Здравствуйте, гость ( Вход | Регистрация )

Форум судебных медиков России
>   Правила раздела >

Здесь обсуждаются вопросы судебно-медицинской танатологии и судебно-медицинской гистологии.

 
75 страниц V « < 34 35 36 37 38 > »   
>

Просто иллюстрации, фотографии интересных случаев

Рейтинг  5
>
доктор морфолог
сообщение 18.04.2014 - 11:17
Сообщение #526


Мастер I

Группа: СМЭ
Регистрация: 5.12.2013
Пользователь №: 38 421


Пятна Вишневского в слизистой оболочке желудка при переохлаждении организма


Эскизы прикрепленных изображений
Судебная медицина - Прикрепленное изображение
Пользователь offline
К началу страницы
+Ответить с цитированием
доктор морфолог
сообщение 18.04.2014 - 11:23
Сообщение #527


Мастер I

Группа: СМЭ
Регистрация: 5.12.2013
Пользователь №: 38 421


Аспирация желудочным содержимым (рвотными массами) и острая эмфизема, венозное полнокровие легких

Сообщение отредактировал Chivas - 18.04.2014 - 12:05


Эскизы прикрепленных изображений
Судебная медицина - Прикрепленное изображение Судебная медицина - Прикрепленное изображение Судебная медицина - Прикрепленное изображение
Пользователь offline
К началу страницы
+Ответить с цитированием
доктор морфолог
сообщение 18.04.2014 - 11:36
Сообщение #528


