Здравствуйте, гость ( Вход | Регистрация )

Форум судебных медиков России
>   Правила раздела >

Здесь обсуждаются вопросы судебно-медицинской танатологии и судебно-медицинской гистологии.

 
75 страниц V « < 16 17 18 19 20 > »   
>

Просто иллюстрации, фотографии интересных случаев

Рейтинг  5
>
Медик
сообщение 12.08.2011 - 23:04
Сообщение #256


Учитель
Group Icon
Группа: Модераторы
Регистрация: 16.05.2010
Пользователь №: 21 553


Мужчина,72 лет.Гиалиноз серозных оболочек.
Фото 1.Селезёнка.
Фото 2.Печень.(См.правую долю).
Фото 3.Пристеночная брюшина.

Сообщение отредактировал медик - 12.08.2011 - 23:07


Эскизы прикрепленных изображений
Судебная медицина - Прикрепленное изображение Судебная медицина - Прикрепленное изображение Судебная медицина - Прикрепленное изображение
Пользователь offline
К началу страницы
+Ответить с цитированием
Медик
сообщение 12.08.2011 - 23:28
Сообщение #257


Учитель
Group Icon
Группа: Модераторы
Регистрация: 16.05.2010
Пользователь №: 21 553


Мужчина,29 лет.Хроническая опиоидная наркомания.Доставлен из СИЗО в хирургическое отделение,где умер в послеоперационном периоде.
Фото 1.Места введения наркотика.
Фото 2,3,4.Флегмона левого бедра.
Фото 5.Глубокий тромбофлебит левого бедра.
Фото 6,7.Абсцессы в лёгких.
Фото 8.Септическая селезёнка.


Эскизы прикрепленных изображений
Судебная медицина - Прикрепленное изображение Судебная медицина - Прикрепленное изображение Судебная медицина - Прикрепленное изображение Судебная медицина - Прикрепленное изображение Судебная медицина - Прикрепленное изображение Судебная медицина - Прикрепленное изображение Судебная медицина - Прикрепленное изображение Судебная медицина - Прикрепленное изображение
Пользователь offline
К началу страницы
+Ответить с цитированием
Медик
сообщение 12.08.2011 - 23:44
Сообщение #258


Учитель
Group Icon
Группа: Модераторы
Регистрация: 16.05.2010
Пользователь №: 21 553


Женщина,37 лет.Смерть в МСП.
Хроническая язва двенадцатиперстной кишки с кровотечением.


Эскизы прикрепленных изображений
Судебная медицина - Прикрепленное изображение
Пользователь offline
К началу страницы
+Ответить с цитированием
Медик
сообщение 13.08.2011 - 00:05
Сообщение #259


Учитель
Group Icon
Группа: Модераторы
Регистрация: 16.05.2010
Пользователь №: 21 553


Мужчина,35 лет.ВИЧ-инфекция,стадия 4В (СПИД).Хроническая опиоидная наркомания.
Фото 1,2,3.Хронический менингоэнцефалит.
Фото 4,5.Хронический паренхиматозно-межуточный миокардит.
Фото 6.Мускатная печень.
Микрофотографии пневмоцистной пневмонии низкого качества,по этой причине не представлены.

Сообщение отредактировал медик - 13.08.2011 - 00:12


Эскизы прикрепленных изображений
Судебная медицина - Прикрепленное изображение Судебная медицина - Прикрепленное изображение Судебная медицина - Прикрепленное изображение Судебная медицина - Прикрепленное изображение Судебная медицина - Прикрепленное изображение Судебная медицина - Прикрепленное изображение
Пользователь offline
К началу страницы
+Ответить с цитированием
Медик
сообщение 13.08.2011 - 00:30
Сообщение #260


Учитель
Group Icon
Группа: Модераторы
Регистрация: 16.05.2010
Пользователь №: 21 553


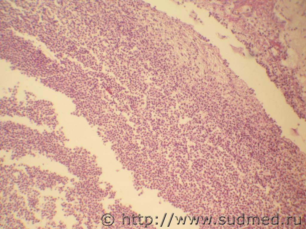
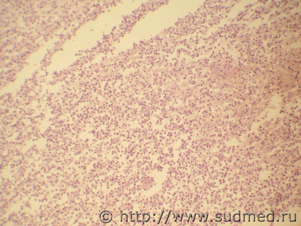
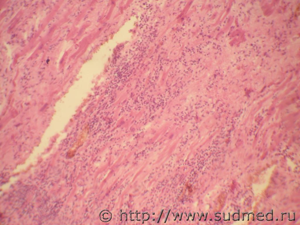
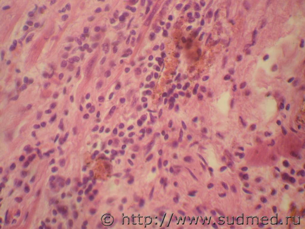
Женщина,54 лет.Острый гнойный сфеноидит.Вторичный гнойный менингоэнцефалит.Острый абсцесс правой затылочной доли.
Фото 1.Мягкая мозговая оболочка.
Фото 2.Энцефалит.
Фото 3.Абсцесс.
Фото 4,5.Общий вид головного мозга.

