Здравствуйте, гость ( Вход | Регистрация )

Форум судебных медиков России
>   Правила раздела >

Здесь обсуждаются вопросы судебно-медицинской танатологии и судебно-медицинской гистологии.

 
75 страниц V « < 19 20 21 22 23 > »   
>

Просто иллюстрации, фотографии интересных случаев

Рейтинг  5
>
Alex-Kiev
сообщение 26.09.2011 - 12:58
Сообщение #301


Опытный участник

Группа: СМЭ
Регистрация: 27.08.2007
Из: Киев
Пользователь №: 5 639


Ссадины в поясничной области и на задней поверхности левого локтевого сустава, которые образовались при выстреле с расстояния 5-10 метров патроном “ФОРТ-Т” калибром “.45 Rubber”


Эскизы прикрепленных изображений
Судебная медицина - Прикрепленное изображение Судебная медицина - Прикрепленное изображение
Пользователь offline
К началу страницы
+Ответить с цитированием
Медик
сообщение 27.09.2011 - 20:38
Сообщение #302


Учитель
Group Icon
Группа: Модераторы
Регистрация: 16.05.2010
Пользователь №: 21 553


Шовный материал в стенке толстой кишки.Операция 7 лет назад.


Эскизы прикрепленных изображений
Судебная медицина - Прикрепленное изображение
Пользователь offline
К началу страницы
+Ответить с цитированием
Медик
сообщение 10.10.2011 - 20:54
Сообщение #303


Учитель
Group Icon
Группа: Модераторы
Регистрация: 16.05.2010
Пользователь №: 21 553


Буллёзная эмфизема лёгких.


Эскизы прикрепленных изображений
Судебная медицина - Прикрепленное изображение
Пользователь offline
К началу страницы
+Ответить с цитированием
specialist
сообщение 14.10.2011 - 08:53
Сообщение #304


Участник форума

Группа: СМЭ
Регистрация: 6.05.2008
Пользователь №: 8 336


На рентгенограмме металлический сердечник резиновой пули от пистолета "Оса" в мягких тканях правого плеча.

Сообщение отредактировал specialist - 14.10.2011 - 08:57


Эскизы прикрепленных изображений
Судебная медицина - Прикрепленное изображение
Пользователь offline
К началу страницы
+Ответить с цитированием
ТАНАТОЛОГ
сообщение 14.10.2011 - 22:09
Сообщение #305


Участник форума

Группа: СМЭ
Регистрация: 31.03.2010
Пользователь №: 20 887


Огнестрельное пулевое сквозное ранение (АКС). Выход пули боковой поверхностью.
Входная рана (верхний наружный квадрант левой ягодицы).
Судебная медицина - Прикрепленное изображение
Выходная рана (передняя поверхность груди справа в проекции 9-го межреберья по окологрудинной линии)
Судебная медицина - Прикрепленное изображение

Сообщение отредактировал ТАНАТОЛОГ - 14.10.2011 - 22:12
Пользователь offline
К началу страницы
+Ответить с цитированием
specialist
сообщение 18.10.2011 - 08:42
Сообщение #306


Участник форума

Группа: СМЭ
Регистрация: 6.05.2008
Пользователь №: 8 336


Дырчатый перелом теменной кости. Повреждение причинено металлической ножкой табурета.

череп свежий - случай сентябрь 2011г. Тело обнаружено в день смерти, вскрытие проводилось на следующий день.


Эскизы прикрепленных изображений
Судебная медицина - Прикрепленное изображение
Пользователь offline
К началу страницы
+Ответить с цитированием
Медик
сообщение 19.10.2011 - 17:40
Сообщение #307


Учитель
Group Icon
Группа: Модераторы
Регистрация: 16.05.2010
Пользователь №: 21 553


Инфекционный эндокардит аортального клапана.


Эскизы прикрепленных изображений
Судебная медицина - Прикрепленное изображение Судебная медицина - Прикрепленное изображение
Пользователь offline
К началу страницы
+Ответить с цитированием
Медик
сообщение 24.10.2011 - 10:35
Сообщение #308


Учитель
Group Icon
Группа: Модераторы
Регистрация: 16.05.2010
Пользователь №: 21 553


Рак желудка.Перфорация стенки желудка.
Фото 1.Вид снаружи.
Фото 2.Вид изнутри.


