Здравствуйте, гость ( Вход | Регистрация )

Форум судебных медиков России
>   Правила раздела >

Здесь обсуждаются вопросы судебно-медицинской танатологии и судебно-медицинской гистологии.

 
75 страниц V « < 37 38 39 40 41 > »   
>

Просто иллюстрации, фотографии интересных случаев

Рейтинг  5
>
доктор морфолог
сообщение 31.05.2014 - 10:54
Сообщение #571


Мастер I

Группа: СМЭ
Регистрация: 5.12.2013
Пользователь №: 38 421


Цитата(jaklin @ 27.05.2014 - 15:48)

ув.коллега! Конечно Вы постарались на большом увеличении, чтобы было четко. Но я бы предложил бы всем нам при микрофото и на малом(обзорный снимок), если есть возможность на местах. А то во фрагментах ткани при большом увеличении иногда возникают трудности тому, кому не представляется возможным на малом увидеть. ТСу конечно яснее больше всех.Но я думаю, при реканализации столько сосудов я по крайней мере в тромбах не встречал.

Сообщение отредактировал доктор морфолог - 31.05.2014 - 10:55
Пользователь offline
К началу страницы
+Ответить с цитированием
Медик
сообщение 5.06.2014 - 00:15
Сообщение #572


Учитель
Group Icon
Группа: Модераторы
Регистрация: 16.05.2010
Пользователь №: 21 553


1.Сепсис,гиперплазия костного мозга диафиза бедренной кости.
2.Рак желудка.
3.Септическая селезёнка.

Сообщение отредактировал Медик - 5.06.2014 - 00:16


Эскизы прикрепленных изображений
Судебная медицина - Прикрепленное изображение Судебная медицина - Прикрепленное изображение Судебная медицина - Прикрепленное изображение
Пользователь offline
К началу страницы
+Ответить с цитированием
Chivas
сообщение 5.06.2014 - 08:23
Сообщение #573


Мастер I
Group Icon
Группа: Модераторы
Регистрация: 17.02.2007
Из: Кубань
Пользователь №: 4 435


Ув. Медик, фото хороши, но хорошо бы крим линейку использовать.

Сообщение отредактировал Chivas - 5.06.2014 - 08:24
Пользователь offline
К началу страницы
+Ответить с цитированием
доктор морфолог
сообщение 6.06.2014 - 07:49
Сообщение #574


Мастер I

Группа: СМЭ
Регистрация: 5.12.2013
Пользователь №: 38 421


Аспирация рвотными массами преимущественно растительного происхождения( в просвете бронхов), острая эмфизема, пожилая женщина.


Эскизы прикрепленных изображений
Судебная медицина - Прикрепленное изображение Судебная медицина - Прикрепленное изображение Судебная медицина - Прикрепленное изображение Судебная медицина - Прикрепленное изображение Судебная медицина - Прикрепленное изображение Судебная медицина - Прикрепленное изображение Судебная медицина - Прикрепленное изображение
Пользователь offline
К началу страницы
+Ответить с цитированием
доктор морфолог
сообщение 6.06.2014 - 08:00
Сообщение #575


Мастер I

Группа: СМЭ
Регистрация: 5.12.2013
Пользователь №: 38 421


Сложная гиперплазия эндометрия без атипии(ядра веретеновидные, хроматин равномерно распределен, длинник ядра расположен перпендикулярно к базальной мембране)срезы толстые, микрофото нечеткое почему-то, под микроскопом четко, а изображение в компьютере вот такое?!

Сообщение отредактировал доктор морфолог - 6.06.2014 - 08:02


Эскизы прикрепленных изображений
Судебная медицина - Прикрепленное изображение Судебная медицина - Прикрепленное изображение Судебная медицина - Прикрепленное изображение Судебная медицина - Прикрепленное изображение
Пользователь offline
К началу страницы
+Ответить с цитированием
Chivas
сообщение 9.06.2014 - 10:00
Сообщение #576


Мастер I
Group Icon
Группа: Модераторы
Регистрация: 17.02.2007
Из: Кубань
Пользователь №: 4 435


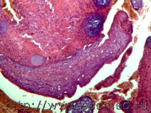
Отравление уксусной кислотой (пищевод и желудок).


Эскизы прикрепленных изображений
Судебная медицина - Прикрепленное изображение
Пользователь offline
К началу страницы
+Ответить с цитированием
доктор морфолог
сообщение 13.06.2014 - 07:50
Сообщение #577


Мастер I

Группа: СМЭ
Регистрация: 5.12.2013
Пользователь №: 38 421


Цитата(Chivas @ 9.06.2014 - 13:00)
Отравление уксусной кислотой (пищевод и желудок).

Добрый день! Видно очаги тяжелого повреждения слизистой пищевода и желудка, четко видно на большом увеличении. Но между ними красивая масштабная линейка, чье производство?
Пользователь offline
К началу страницы
+Ответить с цитированием
Chivas
сообщение 13.06.2014 - 08:26
Сообщение #578


Мастер I
Group Icon
Группа: Модераторы
Регистрация: 17.02.2007
Из: Кубань
Пользователь №: 4 435


Цитата(доктор морфолог @ 13.06.2014 - 08:50)
Но между ними красивая масштабная линейка, чье производство?

