Здравствуйте, гость ( Вход | Регистрация )

Форум судебных медиков России
>   Правила раздела >

Здесь обсуждаются вопросы судебно-медицинской танатологии и судебно-медицинской гистологии.

 
75 страниц V « < 15 16 17 18 19 > »   
>

Просто иллюстрации, фотографии интересных случаев

Рейтинг  5
>
Медик
сообщение 11.07.2011 - 20:02
Сообщение #241


Учитель
Group Icon
Группа: Модераторы
Регистрация: 16.05.2010
Пользователь №: 21 553


Коралловидный камень.

Сообщение отредактировал медик - 11.07.2011 - 20:03


Эскизы прикрепленных изображений
Судебная медицина - Прикрепленное изображение
Пользователь offline
К началу страницы
+Ответить с цитированием
Медик
сообщение 13.07.2011 - 20:35
Сообщение #242


Учитель
Group Icon
Группа: Модераторы
Регистрация: 16.05.2010
Пользователь №: 21 553


Синдром портальной гипертензии:асцит,варикозное расширение вен пищевода,спленомегалия (размеры селезёнки 24х13,5х6,5см.,вес 797г.),диаметр воротной вены 1,8см.
Фото.Варикозное расширение вен пищевода.


Эскизы прикрепленных изображений
Судебная медицина - Прикрепленное изображение
Пользователь offline
К началу страницы
+Ответить с цитированием
Медик
сообщение 14.07.2011 - 20:41
Сообщение #243


Учитель
Group Icon
Группа: Модераторы
Регистрация: 16.05.2010
Пользователь №: 21 553


Субдуральная гематома,декомпрессивно-резекционная трепанация черепа,удаление гематомы (80мл.).Смерть на 3 сутки после операции.
Фото.Субдуральная гематома.


Эскизы прикрепленных изображений
Судебная медицина - Прикрепленное изображение Судебная медицина - Прикрепленное изображение Судебная медицина - Прикрепленное изображение
Пользователь offline
К началу страницы
+Ответить с цитированием
Медик
сообщение 14.07.2011 - 22:01
Сообщение #244


Учитель
Group Icon
Группа: Модераторы
Регистрация: 16.05.2010
Пользователь №: 21 553


Хроническая сердечная недостаточность.
Фото. Мускатный цирроз печени.


Эскизы прикрепленных изображений
Судебная медицина - Прикрепленное изображение Судебная медицина - Прикрепленное изображение Судебная медицина - Прикрепленное изображение
Пользователь offline
К началу страницы
+Ответить с цитированием
expertms
сообщение 15.07.2011 - 16:03
Сообщение #245