Мастер I

Группа: СМЭ
Регистрация: 5.12.2013
Пользователь №: 38 421


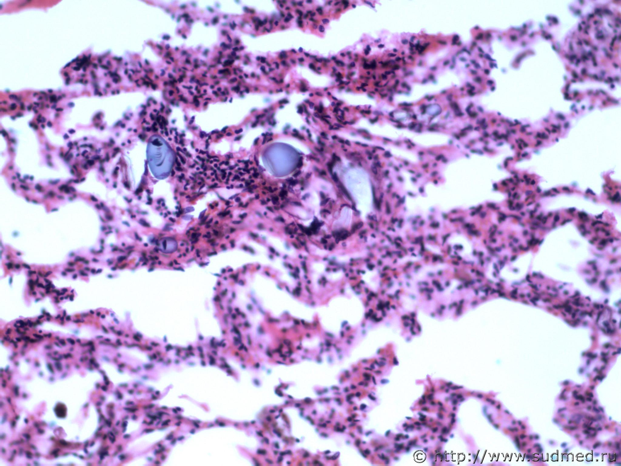
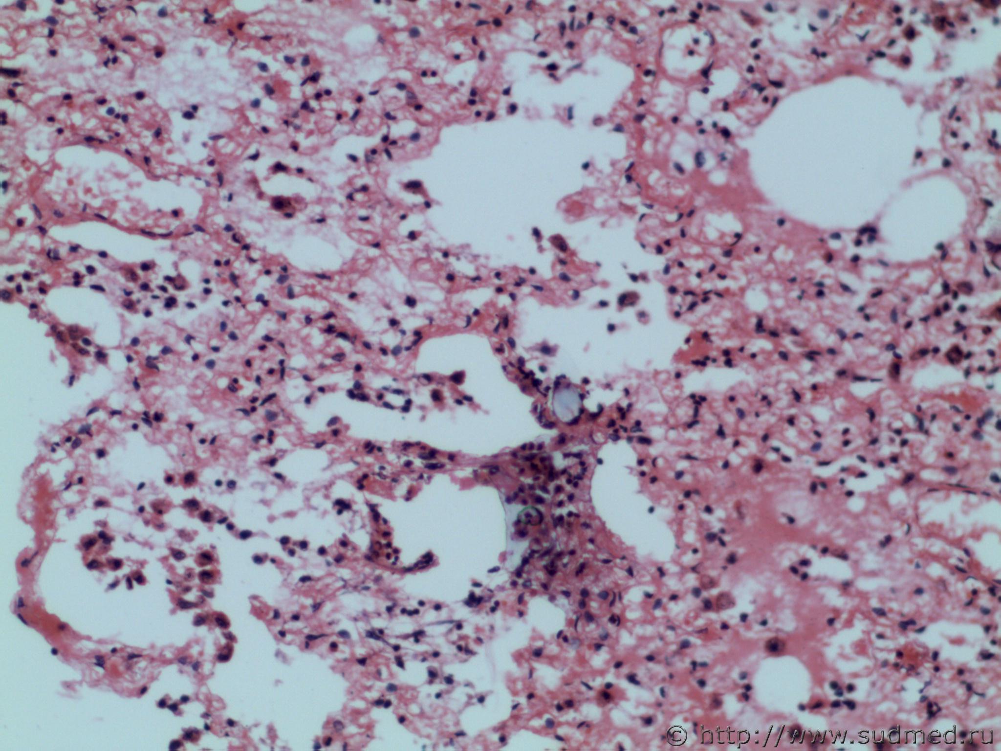
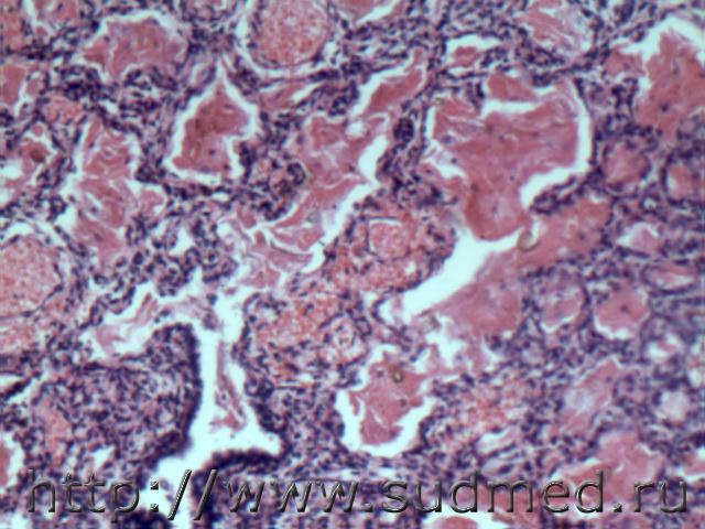
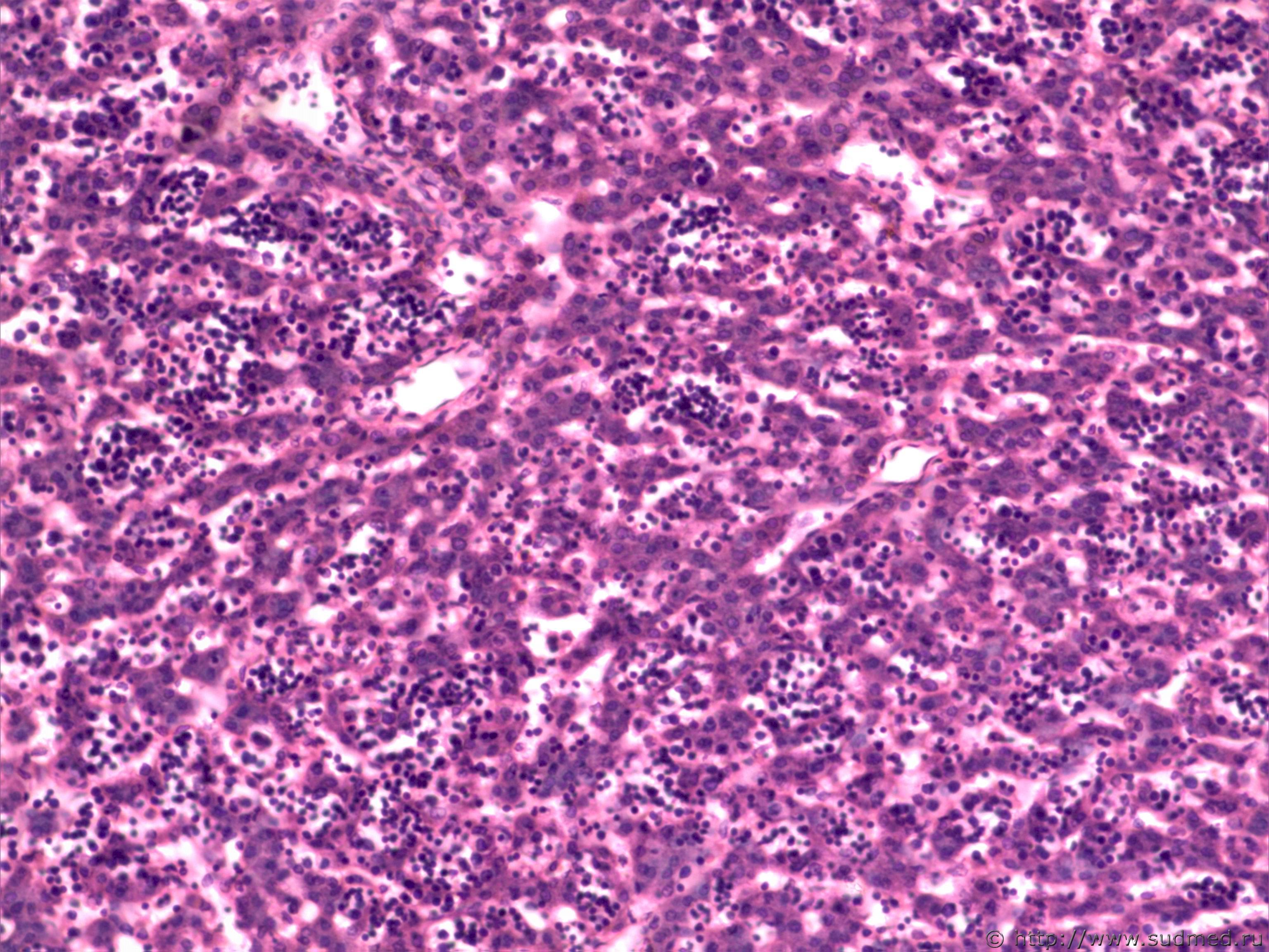
Кристаллики при передозировке наркотиками в просвете сосудов легких


