Здравствуйте, гость ( Вход | Регистрация )

Форум судебных медиков России
>   Правила раздела >

Здесь обсуждаются вопросы судебно-медицинской танатологии и судебно-медицинской гистологии.

 
75 страниц V « < 20 21 22 23 24 > »   
>

Просто иллюстрации, фотографии интересных случаев

Рейтинг  5
>
Медик
сообщение 1.11.2011 - 19:19
Сообщение #316


Учитель
Group Icon
Группа: Модераторы
Регистрация: 16.05.2010
Пользователь №: 21 553


Влажная гангрена.


Эскизы прикрепленных изображений
Судебная медицина - Прикрепленное изображение Судебная медицина - Прикрепленное изображение Судебная медицина - Прикрепленное изображение Судебная медицина - Прикрепленное изображение
Пользователь offline
К началу страницы
+Ответить с цитированием
Медик
сообщение 8.11.2011 - 17:44
Сообщение #317


Учитель
Group Icon
Группа: Модераторы
Регистрация: 16.05.2010
Пользователь №: 21 553


Кожный рог с волосистой части головы.


Эскизы прикрепленных изображений
Судебная медицина - Прикрепленное изображение Судебная медицина - Прикрепленное изображение Судебная медицина - Прикрепленное изображение
Пользователь offline
К началу страницы
+Ответить с цитированием
Медик
сообщение 8.11.2011 - 17:58
Сообщение #318


Учитель
Group Icon
Группа: Модераторы
Регистрация: 16.05.2010
Пользователь №: 21 553


Фото 1,2.Рак хвоста поджелудочной железы.
Фото 3.Метастазы в печень.Гемангиома печени.


Эскизы прикрепленных изображений
Судебная медицина - Прикрепленное изображение Судебная медицина - Прикрепленное изображение Судебная медицина - Прикрепленное изображение
Пользователь offline
К началу страницы
+Ответить с цитированием
dav_kost
сообщение 8.11.2011 - 18:11
Сообщение #319


Читатель

Группа: Участники
Регистрация: 18.12.2009
Из: УРФО
Пользователь №: 18 860


Цитата(медик @ 8.11.2011 - 19:44)
Кожный рог с волосистой части головы.


в своей практике подобного не встречал smile.gif autopsy.gif
Пользователь offline
К началу страницы
+Ответить с цитированием
Медик
сообщение 8.11.2011 - 18:29
Сообщение #320


Учитель
Group Icon
Группа: Модераторы
Регистрация: 16.05.2010
Пользователь №: 21 553


Липома передней брюшной стенки.


Эскизы прикрепленных изображений
Судебная медицина - Прикрепленное изображение
Пользователь offline
К началу страницы
+Ответить с цитированием
Медик
сообщение 8.11.2011 - 18:43
Сообщение #321


Учитель
Group Icon
Группа: Модераторы
Регистрация: 16.05.2010
Пользователь №: 21 553


Септикопиемия.Гнойный миокардит.
Разные увеличения микроскопа.


Эскизы прикрепленных изображений
Судебная медицина - Прикрепленное изображение Судебная медицина - Прикрепленное изображение
Пользователь offline
К началу страницы
+Ответить с цитированием
Amigo
сообщение 9.11.2011 - 02:26
Сообщение #322


Маэстро форума

Группа: СМЭ
Регистрация: 23.09.2007
Из: зауралье
Пользователь №: 5 905


Цитата(медик @ 8.11.2011 - 21:44)
Кожный рог с волосистой части головы.

жаль нет фото с изначальным расположением на голове. такого в практике не встречалось.
Пользователь offline
К началу страницы
+Ответить с цитированием
Медик
сообщение 9.11.2011 - 18:14
Сообщение #323


Учитель
Group Icon
Группа: Модераторы
Регистрация: 16.05.2010
Пользователь №: 21 553


Цитата(Amigo @ 9.11.2011 - 02:26)
жаль нет фото с изначальным расположением на голове.

