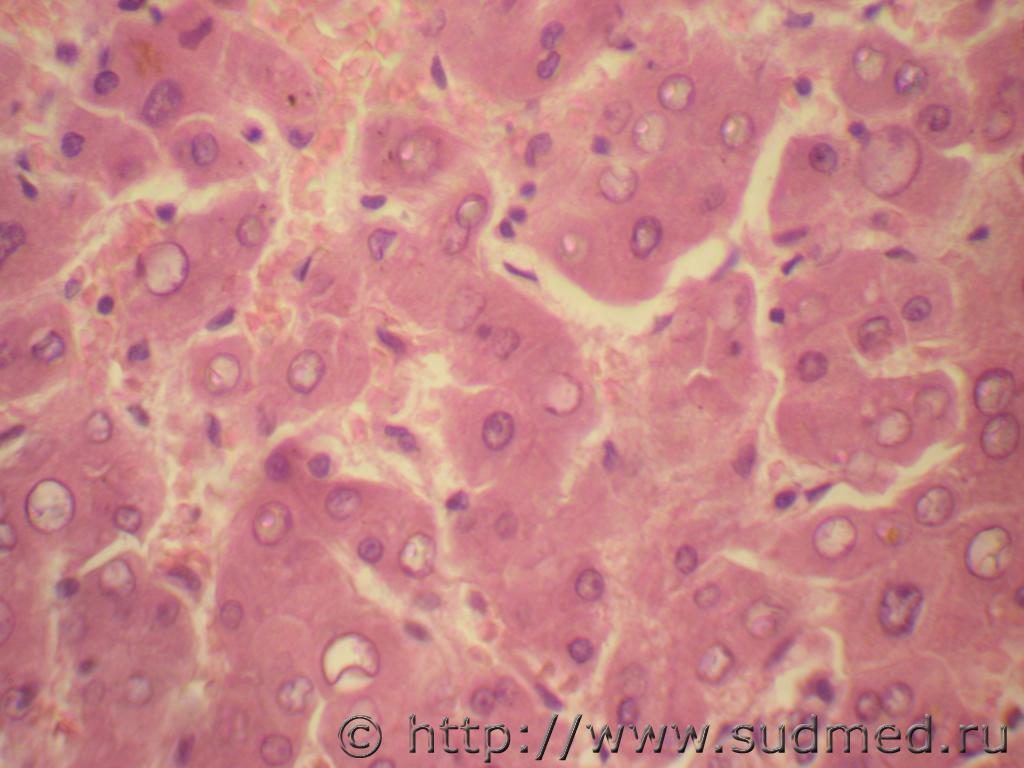
Синдром системного воспалительного ответа.
Фото.Светлые ядра в гепатоцитах.


Эскизы прикрепленных изображений
Судебная медицина - Прикрепленное изображение Судебная медицина - Прикрепленное изображение
Пользователь offline
К началу страницы
+Ответить с цитированием

75 страниц V « < 13 14 15 16 17 > » 



- Обратная связь Сейчас: 12.10.2025 - 22:30