Эскизы прикрепленных изображений
Судебная медицина - Прикрепленное изображение Судебная медицина - Прикрепленное изображение
Пользователь offline
К началу страницы
+Ответить с цитированием
specialist
сообщение 25.10.2011 - 09:05
Сообщение #309


Участник форума

Группа: СМЭ
Регистрация: 6.05.2008
Пользователь №: 8 336


На рентгенограмме в прямой проекции - вдавленный перелом левой теменной кости. Изначальная версия потерпевшего: "упал и ударился о выступающий угол металлического стола". При проведении ситуационной экспертизы данная версия исключена экспертом.

Спустя некотрое время следователем представлена серия компьютерных томограмм. На фрагменте томограммы в передне-боковой проекции определяется повреждение левой теменной кости, округлой формы с четкими ровными контурами, дугообразными краями. Стенки повреждения расположены полого.На фрагменте томограммы черепа (в горизонтальной плоскости) в левой теменной области, отмечается участок смещения костного фрагмента в полость черепа.

ВЫВОДЫ: депрессионный (вдавленный в полость черепа) перелом теменной кости слева. Указанное повреждение образовалось от действия твердого тупого предмета, с ограниченной контактирующей поверхностью округлой формы. Впоследствии потерпеший сознался, что "...в ходе распития спиртных напитков сосед нанес удар молотком по голове..."

Сообщение отредактировал specialist - 25.10.2011 - 09:08


Эскизы прикрепленных изображений
Судебная медицина - Прикрепленное изображение Судебная медицина - Прикрепленное изображение Судебная медицина - Прикрепленное изображение
Пользователь offline
К началу страницы
+Ответить с цитированием
Unior
сообщение 27.10.2011 - 13:01
Сообщение #310