Эскизы прикрепленных изображений
Судебная медицина - Прикрепленное изображение Судебная медицина - Прикрепленное изображение Судебная медицина - Прикрепленное изображение Судебная медицина - Прикрепленное изображение
Пользователь offline
К началу страницы
+Ответить с цитированием
доктор морфолог
сообщение 18.04.2014 - 11:48
Сообщение #529


Мастер I

Группа: СМЭ
Регистрация: 5.12.2013
Пользователь №: 38 421


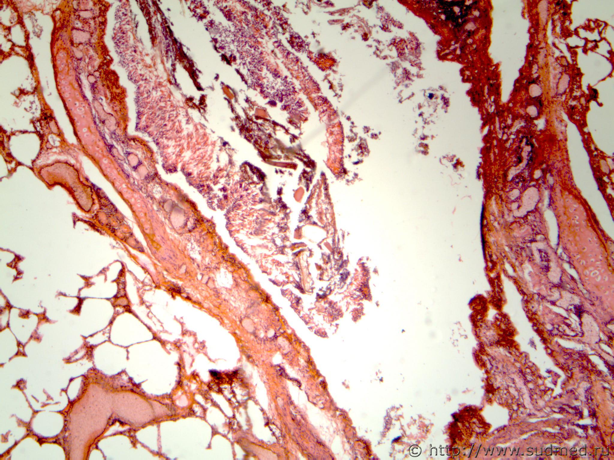
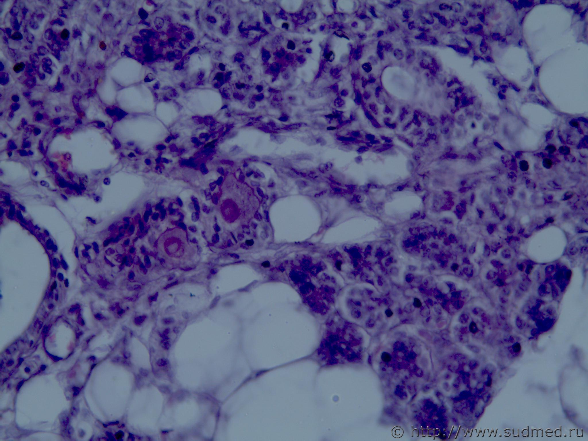
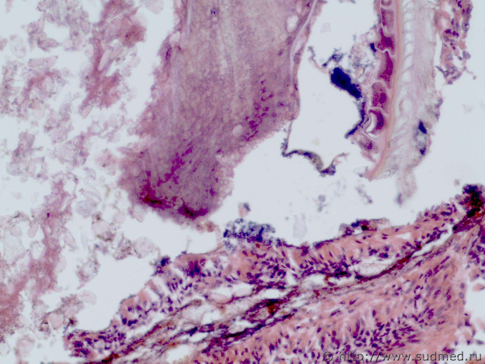
Аспирация ЭОВ (роговыми чешуйками)


Эскизы прикрепленных изображений
Судебная медицина - Прикрепленное изображение Судебная медицина - Прикрепленное изображение Судебная медицина - Прикрепленное изображение Судебная медицина - Прикрепленное изображение
Пользователь offline
К началу страницы
+Ответить с цитированием
доктор морфолог
сообщение 24.04.2014 - 08:09
Сообщение #530


Мастер I

Группа: СМЭ
Регистрация: 5.12.2013
Пользователь №: 38 421


Экстрамедуллярные очаги кроветворения в печени у недоношенных
Недышавшие легкие


Эскизы прикрепленных изображений
Судебная медицина - Прикрепленное изображение Судебная медицина - Прикрепленное изображение
Пользователь offline
К началу страницы
+Ответить с цитированием
доктор морфолог
сообщение 24.04.2014 - 08:16
Сообщение #531


Мастер I

Группа: СМЭ
Регистрация: 5.12.2013
Пользователь №: 38 421


Цитомегалы в слюнной железе(ЦМВ)у детей


Эскизы прикрепленных изображений
Судебная медицина - Прикрепленное изображение Судебная медицина - Прикрепленное изображение
Пользователь offline
К началу страницы
+Ответить с цитированием
доктор морфолог
сообщение 24.04.2014 - 10:02
Сообщение #532


