Здравствуйте, гость ( Вход | Регистрация )

Форум судебных медиков России
>   Правила раздела >

Здесь обсуждаются вопросы судебно-медицинской танатологии и судебно-медицинской гистологии.

 
75 страниц V « < 33 34 35 36 37 > »   
>

Просто иллюстрации, фотографии интересных случаев

Рейтинг  5
>
Витекс
сообщение 10.01.2014 - 19:36
Сообщение #511


Опытный участник

Группа: СМЭ
Регистрация: 27.01.2013
Из: Удмуртская Республика
Пользователь №: 35 431


Судебная медицина - Прикрепленное изображение Судебная медицина - Прикрепленное изображение Судебная медицина - Прикрепленное изображение
Гепатоцеллюлярный рак. При этом пропустили механическую желтуху (посчитав видимо за печеночную). Черточкой указан крупный конкремент, буквально всаженный в устье холедоха
Пользователь offline
К началу страницы
+Ответить с цитированием
Медик
сообщение 6.02.2014 - 09:27
Сообщение #512


Учитель
Group Icon
Группа: Модераторы
Регистрация: 16.05.2010
Пользователь №: 21 553


Наряду с гноем в просвете бронхиолы находится растительная клетчатка.


Эскизы прикрепленных изображений
Судебная медицина - Прикрепленное изображение
Пользователь offline
К началу страницы
+Ответить с цитированием
andy_bob
сообщение 19.02.2014 - 11:21
Сообщение #513


Участник форума

Группа: Участники
Регистрация: 15.11.2006
Из: Волгоград
Пользователь №: 3 504


Случайная находка при исследовании взрывной травмы. Плоский червь в просвете сосуда головного мозга


Эскизы прикрепленных изображений
Судебная медицина - Прикрепленное изображение
Пользователь offline
К началу страницы
+Ответить с цитированием
Garik_Jan
сообщение 20.02.2014 - 05:04
Сообщение #514


Претендент

Группа: СМЭ
Регистрация: 24.05.2010
Пользователь №: 21 682


Лептоменингит.

Сообщение отредактировал Медик - 1.11.2014 - 21:02


Эскизы прикрепленных изображений
Судебная медицина - Прикрепленное изображение
Пользователь offline
К началу страницы
+Ответить с цитированием
Chivas
сообщение 28.02.2014 - 08:15
Сообщение #515


Мастер I
Group Icon
Группа: Модераторы
Регистрация: 17.02.2007
Из: Кубань
Пользователь №: 4 435


Коллеги, давайте обсуждать фото в отдельной теме или в Pm.
Пользователь offline
К началу страницы
+Ответить с цитированием
Медик
сообщение 20.03.2014 - 07:54
Сообщение #516


Учитель
Group Icon
Группа: Модераторы
Регистрация: 16.05.2010
Пользователь №: 21 553


Тромбоз коронарной артерии.

Сообщение отредактировал Медик - 20.03.2014 - 07:56


Эскизы прикрепленных изображений
Судебная медицина - Прикрепленное изображение Судебная медицина - Прикрепленное изображение
Пользователь offline
К началу страницы
+Ответить с цитированием
Медик
сообщение 27.03.2014 - 19:10
Сообщение #517


Учитель
Group Icon
Группа: Модераторы
Регистрация: 16.05.2010
Пользователь №: 21 553