Продвинутый участник

Группа: СМЭ
Регистрация: 13.10.2011
Из: хутор Рудка
Пользователь №: 29 337


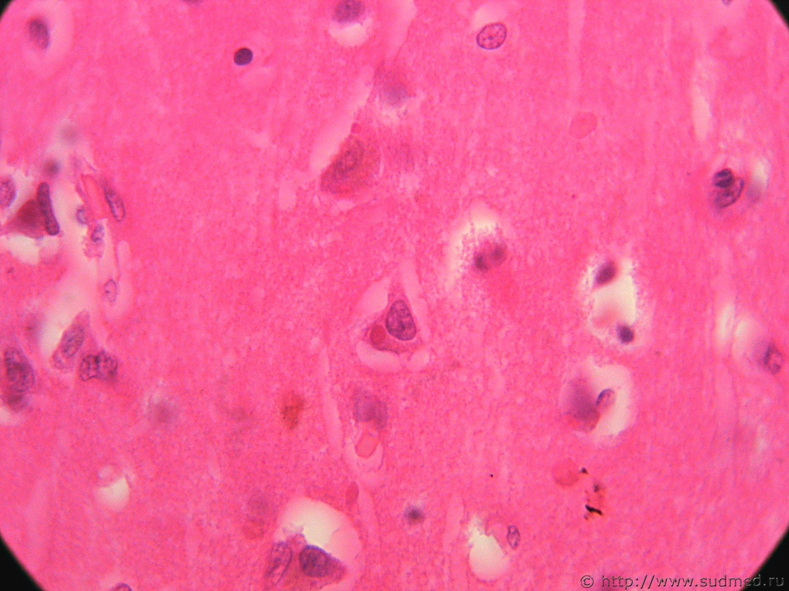
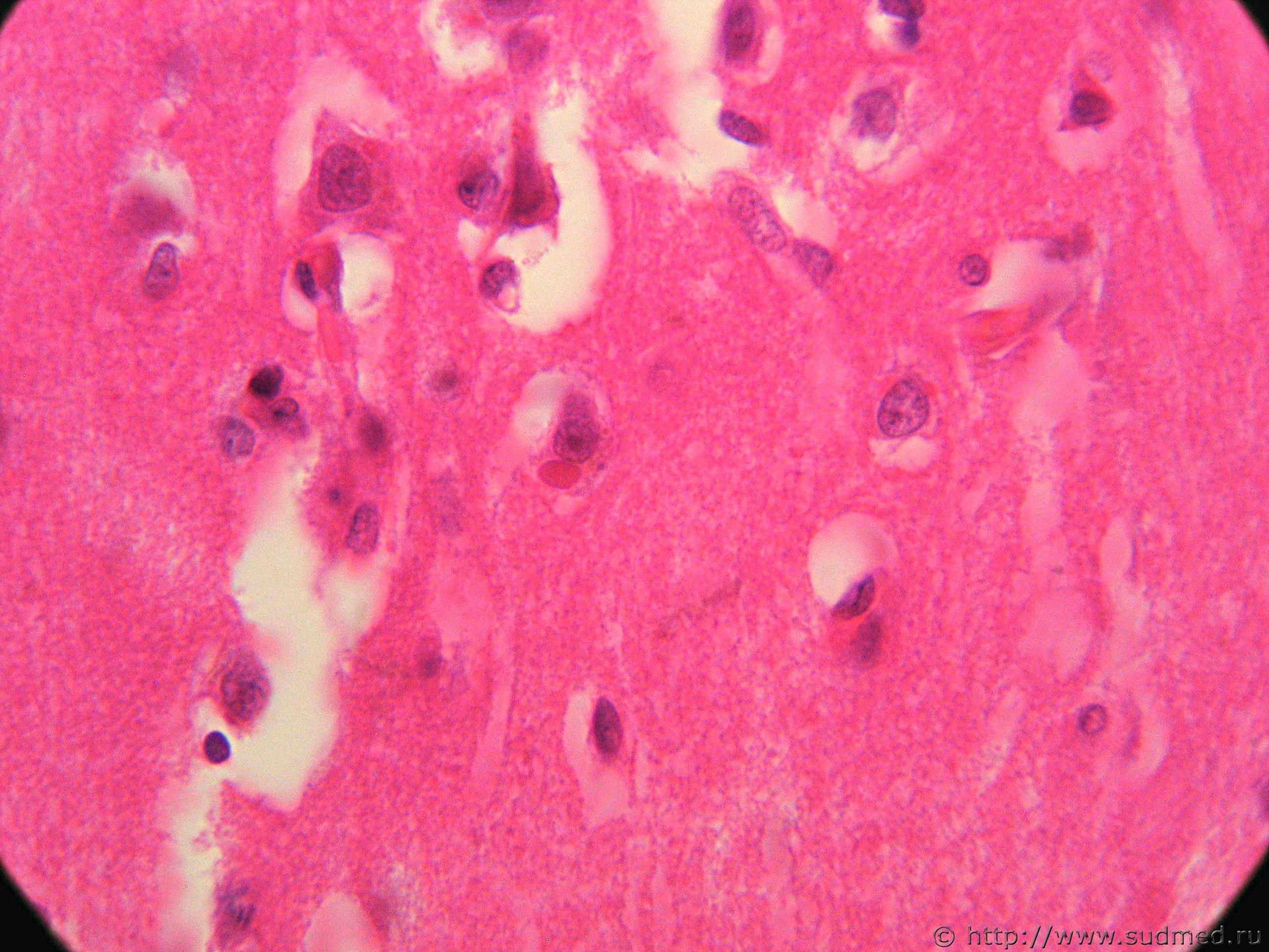
Поговаривают, что этой "бяки" давно у нас не было.
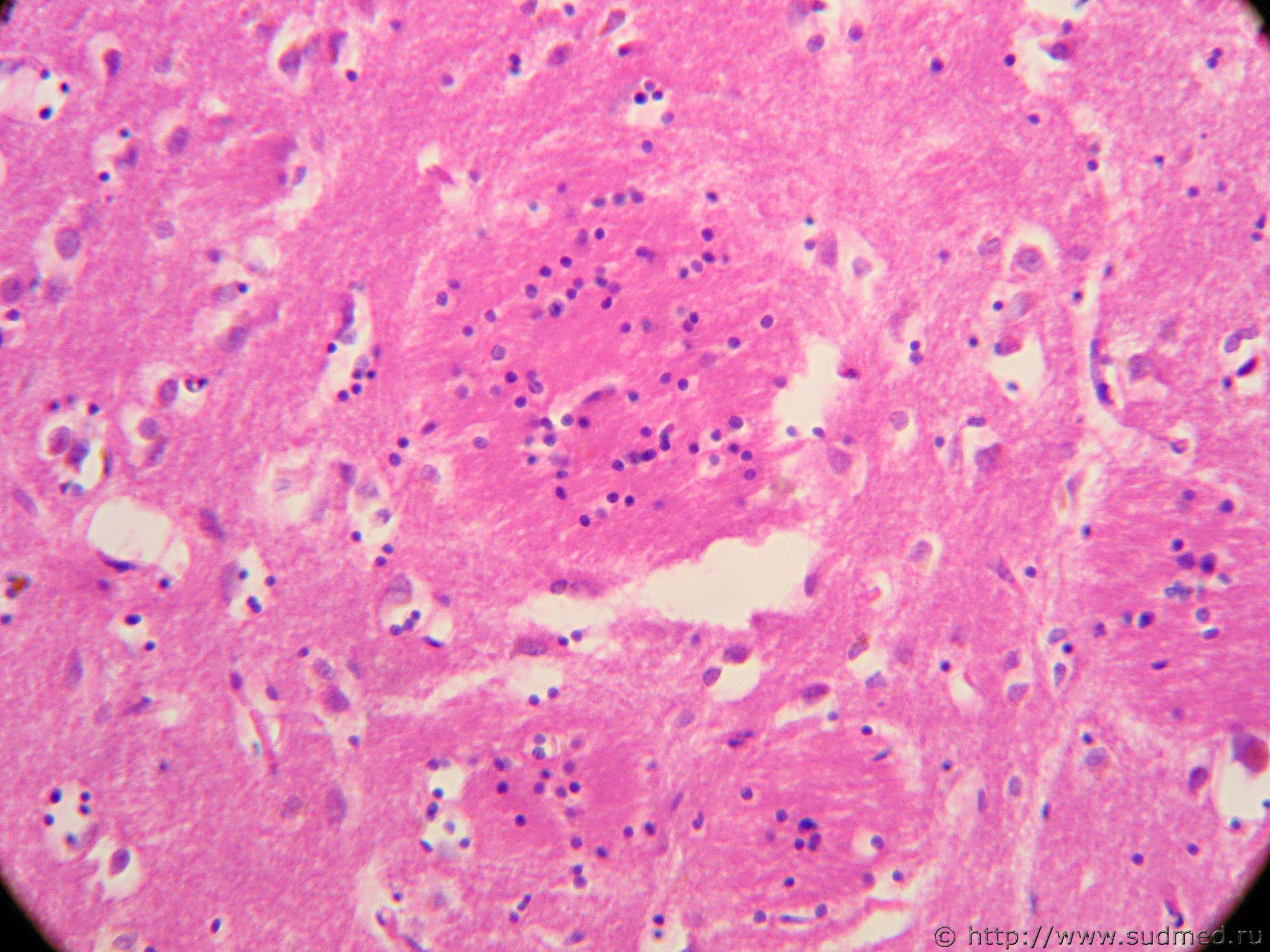