Мастер I

Группа: СМЭ
Регистрация: 5.12.2013
Пользователь №: 38 421


Слизистый(муцинозный) перстневидно-клеточный рак желудка(мукоид оттесняет ядро к периферии)


Эскизы прикрепленных изображений
Судебная медицина - Прикрепленное изображение Судебная медицина - Прикрепленное изображение Судебная медицина - Прикрепленное изображение Судебная медицина - Прикрепленное изображение
Пользователь offline
К началу страницы
+Ответить с цитированием
доктор морфолог
сообщение 24.04.2014 - 10:09
Сообщение #533


Мастер I

Группа: СМЭ
Регистрация: 5.12.2013
Пользователь №: 38 421


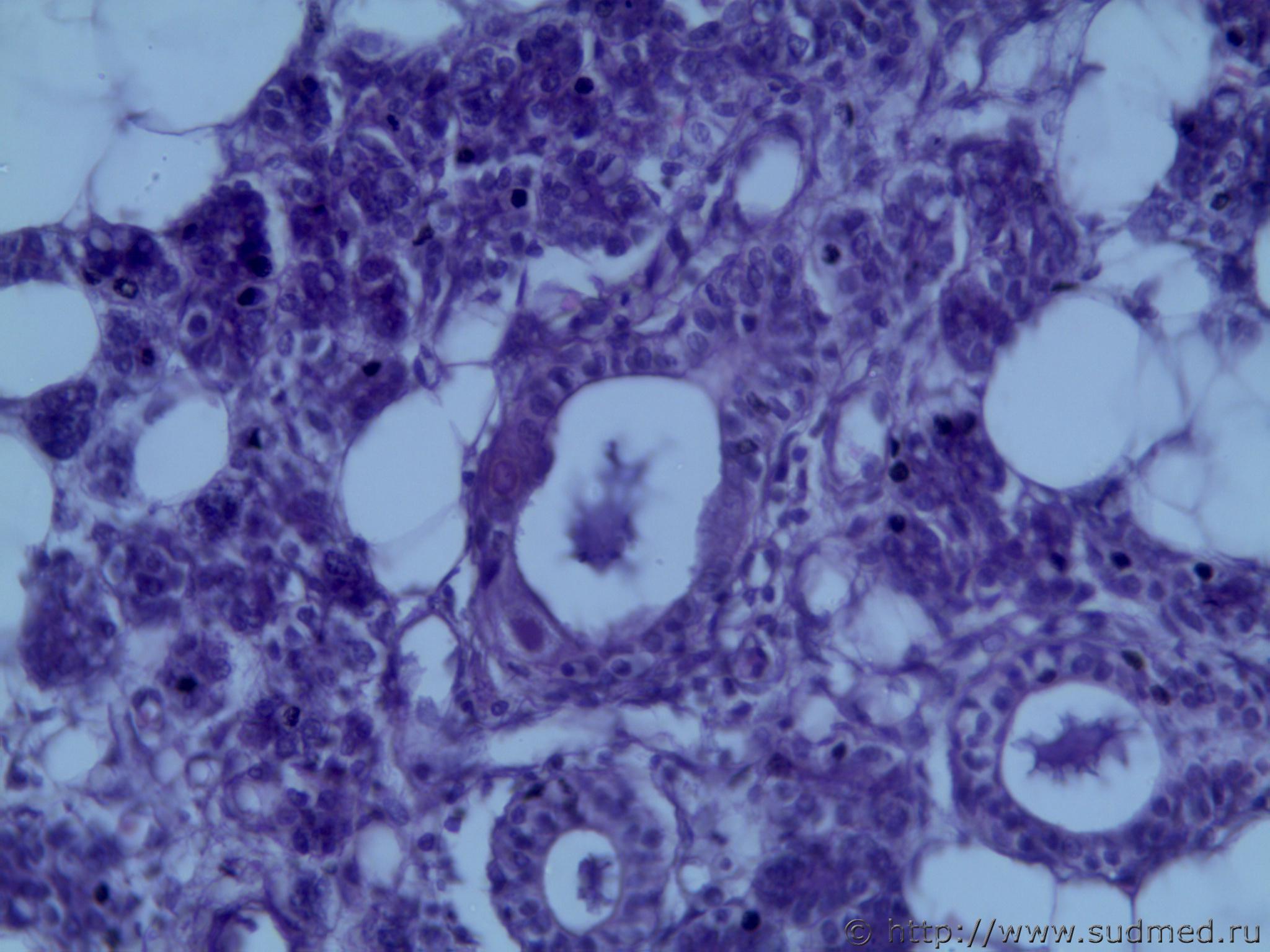
Струма Хашимото с образованием фолликулов со светлым центром

