Здравствуйте, гость ( Вход | Регистрация )

Форум судебных медиков России
>   Правила раздела >

Здесь обсуждаются вопросы судебно-медицинской танатологии и судебно-медицинской гистологии.

 
75 страниц V « < 32 33 34 35 36 > »   
>

Просто иллюстрации, фотографии интересных случаев

Рейтинг  5
>
Chivas
сообщение 19.06.2013 - 10:48
Сообщение #496


Мастер I
Group Icon
Группа: Модераторы
Регистрация: 17.02.2007
Из: Кубань
Пользователь №: 4 435


Цитата(ЮВ @ 19.06.2013 - 09:33)
В этой теме обсуждение вроде не допустимо, поэтому надо переместится в другую ветку. С ув.

Правильно заметили, уж будьте добры smile.gif
Пользователь offline
К началу страницы
+Ответить с цитированием
expertms
сообщение 21.06.2013 - 14:26
Сообщение #497


Продвинутый участник

Группа: СМЭ
Регистрация: 24.05.2011
Пользователь №: 27 243


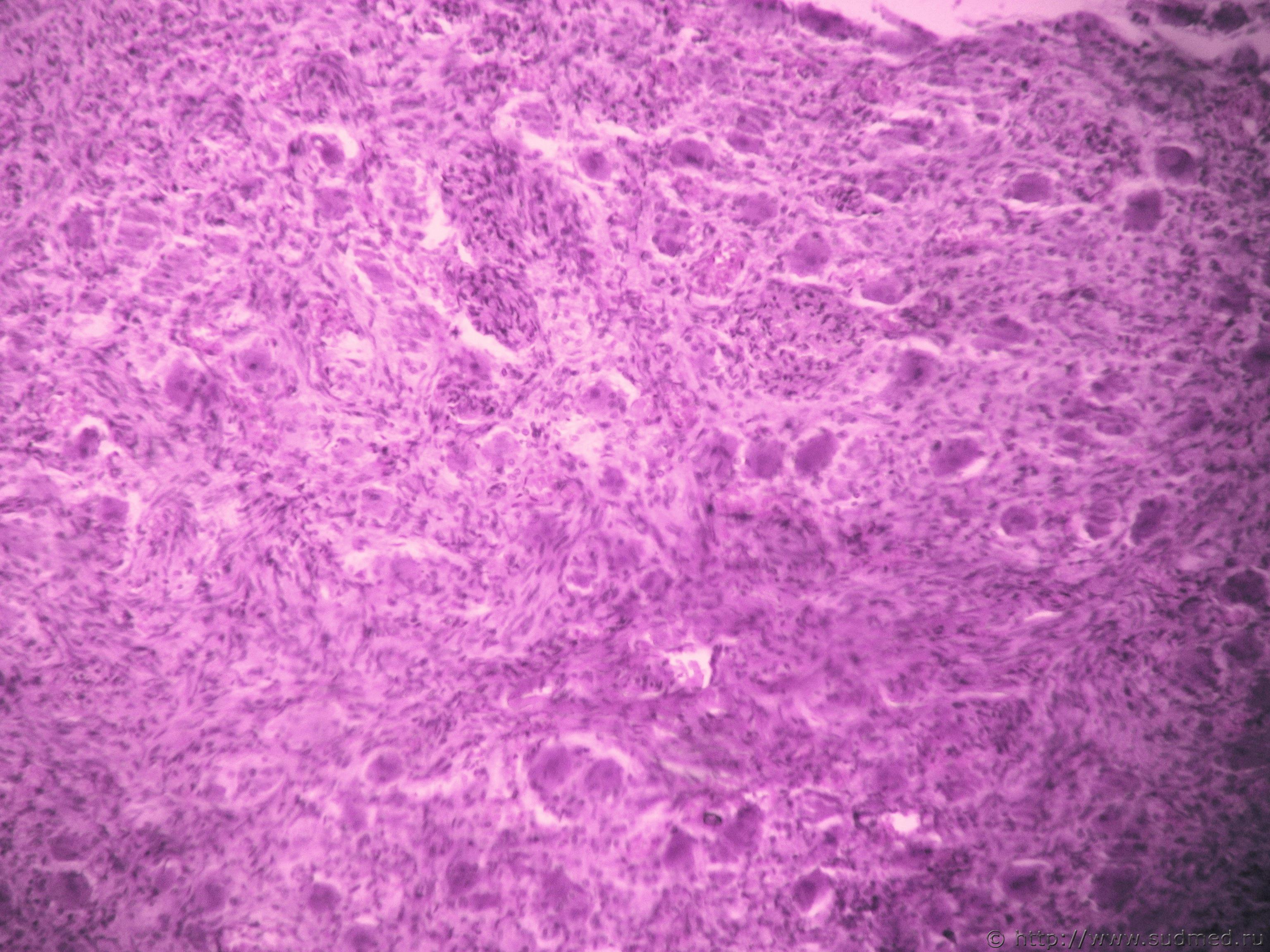
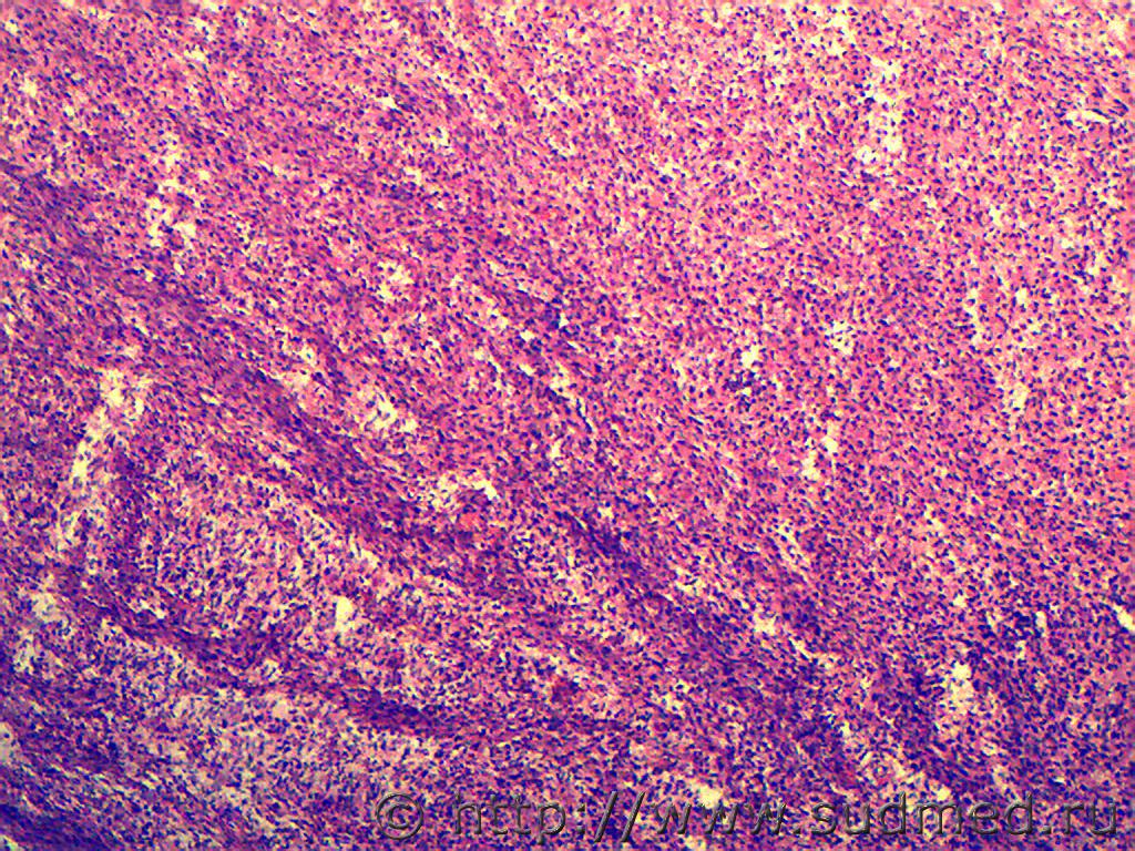
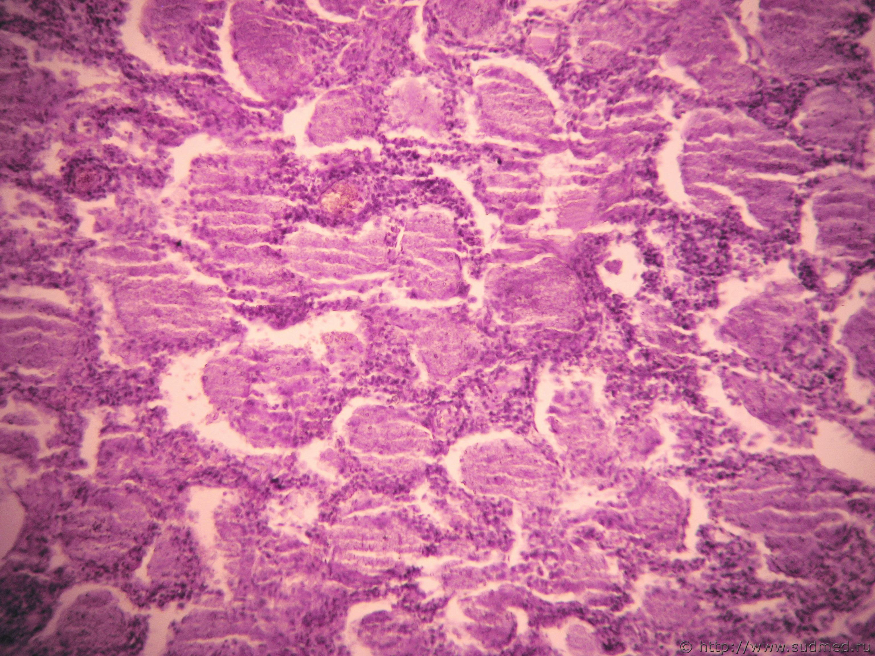
