Здравствуйте, гость ( Вход | Регистрация )

Форум судебных медиков России
>   Правила раздела >

Здесь обсуждаются вопросы судебно-медицинской танатологии и судебно-медицинской гистологии.

 
75 страниц V « < 21 22 23 24 25 > »   
>

Просто иллюстрации, фотографии интересных случаев

Рейтинг  5
>
Медик
сообщение 17.11.2011 - 16:13
Сообщение #331


Учитель
Group Icon
Группа: Модераторы
Регистрация: 16.05.2010
Пользователь №: 21 553


Цитата(FILIN @ 17.11.2011 - 13:43)
Локализхация аневризмы, да и возраст умершего свидетельствуют об атеросклеротическом происхождении.

И бляшки атеросклеротические хорошо видны.
Пользователь offline
К началу страницы
+Ответить с цитированием
Amigo
сообщение 17.11.2011 - 16:14
Сообщение #332


Маэстро форума

Группа: СМЭ
Регистрация: 23.09.2007
Из: зауралье
Пользователь №: 5 905


тромб на участке обширного инфаркта

Сообщение отредактировал Amigo - 17.11.2011 - 16:14


Эскизы прикрепленных изображений
Судебная медицина - Прикрепленное изображение Судебная медицина - Прикрепленное изображение
Пользователь offline
К началу страницы
+Ответить с цитированием
Медик
сообщение 18.11.2011 - 11:24
Сообщение #333


Учитель
Group Icon
Группа: Модераторы
Регистрация: 16.05.2010
Пользователь №: 21 553


Тромбоэмболия правой легочной артерии.


Эскизы прикрепленных изображений
Судебная медицина - Прикрепленное изображение Судебная медицина - Прикрепленное изображение
Пользователь offline
К началу страницы
+Ответить с цитированием
expertms
сообщение 20.11.2011 - 13:14
Сообщение #334


Продвинутый участник

Группа: СМЭ
Регистрация: 24.05.2011
Пользователь №: 27 243


Острое отравление этиленгликолем. смерть ч/з 2 суток в стационаре
1. Тотальный некронефроз.
2. гемоглобиновый цилиндр в почечном канальце. Некроз эпителиоцитов
3. Некроз стенки артерии головного мозга.
4. ММО. тромбы, отёк, некроз стенок сосудов
5. Стенка желудка. Очаговые некрозы слизистой оболочки, паралич, тромбоз сосудов



...

Сообщение отредактировал expertms - 20.11.2011 - 13:12


Эскизы прикрепленных изображений
Судебная медицина - Прикрепленное изображение Судебная медицина - Прикрепленное изображение Судебная медицина - Прикрепленное изображение Судебная медицина - Прикрепленное изображение Судебная медицина - Прикрепленное изображение
Пользователь offline
К началу страницы
+Ответить с цитированием
Unior
сообщение 20.11.2011 - 20:57
Сообщение #335


Продвинутый участник

Группа: СМЭ
Регистрация: 13.10.2011
Из: хутор Рудка
Пользователь №: 29 337


Цитата(expertms @ 20.11.2011 - 14:14)
Острое отравление этиленгликолем...

А-а-а, голубушка, прошу прощениме за фамильярность, но "мотыльков" мы уже видели (пролистайте форум), пожайлуста! А у Вас - некронефроз с острым полнокровием, в лучшем случае, извините, а кристалы оксалата кальция, где? ("Мстя страшна" - по поводу "махрового гистолога", если бы Вы знали "Какому Догмату" принадлежит термин - "светлые дворики" . . . . не спешите, верёвка с мылом ни куда не убежит smile.gif
Пользователь offline
К началу страницы
+Ответить с цитированием
Медик
сообщение 20.11.2011 - 21:18
Сообщение #336


Учитель
Group Icon
Группа: Модераторы
Регистрация: 16.05.2010
Пользователь №: 21 553


Цитата(expertms @ 20.11.2011 - 14:14)
отравление этиленгликолем.

Химически подтверждено?
Пользователь offline
К началу страницы
+Ответить с цитированием
Медик
сообщение 21.11.2011 - 18:24
Сообщение #337


Учитель
Group Icon
Группа: Модераторы
Регистрация: 16.05.2010
Пользователь №: 21 553


Внутрижелудочковое кровоизлияние.В 3 и 4 желудочках аналогичная кровь.


