Здравствуйте, гость ( Вход | Регистрация )

Форум судебных медиков России
>   Правила раздела >

Здесь обсуждаются вопросы судебно-медицинской танатологии и судебно-медицинской гистологии.

 
75 страниц V « < 27 28 29 30 31 > »   
>

Просто иллюстрации, фотографии интересных случаев

Рейтинг  5
>
Piligrim
сообщение 26.05.2012 - 15:59
Сообщение #421


Участник форума

Группа: СМЭ
Регистрация: 6.05.2011
Из: Край Земли
Пользователь №: 26 906


Дефект межпредсердной перегородки


Эскизы прикрепленных изображений
Судебная медицина - Прикрепленное изображение Судебная медицина - Прикрепленное изображение
Пользователь offline
К началу страницы
+Ответить с цитированием
spirit
сообщение 26.05.2012 - 19:01
Сообщение #422


Продвинутый участник

Группа: СМЭ
Регистрация: 15.04.2012
Пользователь №: 32 479


колото-резанные на обугленном трупе


Эскизы прикрепленных изображений
Судебная медицина - Прикрепленное изображение
Пользователь offline
К началу страницы
+Ответить с цитированием
sudmed2007
сообщение 27.05.2012 - 14:50
Сообщение #423


Опытный участник

Группа: СМЭ
Регистрация: 13.02.2008
Из: Карелия
Пользователь №: 7 412


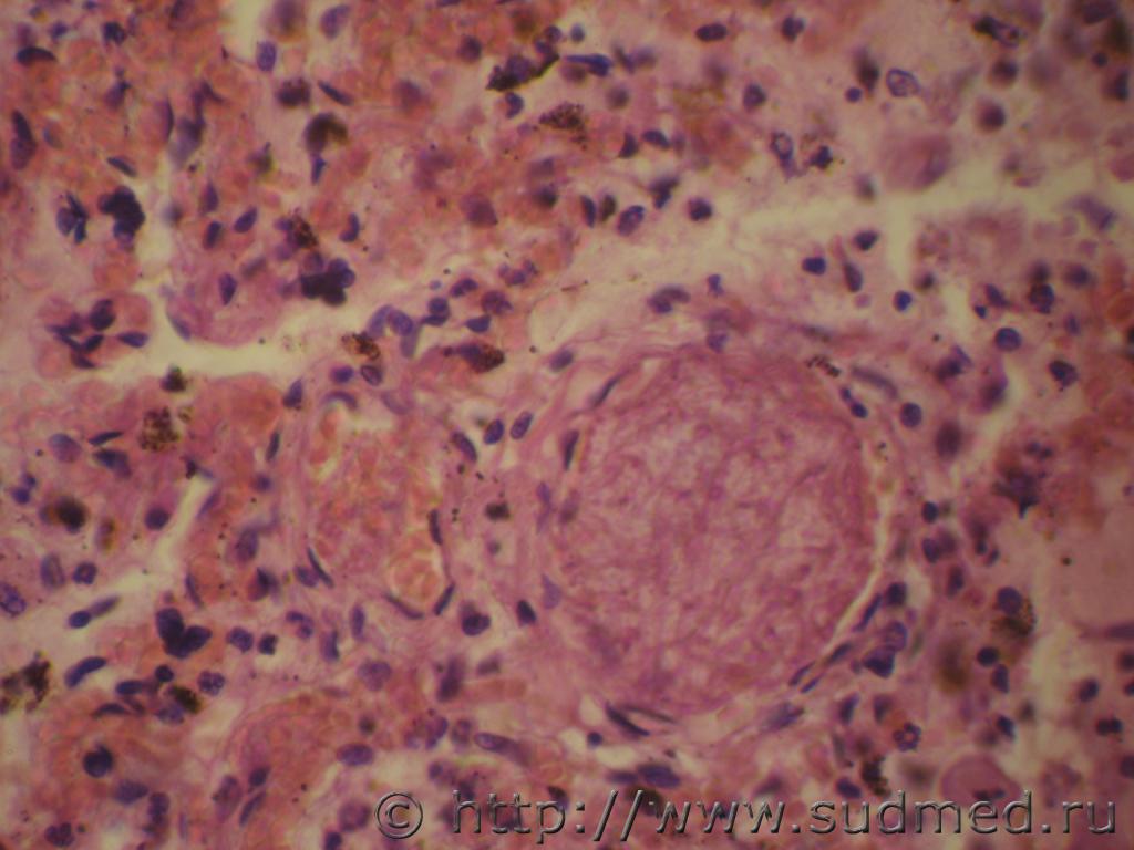
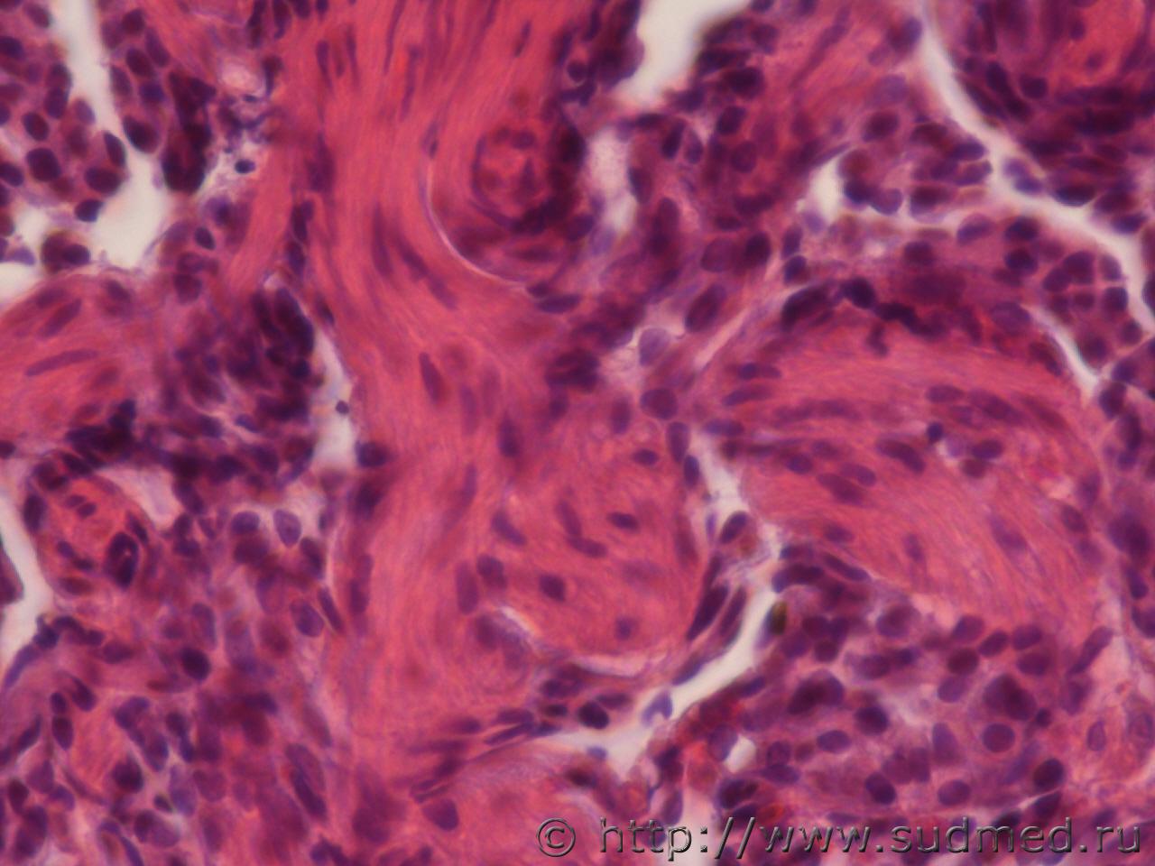
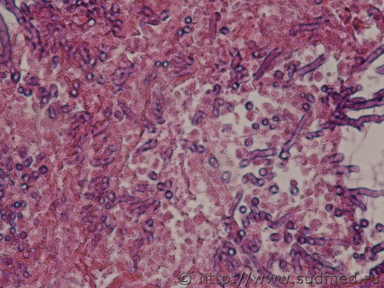
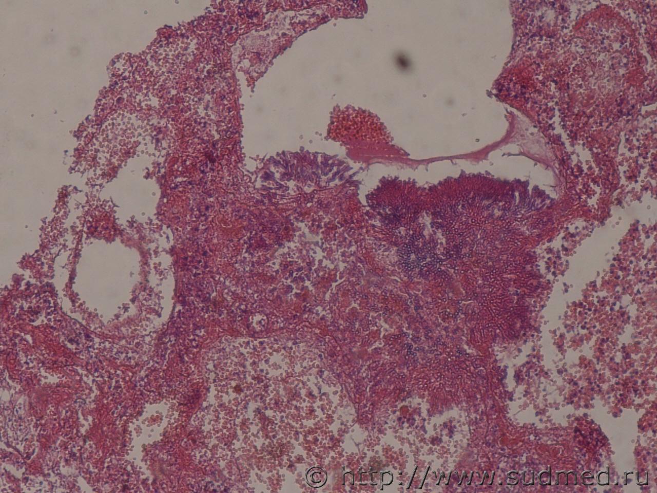
Негнойный аспергиллёз легких
Судебная медицина - Прикрепленное изображение Судебная медицина - Прикрепленное изображениеСудебная медицина - Прикрепленное изображение

БИН-синдром


Судебная медицина - Прикрепленное изображение
Пользователь offline
К началу страницы
+Ответить с цитированием
sudmed2007
сообщение 27.05.2012 - 16:08
Сообщение #424