Неудобно было фотографировать.
Пользователь offline
К началу страницы
+Ответить с цитированием
Unior
сообщение 10.11.2011 - 17:55
Сообщение #324


Продвинутый участник

Группа: СМЭ
Регистрация: 13.10.2011
Из: хутор Рудка
Пользователь №: 29 337


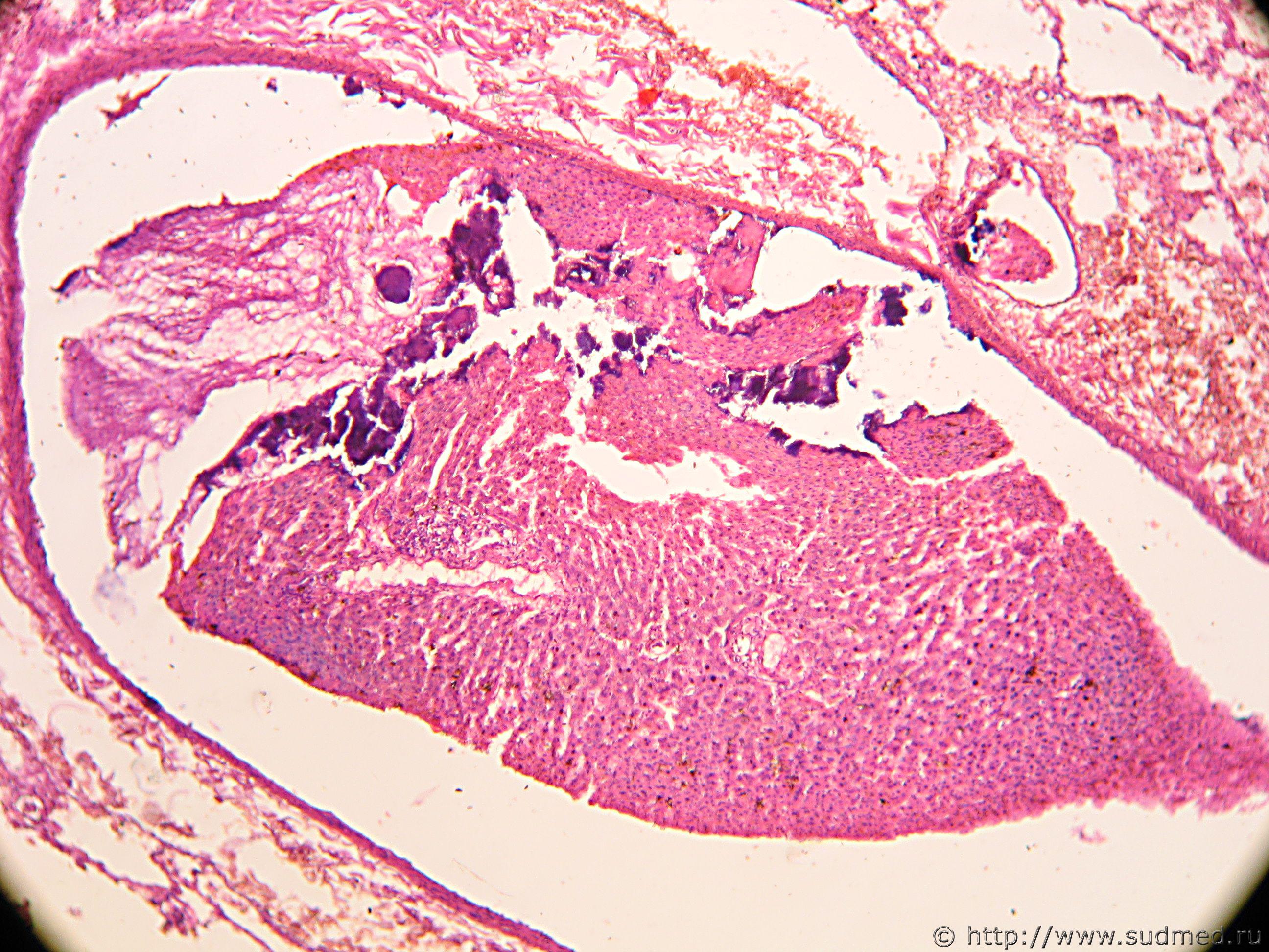
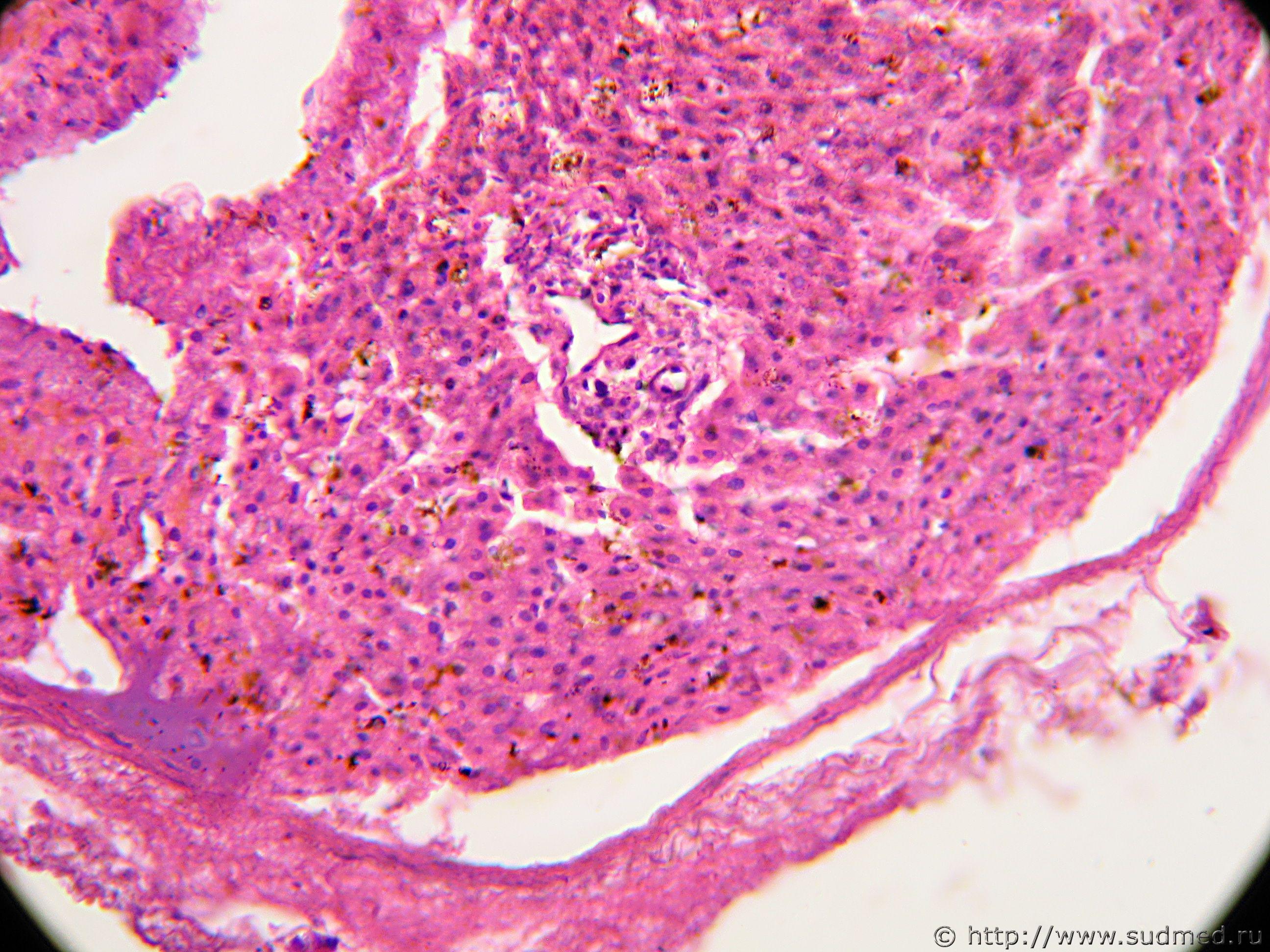
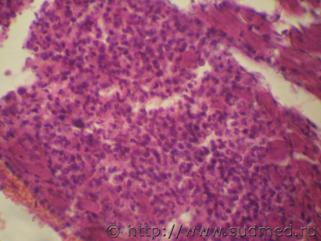
