Здравствуйте, гость ( Вход | Регистрация )

Форум судебных медиков России
>   Правила раздела >

Здесь обсуждаются вопросы судебно-медицинской танатологии и судебно-медицинской гистологии.

 
75 страниц V « < 18 19 20 21 22 > »   
>

Просто иллюстрации, фотографии интересных случаев

Рейтинг  5
>
Piligrim
сообщение 3.09.2011 - 14:46
Сообщение #286


Участник форума

Группа: СМЭ
Регистрация: 6.05.2011
Из: Край Земли
Пользователь №: 26 906


Выстрел из "Осы", дистанция 10-15 см, 2 тонких слоя одежды


Эскизы прикрепленных изображений
Судебная медицина - Прикрепленное изображение
Пользователь offline
К началу страницы
+Ответить с цитированием
Медик
сообщение 6.09.2011 - 17:06
Сообщение #287


Учитель
Group Icon
Группа: Модераторы
Регистрация: 16.05.2010
Пользователь №: 21 553


Цирроз печени.3 рубца на диафрагмальной поверхности.Такие рубцы встречаются довольно редко.
Фотография с фотовспышкой и фотография без фотовспышки.Дополняют друг друга.


Эскизы прикрепленных изображений
Судебная медицина - Прикрепленное изображение Судебная медицина - Прикрепленное изображение
Пользователь offline
К началу страницы
+Ответить с цитированием
Медик
сообщение 6.09.2011 - 17:55
Сообщение #288


Учитель
Group Icon
Группа: Модераторы
Регистрация: 16.05.2010
Пользователь №: 21 553


Рецидивирующий инфаркт миокарда.


Эскизы прикрепленных изображений
Судебная медицина - Прикрепленное изображение Судебная медицина - Прикрепленное изображение
Пользователь offline
К началу страницы
+Ответить с цитированием
Медик
сообщение 8.09.2011 - 17:19
Сообщение #289


Учитель
Group Icon
Группа: Модераторы
Регистрация: 16.05.2010
Пользователь №: 21 553


Тромбоэмболия верхней и нижней брыжеечных артерий.Некроз подвздошной кишки и сигмовидной кишки.От появления первых симптомов до смерти прошли сутки.

Сообщение отредактировал медик - 8.09.2011 - 17:21


Эскизы прикрепленных изображений
Судебная медицина - Прикрепленное изображение
Пользователь offline
К началу страницы
+Ответить с цитированием
Медик
сообщение 9.09.2011 - 17:20
Сообщение #290


Учитель
Group Icon
Группа: Модераторы
Регистрация: 16.05.2010
Пользователь №: 21 553


Мужчина,52 лет,злоупотребляющий спиртными напитками.2 месяца назад закрытый перелом левой плечевой кости.Лечиться было некогда.Общее состояние ухудшилось,бригадой СП доставлен в больницу,где на шестой день пребывания умер.Сепсис,септикопиемия.
Фото 1.Общий вид вскрытой хирургами флегмоны плеча.
Фото 2.Перелом плечевой кости,изменения костного мозга.
Фото 3.Флегмона мягких тканей грудной клетки справа.Ребро удалено во время вскрытия.
Фото 4.Вскрытая хирургами флегмона правого предплечья.

Сообщение отредактировал медик - 9.09.2011 - 17:22


Эскизы прикрепленных изображений
Судебная медицина - Прикрепленное изображение Судебная медицина - Прикрепленное изображение Судебная медицина - Прикрепленное изображение Судебная медицина - Прикрепленное изображение
Пользователь offline
К началу страницы
+Ответить с цитированием
Медик
сообщение 9.09.2011 - 18:16
Сообщение #291


Учитель
Group Icon
Группа: Модераторы
Регистрация: 16.05.2010
Пользователь №: 21 553


Мужчина,67 лет с острым трансмуральным инфарктом миокарда.На 8 день появились боли в животе,а на 5 день после этого умер.Во время вскрытия выявлены острый инфаркт миокарда,пристеночный тромбэндокардит,тромбоэмболия верхней брыжеечной и левой почечной артерий,некроз тонкой кишки,перитонит,инфаркт левой почки.
Фото 1.Тонкая кишка,перитонит.
Фото 2,3.Инфаркт почки.


Эскизы прикрепленных изображений
Судебная медицина - Прикрепленное изображение Судебная медицина - Прикрепленное изображение Судебная медицина - Прикрепленное изображение
Пользователь offline
К началу страницы
+Ответить с цитированием
Медик
сообщение 9.09.2011 - 18:37
Сообщение #292


Учитель
Group Icon
Группа: Модераторы
Регистрация: 16.05.2010
Пользователь №: 21 553


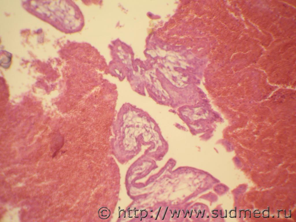
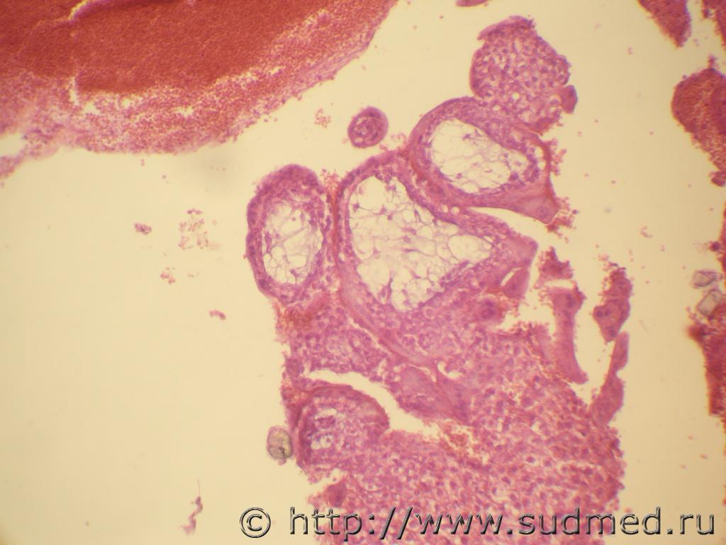
Женщина,24 лет.Нарушенная трубная беременность.Умерла от кровопотери.
Фото 1.Слизистая маточной трубы.
Фото 2,3.Ворсины хориона в крови из брюшной полости.