Сообщение отредактировал медик - 13.08.2011 - 00:34


Эскизы прикрепленных изображений
Судебная медицина - Прикрепленное изображение Судебная медицина - Прикрепленное изображение Судебная медицина - Прикрепленное изображение Судебная медицина - Прикрепленное изображение Судебная медицина - Прикрепленное изображение
Пользователь offline
К началу страницы
+Ответить с цитированием
Медик
сообщение 13.08.2011 - 00:48
Сообщение #261


Учитель
Group Icon
Группа: Модераторы
Регистрация: 16.05.2010
Пользователь №: 21 553


Лейомиома матки.


Эскизы прикрепленных изображений
Судебная медицина - Прикрепленное изображение Судебная медицина - Прикрепленное изображение
Пользователь offline
К началу страницы
+Ответить с цитированием
Медик
сообщение 13.08.2011 - 17:36
Сообщение #262


Учитель
Group Icon
Группа: Модераторы
Регистрация: 16.05.2010
Пользователь №: 21 553


Рак почки.


Эскизы прикрепленных изображений
Судебная медицина - Прикрепленное изображение Судебная медицина - Прикрепленное изображение
Пользователь offline
К началу страницы
+Ответить с цитированием
Медик
сообщение 13.08.2011 - 17:54
Сообщение #263


Учитель
Group Icon
Группа: Модераторы
Регистрация: 16.05.2010
Пользователь №: 21 553


Мужчина,41 года.Вечером был пьян.Утром началась рвота.В конце-концов начал рвать кровью и умер.
Синдром Мэллори-Вейса.
Фото.Один из разрывов слизистой оболочки в области кардиального отверстия.


Эскизы прикрепленных изображений
Судебная медицина - Прикрепленное изображение
Пользователь offline
К началу страницы
+Ответить с цитированием
Медик
сообщение 13.08.2011 - 18:10
Сообщение #264


Учитель
Group Icon
Группа: Модераторы
Регистрация: 16.05.2010
Пользователь №: 21 553


Атрофия мышц голени,замещение жировой тканью.


Эскизы прикрепленных изображений
Судебная медицина - Прикрепленное изображение
Пользователь offline
К началу страницы
+Ответить с цитированием
Медик
сообщение 13.08.2011 - 18:23
Сообщение #265


Учитель
Group Icon
Группа: Модераторы
Регистрация: 16.05.2010
Пользователь №: 21 553


Мужчина,70 лет.Гипоплазия левой доли печени.

Сообщение отредактировал медик - 13.08.2011 - 18:25


Эскизы прикрепленных изображений
Судебная медицина - Прикрепленное изображение Судебная медицина - Прикрепленное изображение
Пользователь offline
К началу страницы
+Ответить с цитированием
Медик
сообщение 13.08.2011 - 18:39
Сообщение #266


Учитель
Group Icon
Группа: Модераторы
Регистрация: 16.05.2010
Пользователь №: 21 553