Сообщение отредактировал Медик - 1.11.2014 - 20:56


Эскизы прикрепленных изображений
Судебная медицина - Прикрепленное изображение Судебная медицина - Прикрепленное изображение Судебная медицина - Прикрепленное изображение Судебная медицина - Прикрепленное изображение
Пользователь offline
К началу страницы
+Ответить с цитированием
доктор морфолог
сообщение 24.04.2014 - 10:41
Сообщение #534


Мастер I

Группа: СМЭ
Регистрация: 5.12.2013
Пользователь №: 38 421


метастаз плоскоклеточного ороговевающего рака в миометрии( раковые жемчужины)


Эскизы прикрепленных изображений
Судебная медицина - Прикрепленное изображение Судебная медицина - Прикрепленное изображение Судебная медицина - Прикрепленное изображение Судебная медицина - Прикрепленное изображение
Пользователь offline
К началу страницы
+Ответить с цитированием
доктор морфолог
сообщение 24.04.2014 - 11:02
Сообщение #535


Мастер I

Группа: СМЭ
Регистрация: 5.12.2013
Пользователь №: 38 421


Цитомегалы в почках и слюнных железах(ЦМВИ)


Эскизы прикрепленных изображений
Судебная медицина - Прикрепленное изображение Судебная медицина - Прикрепленное изображение Судебная медицина - Прикрепленное изображение Судебная медицина - Прикрепленное изображение Судебная медицина - Прикрепленное изображение
Пользователь offline
К началу страницы
+Ответить с цитированием
доктор морфолог
сообщение 24.04.2014 - 11:23
Сообщение #536


Мастер I

Группа: СМЭ
Регистрация: 5.12.2013
Пользователь №: 38 421


Острый лейкоз,криз( инфильтраты в ткани мозга, печени, легких. сердца и почки)


Эскизы прикрепленных изображений
Судебная медицина - Прикрепленное изображение Судебная медицина - Прикрепленное изображение Судебная медицина - Прикрепленное изображение Судебная медицина - Прикрепленное изображение Судебная медицина - Прикрепленное изображение Судебная медицина - Прикрепленное изображение Судебная медицина - Прикрепленное изображение
Пользователь offline
К началу страницы
+Ответить с цитированием
доктор морфолог
сообщение 28.04.2014 - 12:11
Сообщение #537


Мастер I

Группа: СМЭ
Регистрация: 5.12.2013
Пользователь №: 38 421


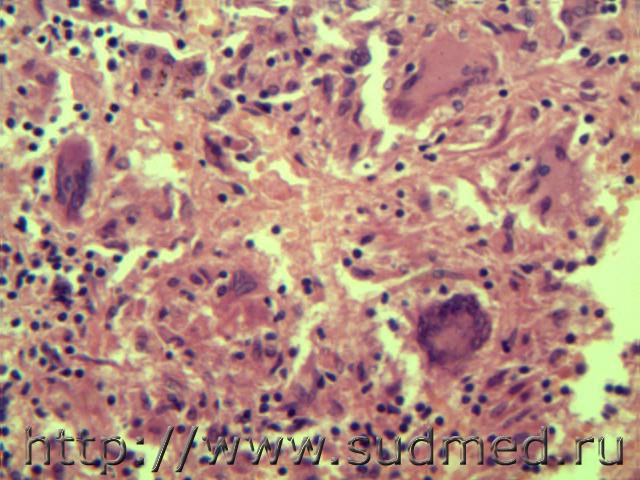
Туберкулезные бугорки в легких и печени


Эскизы прикрепленных изображений
Судебная медицина - Прикрепленное изображение Судебная медицина - Прикрепленное изображение Судебная медицина - Прикрепленное изображение Судебная медицина - Прикрепленное изображение Судебная медицина - Прикрепленное изображение
Пользователь offline
К началу страницы
+Ответить с цитированием
доктор морфолог
сообщение 29.04.2014 - 10:28
Сообщение #538