Опытный участник

Группа: СМЭ
Регистрация: 13.02.2008
Из: Карелия
Пользователь №: 7 412


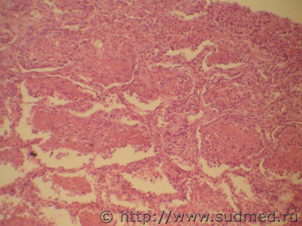
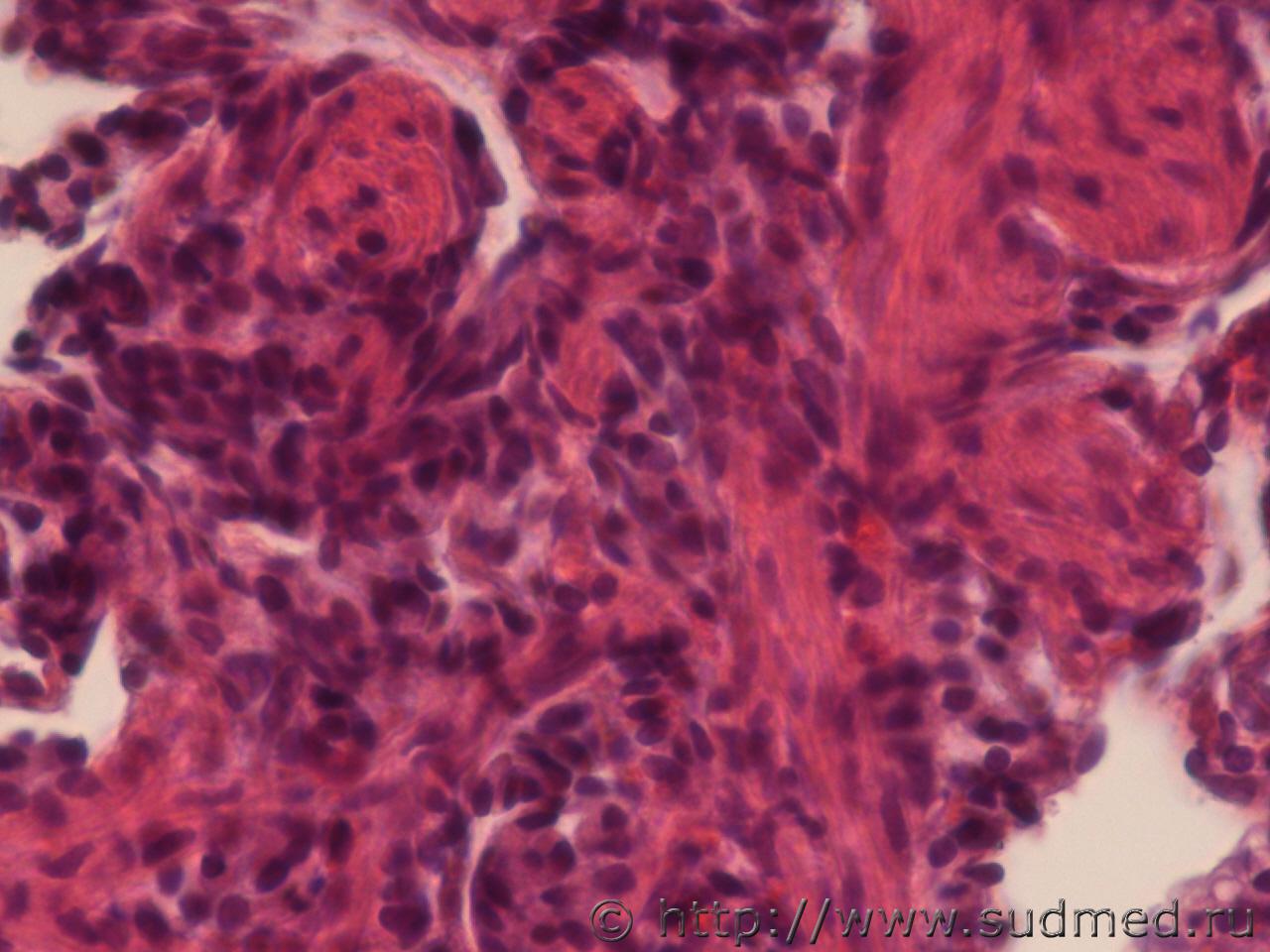
Гломус-ангиома (гломусная опухоль) желудка
Судебная медицина - Прикрепленное изображение Судебная медицина - Прикрепленное изображениеСудебная медицина - Прикрепленное изображение
Пользователь offline
К началу страницы
+Ответить с цитированием
ЦУКАТ
сообщение 1.06.2012 - 19:39
Сообщение #425


Участник форума

Группа: СМЭ
Регистрация: 10.05.2008
Пользователь №: 8 381


Множественные повреждения топором (острием и обухом). Судебная медицина - Прикрепленное изображение Судебная медицина - Прикрепленное изображениеСудебная медицина - Прикрепленное изображение

На последнем фото под сгустками крови множественные повреждения ТМО.
Сами повреждения не столь редки в наше время. Меня поразила в данном случае переживаемость травмы, которая составила около одних суток (из них 19 часов в стационаре), при этом этанола в крови на момент наступления смерти оставалось 1,2 промилле.
Пользователь offline
К началу страницы
+Ответить с цитированием
Anton
сообщение 5.06.2012 - 10:56
Сообщение #426


Мастер II

Группа: СМЭ
Регистрация: 6.12.2011
Из: Опорный край державы
Пользователь №: 30 279


Ложная порэнцефалия. Девочка 4,5 мес.