Продвинутый участник

Группа: СМЭ
Регистрация: 24.05.2011
Пользователь №: 27 243


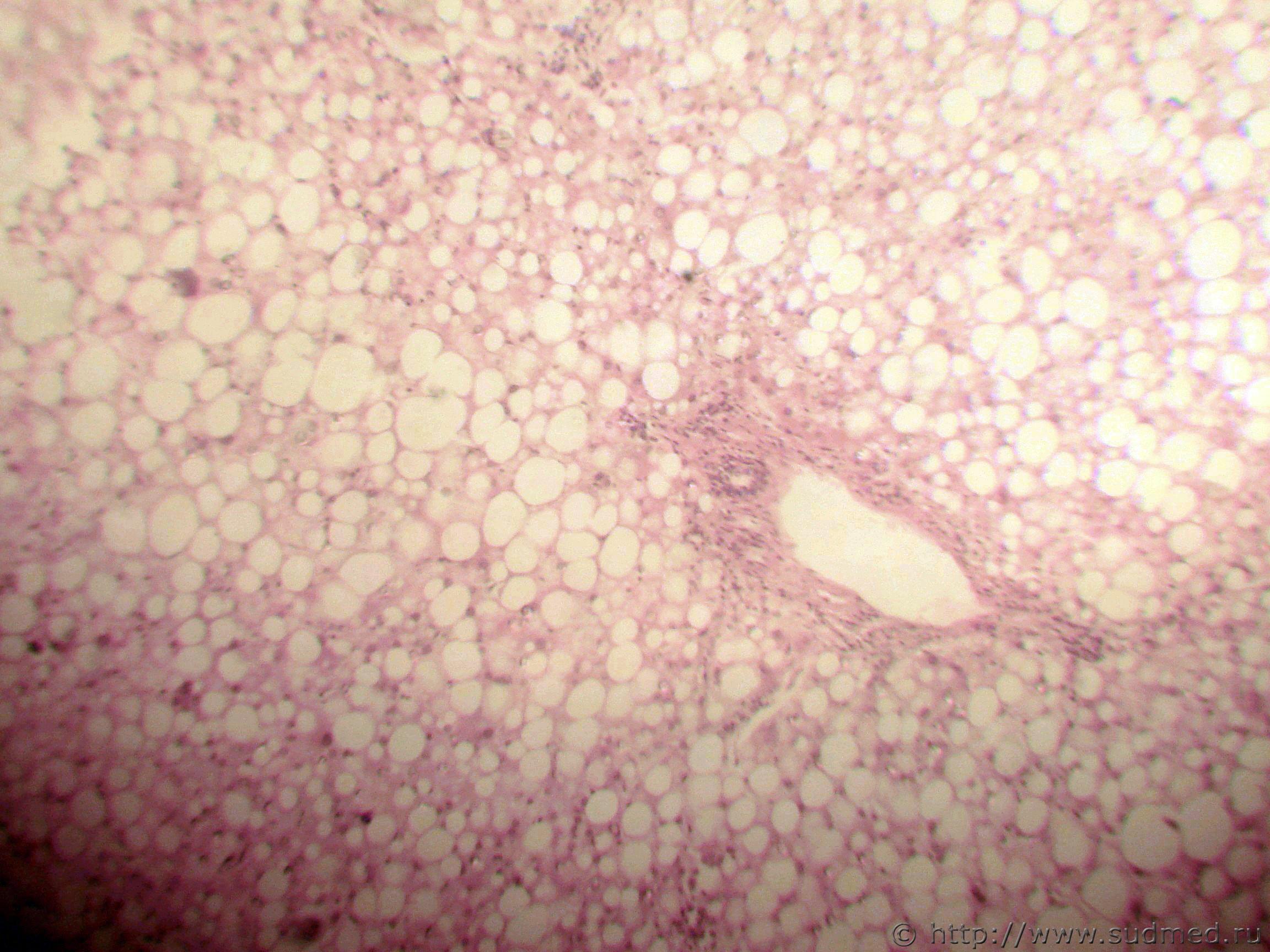
Хроническая алкогольная интоксикация.
Фото 1-3 энцефалопатия Гайе-Вернике: пролиферация эндотелия, обилие гематоксилиновых шаров в паравентрикулярных областях, слабая восприимчивость к красителям (фото 1,2), распад нейропиля, гибель нейронов (фото 3).
Фото 4 жировой гепатоз.
Фото 5 жировая дистрофия почек.


Эскизы прикрепленных изображений
Судебная медицина - Прикрепленное изображение Судебная медицина - Прикрепленное изображение Судебная медицина - Прикрепленное изображение Судебная медицина - Прикрепленное изображение Судебная медицина - Прикрепленное изображение
Пользователь offline
К началу страницы
+Ответить с цитированием
Медик
сообщение 18.07.2011 - 16:59
Сообщение #246


Учитель
Group Icon
Группа: Модераторы
Регистрация: 16.05.2010
Пользователь №: 21 553


Женщина,55 лет.Внутримозговая гематома с прорывом крови в желудочки;гипертоническая болезнь.
Фото.Полосчатые кровоизлияния под эндокардом левого желудочка.


Эскизы прикрепленных изображений
Судебная медицина - Прикрепленное изображение
Пользователь offline
К началу страницы
+Ответить с цитированием
Медик
сообщение 18.07.2011 - 17:31
Сообщение #247


Учитель
Group Icon
Группа: Модераторы
Регистрация: 16.05.2010
Пользователь №: 21 553


Фото.Менингиома.


Эскизы прикрепленных изображений
Судебная медицина - Прикрепленное изображение
Пользователь offline
К началу страницы
+Ответить с цитированием
Медик
сообщение 18.07.2011 - 17:47
Сообщение #248


Учитель
Group Icon
Группа: Модераторы
Регистрация: 16.05.2010
Пользователь №: 21 553


Дивертикулёз сигмовидной кишки.


Эскизы прикрепленных изображений
Судебная медицина - Прикрепленное изображение Судебная медицина - Прикрепленное изображение
Пользователь offline
К началу страницы
+Ответить с цитированием
Медик
сообщение 18.07.2011 - 18:33
Сообщение #249


Учитель
Group Icon
Группа: Модераторы
Регистрация: 16.05.2010
Пользователь №: 21 553


Абсцесс яичника.
Фото.Друзы актиномицет в гное.


Эскизы прикрепленных изображений
Судебная медицина - Прикрепленное изображение Судебная медицина - Прикрепленное изображение
Пользователь offline
К началу страницы
+Ответить с цитированием
Медик
сообщение 20.07.2011 - 15:02
Сообщение #250


Учитель
Group Icon
Группа: Модераторы
Регистрация: 16.05.2010
Пользователь №: 21 553


"Очаговые костные разрастания могут быть связаны с наличием опухоли твёрдой мозговой оболочки,менингиомы".Макроскопическая дифференциальная диагностика патологических процессов.П.Ф.Калитиевский,1987г.
Фото 1,2.Менингиома.
Фото 3.Внутренние гиперостозы лобной кости.
Фото 4.Парез толстой кишки.