Мастер I

Группа: СМЭ
Регистрация: 5.12.2013
Пользователь №: 38 421


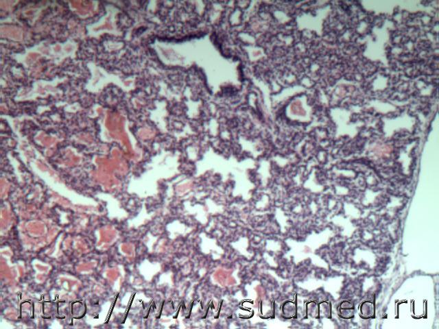
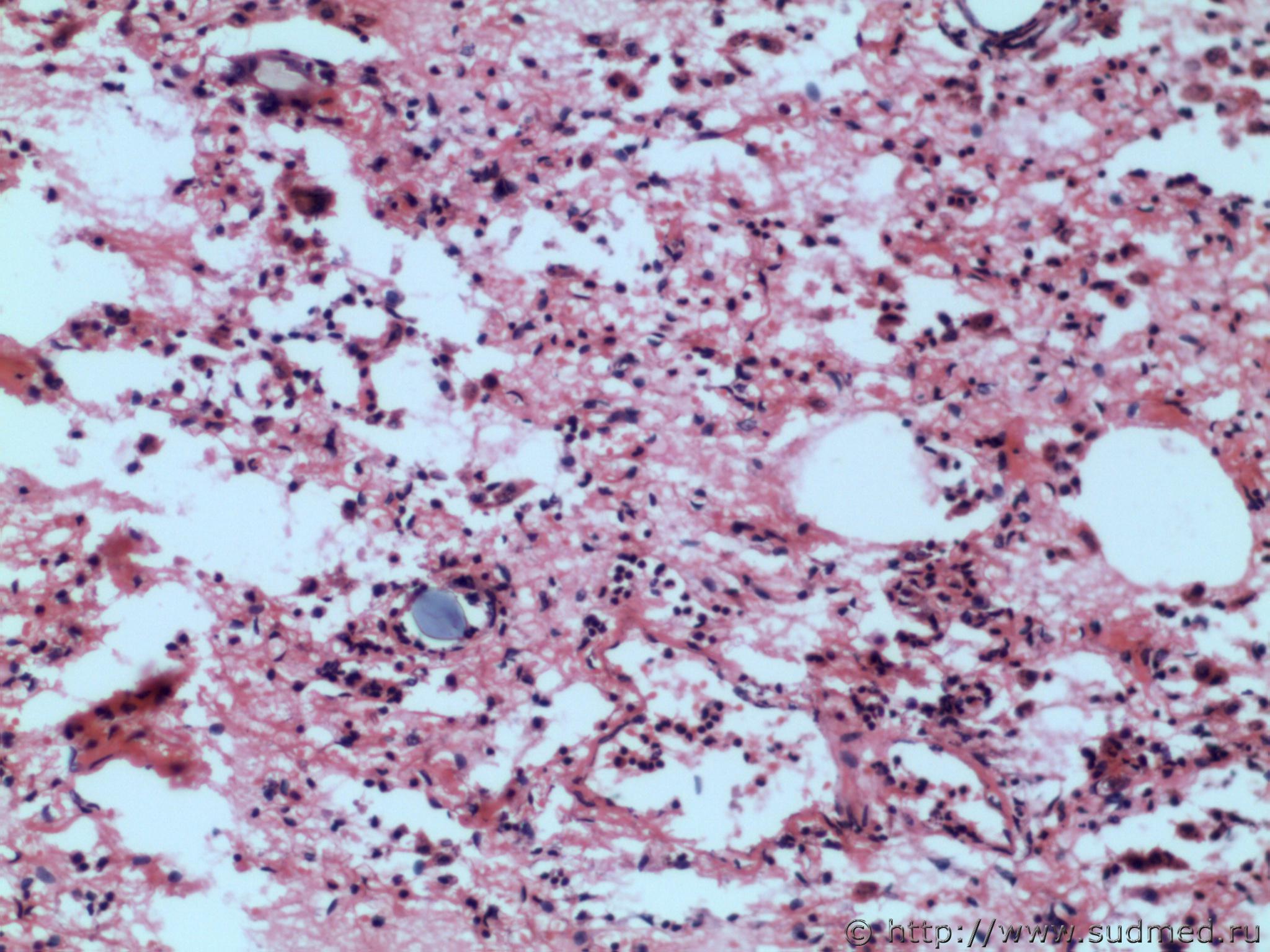