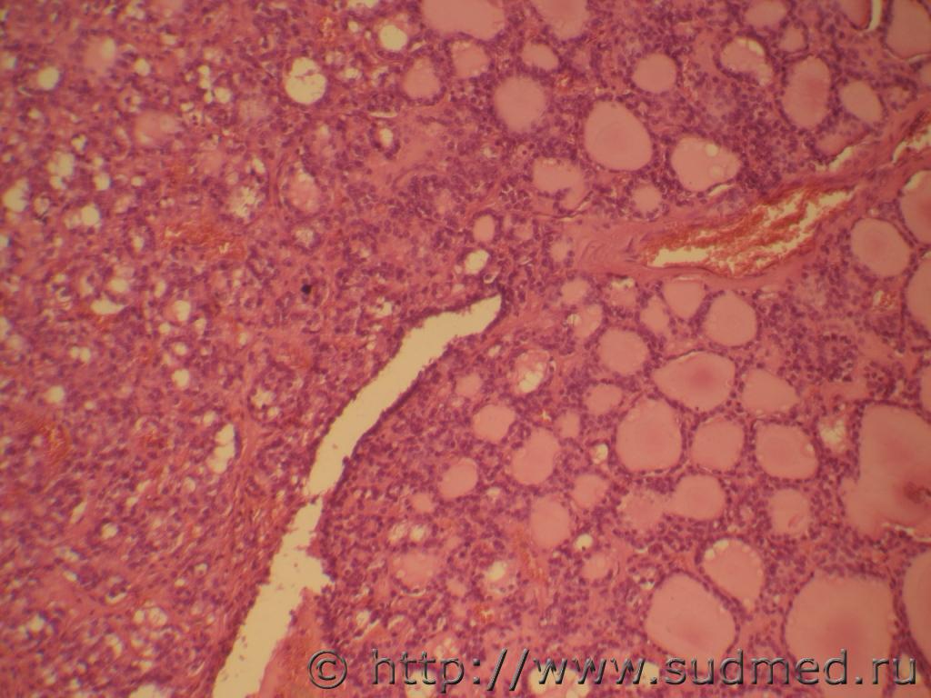
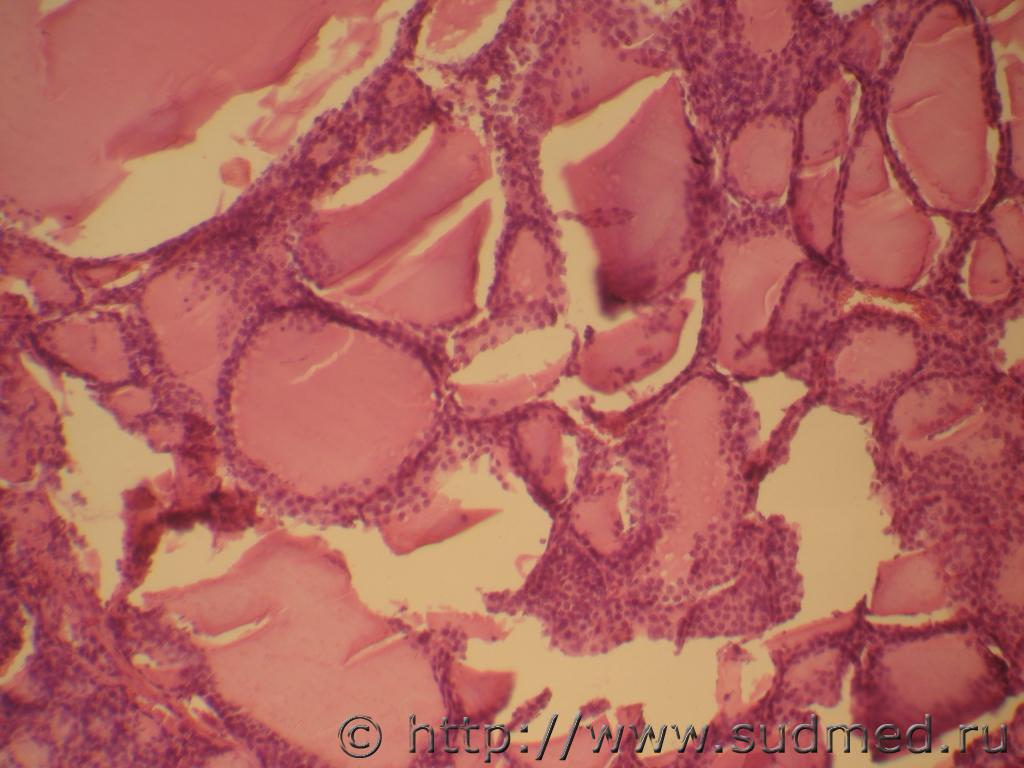
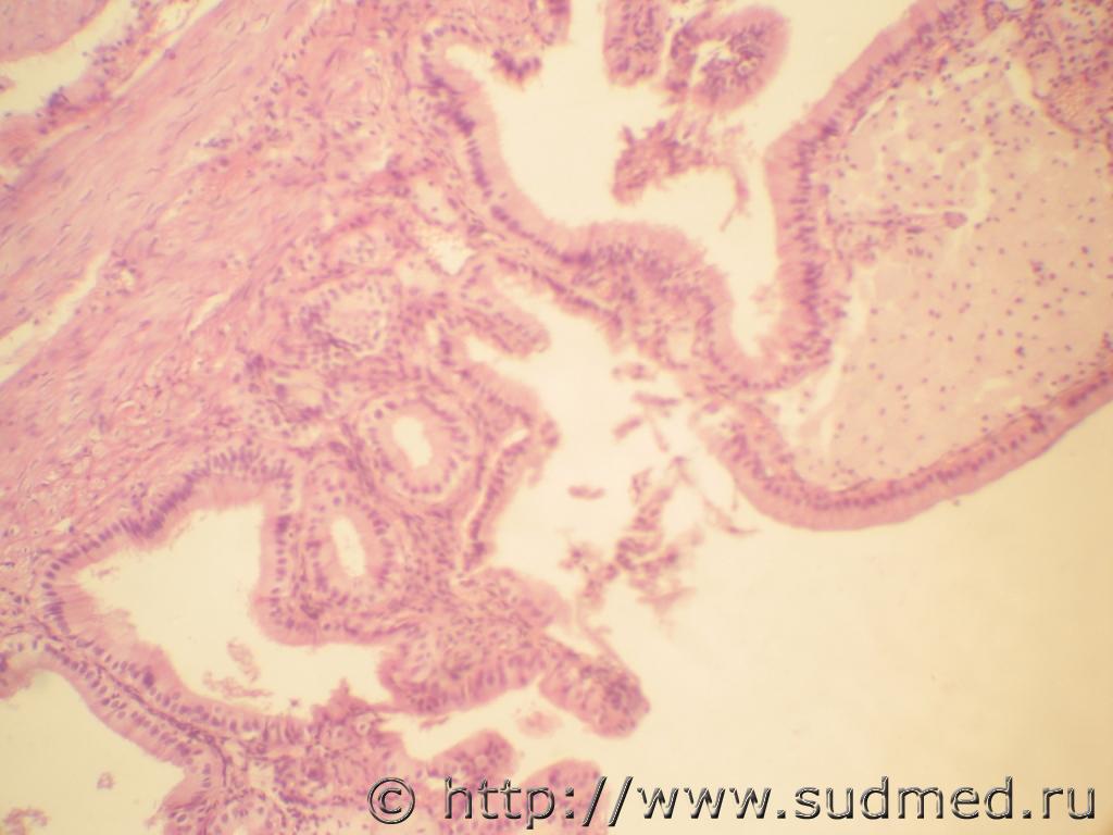
Женщина,49 лет.Была назначена плановая операция в онкодиспансере.Не дожила.Повешение.
Фото.Зрелая тератома яичника (струма яичника).