Эскизы прикрепленных изображений
Судебная медицина - Прикрепленное изображение
Пользователь offline
К началу страницы
+Ответить с цитированием
Медик
сообщение 2.12.2011 - 18:50
Сообщение #338


Учитель
Group Icon
Группа: Модераторы
Регистрация: 16.05.2010
Пользователь №: 21 553


Фото 1.Жировые некрозы большого сальника.
Фото 2,3.Панкреонекроз.


Эскизы прикрепленных изображений
Судебная медицина - Прикрепленное изображение Судебная медицина - Прикрепленное изображение Судебная медицина - Прикрепленное изображение
Пользователь offline
К началу страницы
+Ответить с цитированием
Медик
сообщение 12.12.2011 - 20:15
Сообщение #339


Учитель
Group Icon
Группа: Модераторы
Регистрация: 16.05.2010
Пользователь №: 21 553


Дренирование правой плевральной полости сквозь спайку.


Эскизы прикрепленных изображений
Судебная медицина - Прикрепленное изображение Судебная медицина - Прикрепленное изображение
Пользователь offline
К началу страницы
+Ответить с цитированием
АльбертКазань
сообщение 14.12.2011 - 13:16
Сообщение #340


Знаток форума
Group Icon
Группа: СМЭ
Регистрация: 14.10.2010
Пользователь №: 23 473


Эксперимент. Выстрел из ТТ под углом с расстояния 150 см. На первом фото без преграды. На втором фото через преграду (боковое стекло автомобиля), находившуюся в 1,5-2 см от лоскута кожи.
Судебная медицина - Прикрепленное изображение Судебная медицина - Прикрепленное изображение
Пользователь offline
К началу страницы
+Ответить с цитированием
Медик
сообщение 14.12.2011 - 19:31
Сообщение #341


Учитель
Group Icon
Группа: Модераторы
Регистрация: 16.05.2010
Пользователь №: 21 553


Травма левой голени - флегмона этой голени - септикопиемия.
На фотографиях представлены левая голень и абсцесс печени.


Эскизы прикрепленных изображений
Судебная медицина - Прикрепленное изображение Судебная медицина - Прикрепленное изображение Судебная медицина - Прикрепленное изображение Судебная медицина - Прикрепленное изображение Судебная медицина - Прикрепленное изображение
Пользователь offline
К началу страницы
+Ответить с цитированием
Anton
сообщение 16.12.2011 - 09:08
Сообщение #342


Мастер II

Группа: СМЭ
Регистрация: 6.12.2011
Из: Опорный край державы
Пользователь №: 30 279


"Спонтанный" разрыв тела мочевого пузыря. 1 - слизистая оболочка, 2 - серозная.
Судебная медицина - Прикрепленное изображение Судебная медицина - Прикрепленное изображение
Кавычки подразумевают, что разрыв мочевого пузыря все-таки травма, но совершенно отсутствуют повреждения в слоях ПБС, костях таза, а перерастяжение пузыря на фоне длительного запоя и ДГПЖ могли, видимо, привести к разрыву от кратковременного повышения внутрибрюшного давления без образования повреждений в месте приложения силы.
Пользователь offline
К началу страницы
+Ответить с цитированием
Медик
сообщение 19.12.2011 - 18:42
Сообщение #343


Учитель
Group Icon
Группа: Модераторы
Регистрация: 16.05.2010
Пользователь №: 21 553


Трёхстворчатый клапан,тромбэндокардит.


Эскизы прикрепленных изображений
Судебная медицина - Прикрепленное изображение
Пользователь offline
К началу страницы
+Ответить с цитированием
ЦУКАТ
сообщение 19.12.2011 - 20:12
Сообщение #344


Участник форума

Группа: СМЭ
Регистрация: 10.05.2008
Пользователь №: 8 381


Случайная находка - хроническая субдуральная гематома. Мужчина, 1946 г.р., хр. алкоголик, масса гематомы (вместе с ТМО в области гематомы) 110 гр. Передвигался самостоятельно. Со слов родственников примерно 1 год назад появились неврологические нарушения: нарушение речи, движений в правой руке и ноге. Не лечился, не обследовался. Симптоматика постепенно редуцировалась. Причина смерти - разрыв расслаивающей аневризмы брюшной части аорты.