Эскизы прикрепленных изображений
Судебная медицина - Прикрепленное изображение Судебная медицина - Прикрепленное изображение Судебная медицина - Прикрепленное изображение
Пользователь offline
К началу страницы
+Ответить с цитированием
expertms
сообщение 11.06.2012 - 17:35
Сообщение #427


Продвинутый участник

Группа: СМЭ
Регистрация: 24.05.2011
Пользователь №: 27 243


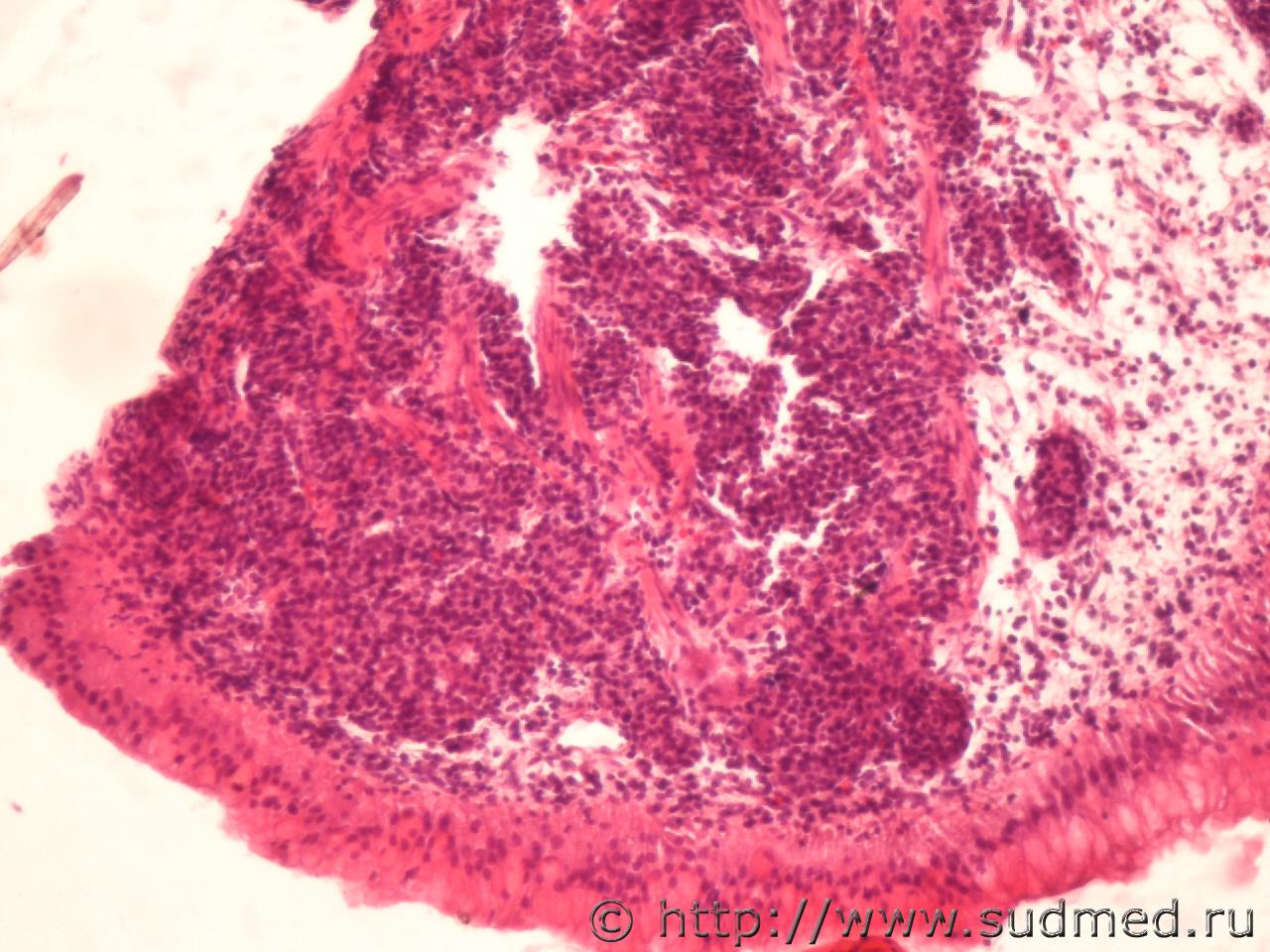
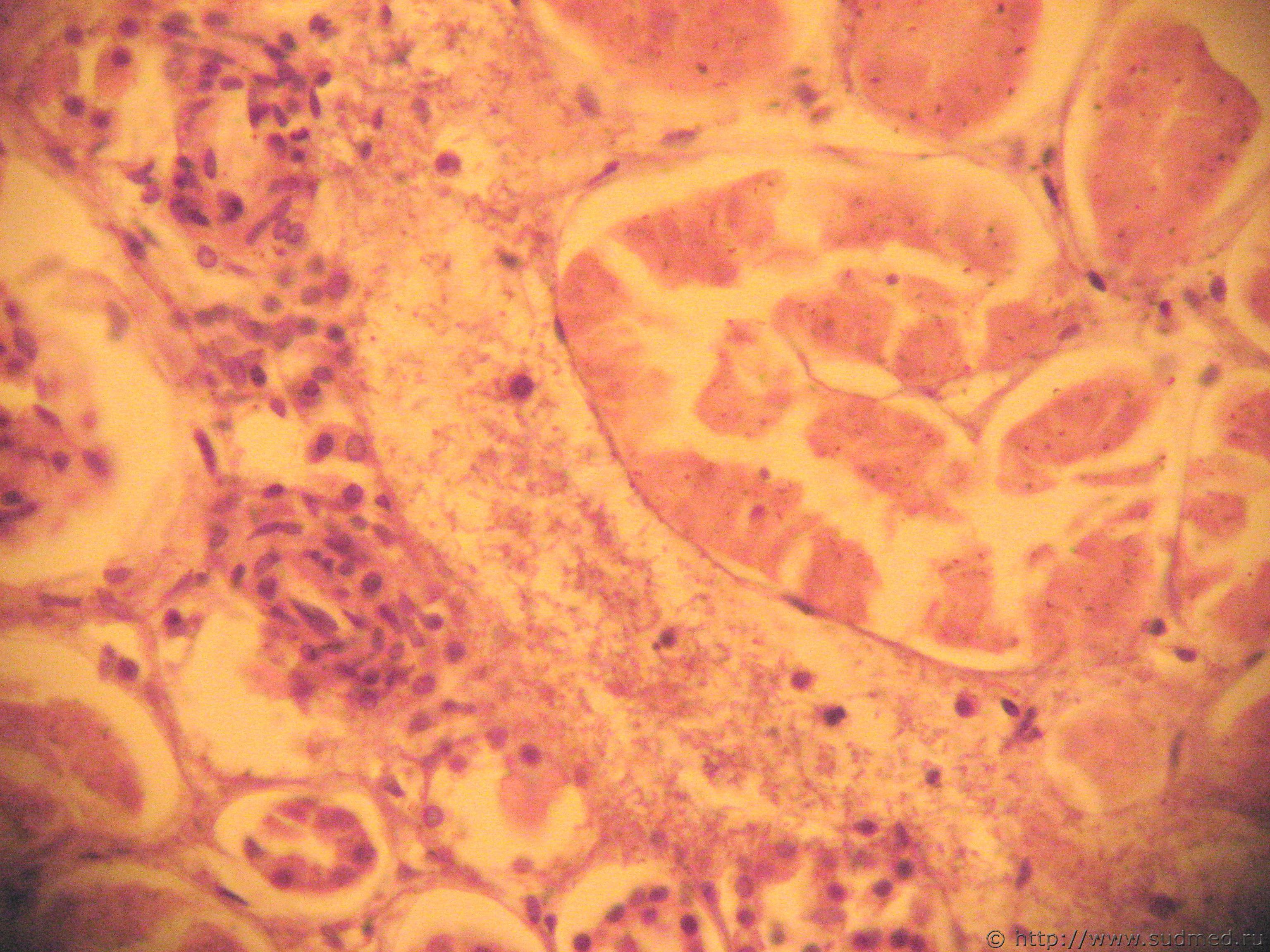
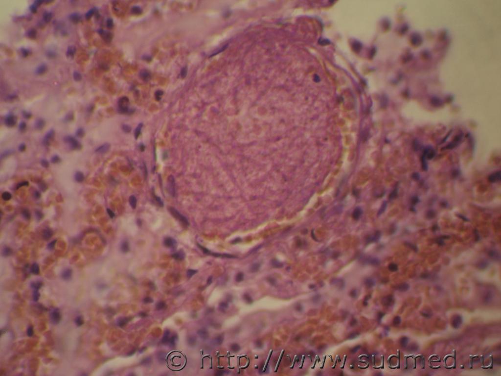
колониии микобактерий в сосудах и периваскулярно:
1. в миокарде, 2. в почке, 3. в околонадпочечниковой клетчатке


Эскизы прикрепленных изображений
Судебная медицина - Прикрепленное изображение Судебная медицина - Прикрепленное изображение Судебная медицина - Прикрепленное изображение
Пользователь offline
К началу страницы
+Ответить с цитированием
ахмед
сообщение 16.06.2012 - 13:02
Сообщение #428


Магистр форума

Группа: СМЭ
Регистрация: 29.12.2008
Пользователь №: 11 953


Посмертное расчленение и обгорание туловища. Разруб и зарубка бедренной кости.


