Здравствуйте, гость ( Вход | Регистрация )

Форум судебных медиков России
>   Правила раздела >

Здесь обсуждаются вопросы судебно-медицинской танатологии и судебно-медицинской гистологии.

 
75 страниц V « < 23 24 25 26 27 > »   
>

Просто иллюстрации, фотографии интересных случаев

Рейтинг  5
>
ЦУКАТ
сообщение 17.01.2012 - 21:52
Сообщение #361


Участник форума

Группа: СМЭ
Регистрация: 10.05.2008
Пользователь №: 8 381


Метастаз плоскоклеточного рака кожи в миокарде (препарат после фиксации в 10% формалине в течение 1,5 суток).

Отпечаток протектора шин при переезде грузовым автомобилем

Сообщение отредактировал ЦУКАТ - 17.01.2012 - 21:45


Эскизы прикрепленных изображений
Судебная медицина - Прикрепленное изображение Судебная медицина - Прикрепленное изображение
Пользователь offline
К началу страницы
+Ответить с цитированием
Медик
сообщение 20.01.2012 - 15:12
Сообщение #362


Учитель
Group Icon
Группа: Модераторы
Регистрация: 16.05.2010
Пользователь №: 21 553


Аспирация крови.


Эскизы прикрепленных изображений
Судебная медицина - Прикрепленное изображение Судебная медицина - Прикрепленное изображение Судебная медицина - Прикрепленное изображение
Пользователь offline
К началу страницы
+Ответить с цитированием
Медик
сообщение 20.01.2012 - 15:29
Сообщение #363


Учитель
Group Icon
Группа: Модераторы
Регистрация: 16.05.2010
Пользователь №: 21 553


Стенозирующий атеросклероз левой общей сонной артерии.


Эскизы прикрепленных изображений
Судебная медицина - Прикрепленное изображение Судебная медицина - Прикрепленное изображение
Пользователь offline
К началу страницы
+Ответить с цитированием
Медик
сообщение 20.01.2012 - 15:41
Сообщение #364


Учитель
Group Icon
Группа: Модераторы
Регистрация: 16.05.2010
Пользователь №: 21 553


Метастазы рака в почку и печень.


Эскизы прикрепленных изображений
Судебная медицина - Прикрепленное изображение Судебная медицина - Прикрепленное изображение
Пользователь offline
К началу страницы
+Ответить с цитированием
Медик
сообщение 20.01.2012 - 15:52
Сообщение #365


Учитель
Group Icon
Группа: Модераторы
Регистрация: 16.05.2010
Пользователь №: 21 553


Хронический алкоголизм.Хронический индуративный панкреатит.


Эскизы прикрепленных изображений
Судебная медицина - Прикрепленное изображение
Пользователь offline
К началу страницы
+Ответить с цитированием
Медик
сообщение 20.01.2012 - 16:10
Сообщение #366


Учитель
Group Icon
Группа: Модераторы
Регистрация: 16.05.2010
Пользователь №: 21 553


Тромбоэмболия легочного ствола.

Сообщение отредактировал медик - 20.01.2012 - 16:15


Эскизы прикрепленных изображений
Судебная медицина - Прикрепленное изображение Судебная медицина - Прикрепленное изображение
Пользователь offline
К началу страницы
+Ответить с цитированием
Медик
сообщение 20.01.2012 - 16:21
Сообщение #367


Учитель
Group Icon
Группа: Модераторы
Регистрация: 16.05.2010
Пользователь №: 21 553


Флегмона шеи.


Эскизы прикрепленных изображений
Судебная медицина - Прикрепленное изображение
Пользователь offline
К началу страницы
+Ответить с цитированием
Медик
сообщение 23.01.2012 - 18:11
Сообщение #368


Учитель
Group Icon
Группа: Модераторы
Регистрация: 16.05.2010
Пользователь №: 21 553


Кахексия.


Эскизы прикрепленных изображений
Судебная медицина - Прикрепленное изображение
Пользователь offline
К началу страницы
+Ответить с цитированием
Медик
сообщение 23.01.2012 - 18:31
Сообщение #369


Учитель
Group Icon
Группа: Модераторы
Регистрация: 16.05.2010
Пользователь №: 21 553


Женщина 50 лет.Лейомиома тела матки.Тромбоз вен таза.ТЭЛА.
Фото 1.Тело матки.Общий вид.
Фото 2.Тело матки на разрезе.