Сообщение отредактировал ЦУКАТ - 19.12.2011 - 20:14


Эскизы прикрепленных изображений
Судебная медицина - Прикрепленное изображение Судебная медицина - Прикрепленное изображение Судебная медицина - Прикрепленное изображение Судебная медицина - Прикрепленное изображение
Пользователь offline
К началу страницы
+Ответить с цитированием
Медик
сообщение 20.12.2011 - 19:57
Сообщение #345


Учитель
Group Icon
Группа: Модераторы
Регистрация: 16.05.2010
Пользователь №: 21 553


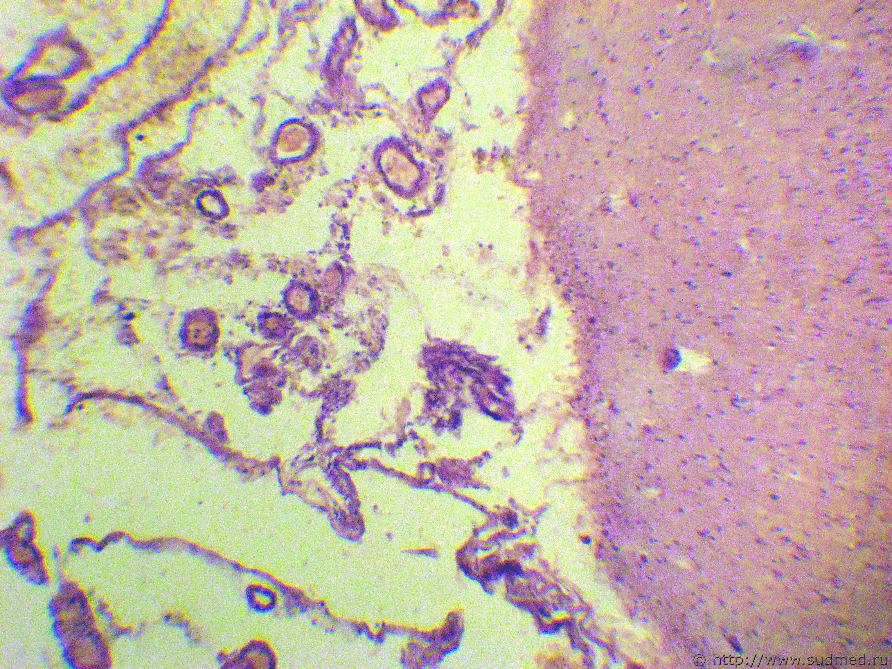
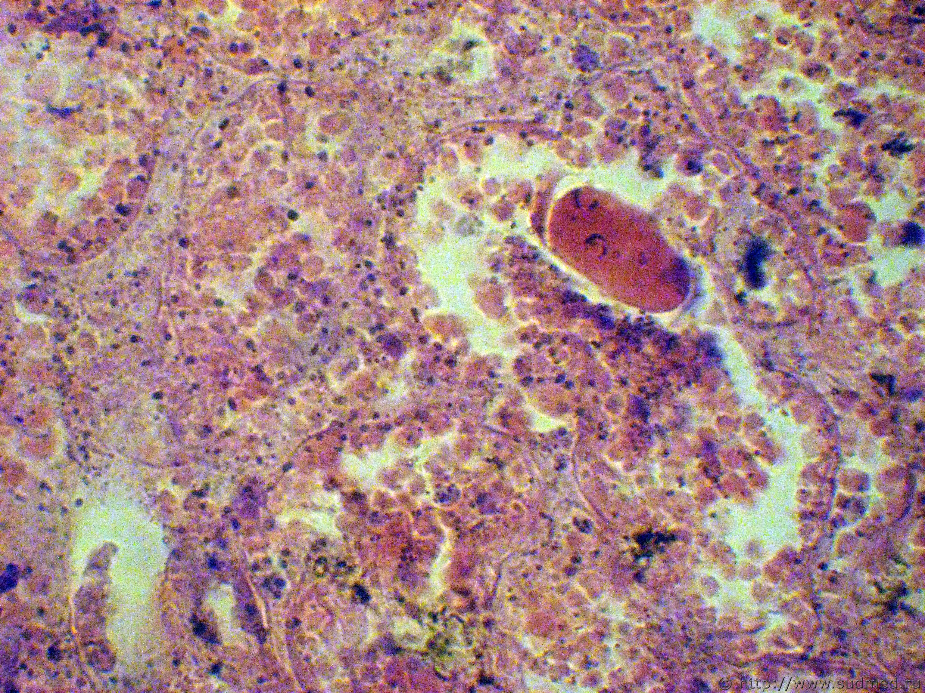
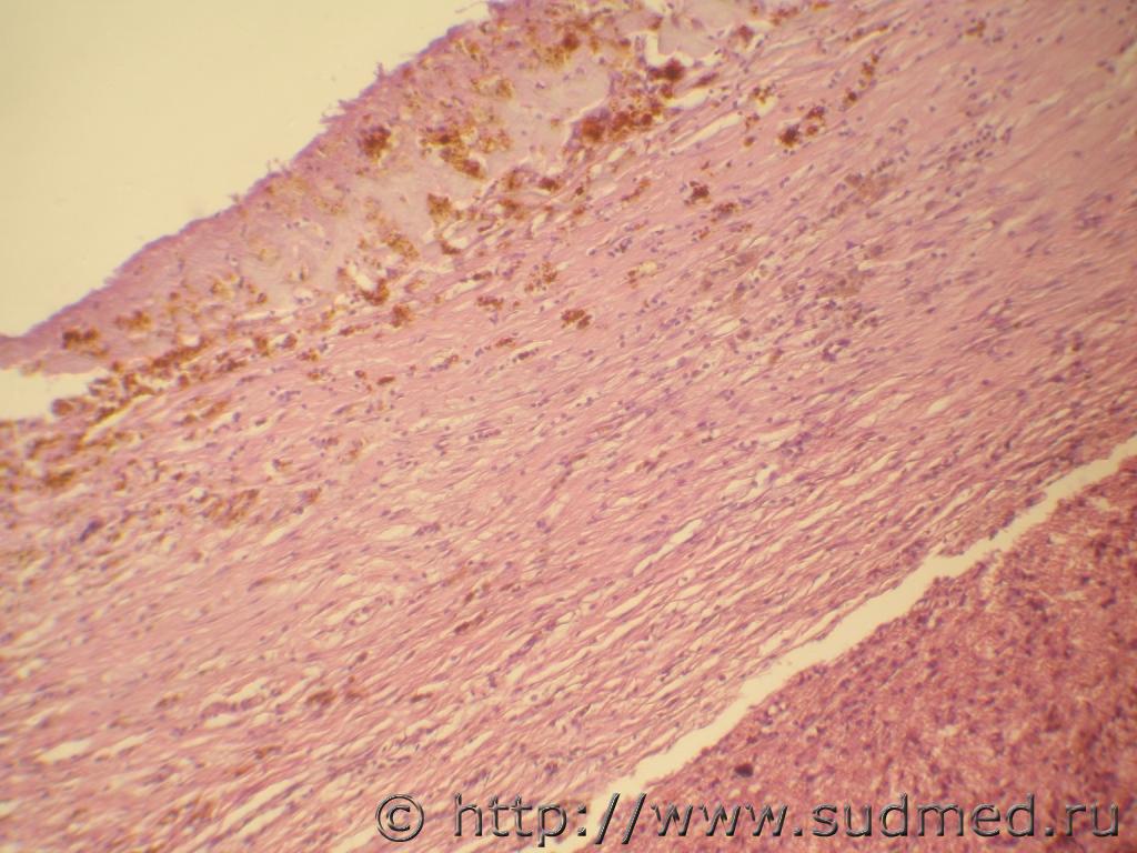
Мужчина,35 лет,умер от отравления алкоголем.В 2010г.перенёс тупую травму живота.Были разрыв печени,переломы рёбер слева.Произведена операция.
Теперь во время вскрытия трупа выявлена субкапсулярная киста селезёнки.Внутренняя поверхность кисты шероховатая с бурыми участками.В полости кисты сухие буроватые творожистые массы.Высказано мнение о посттравматической ложной кисте.
Микрофотографии.
Стенка ложной кисты.


Эскизы прикрепленных изображений
Судебная медицина - Прикрепленное изображение Судебная медицина - Прикрепленное изображение Судебная медицина - Прикрепленное изображение
Пользователь offline
К началу страницы
+Ответить с цитированием

75 страниц V « < 21 22 23 24 25 > » 



- Обратная связь Сейчас: 13.10.2025 - 06:52