Эскизы прикрепленных изображений
Судебная медицина - Прикрепленное изображение Судебная медицина - Прикрепленное изображение
Пользователь offline
К началу страницы
+Ответить с цитированием
azazello
сообщение 23.06.2012 - 13:43
Сообщение #429


Претендент

Группа: Участники
Регистрация: 23.06.2012
Пользователь №: 33 353


Пару месяцев назад мужчина шел домой по темной улице, естественно, сильно навеселе. Никто на него нападал, не бил, он просто споткнулся и ударился обо что-то. Был без сознания, по его ощущениям, секунд 20, после чего встал и как ни в чем не бывало добрел до дома. Но с этого момента по утрам он чувствовал себя как будто у него самое худшее похмелье в жизни - так трещала голова. К врачу мужчина пошел спустя несколько дней после несчастного случая, - открытый перелом черепа
Судебная медицина - Прикрепленное изображение
Пользователь offline
К началу страницы
+Ответить с цитированием
SLeonoff
сообщение 23.06.2012 - 22:25
Сообщение #430


Продвинутый участник

Группа: СМЭ
Регистрация: 28.08.2008
Из: Москва
Пользователь №: 9 480


Цитата(azazello @ 23.06.2012 - 20:43)
Пару месяцев назад мужчина шел домой по темной улице, естественно, сильно навеселе. Никто на него нападал, не бил, он просто споткнулся и ударился обо что-то.
Судебная медицина - Прикрепленное изображение

странно он споткнулся и еще более странно ударился...
Пользователь offline
К началу страницы
+Ответить с цитированием
Медик
сообщение 10.07.2012 - 10:16
Сообщение #431


Учитель
Group Icon
Группа: Модераторы
Регистрация: 16.05.2010
Пользователь №: 21 553


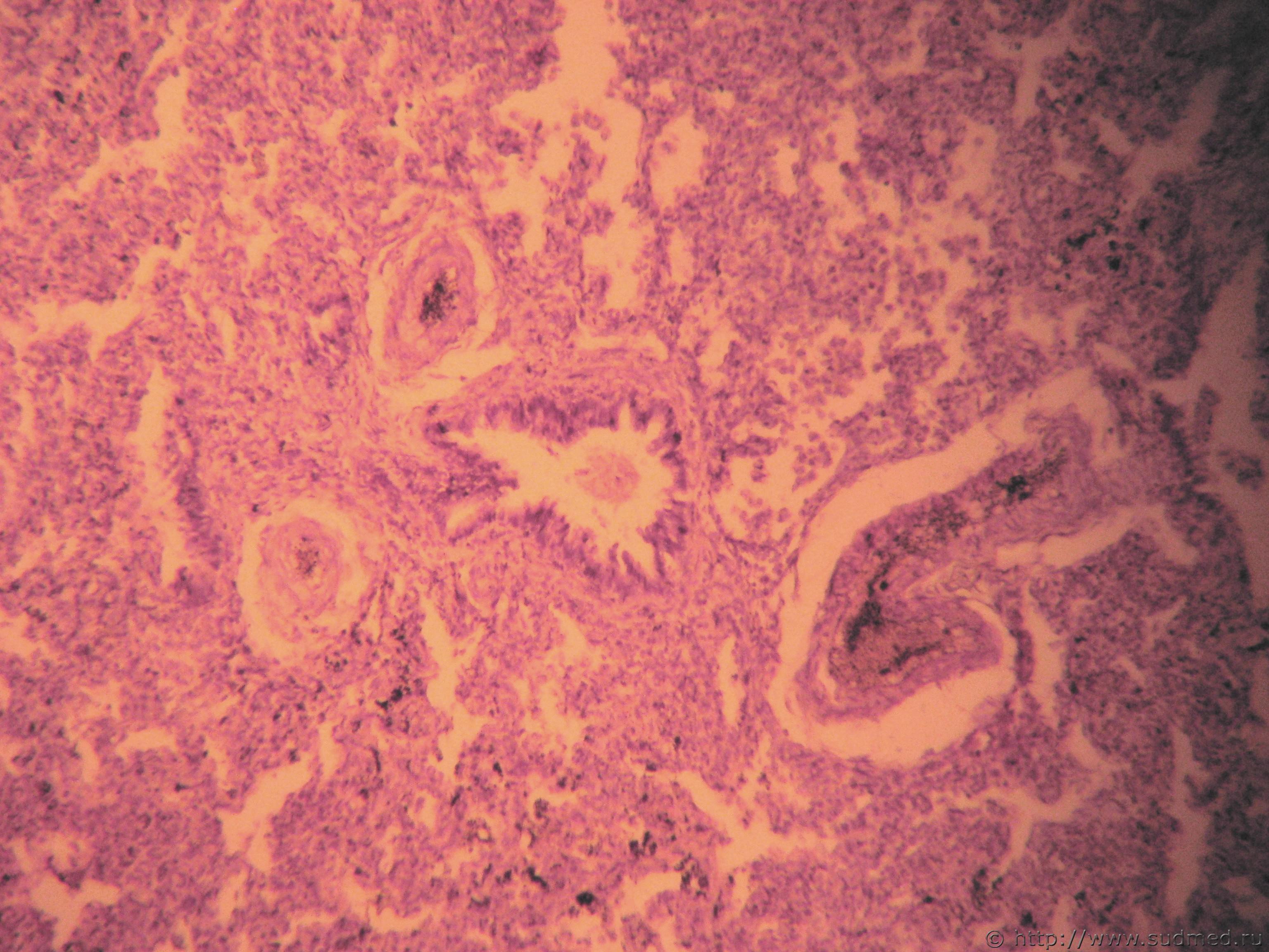
Карнификация.