На Ваше высочайшее рассмотрение цитоплазматические эозинофильные включения, по просту говоря - тельца Бабеша-Негри
Судебная медицина - Прикрепленное изображение Судебная медицина - Прикрепленное изображение
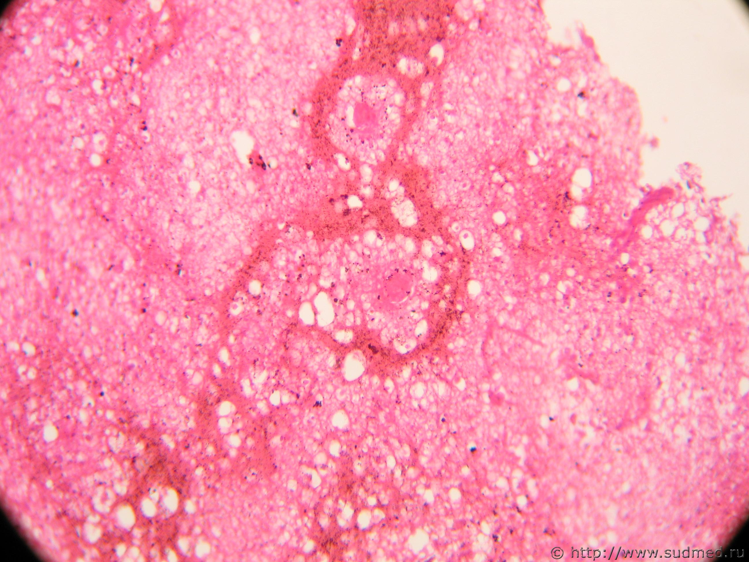
То же, только перицеллюлярно, нейрон уже погиб
Судебная медицина - Прикрепленное изображение
