Здравствуйте, гость ( Вход | Регистрация )

Форум судебных медиков России
>   Правила раздела >

Здесь обсуждаются вопросы судебно-медицинской танатологии и судебно-медицинской гистологии.

 
75 страниц V « < 28 29 30 31 32 > »   
>

Просто иллюстрации, фотографии интересных случаев

Рейтинг  5
>
expertms
сообщение 4.08.2012 - 12:30
Сообщение #436


Продвинутый участник

Группа: СМЭ
Регистрация: 24.05.2011
Пользователь №: 27 243


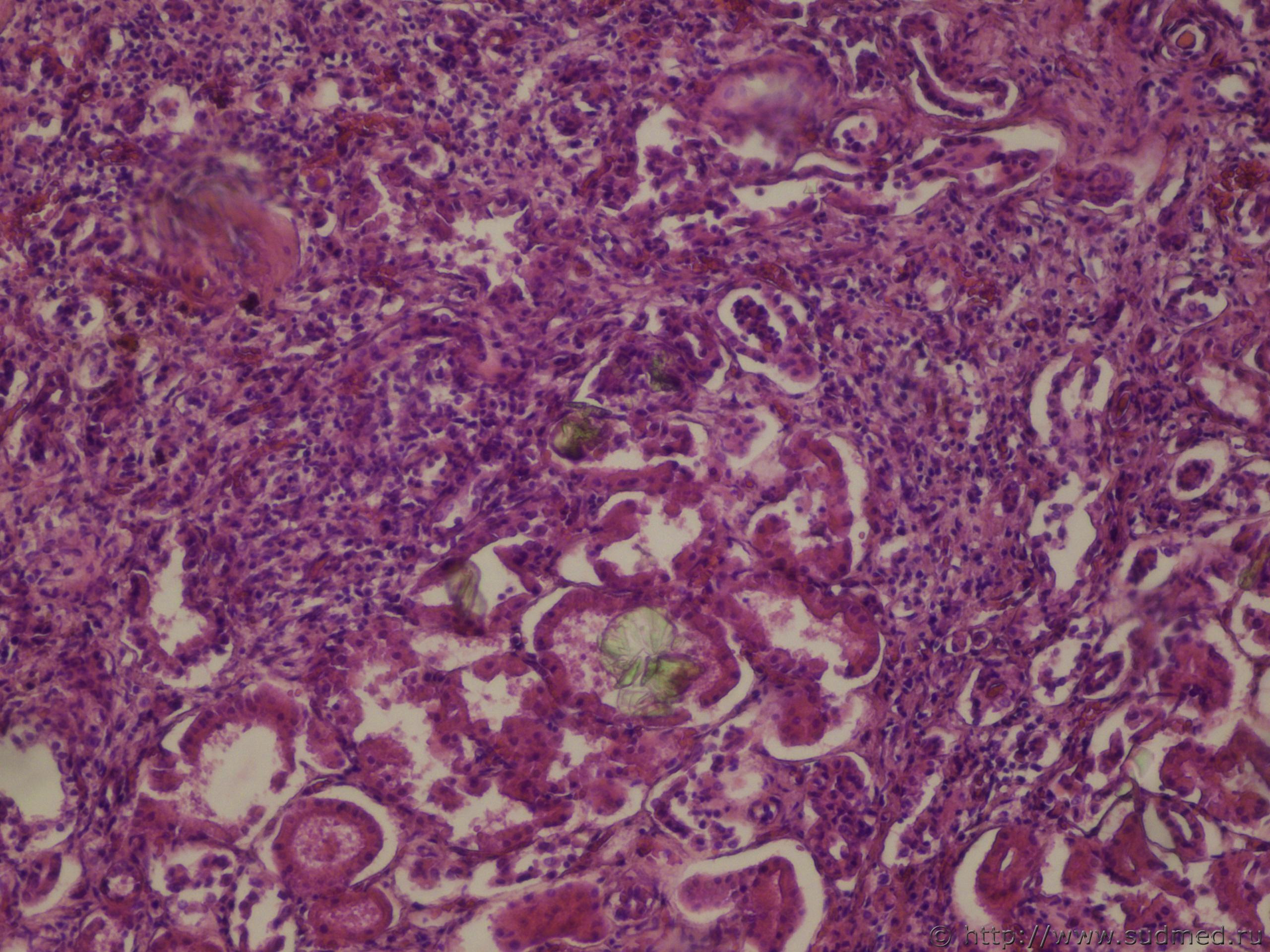
атеросклероз (кальциноз) сосудов почки. нефросклероз


Эскизы прикрепленных изображений
Судебная медицина - Прикрепленное изображение
Пользователь offline
К началу страницы
+Ответить с цитированием
Медик
сообщение 14.08.2012 - 10:47
Сообщение #437


Учитель
Group Icon
Группа: Модераторы
Регистрация: 16.05.2010
Пользователь №: 21 553


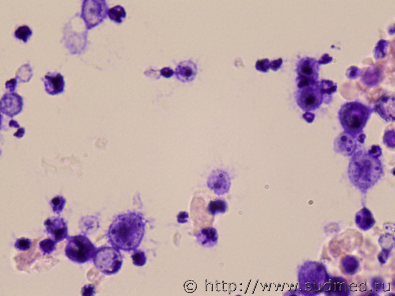
Селезёнка.Хронический лейкоз.


