Здравствуйте, гость ( Вход | Регистрация )

Форум судебных медиков России
>   Правила раздела >

Здесь обсуждаются вопросы судебно-медицинской танатологии и судебно-медицинской гистологии.

 
75 страниц V « < 36 37 38 39 40 > »   
>

Просто иллюстрации, фотографии интересных случаев

Рейтинг  5
>
доктор морфолог
сообщение 22.05.2014 - 11:24
Сообщение #556


Мастер I

Группа: СМЭ
Регистрация: 5.12.2013
Пользователь №: 38 421


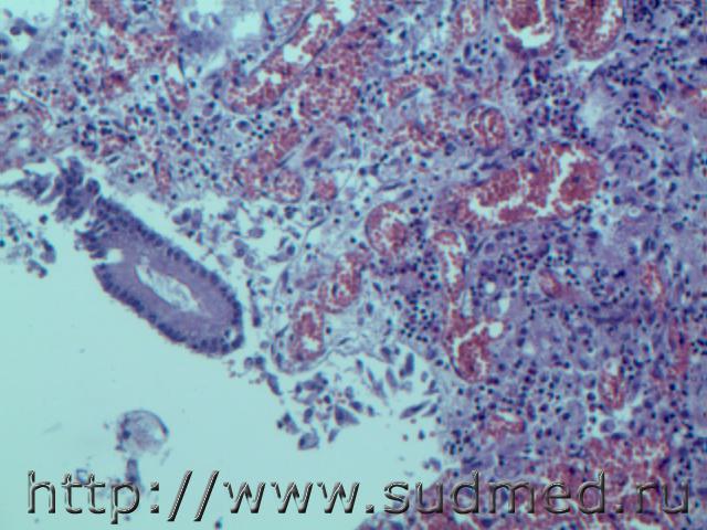
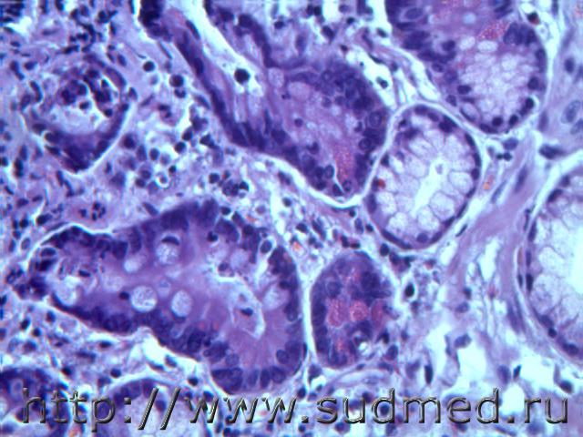
Биопсия, перстневидно-клеточная карцинома желудка


Эскизы прикрепленных изображений
Судебная медицина - Прикрепленное изображение Судебная медицина - Прикрепленное изображение Судебная медицина - Прикрепленное изображение Судебная медицина - Прикрепленное изображение Судебная медицина - Прикрепленное изображение
Пользователь offline
К началу страницы
+Ответить с цитированием
доктор морфолог
сообщение 23.05.2014 - 09:35
Сообщение #557


Мастер I

Группа: СМЭ
Регистрация: 5.12.2013
Пользователь №: 38 421


Инфаркт селезенки в послеродовом сепсисе


Эскизы прикрепленных изображений
Судебная медицина - Прикрепленное изображение Судебная медицина - Прикрепленное изображение Судебная медицина - Прикрепленное изображение Судебная медицина - Прикрепленное изображение
Пользователь offline
К началу страницы
+Ответить с цитированием
доктор морфолог
сообщение 23.05.2014 - 09:44
Сообщение #558


Мастер I

Группа: СМЭ
Регистрация: 5.12.2013
Пользователь №: 38 421


Тромбоз сосудов легких при послеродовом сепсисе, дистресс синдром респираторный взрослых


Сообщение отредактировал Медик - 23.05.2014 - 21:53


Эскизы прикрепленных изображений
Судебная медицина - Прикрепленное изображение Судебная медицина - Прикрепленное изображение Судебная медицина - Прикрепленное изображение Судебная медицина - Прикрепленное изображение Судебная медицина - Прикрепленное изображение Судебная медицина - Прикрепленное изображение
Пользователь offline
К началу страницы
+Ответить с цитированием
доктор морфолог
сообщение 24.05.2014 - 10:38
Сообщение #559