Эту гранулёму, признаюсь никогда "живьём" не видел, потому предположил, что это "рабическая гранулёма Бабеша"
Судебная медицина - Прикрепленное изображение
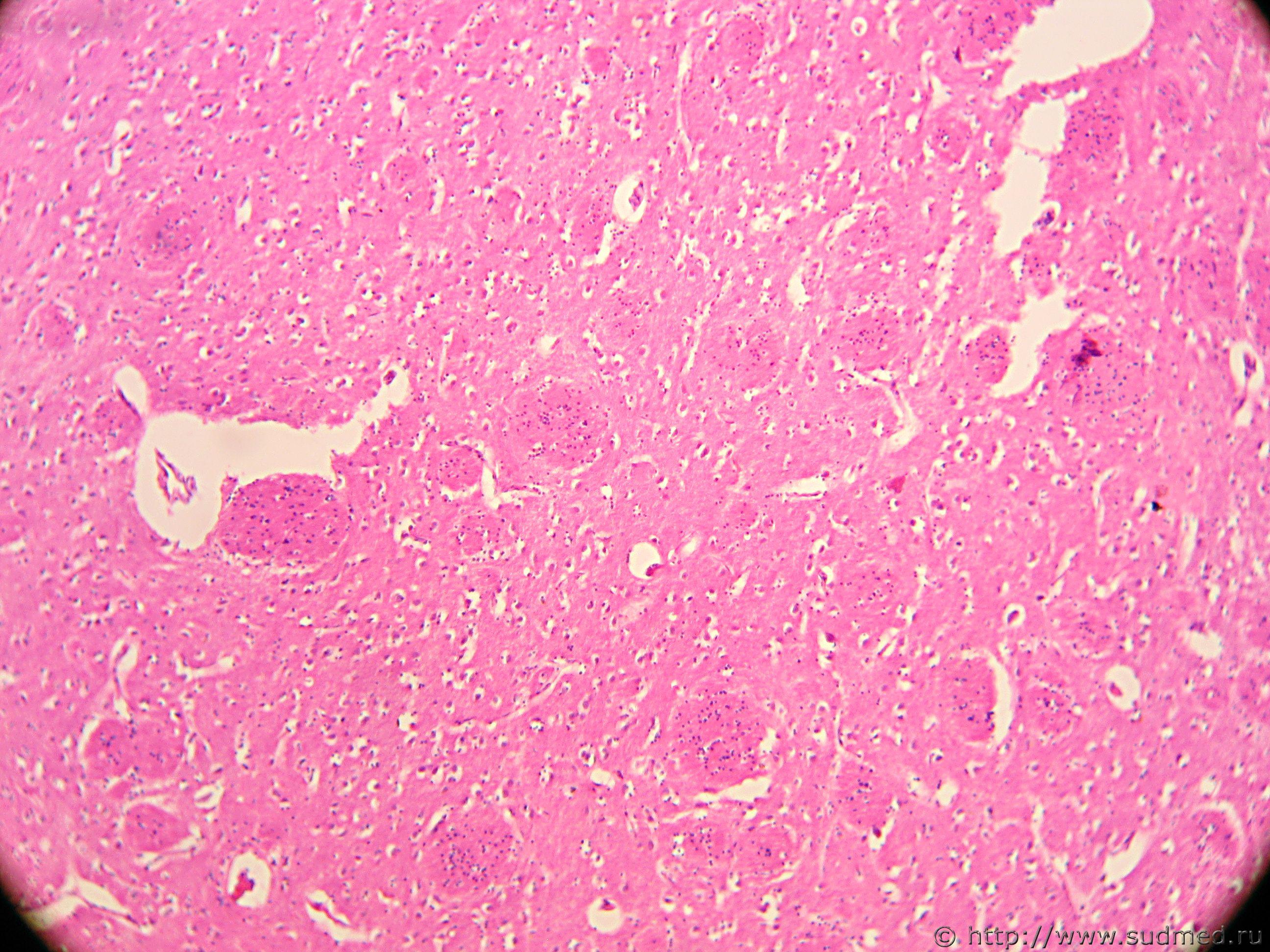
И напоследок, серозный лимфоцитарный васкулит, на "6 часов" участок пролиферации глии
Судебная медицина - Прикрепленное изображение