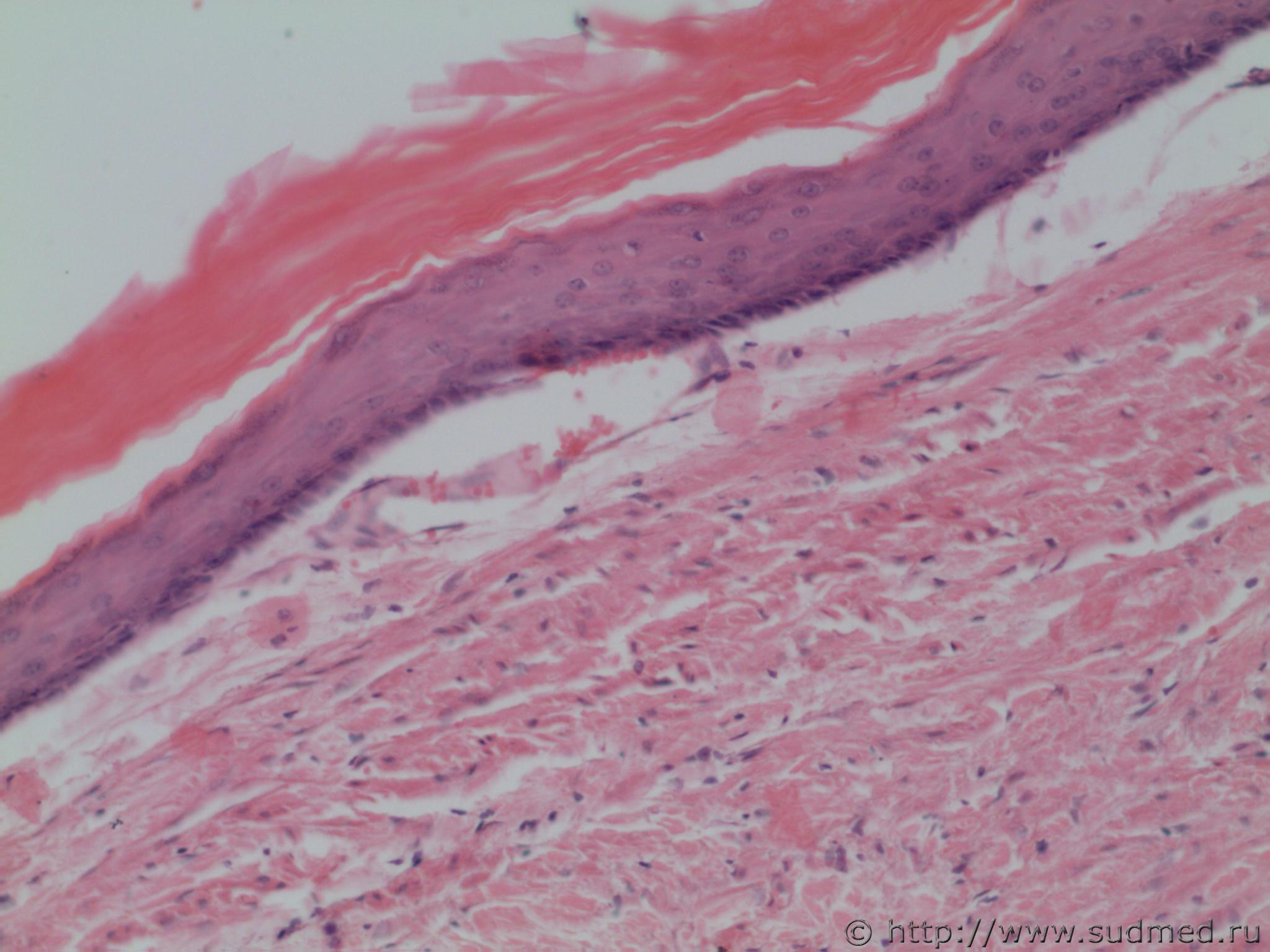
Газовая гангрена.


Эскизы прикрепленных изображений
Судебная медицина - Прикрепленное изображение Судебная медицина - Прикрепленное изображение Судебная медицина - Прикрепленное изображение Судебная медицина - Прикрепленное изображение Судебная медицина - Прикрепленное изображение
Пользователь offline
К началу страницы
+Ответить с цитированием
доктор морфолог
сообщение 16.04.2014 - 07:23
Сообщение #518


Мастер I

Группа: СМЭ
Регистрация: 5.12.2013
Пользователь №: 38 421


Уважаемые коллеги! Демонстрирую Вам микрофото при тромбозе сонной артерии с разрастанием грибковых мицелий.