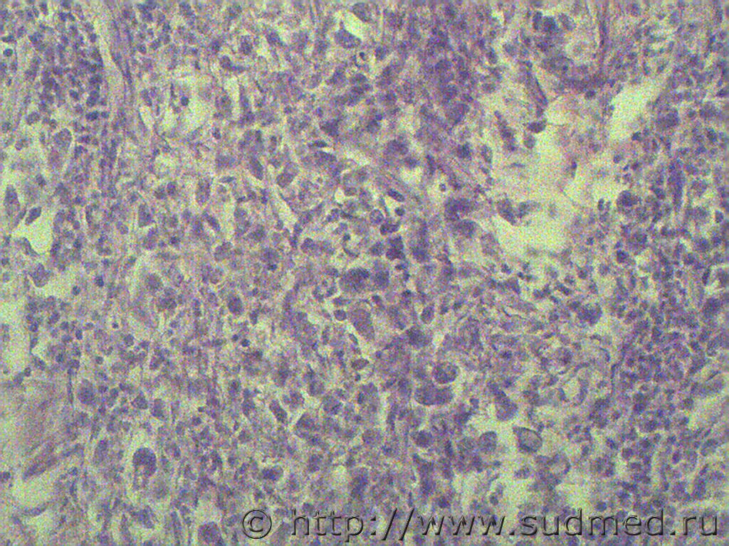
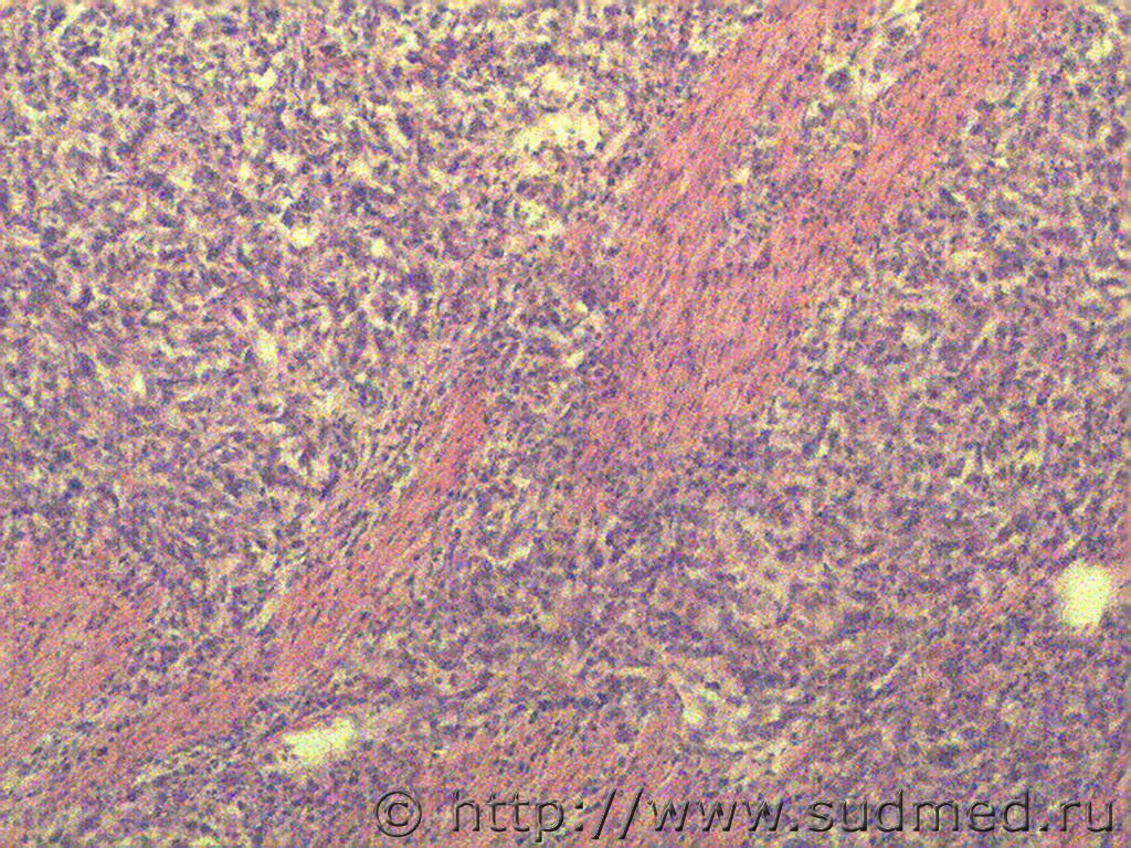
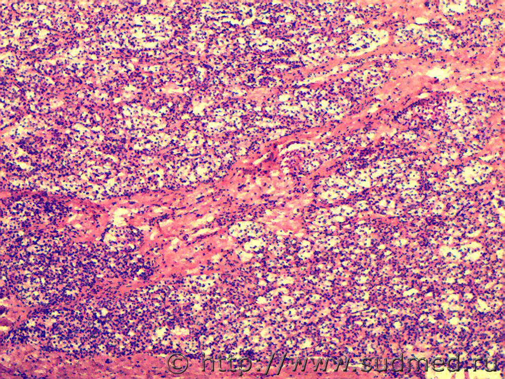
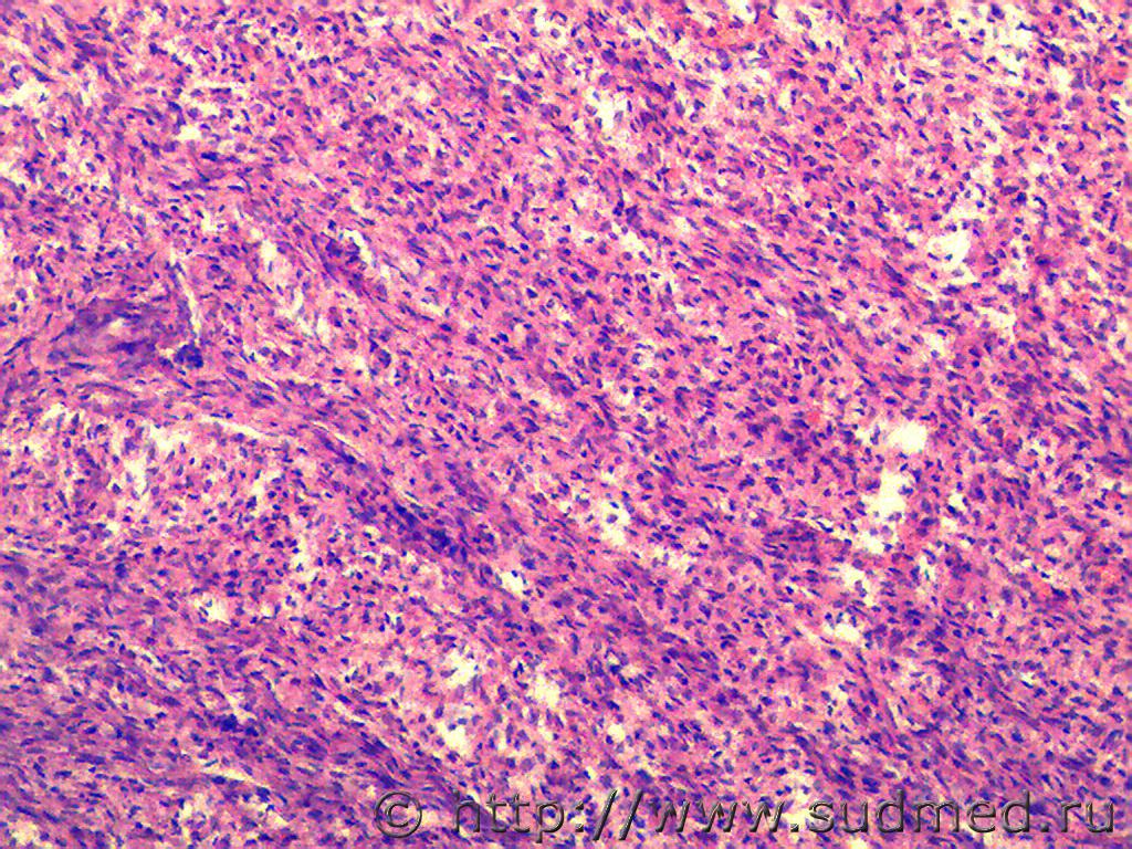
Первые две: ганглионеврома надпочечника (гистологич.находка, случай ДТП)
Вторые две: пневмоцистная пневмония, ГЭ, по Grocott не красим


