Здравствуйте, гость ( Вход | Регистрация )

Форум судебных медиков России
>   Правила раздела >

Здесь обсуждаются вопросы судебно-медицинской танатологии и судебно-медицинской гистологии.

 
75 страниц V « < 35 36 37 38 39 > »   
>

Просто иллюстрации, фотографии интересных случаев

Рейтинг  5
>
доктор морфолог
сообщение 30.04.2014 - 10:57
Сообщение #541


Мастер I

Группа: СМЭ
Регистрация: 5.12.2013
Пользователь №: 38 421


организованный тромбоз артерии легких, продуктивный панартериит, инфаркт легких


Эскизы прикрепленных изображений
Судебная медицина - Прикрепленное изображение Судебная медицина - Прикрепленное изображение Судебная медицина - Прикрепленное изображение Судебная медицина - Прикрепленное изображение Судебная медицина - Прикрепленное изображение
Пользователь offline
К началу страницы
+Ответить с цитированием
доктор морфолог
сообщение 30.04.2014 - 11:09
Сообщение #542


Мастер I

Группа: СМЭ
Регистрация: 5.12.2013
Пользователь №: 38 421


злокачественная неврилеммома стенки желудка


Эскизы прикрепленных изображений
Судебная медицина - Прикрепленное изображение Судебная медицина - Прикрепленное изображение Судебная медицина - Прикрепленное изображение Судебная медицина - Прикрепленное изображение Судебная медицина - Прикрепленное изображение
Пользователь offline
К началу страницы
+Ответить с цитированием
доктор морфолог
сообщение 5.05.2014 - 11:56
Сообщение #543


Мастер I

Группа: СМЭ
Регистрация: 5.12.2013
Пользователь №: 38 421


метастатический плоскоклеточный рак в легких.копоть на эпителии слизистой трахеи

Сообщение отредактировал доктор морфолог - 5.05.2014 - 11:58


Эскизы прикрепленных изображений
Судебная медицина - Прикрепленное изображение Судебная медицина - Прикрепленное изображение Судебная медицина - Прикрепленное изображение
Пользователь offline
К началу страницы
+Ответить с цитированием
доктор морфолог
сообщение 5.05.2014 - 12:14
Сообщение #544


Мастер I

Группа: СМЭ
Регистрация: 5.12.2013
Пользователь №: 38 421


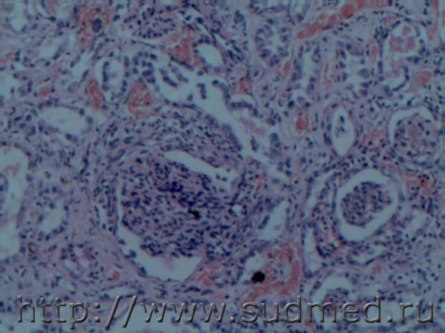
Экстракапиллярный гломерулонефрит


Эскизы прикрепленных изображений
Судебная медицина - Прикрепленное изображение Судебная медицина - Прикрепленное изображение Судебная медицина - Прикрепленное изображение Судебная медицина - Прикрепленное изображение
Пользователь offline
К началу страницы
+Ответить с цитированием
Медик
сообщение 6.05.2014 - 17:46
Сообщение #545


Учитель
Group Icon
Группа: Модераторы
Регистрация: 16.05.2010
Пользователь №: 21 553


Жировой подвесок.

Сообщение отредактировал Медик - 6.05.2014 - 17:46


Эскизы прикрепленных изображений
Судебная медицина - Прикрепленное изображение
Пользователь offline
К началу страницы
+Ответить с цитированием
доктор морфолог
сообщение 11.05.2014 - 12:25
Сообщение #546


Мастер I

Группа: СМЭ
Регистрация: 5.12.2013
Пользователь №: 38 421


Гематоксилиновые тельца в коре полушария мозга( при ишемии); гнойничковый миокардит( при сепсисе)


Эскизы прикрепленных изображений
Судебная медицина - Прикрепленное изображение Судебная медицина - Прикрепленное изображение Судебная медицина - Прикрепленное изображение
Пользователь offline
К началу страницы
+Ответить с цитированием
доктор морфолог
сообщение 14.05.2014 - 10:01
Сообщение #547


Мастер I

Группа: СМЭ
Регистрация: 5.12.2013
Пользователь №: 38 421


Мальформация - порок развития(клубок венул и артериол без капилляров) сосудов легких у беременной( вследствие легочной гипертензии шаровидное сердце макро)

Сообщение отредактировал доктор морфолог - 14.05.2014 - 10:29


Эскизы прикрепленных изображений
Судебная медицина - Прикрепленное изображение Судебная медицина - Прикрепленное изображение Судебная медицина - Прикрепленное изображение Судебная медицина - Прикрепленное изображение
Пользователь offline
К началу страницы
+Ответить с цитированием
доктор морфолог
сообщение 14.05.2014 - 10:23
Сообщение #548