Эскизы прикрепленных изображений
Судебная медицина - Прикрепленное изображение Судебная медицина - Прикрепленное изображение Судебная медицина - Прикрепленное изображение Судебная медицина - Прикрепленное изображение Судебная медицина - Прикрепленное изображение Судебная медицина - Прикрепленное изображение
Пользователь offline
К началу страницы
+Ответить с цитированием
доктор морфолог
сообщение 16.04.2014 - 07:30
Сообщение #519


Мастер I

Группа: СМЭ
Регистрация: 5.12.2013
Пользователь №: 38 421


Ув.коллеги! демонстрирую Вам микрофото демодокоза с области ресничной луковицы глаз у больных.


Эскизы прикрепленных изображений
Судебная медицина - Прикрепленное изображение Судебная медицина - Прикрепленное изображение Судебная медицина - Прикрепленное изображение Судебная медицина - Прикрепленное изображение Судебная медицина - Прикрепленное изображение
Пользователь offline
К началу страницы
+Ответить с цитированием
доктор морфолог
сообщение 16.04.2014 - 07:42
Сообщение #520


Мастер I

Группа: СМЭ
Регистрация: 5.12.2013
Пользователь №: 38 421


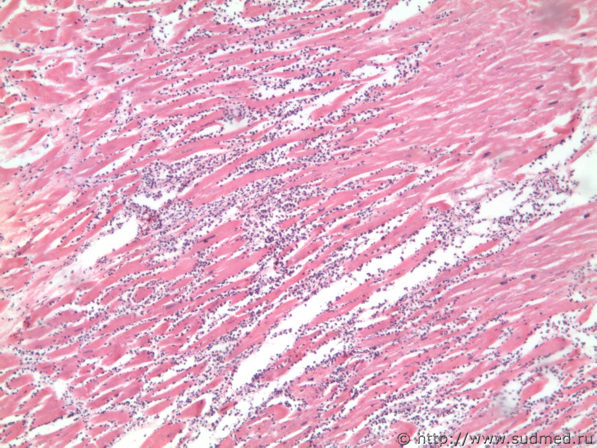
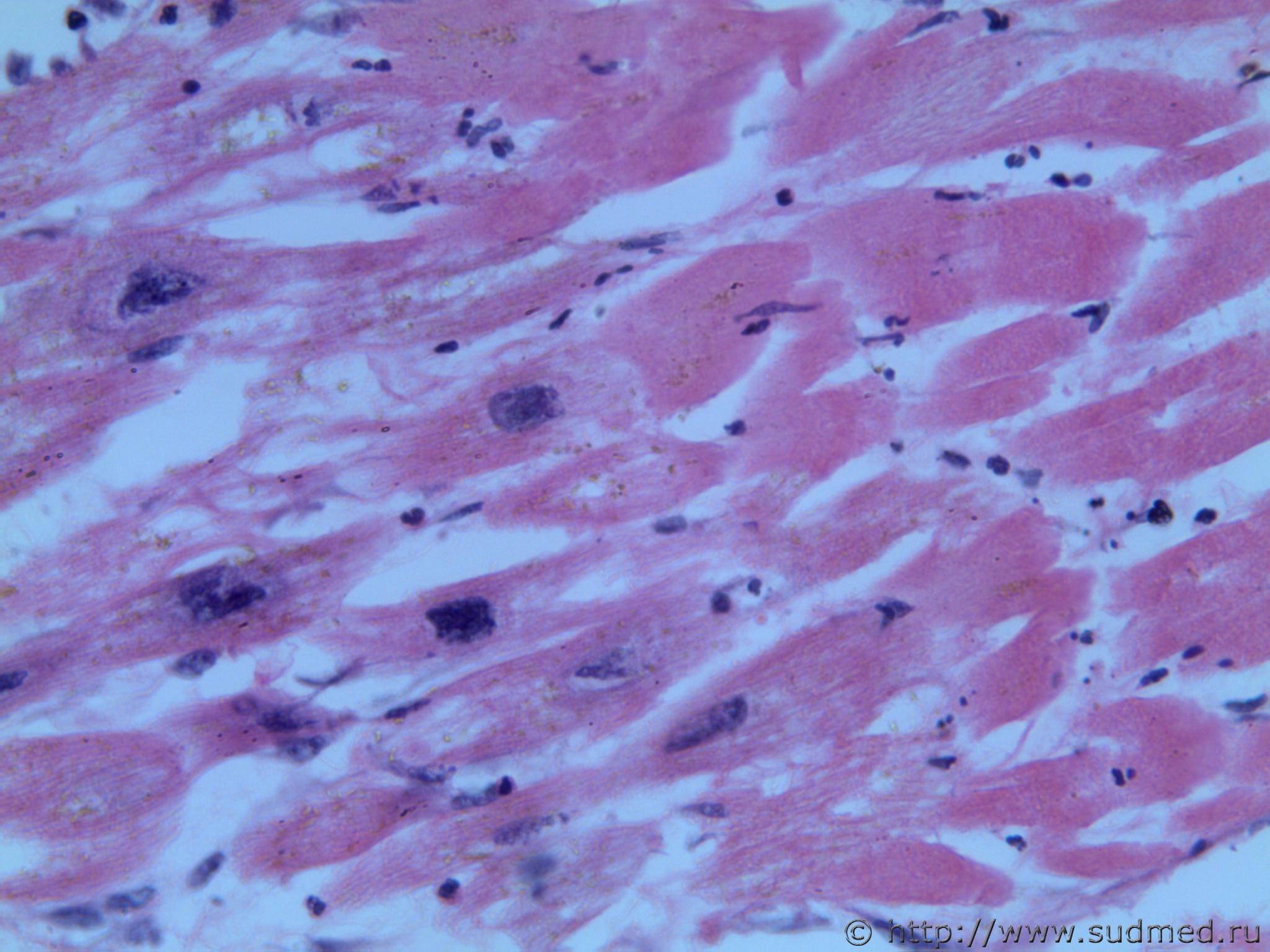
Ув.коллеги! Демонстрирую Вам микрофото инфаркта миокарда с лейкоцитарной демаркационной зоной.