Эскизы прикрепленных изображений
Судебная медицина - Прикрепленное изображение Судебная медицина - Прикрепленное изображение Судебная медицина - Прикрепленное изображение Судебная медицина - Прикрепленное изображение
Пользователь offline
К началу страницы
+Ответить с цитированием
ЗЕЛ
сообщение 21.06.2013 - 16:48
Сообщение #498


Знаток форума
Group Icon
Группа: СМЭ
Регистрация: 6.12.2006
Пользователь №: 3 753


Самоубийство ножом.



Эскизы прикрепленных изображений
Судебная медицина - Прикрепленное изображение
Пользователь offline
К началу страницы
+Ответить с цитированием
ЗЕЛ
сообщение 21.06.2013 - 16:58
Сообщение #499


Знаток форума
Group Icon
Группа: СМЭ
Регистрация: 6.12.2006
Пользователь №: 3 753


Еще одно самоубийство.



Эскизы прикрепленных изображений
Судебная медицина - Прикрепленное изображение
Пользователь offline
К началу страницы
+Ответить с цитированием
ЗЕЛ
сообщение 21.06.2013 - 17:18
Сообщение #500


Знаток форума
Group Icon
Группа: СМЭ
Регистрация: 6.12.2006
Пользователь №: 3 753


Жулик подкараулил хозяина у гаража и "попросил" отдать ключи от новой очень дорогой иномарки.
Мужчина не согласился и безоружным полез на нож.
Итог.





Эскизы прикрепленных изображений
Судебная медицина - Прикрепленное изображение Судебная медицина - Прикрепленное изображение Судебная медицина - Прикрепленное изображение
Пользователь offline
К началу страницы
+Ответить с цитированием
=Doctor=
сообщение 3.09.2013 - 16:17
Сообщение #501


Претендент

Группа: СМЭ
Регистрация: 11.02.2010
Пользователь №: 19 952


Случай гидроцефалии.

Сообщение отредактировал Медик - 8.09.2013 - 11:02


Эскизы прикрепленных изображений
Судебная медицина - Прикрепленное изображение Судебная медицина - Прикрепленное изображение Судебная медицина - Прикрепленное изображение Судебная медицина - Прикрепленное изображение Судебная медицина - Прикрепленное изображение
Пользователь offline
К началу страницы
+Ответить с цитированием
ЗЕЛ
сообщение 14.09.2013 - 13:10
Сообщение #502


Знаток форума
Group Icon
Группа: СМЭ
Регистрация: 6.12.2006
Пользователь №: 3 753


Не очень типичная электрометка на предплечье.



Эскизы прикрепленных изображений
Судебная медицина - Прикрепленное изображение
Пользователь offline
К началу страницы
+Ответить с цитированием
Norman
сообщение 30.10.2013 - 13:03
Сообщение #503


Авторитетный участник

Группа: СМЭ
Регистрация: 2.01.2010
Пользователь №: 19 127


первичные стволовые кровоизлиния, ДТП, салонная травма (извиняюсь за качество фото, не сам фотографировал, так как был в перчатках)


Эскизы прикрепленных изображений
Судебная медицина - Прикрепленное изображение Судебная медицина - Прикрепленное изображение
Пользователь offline
К началу страницы
+Ответить с цитированием
Norman
сообщение 30.10.2013 - 13:19
Сообщение #504


Авторитетный участник

Группа: СМЭ
Регистрация: 2.01.2010
Пользователь №: 19 127


падение с движущегося поезда


Эскизы прикрепленных изображений
Судебная медицина - Прикрепленное изображение Судебная медицина - Прикрепленное изображение Судебная медицина - Прикрепленное изображение Судебная медицина - Прикрепленное изображение
Пользователь offline
К началу страницы
+Ответить с цитированием
Медик
сообщение 6.11.2013 - 12:50
Сообщение #505


Учитель
Group Icon
Группа: Модераторы
Регистрация: 16.05.2010
Пользователь №: 21 553


Светлоклеточный тип почечноклеточного рака.


