Здравствуйте, гость ( Вход | Регистрация )

Форум судебных медиков России
>   Правила раздела >

Здесь обсуждаются вопросы судебно-медицинской танатологии и судебно-медицинской гистологии.

 
75 страниц V « < 26 27 28 29 30 > »   
>

Просто иллюстрации, фотографии интересных случаев

Рейтинг  5
>
Медик
сообщение 12.04.2012 - 12:23
Сообщение #406


Учитель
Group Icon
Группа: Модераторы
Регистрация: 16.05.2010
Пользователь №: 21 553


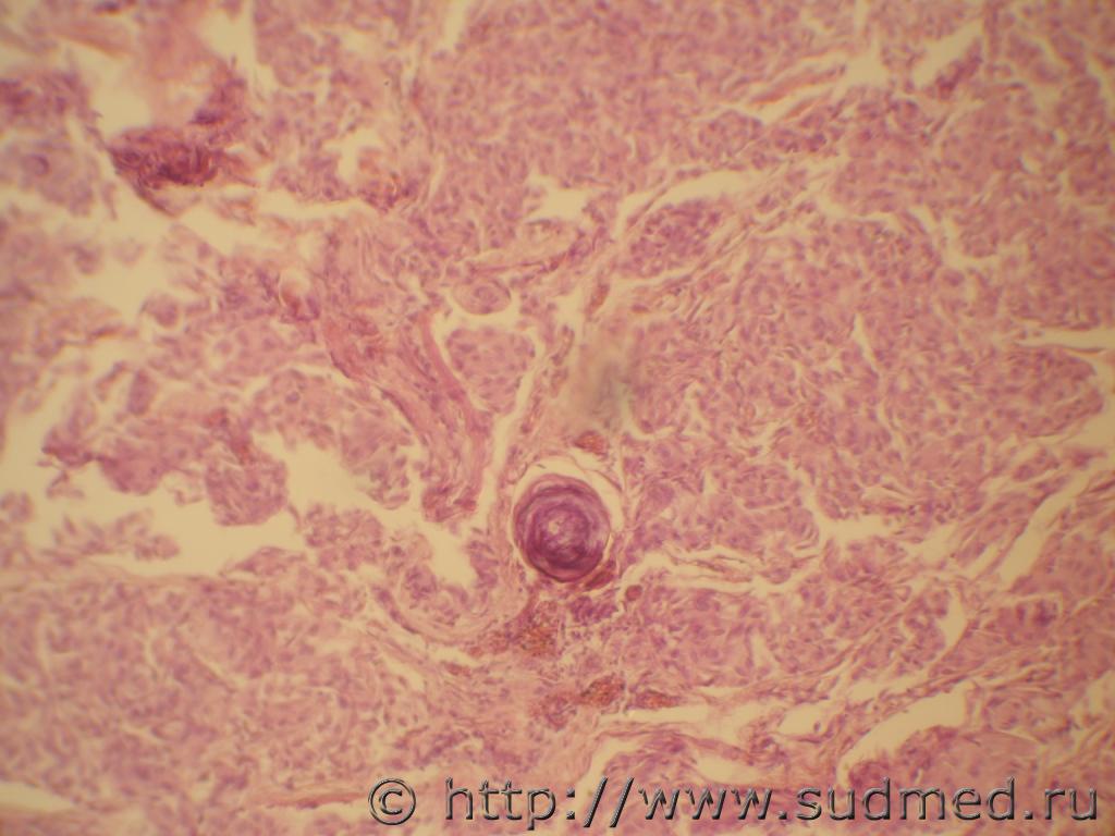
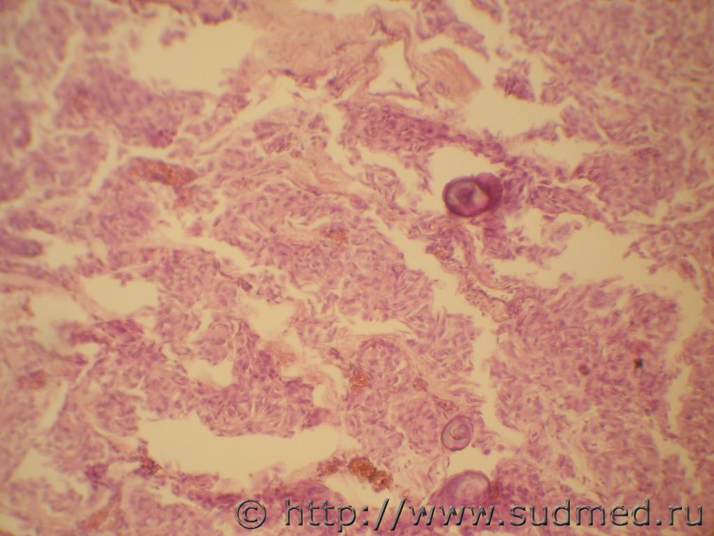
Сферолит.