Эскизы прикрепленных изображений
Судебная медицина - Прикрепленное изображение Судебная медицина - Прикрепленное изображение Судебная медицина - Прикрепленное изображение Судебная медицина - Прикрепленное изображение
Пользователь offline
К началу страницы
+Ответить с цитированием
доктор морфолог
сообщение 17.04.2014 - 11:58
Сообщение #521


Мастер I

Группа: СМЭ
Регистрация: 5.12.2013
Пользователь №: 38 421


Ув.коллеги! Опухоль Бреннера в яичнике. Извините за нечеткость микрофото.



Сообщение отредактировал Медик - 18.04.2014 - 06:42


Эскизы прикрепленных изображений
Судебная медицина - Прикрепленное изображение Судебная медицина - Прикрепленное изображение Судебная медицина - Прикрепленное изображение
Пользователь offline
К началу страницы
+Ответить с цитированием
доктор морфолог
сообщение 17.04.2014 - 12:06
Сообщение #522


Мастер I

Группа: СМЭ
Регистрация: 5.12.2013
Пользователь №: 38 421


Ув.коллеги! Гепатоцеллюлярный рак печени.


Эскизы прикрепленных изображений
Судебная медицина - Прикрепленное изображение Судебная медицина - Прикрепленное изображение Судебная медицина - Прикрепленное изображение Судебная медицина - Прикрепленное изображение Судебная медицина - Прикрепленное изображение
Пользователь offline
К началу страницы
+Ответить с цитированием
доктор морфолог
сообщение 18.04.2014 - 06:09
Сообщение #523


Мастер I

Группа: СМЭ
Регистрация: 5.12.2013
Пользователь №: 38 421


Зрелая тератома яичника (дермоидная киста).