Эскизы прикрепленных изображений
Судебная медицина - Прикрепленное изображение Судебная медицина - Прикрепленное изображение
Пользователь offline
К началу страницы
+Ответить с цитированием
Медик
сообщение 6.11.2013 - 13:07
Сообщение #506


Учитель
Group Icon
Группа: Модераторы
Регистрация: 16.05.2010
Пользователь №: 21 553


Язва-рак желудка.


Эскизы прикрепленных изображений
Судебная медицина - Прикрепленное изображение Судебная медицина - Прикрепленное изображение Судебная медицина - Прикрепленное изображение Судебная медицина - Прикрепленное изображение Судебная медицина - Прикрепленное изображение Судебная медицина - Прикрепленное изображение Судебная медицина - Прикрепленное изображение
Пользователь offline
К началу страницы
+Ответить с цитированием
Медик
сообщение 6.11.2013 - 13:26
Сообщение #507


Учитель
Group Icon
Группа: Модераторы
Регистрация: 16.05.2010
Пользователь №: 21 553


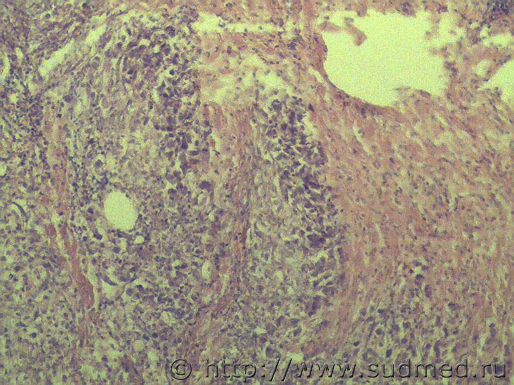
Текома яичника.


Эскизы прикрепленных изображений
Судебная медицина - Прикрепленное изображение Судебная медицина - Прикрепленное изображение Судебная медицина - Прикрепленное изображение
Пользователь offline
К началу страницы
+Ответить с цитированием
fbc_v
сообщение 4.01.2014 - 19:55
Сообщение #508


Знаток форума
Group Icon
Группа: СМЭ
Регистрация: 18.04.2012
Пользователь №: 32 515


Действие низкой температуры - в боковых желудочках куски льда


Эскизы прикрепленных изображений
Судебная медицина - Прикрепленное изображение Судебная медицина - Прикрепленное изображение
Пользователь offline
К началу страницы
+Ответить с цитированием
Dr_Bob
сообщение 8.01.2014 - 04:39
Сообщение #509


Продвинутый участник

Группа: СМЭ
Регистрация: 6.07.2006
Из: Slovak Republic
Пользователь №: 2 281


Нетипичный случай удавления петлей - самоубийство. В качестве удавки использовалась нейлоновая стяжка (хомут). Такого типа, как тут. Используется в электромонтажных, упаковочных работах. Сильно затянешь - и уже никак не ослабишь. Фотографии с петлей и без петли на шее. Виден мелкозубчатый рельеф дна странгуляционной борозды.
Судебная медицина - Прикрепленное изображениеСудебная медицина - Прикрепленное изображение
Пользователь offline
К началу страницы
+Ответить с цитированием
fbc_v
сообщение 9.01.2014 - 17:35
Сообщение #510


Знаток форума
Group Icon
Группа: СМЭ
Регистрация: 18.04.2012
Пользователь №: 32 515


повреждения слизистой полости рта при удушении мягким предметом.


Эскизы прикрепленных изображений
Судебная медицина - Прикрепленное изображение Судебная медицина - Прикрепленное изображение
Пользователь offline
К началу страницы
+Ответить с цитированием

75 страниц V « < 32 33 34 35 36 > » 



- Обратная связь Сейчас: 13.10.2025 - 18:08