Здравствуйте, гость ( Вход | Регистрация )

Форум судебных медиков России
>   Правила раздела >

Здесь обсуждаются вопросы судебно-медицинской танатологии и судебно-медицинской гистологии.

 
75 страниц V « < 17 18 19 20 21 > »   
>

Просто иллюстрации, фотографии интересных случаев

Рейтинг  5
>
Медик
сообщение 18.08.2011 - 16:05
Сообщение #271


Учитель
Group Icon
Группа: Модераторы
Регистрация: 16.05.2010
Пользователь №: 21 553


Фото 1,2.Микроскопические изменения мышц нижней конечности при синдроме позиционного сдавления тканей.
Фото 3.Острый тромбофлебит.


Эскизы прикрепленных изображений
Судебная медицина - Прикрепленное изображение Судебная медицина - Прикрепленное изображение Судебная медицина - Прикрепленное изображение
Пользователь offline
К началу страницы
+Ответить с цитированием
Mёd
сообщение 22.08.2011 - 23:40
Сообщение #272


Новичок

Группа: Участники
Регистрация: 21.05.2008
Пользователь №: 8 546


след от удара велосипедной цепью.
Судебная медицина - Прикрепленное изображение
PS: извиняюсь за плохое качество изображения (снято на мобильный телефон).
Пользователь offline
К началу страницы
+Ответить с цитированием
kalash_nick_off
сообщение 26.08.2011 - 20:04
Сообщение #273


Претендент

Группа: СМЭ
Регистрация: 27.08.2008
Из: Тюменская область
Пользователь №: 9 461


селезенка при сепсисе у наркомана
Судебная медицина - Прикрепленное изображение

описторх в просвете внутрипеченочного протока
Судебная медицина - Прикрепленное изображение

Сообщение отредактировал kalash_nick_off - 26.08.2011 - 20:05
Пользователь offline
К началу страницы
+Ответить с цитированием
Медик
сообщение 29.08.2011 - 17:37
Сообщение #274


Учитель
Group Icon
Группа: Модераторы
Регистрация: 16.05.2010
Пользователь №: 21 553


Мужчина,36 лет,после автотравмы.Умер в больнице от осложнений травмы.
Фото.Организация субдуральной гематомы.Повторные кровоизлияния.


Эскизы прикрепленных изображений
Судебная медицина - Прикрепленное изображение Судебная медицина - Прикрепленное изображение Судебная медицина - Прикрепленное изображение Судебная медицина - Прикрепленное изображение Судебная медицина - Прикрепленное изображение Судебная медицина - Прикрепленное изображение
Пользователь offline
К началу страницы
+Ответить с цитированием
Медик
сообщение 29.08.2011 - 17:54
Сообщение #275


Учитель
Group Icon
Группа: Модераторы
Регистрация: 16.05.2010
Пользователь №: 21 553


Мужчина,69 лет,недиагностированный при жизни рак желудка.
Фото 1.Рак-язва.
Фото 2.Кровь,удалённая из желудка.


Эскизы прикрепленных изображений
Судебная медицина - Прикрепленное изображение Судебная медицина - Прикрепленное изображение
Пользователь offline
К началу страницы
+Ответить с цитированием
Медик
сообщение 29.08.2011 - 18:06
Сообщение #276


Учитель
Group Icon
Группа: Модераторы
Регистрация: 16.05.2010
Пользователь №: 21 553