Сообщение отредактировал медик - 20.07.2011 - 15:03


Эскизы прикрепленных изображений
Судебная медицина - Прикрепленное изображение Судебная медицина - Прикрепленное изображение Судебная медицина - Прикрепленное изображение Судебная медицина - Прикрепленное изображение
Пользователь offline
К началу страницы
+Ответить с цитированием
vendredi
сообщение 24.07.2011 - 21:51
Сообщение #251


Участник форума

Группа: СМЭ
Регистрация: 2.06.2005
Из: Франция
Пользователь №: 555


Болезнь Куру относится к прионовым заболеваниям.
В гистологических срезах отмечается вакуолизация, смерть нейронов и выраженный глиоз
Срез 1 и 2

болезнь Крейтцфельдта-Якоба (Во Франции встречается спорадически, вскрытие проводится как при особо опасных инфекциях, весь используемый материал подлежит специальному инструктажу по уничтожению)
Гистологически отмечается спонгиозность ткани головного мозга
срез 3

Сообщение отредактировал vendredi - 24.07.2011 - 21:53


Прикрепленные изображения
Судебная медицина - Прикрепленное изображение Судебная медицина - Прикрепленное изображение Судебная медицина - Прикрепленное изображение
Пользователь offline
К началу страницы
+Ответить с цитированием
vendredi
сообщение 24.07.2011 - 22:03
Сообщение #252


Участник форума

Группа: СМЭ
Регистрация: 2.06.2005
Из: Франция
Пользователь №: 555


Болезнь Альцгеймера (я вложила лекцию Франсуазы Грай с гистологическими снимками)


Эскизы прикрепленных изображений
Судебная медицина - Прикрепленное изображение

Прикрепленные файлы
Судебная медицина - Прикрепленный файл  download.php.pdf ( 2.64 мегабайт ) Кол-во скачиваний:  1083
Пользователь offline
К началу страницы
+Ответить с цитированием
Медик
сообщение 12.08.2011 - 21:34
Сообщение #253


Учитель
Group Icon
Группа: Модераторы
Регистрация: 16.05.2010
Пользователь №: 21 553


Мужчина,38 лет.Расслоение аорты на всём протяжении.Сдавление коронарных артерий.Острый инфаркт миокарда.Разрыв наружной оболочки восходящей аорты.Гемотампонада перикарда.Тромбоэмболия правой подколенной артерии.Некроз мышц правой голени.
Фото 1.Гемотампонада перикарда.
Фото 2.Острый инфаркт миокарда.
Фото 3.Некроз мышц правой голени.
Фото 4.Контроль-мышцы правого бедра.


Эскизы прикрепленных изображений
Судебная медицина - Прикрепленное изображение Судебная медицина - Прикрепленное изображение Судебная медицина - Прикрепленное изображение Судебная медицина - Прикрепленное изображение
Пользователь offline
К началу страницы
+Ответить с цитированием
Медик
сообщение 12.08.2011 - 21:57
Сообщение #254


Учитель
Group Icon
Группа: Модераторы
Регистрация: 16.05.2010
Пользователь №: 21 553


Гематоксилиновые шары.


Эскизы прикрепленных изображений
Судебная медицина - Прикрепленное изображение Судебная медицина - Прикрепленное изображение
Пользователь offline
К началу страницы
+Ответить с цитированием
Медик
сообщение 12.08.2011 - 22:38
Сообщение #255


Учитель
Group Icon
Группа: Модераторы
Регистрация: 16.05.2010
Пользователь №: 21 553


Мужчина,62 лет,доставлен в приёмное отделение больницы с ЖКК.Реанимационные мероприятия без успеха и наступила смерть.
Фото 1.Атеросклеротическая аневризма брюшной аорты.
Фото 2.Свищ между аневризмой и двенадцатиперстной кишкой.
Фото 3.Зонд вставлен со стороны двенадцатиперстной кишки.
Фото 4.Выход зонда в полость аневризмы.


Эскизы прикрепленных изображений
Судебная медицина - Прикрепленное изображение Судебная медицина - Прикрепленное изображение Судебная медицина - Прикрепленное изображение Судебная медицина - Прикрепленное изображение
Пользователь offline
К началу страницы
+Ответить с цитированием

75 страниц V « < 15 16 17 18 19 > » 



- Обратная связь Сейчас: 13.10.2025 - 00:09