Эскизы прикрепленных изображений
Судебная медицина - Прикрепленное изображение
Пользователь offline
К началу страницы
+Ответить с цитированием
griga
сообщение 28.09.2012 - 08:47
Сообщение #438


Авторитетный участник

Группа: СМЭ
Регистрация: 10.02.2006
Пользователь №: 1 250


Повреждения (кровоподтеки) после исследования идиомаскулярной опухоли линейкой со свинцовым наконечником. Труп обнаружен на улице, на месте удара бала четкая вмятина.Судебная медицина - Прикрепленное изображение Повреждение на левой руке.Судебная медицина - Прикрепленное изображениеПовреждение на правой руке.Судебная медицина - Прикрепленное изображениеКровоизлияние в подкожно-жировую клетчатку в проекции повреждения
Пользователь offline
К началу страницы
+Ответить с цитированием
Hohol
сообщение 28.09.2012 - 14:36
Сообщение #439


Авторитетный участник

Группа: СМЭ
Регистрация: 12.10.2008
Из: Дальний Восток
Пользователь №: 10 209


отличное наблюдение. в унисон и подтверждение экспериментов Исакова с соавторами

Судебная медицина - Прикрепленный файл  __________________________________________._________._.___________2009.pdf ( 436.03 килобайт ) Кол-во скачиваний:  2126


Сообщение отредактировал Hohol - 28.09.2012 - 14:39
Пользователь offline
К началу страницы
+Ответить с цитированием
sudmed2007
сообщение 4.10.2012 - 10:49
Сообщение #440


Опытный участник

Группа: СМЭ
Регистрация: 13.02.2008
Из: Карелия
Пользователь №: 7 412


Грибковый сепсис (криптококкоз)
Фото 1. Почка
Фото 2,3. Головной мозг



Фото 4,5,6. Головной мозг (иммерсия)
Окраска по Боголепову

Сообщение отредактировал sudmed2007 - 4.10.2012 - 10:48


Эскизы прикрепленных изображений
Судебная медицина - Прикрепленное изображение Судебная медицина - Прикрепленное изображение Судебная медицина - Прикрепленное изображение Судебная медицина - Прикрепленное изображение Судебная медицина - Прикрепленное изображение Судебная медицина - Прикрепленное изображение
Пользователь offline
К началу страницы
+Ответить с цитированием
sudmed2007
сообщение 4.10.2012 - 19:44
Сообщение #441


Опытный участник

Группа: СМЭ
Регистрация: 13.02.2008
Из: Карелия
Пользователь №: 7 412


К вопросу об отравлении этиленгликолем







Почка, головной мозг


Эскизы прикрепленных изображений
Судебная медицина - Прикрепленное изображение Судебная медицина - Прикрепленное изображение Судебная медицина - Прикрепленное изображение Судебная медицина - Прикрепленное изображение
Пользователь offline
К началу страницы
+Ответить с цитированием
Роман
сообщение 10.10.2012 - 12:41
Сообщение #442


Читатель

Группа: СМЭ
Регистрация: 16.07.2007
Пользователь №: 5 374


Мужчина вначале собственноручно перерезал себе горло, затем вырвал хрящи гортани, кинул под ноги, и напоследок забил ладонью в себя нож через шею. Если бы это был случай неочевидности, то 100% расценилось бы как убийство с особой жестокостью. Данный суицид произошел днем на рынке, на глазах у десятков очевидцев.



(почему-то провел аналогию со сценкой "Рафик" из Comedy club).


Эскизы прикрепленных изображений
Судебная медицина - Прикрепленное изображение Судебная медицина - Прикрепленное изображение Судебная медицина - Прикрепленное изображение Судебная медицина - Прикрепленное изображение
Пользователь offline
К началу страницы
+Ответить с цитированием
Роман
сообщение 10.10.2012 - 13:13
Сообщение #443


Читатель

Группа: СМЭ
Регистрация: 16.07.2007
Пользователь №: 5 374


Обнаружили на обочине дороги. Авто не найдено. На ум приходит только переезд фурой или смятие в крупном рабочем механизме.