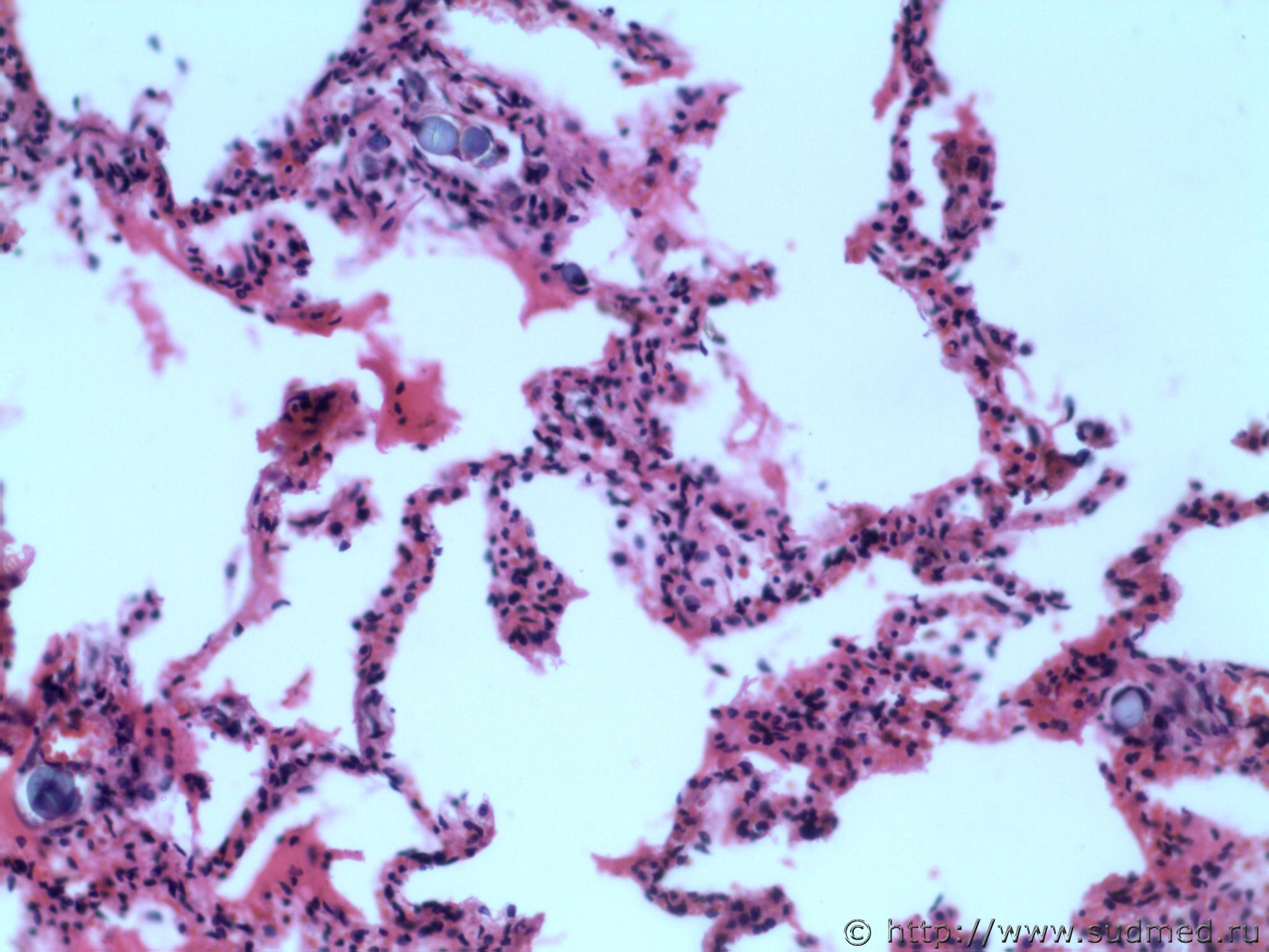
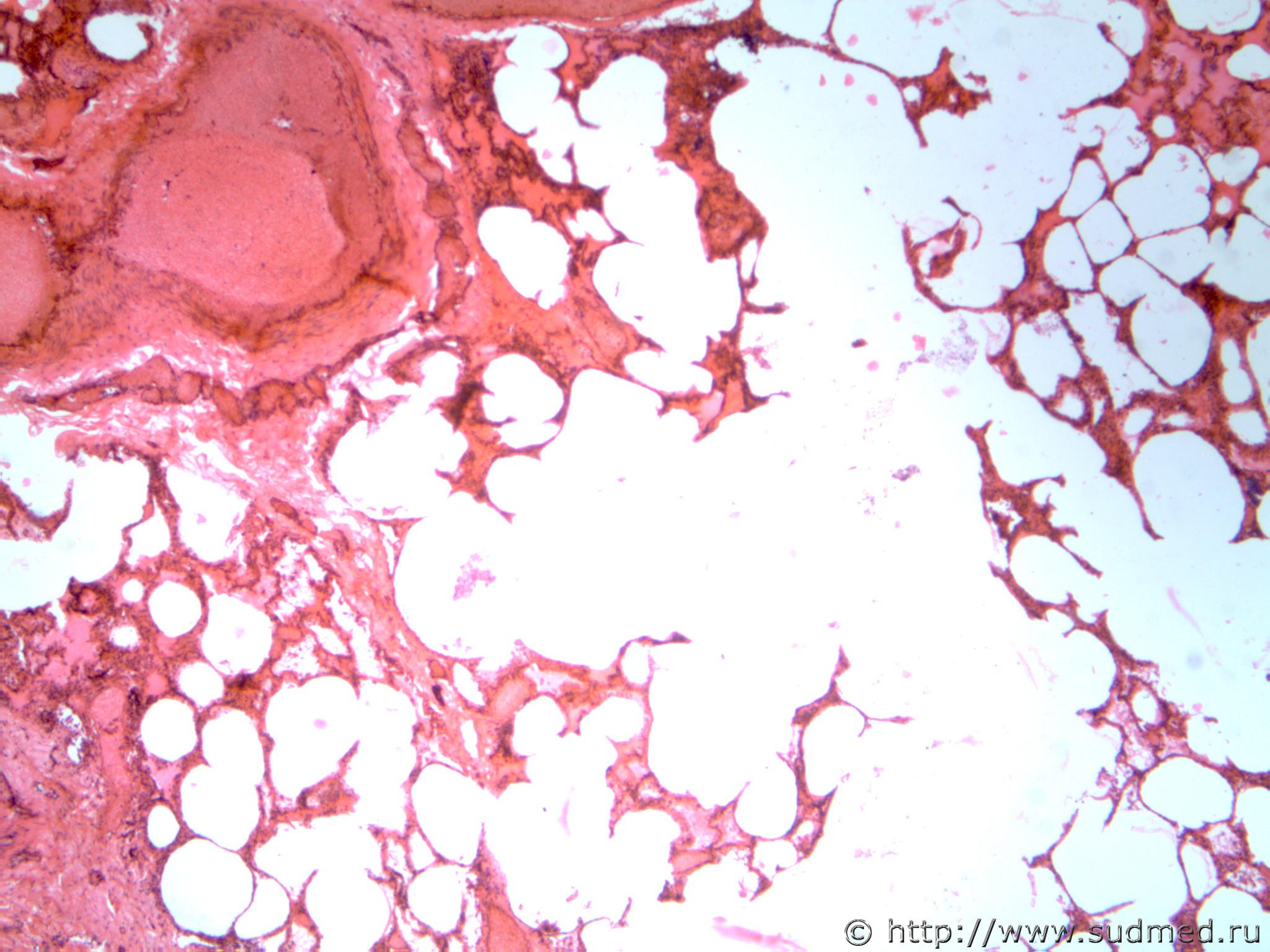
Бронхоспазм, острая эмфизема( ребенок, 5 лет)