Эскизы прикрепленных изображений
Судебная медицина - Прикрепленное изображение Судебная медицина - Прикрепленное изображение
Пользователь offline
К началу страницы
+Ответить с цитированием
Медик
сообщение 10.07.2012 - 12:25
Сообщение #432


Учитель
Group Icon
Группа: Модераторы
Регистрация: 16.05.2010
Пользователь №: 21 553


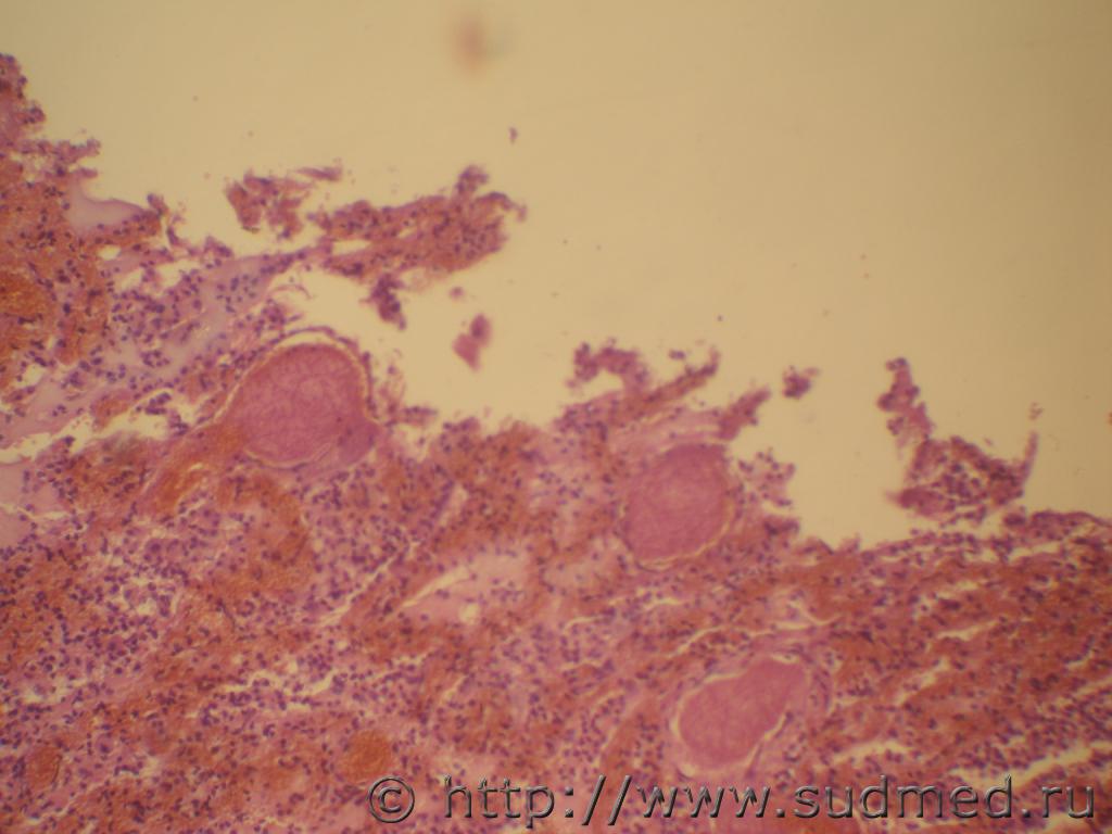
ДВС-синдром.Фибриновые тромбы в сосудах МЦР лёгких.