Мастер I

Группа: СМЭ
Регистрация: 5.12.2013
Пользователь №: 38 421


Гиалиноз артериол ММО:Воспалительная дегенерация интрамуральных нервных волокон ( нарушение проводимости при ВС, инфильтрация круглыми клетками, разрыв эпиневрии)

Сообщение отредактировал доктор морфолог - 14.05.2014 - 10:28


Эскизы прикрепленных изображений
Судебная медицина - Прикрепленное изображение Судебная медицина - Прикрепленное изображение Судебная медицина - Прикрепленное изображение
Пользователь offline
К началу страницы
+Ответить с цитированием
доктор морфолог
сообщение 15.05.2014 - 10:17
Сообщение #549


Мастер I

Группа: СМЭ
Регистрация: 5.12.2013
Пользователь №: 38 421


ОВБИ,молниеносная форма. Болезнь гиалиновых мембран у взрослого(44 года), в сосудах единичные мегакариоциты,лейкоцитоз.

Сообщение отредактировал доктор морфолог - 15.05.2014 - 10:20


Эскизы прикрепленных изображений
Судебная медицина - Прикрепленное изображение Судебная медицина - Прикрепленное изображение Судебная медицина - Прикрепленное изображение Судебная медицина - Прикрепленное изображение Судебная медицина - Прикрепленное изображение Судебная медицина - Прикрепленное изображение
Пользователь offline
К началу страницы
+Ответить с цитированием
Veter
сообщение 15.05.2014 - 12:38
Сообщение #550


Авторитетный участник

Группа: СМЭ
Регистрация: 30.08.2006
Пользователь №: 2 667


Дивертикулез сигмовидной кишки

Судебная медицина - Прикрепленное изображение
Пользователь offline
К началу страницы
+Ответить с цитированием
Медик
сообщение 15.05.2014 - 18:40
Сообщение #551


Учитель
Group Icon
Группа: Модераторы
Регистрация: 16.05.2010
Пользователь №: 21 553


Цитата(доктор морфолог @ 15.05.2014 - 11:17)
Болезнь гиалиновых мембран у взрослого(44 года)

На фото респираторный дистресс-синдром взрослых.

Сообщение отредактировал Медик - 15.05.2014 - 18:45
Пользователь offline
К началу страницы
+Ответить с цитированием
доктор морфолог
сообщение 16.05.2014 - 06:36
Сообщение #552


Мастер I

Группа: СМЭ
Регистрация: 5.12.2013
Пользователь №: 38 421


Цитата(Медик @ 15.05.2014 - 21:40)
На фото респираторный дистресс-синдром взрослых.

Добрый день ув. Медик! Совершенно верно J 80

Сообщение отредактировал Медик - 1.11.2014 - 20:50
Пользователь offline
К началу страницы
+Ответить с цитированием
доктор морфолог
сообщение 16.05.2014 - 06:41
Сообщение #553


Мастер I

Группа: СМЭ
Регистрация: 5.12.2013
Пользователь №: 38 421


Диатомовые планктоны


Эскизы прикрепленных изображений
Судебная медицина - Прикрепленное изображение Судебная медицина - Прикрепленное изображение Судебная медицина - Прикрепленное изображение Судебная медицина - Прикрепленное изображение Судебная медицина - Прикрепленное изображение
Пользователь offline
К началу страницы
+Ответить с цитированием
доктор морфолог
сообщение 16.05.2014 - 11:29
Сообщение #554


Мастер I

Группа: СМЭ
Регистрация: 5.12.2013
Пользователь №: 38 421


Миеломная болезнь.Плазмацитома в реберной кости, из позвонка не взята. При жизни радикулит.


Эскизы прикрепленных изображений
Судебная медицина - Прикрепленное изображение Судебная медицина - Прикрепленное изображение Судебная медицина - Прикрепленное изображение Судебная медицина - Прикрепленное изображение
Пользователь offline
К началу страницы
+Ответить с цитированием
доктор морфолог
сообщение 22.05.2014 - 05:14
Сообщение #555


Мастер I

Группа: СМЭ
Регистрация: 5.12.2013
Пользователь №: 38 421


Ув.Unior Вы правы! Подверждение к Вашему наблюдению в просвете сосуда прозрачный кристаллик( бывает и голубоватого цвета и прозрачные), продуктивный васкулит с гигантским клетками по типу инородных тел и кровоизлияния в альвеолах при отравлении наркотическим веществом

Сообщение отредактировал доктор морфолог - 22.05.2014 - 05:18


Эскизы прикрепленных изображений
Судебная медицина - Прикрепленное изображение Судебная медицина - Прикрепленное изображение
Пользователь offline
К началу страницы
+Ответить с цитированием

75 страниц V « < 35 36 37 38 39 > » 



- Обратная связь Сейчас: 13.12.2025 - 08:34