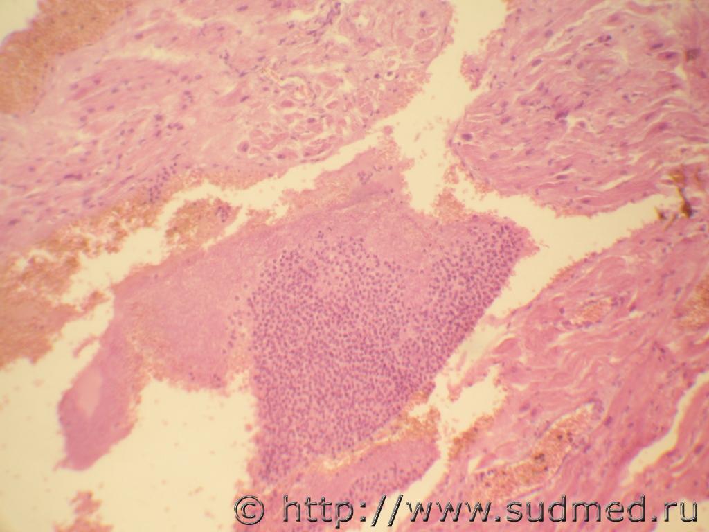
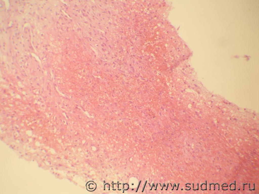
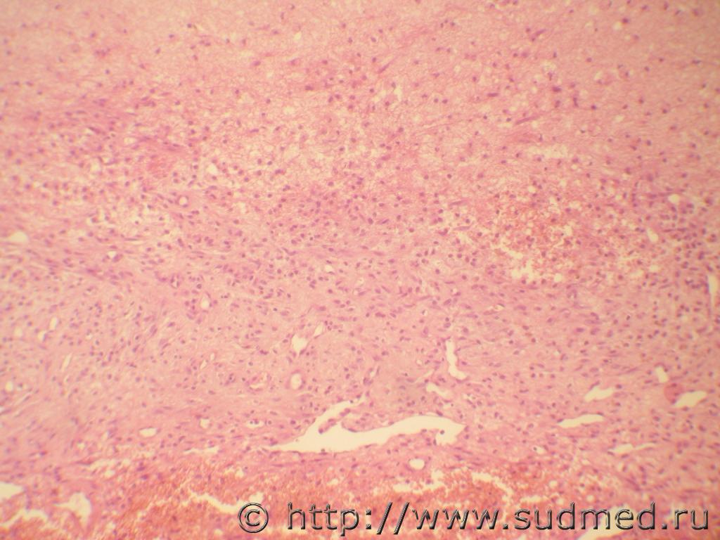
Мужчина,59 лет,травма головы,смерть на 7 сутки после трепанации черепа.
Фото.Васкулиты,абсцесс,тромбоз.

Сообщение отредактировал медик - 29.08.2011 - 18:08


Эскизы прикрепленных изображений
Судебная медицина - Прикрепленное изображение Судебная медицина - Прикрепленное изображение Судебная медицина - Прикрепленное изображение
Пользователь offline
К началу страницы
+Ответить с цитированием
Медик
сообщение 29.08.2011 - 18:17
Сообщение #277


Учитель
Group Icon
Группа: Модераторы
Регистрация: 16.05.2010
Пользователь №: 21 553


Микрофото.Тромбоз левого ушка сердца.
Макрофотография в сообщении №291.


Эскизы прикрепленных изображений
Судебная медицина - Прикрепленное изображение Судебная медицина - Прикрепленное изображение Судебная медицина - Прикрепленное изображение
Пользователь offline
К началу страницы
+Ответить с цитированием
Медик
сообщение 29.08.2011 - 18:48
Сообщение #278


Учитель
Group Icon
Группа: Модераторы
Регистрация: 16.05.2010
Пользователь №: 21 553


Мужчина,48 лет,ездил на рыбалку,ночевал на берегу реки.После этого недомогание,повышение температуры тела,кашель.Ходил на работу.Умер на 6 сутки после появления первых симптомов.
1.Долевая пневмония,стадия серого опеченения.
2.Гнойный лептоменингит.




Сообщение отредактировал медик - 29.08.2011 - 18:49


Эскизы прикрепленных изображений
Судебная медицина - Прикрепленное изображение Судебная медицина - Прикрепленное изображение
Пользователь offline
К началу страницы
+Ответить с цитированием
Медик
сообщение 29.08.2011 - 19:00
Сообщение #279


Учитель
Group Icon
Группа: Модераторы
Регистрация: 16.05.2010
Пользователь №: 21 553


Фото 1.Тромбоэмболия верхней брыжеечной артерии.
Фото 2.Смешанный инфаркт головного мозга (кардиоэмболический).

Сообщение отредактировал медик - 29.08.2011 - 19:05


Эскизы прикрепленных изображений
Судебная медицина - Прикрепленное изображение Судебная медицина - Прикрепленное изображение
Пользователь offline
К началу страницы
+Ответить с цитированием
Медик
сообщение 29.08.2011 - 19:20
Сообщение #280


Учитель
Group Icon
Группа: Модераторы
Регистрация: 16.05.2010
Пользователь №: 21 553


Микрофото.Атеросклеротическая бляшка в артерии.