Эскизы прикрепленных изображений
Судебная медицина - Прикрепленное изображение Судебная медицина - Прикрепленное изображение Судебная медицина - Прикрепленное изображение Судебная медицина - Прикрепленное изображение Судебная медицина - Прикрепленное изображение
Пользователь offline
К началу страницы
+Ответить с цитированием
Медик
сообщение 10.07.2012 - 13:15
Сообщение #433


Учитель
Group Icon
Группа: Модераторы
Регистрация: 16.05.2010
Пользователь №: 21 553


Мягкая мозговая оболочка.Хронический алкоголизм.


Эскизы прикрепленных изображений
Судебная медицина - Прикрепленное изображение Судебная медицина - Прикрепленное изображение
Пользователь offline
К началу страницы
+Ответить с цитированием
expertms
сообщение 30.07.2012 - 19:32
Сообщение #434


Продвинутый участник

Группа: СМЭ
Регистрация: 24.05.2011
Пользователь №: 27 243


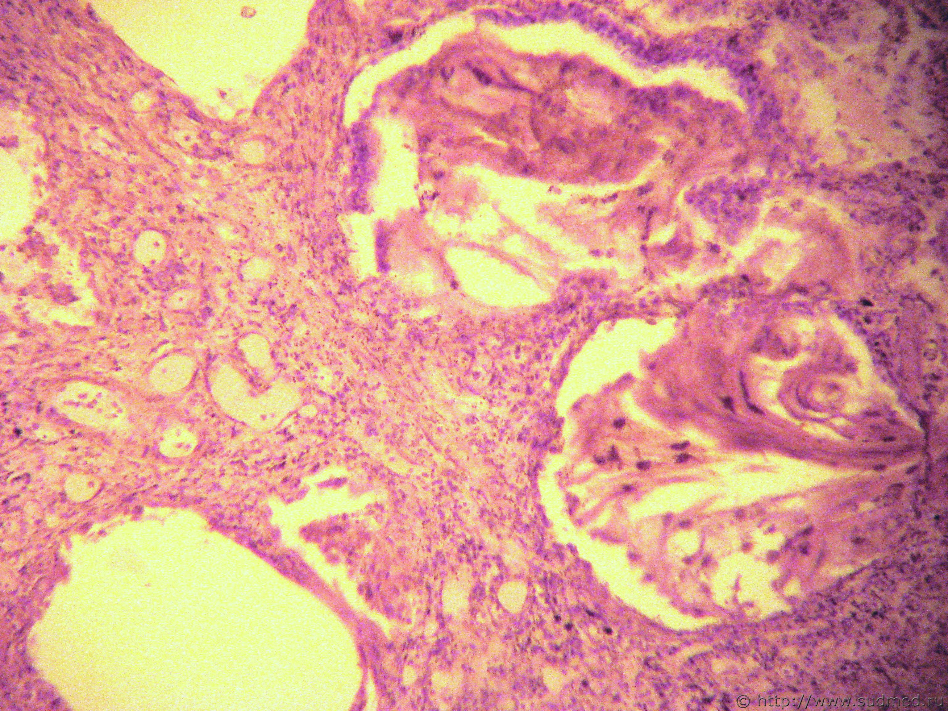
Фото 1. ХОБЛ. спирали слизи в бронхах. пневмосклероз



Фото 2, 3 - сердце. Фото 4 - лёгкие. Фиброэластоз. Ребёнок 1.5 мес. Поступал в инфекц.больницу с подозрением на 2-стороннюю пневмонию, дыхание ослаблено. На R-снимке лёгкие в виде тонких полос. Сердце выполняет весь объём плевральных полостей. Случай не мой. Вскрытие в ПАО.


Сообщение отредактировал expertms - 30.07.2012 - 19:33


Эскизы прикрепленных изображений
Судебная медицина - Прикрепленное изображение Судебная медицина - Прикрепленное изображение Судебная медицина - Прикрепленное изображение Судебная медицина - Прикрепленное изображение
Пользователь offline
К началу страницы
+Ответить с цитированием
D'ng
сообщение 1.08.2012 - 21:24
Сообщение #435



Group Icon
Группа: Модераторы
Регистрация: 30.08.2011
Пользователь №: 28 478


Химический ожег. Концентрированная (~50%) азотная кислота. Фото А1,А2,А3 через 15-20 минут после попадания кислоты на кожу. Руку в течении 10 минут промывали водой.

Фото В1,В2 - действие раствора щелочи ~15% на ожег азотной кислотой (руку по ошибке обработали раствором щелочи вместо слабого раствора соды. смыли сразу же). Обращает внимание изменение интенсивности окраски. После дальнейшей промывки водой цвет вернулся к тому , что видно на фото-А.



Эскизы прикрепленных изображений
Судебная медицина - Прикрепленное изображение Судебная медицина - Прикрепленное изображение Судебная медицина - Прикрепленное изображение Судебная медицина - Прикрепленное изображение Судебная медицина - Прикрепленное изображение
Пользователь offline
К началу страницы
+Ответить с цитированием

75 страниц V « < 27 28 29 30 31 > » 



- Обратная связь Сейчас: 13.10.2025 - 11:39