Сообщение отредактировал медик - 9.09.2011 - 18:40


Эскизы прикрепленных изображений
Судебная медицина - Прикрепленное изображение Судебная медицина - Прикрепленное изображение Судебная медицина - Прикрепленное изображение
Пользователь offline
К началу страницы
+Ответить с цитированием
Медик
сообщение 9.09.2011 - 18:55
Сообщение #293


Учитель
Group Icon
Группа: Модераторы
Регистрация: 16.05.2010
Пользователь №: 21 553


Фото 1.Рак лёгкого.
Фото 2.Метастаз в печень.

Сообщение отредактировал медик - 9.09.2011 - 18:57


Эскизы прикрепленных изображений
Судебная медицина - Прикрепленное изображение Судебная медицина - Прикрепленное изображение
Пользователь offline
К началу страницы
+Ответить с цитированием
Медик
сообщение 9.09.2011 - 19:25
Сообщение #294


Учитель
Group Icon
Группа: Модераторы
Регистрация: 16.05.2010
Пользователь №: 21 553


Мужчина,58 лет,доставлен в больницу с клиникой внутрибрюшного кровотечения.Произведена лапаротомия.Источником кровотечения,по мнению хирургов,явился разрыв нижней поверхности правой доли печени.Свёртки крови удалены,края иссечены,ушиты.Микроскопически кавернозная гемангиома.
Фото.Локализация гемангиомы,которую удалили со свёртками крови.Швы сняты во время вскрытия трупа.


Эскизы прикрепленных изображений
Судебная медицина - Прикрепленное изображение
Пользователь offline
К началу страницы
+Ответить с цитированием
Медик
сообщение 12.09.2011 - 19:04
Сообщение #295


Учитель
Group Icon
Группа: Модераторы
Регистрация: 16.05.2010
Пользователь №: 21 553


Сердце умершей 39-летней женщины,страдающей хронической опиоидной наркоманией.
Размеры сердца 13,5х15х7см.,вес 520г.Полости расширены.Периметр правого атриовентрикулярного отверстия 13см.,левого 12,5см.Толщина стенки левого желудочка 1,8см.,правого 0,6см.Фиброэластоз эндокарда желудочков.
Фото 1.Общий вид.
Фото 2.Левые отделы сердца.
Фото 3.Правые отделы сердца.


Эскизы прикрепленных изображений
Судебная медицина - Прикрепленное изображение Судебная медицина - Прикрепленное изображение Судебная медицина - Прикрепленное изображение
Пользователь offline
К началу страницы
+Ответить с цитированием
Медик
сообщение 13.09.2011 - 14:42
Сообщение #296


Учитель
Group Icon
Группа: Модераторы
Регистрация: 16.05.2010
Пользователь №: 21 553


Жёлчные пигменты в просвете канальцев почек при желтухе.


Эскизы прикрепленных изображений
Судебная медицина - Прикрепленное изображение Судебная медицина - Прикрепленное изображение
Пользователь offline
К началу страницы
+Ответить с цитированием
ахмед
сообщение 13.09.2011 - 17:21
Сообщение #297


Магистр форума

Группа: СМЭ
Регистрация: 29.12.2008
Пользователь №: 11 953


Тромбоэмболия легочной артерии.


Эскизы прикрепленных изображений
Судебная медицина - Прикрепленное изображение
Пользователь offline
К началу страницы
+Ответить с цитированием
Медик
сообщение 16.09.2011 - 19:58
Сообщение #298


Учитель
Group Icon
Группа: Модераторы
Регистрация: 16.05.2010
Пользователь №: 21 553


Разлитой фибринозно-гнойный перитонит.


Эскизы прикрепленных изображений
Судебная медицина - Прикрепленное изображение
Пользователь offline
К началу страницы
+Ответить с цитированием
Медик
сообщение 16.09.2011 - 20:22
Сообщение #299


Учитель
Group Icon
Группа: Модераторы
Регистрация: 16.05.2010
Пользователь №: 21 553


Гидроуретеронефроз.Прорастание опухоли в мочеточник.


Эскизы прикрепленных изображений
Судебная медицина - Прикрепленное изображение Судебная медицина - Прикрепленное изображение
Пользователь offline
К началу страницы
+Ответить с цитированием
Медик
сообщение 19.09.2011 - 18:21
Сообщение #300


Учитель
Group Icon
Группа: Модераторы
Регистрация: 16.05.2010
Пользователь №: 21 553


Правосторонняя тотальная плевропневмония у хронического 43-летнего алкоголика.
Бактериологически выделена Кlebsiella pneumoniae (палочка Фридлендера).
Фото 1.Кlebsiella pneumoniae в лёгком.Большое увеличение.
Фото 2.Поражение плевры при плевропневмонии.Малое увеличение.


Эскизы прикрепленных изображений
Судебная медицина - Прикрепленное изображение Судебная медицина - Прикрепленное изображение
Пользователь offline
К началу страницы
+Ответить с цитированием

75 страниц V « < 18 19 20 21 22 > » 



- Обратная связь Сейчас: 13.10.2025 - 05:11