Мастер I

Группа: СМЭ
Регистрация: 5.12.2013
Пользователь №: 38 421


Вторичный менигоэнцефалит


Эскизы прикрепленных изображений
Судебная медицина - Прикрепленное изображение Судебная медицина - Прикрепленное изображение Судебная медицина - Прикрепленное изображение Судебная медицина - Прикрепленное изображение
Пользователь offline
К началу страницы
+Ответить с цитированием
доктор морфолог
сообщение 26.05.2014 - 07:51
Сообщение #560


Мастер I

Группа: СМЭ
Регистрация: 5.12.2013
Пользователь №: 38 421


Билиарные кисты при циррозе печени(микрогамартома?)

Сообщение отредактировал доктор морфолог - 26.05.2014 - 09:39


Эскизы прикрепленных изображений
Судебная медицина - Прикрепленное изображение Судебная медицина - Прикрепленное изображение Судебная медицина - Прикрепленное изображение Судебная медицина - Прикрепленное изображение
Пользователь offline
К началу страницы
+Ответить с цитированием
доктор морфолог
сообщение 26.05.2014 - 09:36
Сообщение #561


Мастер I

Группа: СМЭ
Регистрация: 5.12.2013
Пользователь №: 38 421


Псамматозный менингит(псаммамома), привел к ОНМК

Сообщение отредактировал доктор морфолог - 26.05.2014 - 09:39


Эскизы прикрепленных изображений
Судебная медицина - Прикрепленное изображение Судебная медицина - Прикрепленное изображение Судебная медицина - Прикрепленное изображение Судебная медицина - Прикрепленное изображение Судебная медицина - Прикрепленное изображение Судебная медицина - Прикрепленное изображение Судебная медицина - Прикрепленное изображение
Пользователь offline
К началу страницы
+Ответить с цитированием
Chivas
сообщение 26.05.2014 - 09:57
Сообщение #562


Мастер I
Group Icon
Группа: Модераторы
Регистрация: 17.02.2007
Из: Кубань
Пользователь №: 4 435


Фибринозный перикардит ("бутерброд с маслом").


Эскизы прикрепленных изображений
Судебная медицина - Прикрепленное изображение
Пользователь offline
К началу страницы
+Ответить с цитированием
доктор морфолог
сообщение 26.05.2014 - 10:36
Сообщение #563


Мастер I

Группа: СМЭ
Регистрация: 5.12.2013
Пользователь №: 38 421


Цитата(Chivas @ 26.05.2014 - 12:57)
Фибринозный перикардит ("бутерброд с маслом").

Либо с расплавленным сыром(шутка). Полисерозит?
Пользователь offline
К началу страницы
+Ответить с цитированием
Chivas
сообщение 26.05.2014 - 11:26
Сообщение #564


Мастер I
Group Icon
Группа: Модераторы
Регистрация: 17.02.2007
Из: Кубань
Пользователь №: 4 435


Цитата(доктор морфолог @ 26.05.2014 - 11:36)
Либо с расплавленным сыром(шутка). Полисерозит?

По другим листкам макроскопически все спокойно, подожду гистологию.
Пользователь offline
К началу страницы
+Ответить с цитированием
Медик
сообщение 26.05.2014 - 16:10
Сообщение #565


Учитель
Group Icon
Группа: Модераторы
Регистрация: 16.05.2010
Пользователь №: 21 553


Цитата(доктор морфолог @ 26.05.2014 - 10:36)
Псамматозный менингит

Про такое не знаю.Может что-то новое ?
Фото соответствуют псаммоматозной менингиоме.
Пользователь offline
К началу страницы
+Ответить с цитированием
доктор морфолог
сообщение 27.05.2014 - 07:25
Сообщение #566


Мастер I

Группа: СМЭ
Регистрация: 5.12.2013
Пользователь №: 38 421


Цитата(Медик @ 26.05.2014 - 19:10)
Про такое не знаю.Может что-то новое ?
Фото соответствуют псаммоматозной менингиоме.