Сорри, забыл добавить увеличение в первых 3-х снимках Х1000, последних двух - Х400, окраска гематоксилином и эозином. Азура-II-эозина, извините не было
Пользователь offline
К началу страницы
+Ответить с цитированием
Unior
сообщение 27.10.2011 - 15:09
Сообщение #311


Продвинутый участник

Группа: СМЭ
Регистрация: 13.10.2011
Из: хутор Рудка
Пользователь №: 29 337


Помню на первом году работы гистологом, при описании ЧМТ обозвал обычное периваскулярное кровоизлияние -"кольцевидным", хорошо ещё эксперт опытный попался и гуманный, больно бить не стали. Потом, конечно, микроскопы появились "по-круче" и фотокамеры. Так, что дарю...
Ув. от Х40 до Х400, гематоксилин и эозин
Судебная медицина - Прикрепленное изображение Судебная медицина - Прикрепленное изображение Судебная медицина - Прикрепленное изображение Судебная медицина - Прикрепленное изображение
Если это не "кольцевидные" кровоизлияния, бросте в меня камнем
Пользователь offline
К началу страницы
+Ответить с цитированием
Медик
сообщение 27.10.2011 - 16:55
Сообщение #312


Учитель
Group Icon
Группа: Модераторы
Регистрация: 16.05.2010
Пользователь №: 21 553


Две хронические язвы двенадцатиперстной кишки.Одна с пенетрацией в поджелудочную железу и прободением,а другая с кровотечением.
Фото 1.Вид снаружи.
Фото 2.Вид изнутри.
Фото 3.Кровь в тонкой и толстой кишке.

Сообщение отредактировал медик - 27.10.2011 - 17:00


Эскизы прикрепленных изображений
Судебная медицина - Прикрепленное изображение Судебная медицина - Прикрепленное изображение Судебная медицина - Прикрепленное изображение
Пользователь offline
К началу страницы
+Ответить с цитированием
Медик
сообщение 28.10.2011 - 14:41
Сообщение #313


Учитель
Group Icon
Группа: Модераторы
Регистрация: 16.05.2010
Пользователь №: 21 553