Сообщение отредактировал Chivas - 18.04.2014 - 06:56


Эскизы прикрепленных изображений
Судебная медицина - Прикрепленное изображение Судебная медицина - Прикрепленное изображение
Пользователь offline
К началу страницы
+Ответить с цитированием
доктор морфолог
сообщение 18.04.2014 - 06:16
Сообщение #524


Мастер I

Группа: СМЭ
Регистрация: 5.12.2013
Пользователь №: 38 421


Жировая эмболия (костный мозг) после ДТП. Видны даже при спиртовой проводке и на гематоксилин-эозиновой окраске.

Сообщение отредактировал Chivas - 18.04.2014 - 06:57


Эскизы прикрепленных изображений
Судебная медицина - Прикрепленное изображение Судебная медицина - Прикрепленное изображение
Пользователь offline
К началу страницы
+Ответить с цитированием
доктор морфолог
сообщение 18.04.2014 - 11:00
Сообщение #525


Мастер I

Группа: СМЭ
Регистрация: 5.12.2013
Пользователь №: 38 421


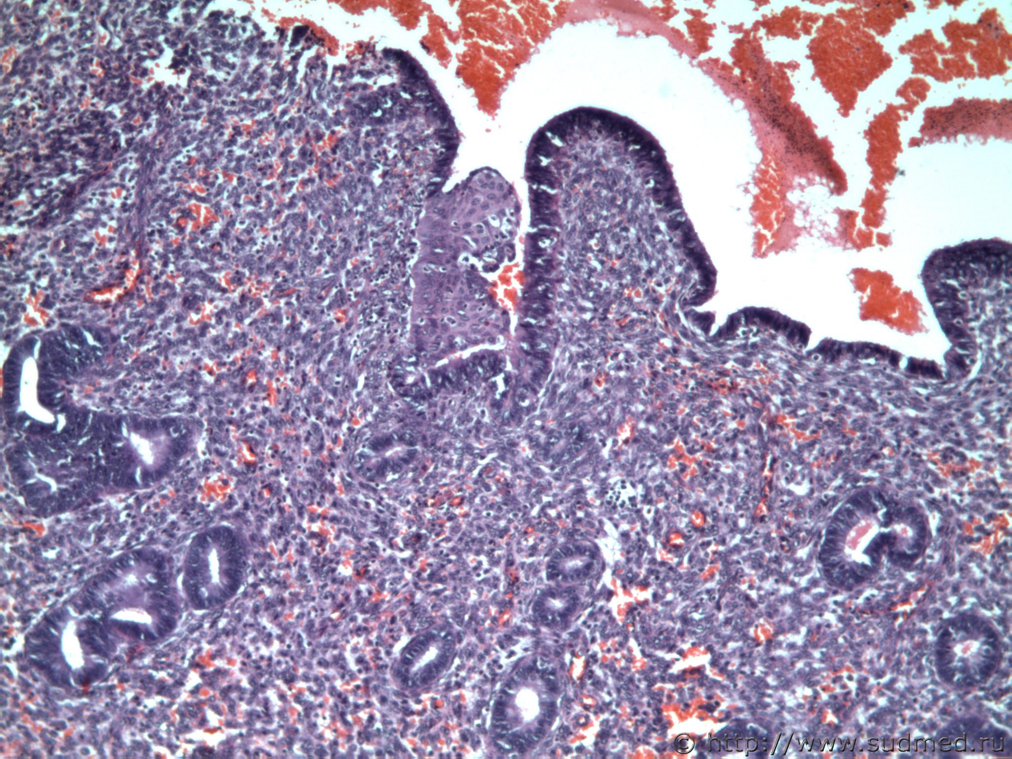
Трубная беременность (внематочная)

Плоскоклеточная метаплазия эндометрии

Сообщение отредактировал Chivas - 18.04.2014 - 12:05


Эскизы прикрепленных изображений
Судебная медицина - Прикрепленное изображение Судебная медицина - Прикрепленное изображение Судебная медицина - Прикрепленное изображение
Пользователь offline
К началу страницы
+Ответить с цитированием

75 страниц V « < 33 34 35 36 37 > » 



- Обратная связь Сейчас: 13.10.2025 - 18:08