Эскизы прикрепленных изображений
Судебная медицина - Прикрепленное изображение Судебная медицина - Прикрепленное изображение
Пользователь offline
К началу страницы
+Ответить с цитированием
Медик
сообщение 23.01.2012 - 18:58
Сообщение #370


Учитель
Group Icon
Группа: Модераторы
Регистрация: 16.05.2010
Пользователь №: 21 553


Костный мозг диафиза бедренной кости при сепсисе.


Эскизы прикрепленных изображений
Судебная медицина - Прикрепленное изображение
Пользователь offline
К началу страницы
+Ответить с цитированием
Медик
сообщение 23.01.2012 - 19:18
Сообщение #371


Учитель
Group Icon
Группа: Модераторы
Регистрация: 16.05.2010
Пользователь №: 21 553


Болезнь Крона толстой кишки.


Эскизы прикрепленных изображений
Судебная медицина - Прикрепленное изображение Судебная медицина - Прикрепленное изображение
Пользователь offline
К началу страницы
+Ответить с цитированием
Медик
сообщение 31.01.2012 - 16:20
Сообщение #372


Учитель
Group Icon
Группа: Модераторы
Регистрация: 16.05.2010
Пользователь №: 21 553


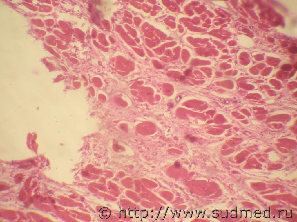
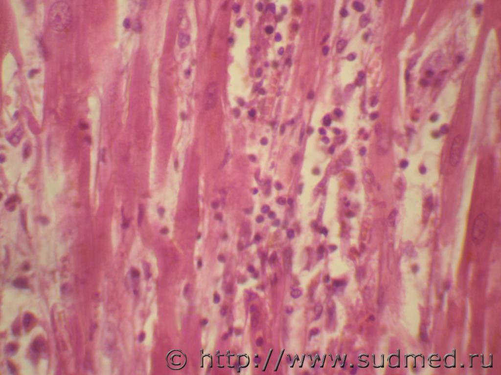
Мужчина,27 лет,жаловался на боли в области сердца и одышку.Смерть в МСП.
Фото.Продуктивный диффузный миокардит.


Эскизы прикрепленных изображений
Судебная медицина - Прикрепленное изображение Судебная медицина - Прикрепленное изображение Судебная медицина - Прикрепленное изображение Судебная медицина - Прикрепленное изображение Судебная медицина - Прикрепленное изображение
Пользователь offline
К началу страницы
+Ответить с цитированием
Медик
сообщение 31.01.2012 - 16:38
Сообщение #373


Учитель
Group Icon
Группа: Модераторы
Регистрация: 16.05.2010
Пользователь №: 21 553


Ушивание раны сердца.В послеоперационном периоде нарушения сердечного ритма,смерть.
Макроскопически:тромбоз левого ушка сердца,тромбоэмболический синдром:тромбоэмболия левой средней мозговой артерии,селезёночной и правой почечной артерий,инфаркты головного мозга,селезёнки и правой почки.
Фото.Тромбоз левого ушка сердца.Большая часть тромба извлечена из ушка.

Сообщение отредактировал медик - 31.01.2012 - 16:45


Эскизы прикрепленных изображений
Судебная медицина - Прикрепленное изображение
Пользователь offline
К началу страницы
+Ответить с цитированием
Медик
сообщение 31.01.2012 - 16:59
Сообщение #374


Учитель
Group Icon
Группа: Модераторы
Регистрация: 16.05.2010
Пользователь №: 21 553


Фото.Нефроцирроз.Вес почки 20г.

Сообщение отредактировал медик - 31.01.2012 - 17:00


Эскизы прикрепленных изображений
Судебная медицина - Прикрепленное изображение
Пользователь offline
К началу страницы
+Ответить с цитированием
Медик
сообщение 31.01.2012 - 17:15
Сообщение #375


Учитель
Group Icon
Группа: Модераторы
Регистрация: 16.05.2010
Пользователь №: 21 553


Фото.Жёлчный пузырь с камнями.


Эскизы прикрепленных изображений
Судебная медицина - Прикрепленное изображение
Пользователь offline
К началу страницы
+Ответить с цитированием

75 страниц V « < 23 24 25 26 27 > » 



- Обратная связь Сейчас: 13.10.2025 - 08:30