Посмотрите в этой теме.
Пользователь offline
К началу страницы
+Ответить с цитированием
доктор морфолог
сообщение 13.06.2014 - 09:13
Сообщение #579


Мастер I

Группа: СМЭ
Регистрация: 5.12.2013
Пользователь №: 38 421


Гистоморфология при замершей беременности(ворсины хориона бесструктурные,отечные. Частично сохранены железы и децидуальная ткань эндометрии. Наблюдается нарушение кровообращения и некроз.

Цитата(Chivas @ 13.06.2014 - 11:26)
Посмотрите в этой теме.

Ув.Chivas! Большое спасибо, увидел-классно.


Эскизы прикрепленных изображений
Судебная медицина - Прикрепленное изображение Судебная медицина - Прикрепленное изображение Судебная медицина - Прикрепленное изображение Судебная медицина - Прикрепленное изображение Судебная медицина - Прикрепленное изображение Судебная медицина - Прикрепленное изображение Судебная медицина - Прикрепленное изображение
Пользователь offline
К началу страницы
+Ответить с цитированием
DALis
сообщение 13.06.2014 - 10:11
Сообщение #580


Читатель

Группа: СМЭ
Регистрация: 23.03.2007
Из: Украина
Пользователь №: 4 652


Правосторонний пневмоторакс при туберкулезе

Типичный бампер-перелом

Сообщение отредактировал DALis - 13.06.2014 - 10:13


Эскизы прикрепленных изображений
Судебная медицина - Прикрепленное изображение Судебная медицина - Прикрепленное изображение
Пользователь offline
К началу страницы
+Ответить с цитированием
доктор морфолог
сообщение 19.06.2014 - 10:29
Сообщение #581


Мастер I

Группа: СМЭ
Регистрация: 5.12.2013
Пользователь №: 38 421


Механическая асфиксия. Аспирация рвотными массами (видны в просвете бронхов контуры скелетных миоцитов и растительной клетчатки) острая эмфизема, кровоизлияние, отек, полнокровие сосудов легких на фоне неполного аутолиза. Возраст -35лет, неблагополучный фон - хр. алкоголизм. Сопут.патология: жировая дистрофия, цирроз печени.


Эскизы прикрепленных изображений
Судебная медицина - Прикрепленное изображение Судебная медицина - Прикрепленное изображение Судебная медицина - Прикрепленное изображение Судебная медицина - Прикрепленное изображение
Пользователь offline
К началу страницы
+Ответить с цитированием
доктор морфолог
сообщение 19.06.2014 - 12:15
Сообщение #582


Мастер I

Группа: СМЭ
Регистрация: 5.12.2013
Пользователь №: 38 421


Киста желтого тела яичника(апоплексия- кровоизлияние в желтое тело растянуло до 2,7 см.), рядом фолликулярные кисты и обычный процесс обратного развития желтых тел.


Эскизы прикрепленных изображений
Судебная медицина - Прикрепленное изображение Судебная медицина - Прикрепленное изображение Судебная медицина - Прикрепленное изображение Судебная медицина - Прикрепленное изображение Судебная медицина - Прикрепленное изображение Судебная медицина - Прикрепленное изображение
Пользователь offline
К началу страницы
+Ответить с цитированием
доктор морфолог
сообщение 23.06.2014 - 12:18
Сообщение #583


Мастер I

Группа: СМЭ
Регистрация: 5.12.2013
Пользователь №: 38 421


Плоскоклеточный рак шейки матки с ороговением(видны участки тяжелой дисплазии, вторжение в просвет желез, нарушение стратификации и т.д.)


Эскизы прикрепленных изображений
Судебная медицина - Прикрепленное изображение Судебная медицина - Прикрепленное изображение Судебная медицина - Прикрепленное изображение Судебная медицина - Прикрепленное изображение Судебная медицина - Прикрепленное изображение Судебная медицина - Прикрепленное изображение Судебная медицина - Прикрепленное изображение
Пользователь offline
К началу страницы
+Ответить с цитированием
доктор морфолог
сообщение 26.06.2014 - 10:06
Сообщение #584


Мастер I

Группа: СМЭ
Регистрация: 5.12.2013
Пользователь №: 38 421


Внематочная трубная беременность(труба вскрыта, в просвете эмбрион с пуповиной)


Эскизы прикрепленных изображений
Судебная медицина - Прикрепленное изображение Судебная медицина - Прикрепленное изображение
Пользователь offline
К началу страницы
+Ответить с цитированием
fbc_v
сообщение 28.06.2014 - 20:52
Сообщение #585


Знаток форума
Group Icon
Группа: СМЭ
Регистрация: 18.04.2012
Пользователь №: 32 515


Травматическая эмфизема мягких тканей средостения


Эскизы прикрепленных изображений
Судебная медицина - Прикрепленное изображение Судебная медицина - Прикрепленное изображение
Пользователь offline
К началу страницы
+Ответить с цитированием

75 страниц V « < 37 38 39 40 41 > » 



- Обратная связь Сейчас: 13.10.2025 - 22:05