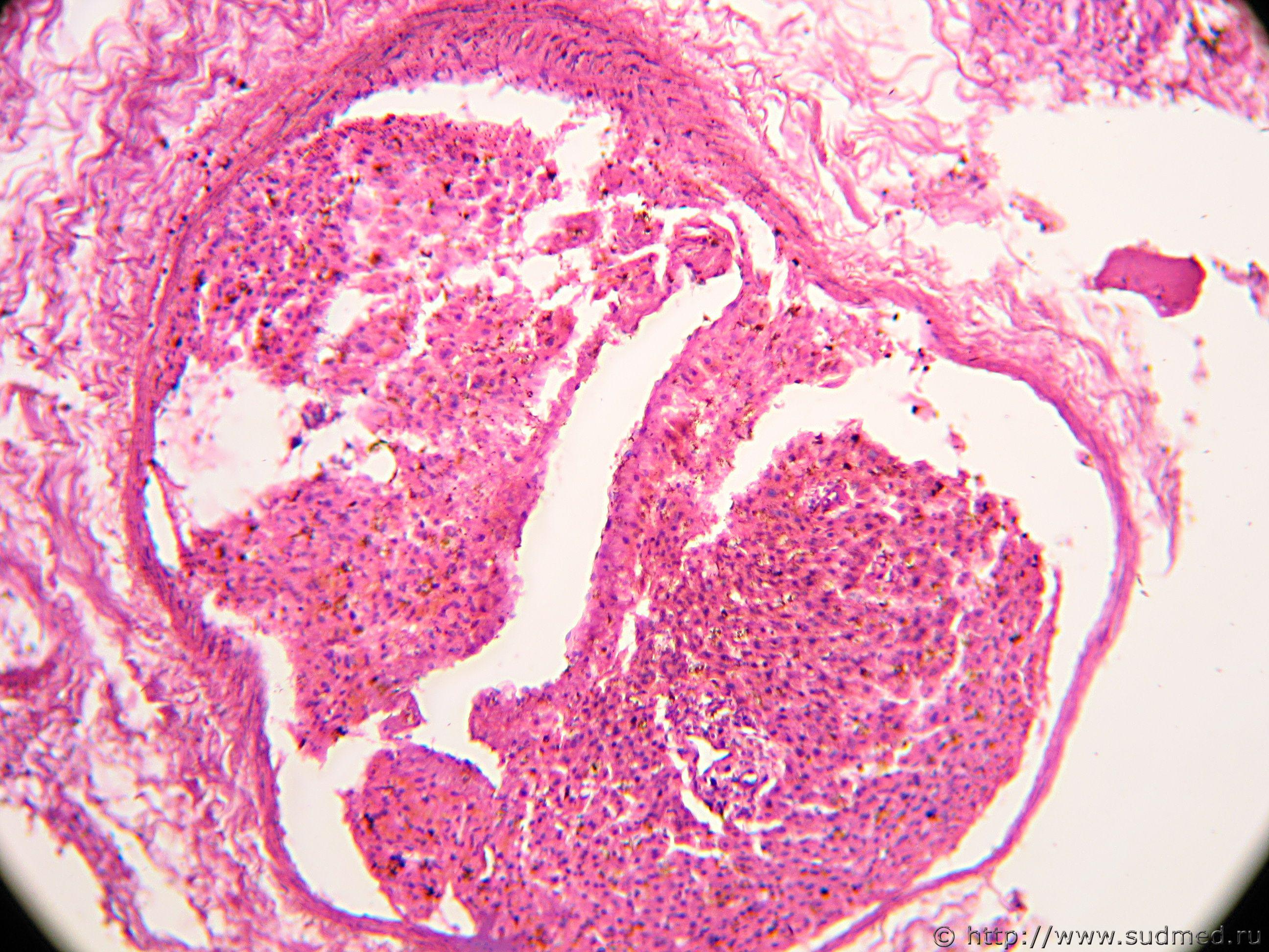
Для специалистов, не затруждавших себя заглядывать в "мелкоскоп", даже на первом курсе мединститута, поясняю:
Это лёгкое, в легком два сосуда разного калибра, в просветах сосудов "нечто", при более тщательном изучении, оказавшемся тканью печени. Вокруг крупного сосуда "оранжевые цяточки" - это эритроциты, образующие периваскулярное кровоизлияние. Из направления: "...огнестрельная рана печени..."
Судебная медицина - Прикрепленное изображение Судебная медицина - Прикрепленное изображение Судебная медицина - Прикрепленное изображение Судебная медицина - Прикрепленное изображение
г-э Х40, Х100, Х200, Х400
Пользователь offline
К началу страницы
+Ответить с цитированием
Медик
сообщение 11.11.2011 - 18:28
Сообщение #325