Ув.Медик! Вы правы по классификации опухолей, но я постарался по данным старых литератур, когда ученые спорили,как назвать взависимости от скопления псаммомных телец, то ли -ит, или -ома.
Пользователь offline
К началу страницы
+Ответить с цитированием
jaklin
сообщение 27.05.2014 - 12:48
Сообщение #567


Продвинутый участник

Группа: СМЭ
Регистрация: 22.07.2011
Пользователь №: 28 038


Цитата(доктор морфолог @ 18.04.2014 - 11:36)
Кристаллики при передозировке наркотиками в просвете сосудов легких

Судебная медицина - Прикрепленное изображениеСудебная медицина - Прикрепленное изображение
Пользователь offline
К началу страницы
+Ответить с цитированием
доктор морфолог
сообщение 28.05.2014 - 08:09
Сообщение #568


Мастер I

Группа: СМЭ
Регистрация: 5.12.2013
Пользователь №: 38 421


Ув.Jaklin! Не в просвете ли альвеол, мне показалось?

Сообщение отредактировал Дмитрий - 28.05.2014 - 08:53
Пользователь offline
К началу страницы
+Ответить с цитированием
jaklin
сообщение 28.05.2014 - 16:11
Сообщение #569


Продвинутый участник

Группа: СМЭ
Регистрация: 22.07.2011
Пользователь №: 28 038


Цитата(доктор морфолог @ 28.05.2014 - 08:09)
Ув.Jaklin! Не в просвете ли альвеол, мне показалось?

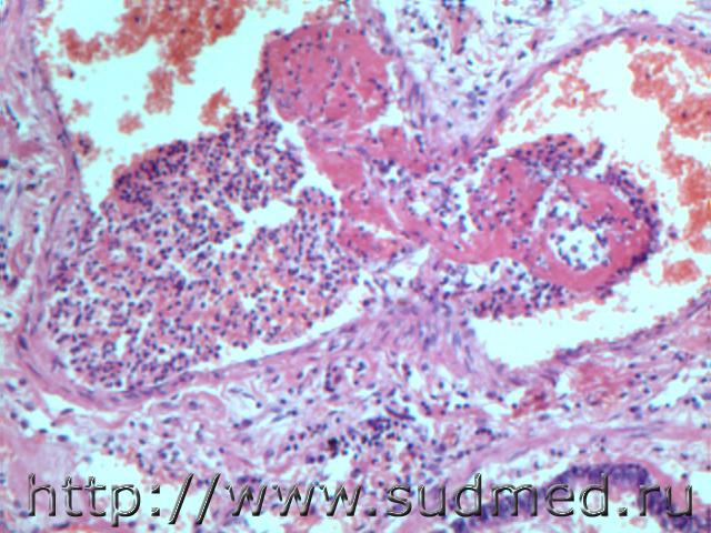
это гранулемы. в центре - тальк или не тальк. Но все (около 10) с одного некрупного города, за относительно небольшой период времени.
и вот еще:Судебная медицина - Прикрепленное изображение



Сообщение отредактировал jaklin - 28.05.2014 - 16:11
Пользователь offline
К началу страницы
+Ответить с цитированием
доктор морфолог
сообщение 31.05.2014 - 10:45
Сообщение #570


Мастер I

Группа: СМЭ
Регистрация: 5.12.2013
Пользователь №: 38 421


Цитата(jaklin @ 28.05.2014 - 19:11)
это гранулемы. в центре - тальк или не тальк. Но все (около 10) с одного некрупного города, за относительно небольшой период времени.
и вот еще:Судебная медицина - Прикрепленное изображение

Ув.коллега! На счет талька ув.Unior писал о том, что при разбавлении некачественного героина с тальком по его наблюдению эти рисунки в просвете сосудов с периваскулярным продуктивным воспалением с гигиантскими клетками по типу инородных тел встречались, кроме гемосидероза, кровоизлияния. А наши химики обнаруживали героин и других составляющих веществ не указывали, как юниор.


Цитата(доктор морфолог @ 31.05.2014 - 13:42)
Ув.коллега! На счет талька ув.Unior писал о том, что при разбавлении некачественного героина с тальком по его наблюдению эти рисунки в просвете сосудов с периваскулярным продуктивным воспалением с гигиантскими клетками по типу инородных тел встречались, кроме гемосидероза, кровоизлияния. А наши химики обнаруживали героин и других составляющих веществ не указывали, как юниор.

Кроме сердца, головного мозга и в почке встречал я раньше и в архиве поищу. Больше я находил в сосудах легких.
Пользователь offline
К началу страницы
+Ответить с цитированием

75 страниц V « < 36 37 38 39 40 > » 



- Обратная связь Сейчас: 13.12.2025 - 08:35