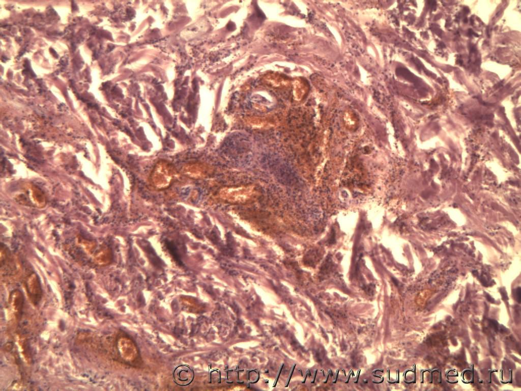
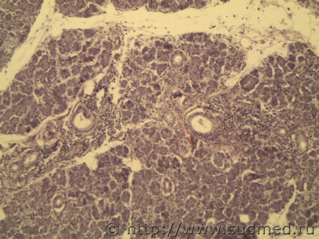
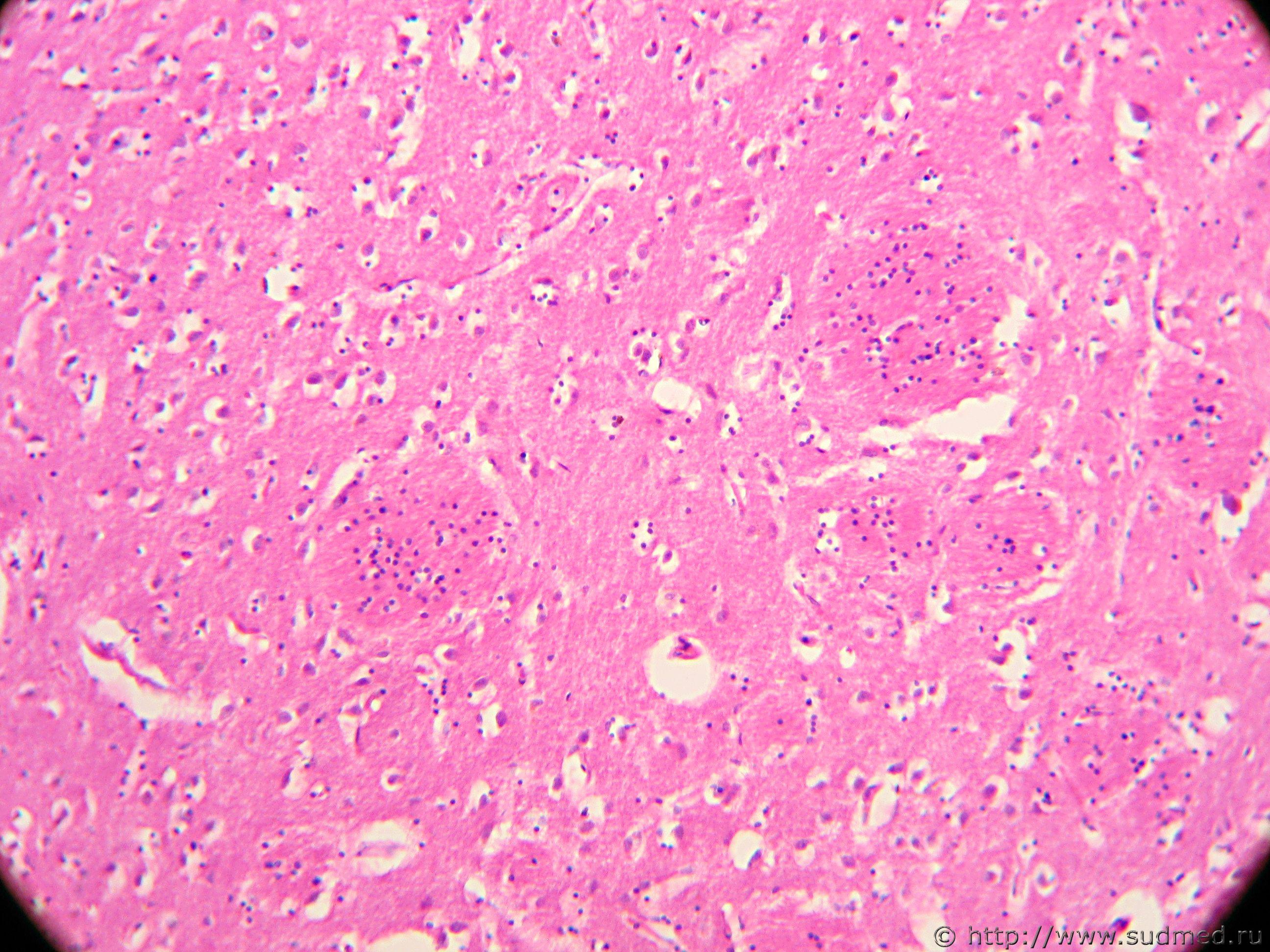
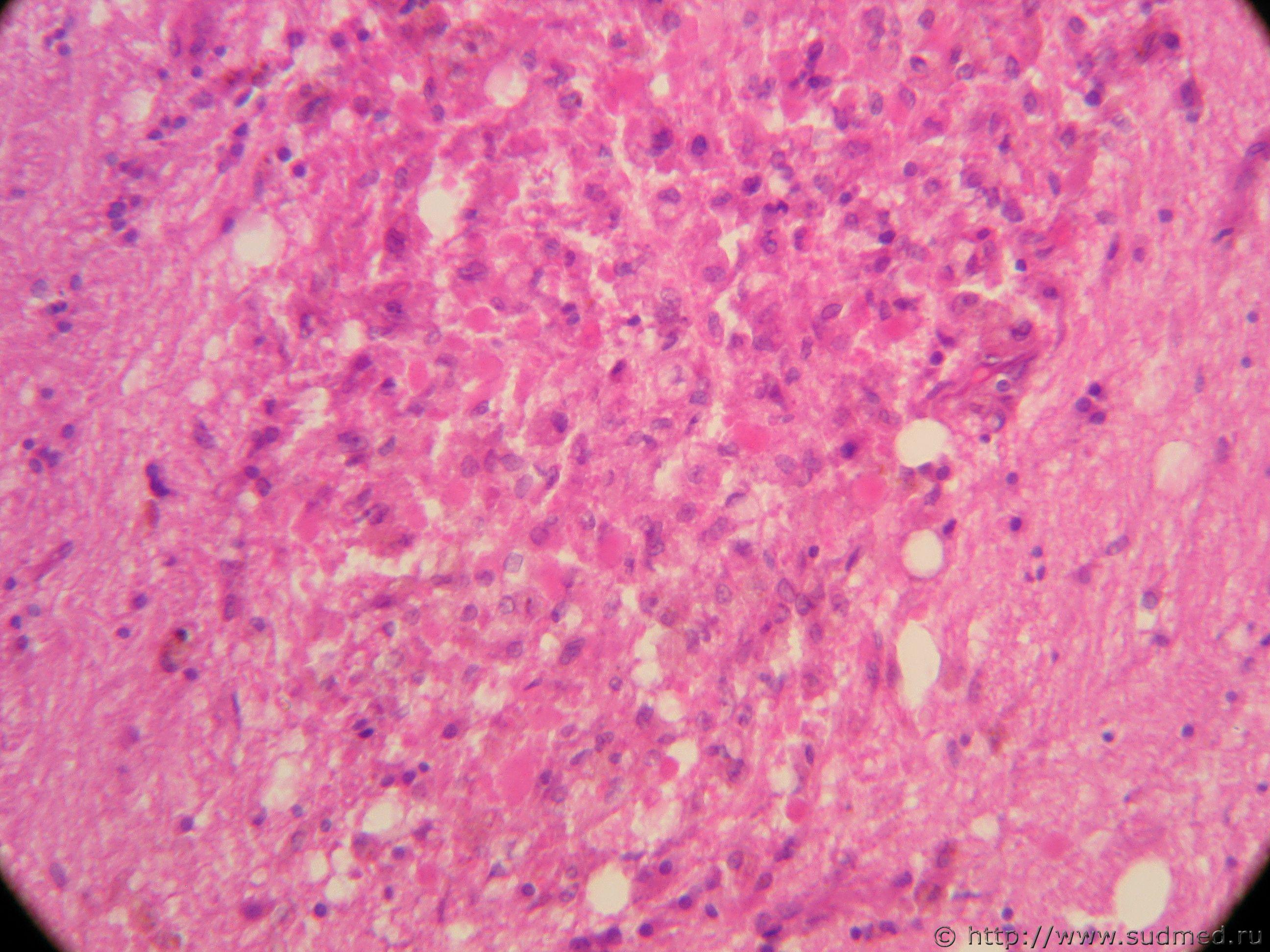
Бешенство.
Фото 1.Головной мозг-узелки бешенства.
Фото 2,3.Сердце-эндоневрит.
Фото 4,5,6.Кожа с области укуса животным-эндо-и периневрит,продуктивный васкулит.
Фото 7.Слюнная железа.