Эскизы прикрепленных изображений
Судебная медицина - Прикрепленное изображение Судебная медицина - Прикрепленное изображение Судебная медицина - Прикрепленное изображение Судебная медицина - Прикрепленное изображение Судебная медицина - Прикрепленное изображение
Пользователь offline
К началу страницы
+Ответить с цитированием
доктор морфолог
сообщение 29.04.2014 - 10:39
Сообщение #539


Мастер I

Группа: СМЭ
Регистрация: 5.12.2013
Пользователь №: 38 421


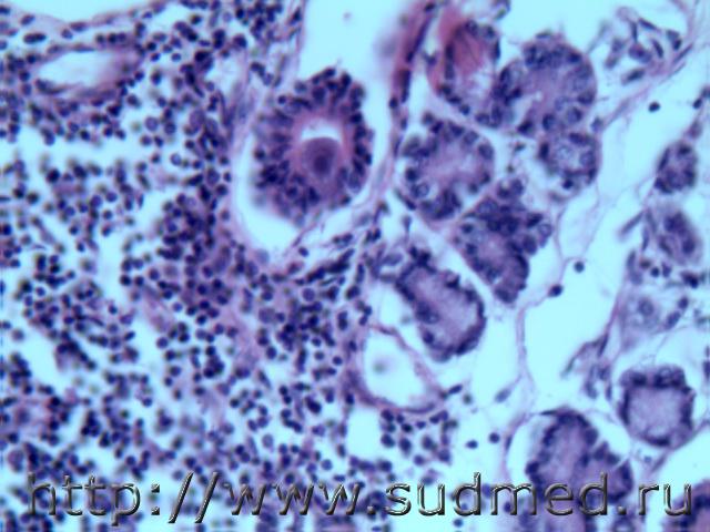
Аденоид(небных миндалин) гиперплазия фолликулов( ребенок 5 лет)


Эскизы прикрепленных изображений
Судебная медицина - Прикрепленное изображение Судебная медицина - Прикрепленное изображение Судебная медицина - Прикрепленное изображение Судебная медицина - Прикрепленное изображение Судебная медицина - Прикрепленное изображение
Пользователь offline
К началу страницы
+Ответить с цитированием
доктор морфолог
сообщение 30.04.2014 - 06:17
Сообщение #540


Мастер I

Группа: СМЭ
Регистрация: 5.12.2013
Пользователь №: 38 421


Цитата(=Doctor= @ 3.09.2013 - 19:17)
Случай гидроцефалии.

на фото - внутренняя гидроцефалия
Пользователь offline
К началу страницы
+Ответить с цитированием

75 страниц V « < 34 35 36 37 38 > » 



- Обратная связь Сейчас: 13.10.2025 - 19:55