Эскизы прикрепленных изображений
Судебная медицина - Прикрепленное изображение Судебная медицина - Прикрепленное изображение
Пользователь offline
К началу страницы
+Ответить с цитированием
Медик
сообщение 16.04.2012 - 14:17
Сообщение #407


Учитель
Group Icon
Группа: Модераторы
Регистрация: 16.05.2010
Пользователь №: 21 553


Аневризма а.basilaris.
Фото1,2.Общий вид.
Фото 3.Аневризма на разрезе.


Эскизы прикрепленных изображений
Судебная медицина - Прикрепленное изображение Судебная медицина - Прикрепленное изображение Судебная медицина - Прикрепленное изображение
Пользователь offline
К началу страницы
+Ответить с цитированием
Медик
сообщение 25.04.2012 - 14:17
Сообщение #408


Учитель
Group Icon
Группа: Модераторы
Регистрация: 16.05.2010
Пользователь №: 21 553


Труп 65-летней женщины.Хронический лимфолейкоз.
Фото 1.Селезёнка (размеры 25х16х8,5см.,вес 1690г.).
Фото 2.Костный мозг диафиза левой бедренной кости.


Эскизы прикрепленных изображений
Судебная медицина - Прикрепленное изображение Судебная медицина - Прикрепленное изображение
Пользователь offline
К началу страницы
+Ответить с цитированием
Медик
сообщение 3.05.2012 - 16:36
Сообщение #409


Учитель
Group Icon
Группа: Модераторы
Регистрация: 16.05.2010
Пользователь №: 21 553


Тофусы на правой стопе.


Эскизы прикрепленных изображений
Судебная медицина - Прикрепленное изображение
Пользователь offline
К началу страницы
+Ответить с цитированием
ТАНАТОЛОГ
сообщение 8.05.2012 - 21:13
Сообщение #410


Участник форума

Группа: СМЭ
Регистрация: 31.03.2010
Пользователь №: 20 887


Внематочная (трубная) беременность с разрывом. В брюшной полости 2000мл крови.

1. Судебная медицина 2. Судебная медицина 3. Судебная медицина 4. Судебная медицина 5. Судебная медицина

1,2 - задняя поверхность
3 - передняя поверхность
4,5 - содержимое плодного яйца

Сообщение отредактировал ТАНАТОЛОГ - 8.05.2012 - 21:14
Пользователь offline
К началу страницы
+Ответить с цитированием
Медик
сообщение 10.05.2012 - 14:20
Сообщение #411


Учитель
Group Icon
Группа: Модераторы
Регистрация: 16.05.2010
Пользователь №: 21 553


Фото 1,2,3.Оссификация серпа большого мозга.
Фото 4.Внутренние гиперостозы лобной кости.


Эскизы прикрепленных изображений
Судебная медицина - Прикрепленное изображение Судебная медицина - Прикрепленное изображение Судебная медицина - Прикрепленное изображение Судебная медицина - Прикрепленное изображение
Пользователь offline
К началу страницы
+Ответить с цитированием
Медик
сообщение 14.05.2012 - 13:59
Сообщение #412


Учитель
Group Icon
Группа: Модераторы
Регистрация: 16.05.2010
Пользователь №: 21 553


Фото 1.Липома правого бедра.
Фото 2.Метастазы рака в парааортальные лимфатические узлы.