Сообщение отредактировал медик - 28.10.2011 - 14:44


Эскизы прикрепленных изображений
Судебная медицина - Прикрепленное изображение Судебная медицина - Прикрепленное изображение Судебная медицина - Прикрепленное изображение Судебная медицина - Прикрепленное изображение Судебная медицина - Прикрепленное изображение Судебная медицина - Прикрепленное изображение Судебная медицина - Прикрепленное изображение
Пользователь offline
К началу страницы
+Ответить с цитированием
Unior
сообщение 31.10.2011 - 16:14
Сообщение #314


Продвинутый участник

Группа: СМЭ
Регистрация: 13.10.2011
Из: хутор Рудка
Пользователь №: 29 337


Буквально сегодня увидел.
Суд.мед. диагноз: "Злокачественное новообразование мозга с метастазами в кости". В головном мозгу, действительно, опухолевые клетки с некрозами и кровоизлияниями, по-моему, метастаз рака легкого, но, это не главное. Что удивило:
Судебная медицина - Прикрепленное изображение Судебная медицина - Прикрепленное изображение Судебная медицина - Прикрепленное изображение
Ув. Х100, Х200, Х400

Вот не увидел бы предыдущее сообщение, тогда б не обратил внимание. "Узелки бешенства" не напоминают? Только без обид. Может, просто - глиальные узелки, как один из морфологических признаков энцефалопатии (даже если это слово не совсем уместно).
Пользователь offline
К началу страницы
+Ответить с цитированием
Медик
сообщение 31.10.2011 - 16:41
Сообщение #315


Учитель
Group Icon
Группа: Модераторы
Регистрация: 16.05.2010
Пользователь №: 21 553


ДВС-синдром.
Фото 1.Кровоизлияние в надпочечник.
Фото 2,3,4.Внутрикожные кровоизлияния.


Эскизы прикрепленных изображений
Судебная медицина - Прикрепленное изображение Судебная медицина - Прикрепленное изображение Судебная медицина - Прикрепленное изображение Судебная медицина - Прикрепленное изображение
Пользователь offline
К началу страницы
+Ответить с цитированием

75 страниц V « < 19 20 21 22 23 > » 



- Обратная связь Сейчас: 13.10.2025 - 05:11