Эскизы прикрепленных изображений
Судебная медицина - Прикрепленное изображение
Пользователь offline
К началу страницы
+Ответить с цитированием
Медик
сообщение 31.08.2011 - 12:21
Сообщение #281


Учитель
Group Icon
Группа: Модераторы
Регистрация: 16.05.2010
Пользователь №: 21 553


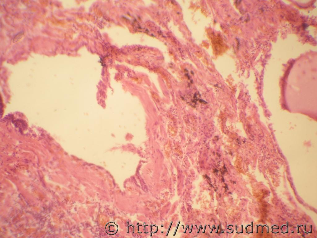
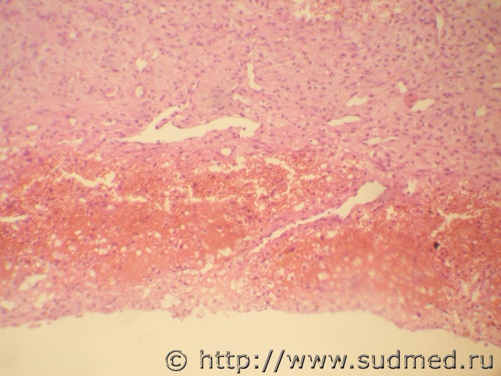
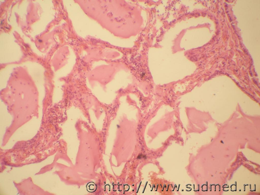
Фото 1,2.Инкапсулированный арреndices epiploicae,выявленный свободно лежащим в брюшной полости.

Женщина,59 лет,8 лет страдала идиопатическим фиброзирующим альвеолитом (синдром Хаммена-Рича).
Фото 3,4.Изменения в лёгком.

Сообщение отредактировал медик - 31.08.2011 - 12:23


Эскизы прикрепленных изображений
Судебная медицина - Прикрепленное изображение Судебная медицина - Прикрепленное изображение Судебная медицина - Прикрепленное изображение Судебная медицина - Прикрепленное изображение
Пользователь offline
К началу страницы
+Ответить с цитированием
Медик
сообщение 1.09.2011 - 17:35
Сообщение #282


Учитель
Group Icon
Группа: Модераторы
Регистрация: 16.05.2010
Пользователь №: 21 553


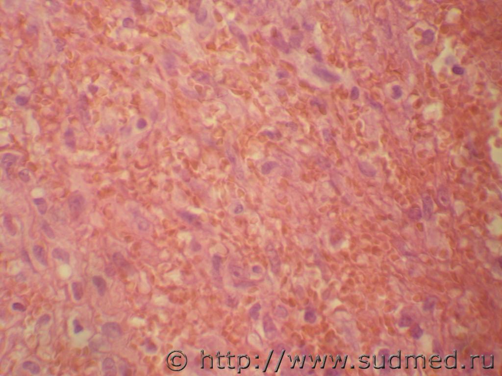
Ишемический инфаркт головного мозга (атеротромботический вариант).


Эскизы прикрепленных изображений
Судебная медицина - Прикрепленное изображение Судебная медицина - Прикрепленное изображение
Пользователь offline
К началу страницы
+Ответить с цитированием
Медик
сообщение 1.09.2011 - 17:54
Сообщение #283


Учитель
Group Icon
Группа: Модераторы
Регистрация: 16.05.2010
Пользователь №: 21 553


Женщина,58 лет,страдающая гипертонической болезнью.
Внутримозговая гематома,прорыв крови в полость желудочков головного мозга,отёк и дислокация головного мозга.
Фото 1.Верхнебоковые поверхности головного мозга.Извилины мозга уплощены,борозды между ними сглажены.
Фото 2.Внутримозговая гематома,прорыв крови в полость боковых желудочков.


Эскизы прикрепленных изображений
Судебная медицина - Прикрепленное изображение Судебная медицина - Прикрепленное изображение
Пользователь offline
К началу страницы
+Ответить с цитированием
Медик
сообщение 1.09.2011 - 19:04
Сообщение #284


Учитель
Group Icon
Группа: Модераторы
Регистрация: 16.05.2010
Пользователь №: 21 553


Паренхиматозная желтуха.


Эскизы прикрепленных изображений
Судебная медицина - Прикрепленное изображение
Пользователь offline
К началу страницы
+Ответить с цитированием
DALis
сообщение 2.09.2011 - 14:50
Сообщение #285


Читатель

Группа: СМЭ
Регистрация: 23.03.2007
Из: Украина
Пользователь №: 4 652


Типичная электрометка

Сообщение отредактировал DALis - 2.09.2011 - 14:53


Эскизы прикрепленных изображений
Судебная медицина - Прикрепленное изображение Судебная медицина - Прикрепленное изображение Судебная медицина - Прикрепленное изображение
Пользователь offline
К началу страницы
+Ответить с цитированием

75 страниц V « < 17 18 19 20 21 > » 



- Обратная связь Сейчас: 13.10.2025 - 03:30