Учитель
Group Icon
Группа: Модераторы
Регистрация: 16.05.2010
Пользователь №: 21 553


Спонтанный разрыв пищевода (синдром Бурхаве).
Мужчина,60 лет.После двухнедельного запоя во время рвоты появились боли в животе,иррадиирующие в левую половину грудной клетки и левую руку.Госпитализирован.Произведена торакотомия слева.Ошибочно прошили диафрагму.В протоколе операции написали,что ушили разрыв пищевода.Через 4 дня после операции умер.
Фото 1,2,3,4.Спонтанный разрыв передней стенки грудной части пищевода в нижней трети.На второй фотографии кружком отмечена прошитая диафрагма.
Фото 5,6.Дренированная эмпиема плевры с двух сторон.
Фото 7.Лёгкие (общий вид).



Эскизы прикрепленных изображений
Судебная медицина - Прикрепленное изображение Судебная медицина - Прикрепленное изображение Судебная медицина - Прикрепленное изображение Судебная медицина - Прикрепленное изображение Судебная медицина - Прикрепленное изображение Судебная медицина - Прикрепленное изображение Судебная медицина - Прикрепленное изображение
Пользователь offline
К началу страницы
+Ответить с цитированием
Медик
сообщение 12.11.2011 - 12:50
Сообщение #326


Учитель
Group Icon
Группа: Модераторы
Регистрация: 16.05.2010
Пользователь №: 21 553


Пятна Вишневского.

Сообщение отредактировал медик - 12.11.2011 - 12:52


Эскизы прикрепленных изображений
Судебная медицина - Прикрепленное изображение Судебная медицина - Прикрепленное изображение Судебная медицина - Прикрепленное изображение Судебная медицина - Прикрепленное изображение Судебная медицина - Прикрепленное изображение
Пользователь offline
К началу страницы
+Ответить с цитированием
ALEN DELON
сообщение 13.11.2011 - 00:07
Сообщение #327


Знаток форума
Group Icon
Группа: СМЭ
Регистрация: 3.01.2010
Пользователь №: 19 148


Цитата(медик @ 9.11.2011 - 19:14)
Неудобно было фотографировать.

..."пациент" бодался? biggrin.gif
...а если серьёзно - тоже с подобным не сталкивался...

Пользователь offline
К началу страницы
+Ответить с цитированием
Unior
сообщение 16.11.2011 - 14:42
Сообщение #328


Продвинутый участник

Группа: СМЭ
Регистрация: 13.10.2011
Из: хутор Рудка
Пользователь №: 29 337


Окраска суданом-III легкое и почка
Судебная медицина - Прикрепленное изображение Судебная медицина - Прикрепленное изображение Судебная медицина - Прикрепленное изображение Судебная медицина - Прикрепленное изображение

Ну, и под конец, поиграем в гистологов, ниже приведен снимок легкого, окрашенного суданом-III в малом увеличении Х40 - это, где-то рядом с Х56, попробуйте подсчитать количество жировых вакуолей...
Судебная медицина - Прикрепленное изображение
...э, э, э, куда пальцем в монитор тыкать, а слабо без рук и одним глазом, как в "Микмеде" и сколько-сколько надо полей зрения просмотреть, "звёздочеты"?
Вот Адкин с его классификацией "мягко говоря, грубо выражаясь" не гуманно поступил, а Науменко - молодец!
Пользователь offline
К началу страницы
+Ответить с цитированием
griga
сообщение 17.11.2011 - 08:52
Сообщение #329


Авторитетный участник

Группа: СМЭ
Регистрация: 10.02.2006
Пользователь №: 1 250


Труп неизвестного мужчины на вид 60-70 лет обнаружен в подъезде дома. Каких либо повреждений при исследовании не обнаружено. При вскрытии головы обнаружено базальное субарахноидальное кровоизлияние. На фото причина этого БСК.
Аневризма расположена в области бифуркации правой средней мозговой артерии (помечено стрелкой). Задняя коммуникантная артерия слева как таковая отсутствовала, вместо нее имелись тоненькие веточки (около 5 штук), которые при препаровке, к сожалению, порвались.


Эскизы прикрепленных изображений
Судебная медицина - Прикрепленное изображение Судебная медицина - Прикрепленное изображение
Пользователь offline
К началу страницы
+Ответить с цитированием
FILIN
сообщение 17.11.2011 - 13:43
Сообщение #330


ГУРУ ФСМ
Group Icon
Группа: Модераторы
Регистрация: 22.08.2004
Из: Владимирская губерния
Пользователь №: 116


Локализхация аневризмы, да и возраст умершего свидетельствуют об атеросклеротическом происхождении.
Врожденные - практически всегда в пределах велизиева круга.

А вот "порванные" веточки непорядок. Это-то как раз и могли быть врожденные аномалии.
Пользователь offline
К началу страницы
+Ответить с цитированием

75 страниц V « < 20 21 22 23 24 > » 



- Обратная связь Сейчас: 13.10.2025 - 08:25