Эскизы прикрепленных изображений
Судебная медицина - Прикрепленное изображение Судебная медицина - Прикрепленное изображение
Пользователь offline
К началу страницы
+Ответить с цитированием
Медик
сообщение 16.05.2012 - 13:42
Сообщение #413


Учитель
Group Icon
Группа: Модераторы
Регистрация: 16.05.2010
Пользователь №: 21 553


Нагноившийся геморрагический инфаркт лёгкого.


Эскизы прикрепленных изображений
Судебная медицина - Прикрепленное изображение
Пользователь offline
К началу страницы
+Ответить с цитированием
Медик
сообщение 16.05.2012 - 13:58
Сообщение #414


Учитель
Group Icon
Группа: Модераторы
Регистрация: 16.05.2010
Пользователь №: 21 553


Фото1.Стеатонекрозы.
Фото2,3,4.Острый пакреатит.


Эскизы прикрепленных изображений
Судебная медицина - Прикрепленное изображение Судебная медицина - Прикрепленное изображение Судебная медицина - Прикрепленное изображение Судебная медицина - Прикрепленное изображение
Пользователь offline
К началу страницы
+Ответить с цитированием
Медик
сообщение 16.05.2012 - 16:15
Сообщение #415


Учитель
Group Icon
Группа: Модераторы
Регистрация: 16.05.2010
Пользователь №: 21 553


Некрозы в печени при ДВС-синдроме.


Эскизы прикрепленных изображений
Судебная медицина - Прикрепленное изображение
Пользователь offline
К началу страницы
+Ответить с цитированием
FILIN
сообщение 17.05.2012 - 20:15
Сообщение #416


ГУРУ ФСМ
Group Icon
Группа: Модераторы
Регистрация: 22.08.2004
Из: Владимирская губерния
Пользователь №: 116


Судебная медицина - Прикрепленное изображение
Хвастовство? Может быть.
Желание поделиться радостью от приобретения этого раритета? Скорее всего.
Интересно, сколько экзепляров этого Атласа сохранилось?
Пользователь offline
К началу страницы
+Ответить с цитированием
Медик
сообщение 18.05.2012 - 08:28
Сообщение #417


Учитель
Group Icon
Группа: Модераторы
Регистрация: 16.05.2010
Пользователь №: 21 553


Цитата(Unior @ 17.04.2012 - 01:18)
опухоли - менингиомы.

Псаммоматозный вариант менингиомы.


Эскизы прикрепленных изображений
Судебная медицина - Прикрепленное изображение Судебная медицина - Прикрепленное изображение Судебная медицина - Прикрепленное изображение
Пользователь offline
К началу страницы
+Ответить с цитированием
Медик
сообщение 18.05.2012 - 12:32
Сообщение #418


Учитель
Group Icon
Группа: Модераторы
Регистрация: 16.05.2010
Пользователь №: 21 553


Мышца сердца на разрезе при алкогольной кардиомиопатии,а слева внизу вид мышцы сквозь эндокард.

Сообщение отредактировал медик - 18.05.2012 - 12:34


Эскизы прикрепленных изображений
Судебная медицина - Прикрепленное изображение
Пользователь offline
К началу страницы
+Ответить с цитированием
EMBALMER
сообщение 21.05.2012 - 16:46
Сообщение #419


Претендент

Группа: Участники
Регистрация: 1.12.2006
Из: Литва
Пользователь №: 3 675


Цитата(FILIN @ 17.05.2012 - 21:15)
Судебная медицина - Прикрепленное изображение
Хвастовство? Может быть.
Желание поделиться радостью от приобретения этого раритета? Скорее всего.
Интересно, сколько экзепляров этого Атласа сохранилось?


Эта же книга , только на английском:

http://ia600204.us.archive.org/19/items/at...i00hofmiala.pdf
Пользователь offline
К началу страницы
+Ответить с цитированием
spirit
сообщение 26.05.2012 - 15:46
Сообщение #420


Продвинутый участник

Группа: СМЭ
Регистрация: 15.04.2012
Пользователь №: 32 479


одно из повреждений - ренение из пневматического пистолета (средняя треть плеча с кровоподтеком вокруг)


Эскизы прикрепленных изображений
Судебная медицина - Прикрепленное изображение
Пользователь offline
К началу страницы
+Ответить с цитированием

75 страниц V « < 26 27 28 29 30 > » 



- Обратная связь Сейчас: 13.10.2025 - 11:39