Эскизы прикрепленных изображений
Судебная медицина - Прикрепленное изображение Судебная медицина - Прикрепленное изображение
Пользователь offline
К началу страницы
+Ответить с цитированием
Медик
сообщение 13.08.2011 - 18:51
Сообщение #267


Учитель
Group Icon
Группа: Модераторы
Регистрация: 16.05.2010
Пользователь №: 21 553


Тромбоз левого ушка сердца.


Эскизы прикрепленных изображений
Судебная медицина - Прикрепленное изображение
Пользователь offline
К началу страницы
+Ответить с цитированием
Медик
сообщение 13.08.2011 - 19:10
Сообщение #268


Учитель
Group Icon
Группа: Модераторы
Регистрация: 16.05.2010
Пользователь №: 21 553


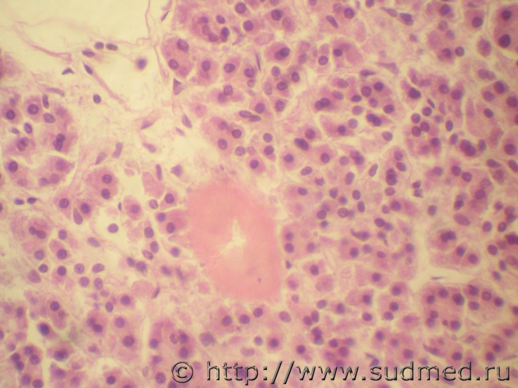
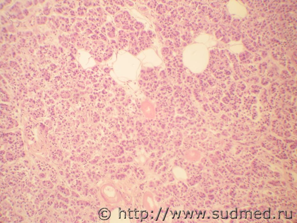
Гипертонический криз.Фибриноидный некроз артериол поджелудочной железы.Большое и малое увеличения микроскопа.


Эскизы прикрепленных изображений
Судебная медицина - Прикрепленное изображение Судебная медицина - Прикрепленное изображение
Пользователь offline
К началу страницы
+Ответить с цитированием
Медик
сообщение 13.08.2011 - 19:31
Сообщение #269


Учитель
Group Icon
Группа: Модераторы
Регистрация: 16.05.2010
Пользователь №: 21 553


Любознательного коллегу интересовало происхождение жёлтых узелков на слизистой оболочке жёлчного пузыря.
Фото.Холестероз жёлчного пузыря.


Эскизы прикрепленных изображений
Судебная медицина - Прикрепленное изображение Судебная медицина - Прикрепленное изображение
Пользователь offline
К началу страницы
+Ответить с цитированием
Медик
сообщение 13.08.2011 - 19:45
Сообщение #270


Учитель
Group Icon
Группа: Модераторы
Регистрация: 16.05.2010
Пользователь №: 21 553


Женщина,26 лет.Автотравма.
Фото.Частицы эмбриона из полости матки.

Сообщение отредактировал медик - 13.08.2011 - 20:02


Эскизы прикрепленных изображений
Судебная медицина - Прикрепленное изображение Судебная медицина - Прикрепленное изображение Судебная медицина - Прикрепленное изображение
Пользователь offline
К началу страницы
+Ответить с цитированием

75 страниц V « < 16 17 18 19 20 > » 



- Обратная связь Сейчас: 13.10.2025 - 03:30