Эскизы прикрепленных изображений
Судебная медицина - Прикрепленное изображение Судебная медицина - Прикрепленное изображение
Пользователь offline
К началу страницы
+Ответить с цитированием
Роман
сообщение 11.10.2012 - 12:34
Сообщение #444


Читатель

Группа: СМЭ
Регистрация: 16.07.2007
Пользователь №: 5 374


Поддерживая тему про фото выложу еще несколько случаев:
- оссифицированное кровоизлияние в плевральной полости и развал аорты со слоистыми плотными свертками (в одном трупе).



суицид на фоне невроза в виде подкожного введения уксусной кислоты


долька селезенки


проникающее колото-резанное ранение затылочной области; в кости тонкая щель, практически без выкрашивания


Эскизы прикрепленных изображений
Судебная медицина - Прикрепленное изображение Судебная медицина - Прикрепленное изображение Судебная медицина - Прикрепленное изображение Судебная медицина - Прикрепленное изображение Судебная медицина - Прикрепленное изображение Судебная медицина - Прикрепленное изображение Судебная медицина - Прикрепленное изображение Судебная медицина - Прикрепленное изображение
Пользователь offline
К началу страницы
+Ответить с цитированием
Norman
сообщение 12.10.2012 - 05:01
Сообщение #445


Авторитетный участник

Группа: СМЭ
Регистрация: 2.01.2010
Пользователь №: 19 127


1. Менингеома.
2. Вторичные некрозы в коре, в проекции трепанационного "окна"


Сообщение отредактировал Norman - 12.10.2012 - 05:20


Эскизы прикрепленных изображений
Судебная медицина - Прикрепленное изображение Судебная медицина - Прикрепленное изображение
Пользователь offline
К началу страницы
+Ответить с цитированием
Norman
сообщение 12.10.2012 - 05:17
Сообщение #446


Авторитетный участник

Группа: СМЭ
Регистрация: 2.01.2010
Пользователь №: 19 127


1-3 - Эпидуральная гематома, противоударные ушибы, линейный перелом теменной кости + трепанационное "окно"; один случай, падение с незначительной высоты.

Сообщение отредактировал Norman - 12.10.2012 - 05:21


Эскизы прикрепленных изображений
Судебная медицина - Прикрепленное изображение Судебная медицина - Прикрепленное изображение Судебная медицина - Прикрепленное изображение
Пользователь offline
К началу страницы
+Ответить с цитированием
Morozik66
сообщение 12.10.2012 - 11:50
Сообщение #447


Новичок

Группа: Участники
Регистрация: 12.01.2012
Пользователь №: 30 874


Саркома Капоши, мужчина 1975 г.р.

СУДЕБНО- МЕДИЦИНСКИЙ ДИАГНОЗ
ВИЧ-инфекция в стадии СПИД: прогрессирующий туберкулез легких и селезенки, саркома Капоши множественной локализации (легкие, желудок, тонкая и толстая кишка, надпочечники, кожа).
Кахексия. Отек головного мозга. Отек легких.


Эскизы прикрепленных изображений
Судебная медицина - Прикрепленное изображение Судебная медицина - Прикрепленное изображение Судебная медицина - Прикрепленное изображение Судебная медицина - Прикрепленное изображение Судебная медицина - Прикрепленное изображение
Пользователь offline
К началу страницы
+Ответить с цитированием
Роман
сообщение 15.10.2012 - 13:32
Сообщение #448


Читатель

Группа: СМЭ
Регистрация: 16.07.2007
Пользователь №: 5 374


Цитата: так щель куда остро-щелевидно-рыло ведет и где претендует на завершение?

Ув. sbz прав, действительно я забыл выложить фото с повреждением затылочной кости, а выложил повреждение ската. По описанию: повреждены затылочная кость, мозговые оболочки, левое полушарие мозжечка, мост, далее раневой канал пересекает область ската затылочной кости, на расстоянии 2,5 см ниже спинки седла и проникает в полость тела клиновидной кости, где и оканчивается.


Эскизы прикрепленных изображений
Судебная медицина - Прикрепленное изображение
Пользователь offline
К началу страницы
+Ответить с цитированием
Роман
сообщение 25.10.2012 - 09:38
Сообщение #449


Читатель

Группа: СМЭ
Регистрация: 16.07.2007
Пользователь №: 5 374


абсцесс аорты


Эскизы прикрепленных изображений
Судебная медицина - Прикрепленное изображение
Пользователь offline
К началу страницы
+Ответить с цитированием
kkb
сообщение 26.10.2012 - 11:15
Сообщение #450


Читатель

Группа: СМЭ
Регистрация: 2.05.2006
Пользователь №: 1 713


Сравнительные фото входного огнестрельного повреждения в видимом свете, ИК-лучах и на контактограмме.


Эскизы прикрепленных изображений
Судебная медицина - Прикрепленное изображение
Пользователь offline
К началу страницы
+Ответить с цитированием

75 страниц V « < 28 29 30 31 32 > » 



- Обратная связь Сейчас: 13.10.2025 - 13:10