Здравствуйте, гость ( Вход | Регистрация )

Форум судебных медиков России
>   Правила раздела >

Здесь обсуждаются вопросы судебно-медицинской танатологии и судебно-медицинской гистологии.

 
75 страниц V « < 38 39 40 41 42 > »   
>

Просто иллюстрации, фотографии интересных случаев

Рейтинг  5
>
доктор морфолог
сообщение 30.06.2014 - 11:42
Сообщение #586


Мастер I

Группа: СМЭ
Регистрация: 5.12.2013
Пользователь №: 38 421


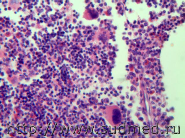
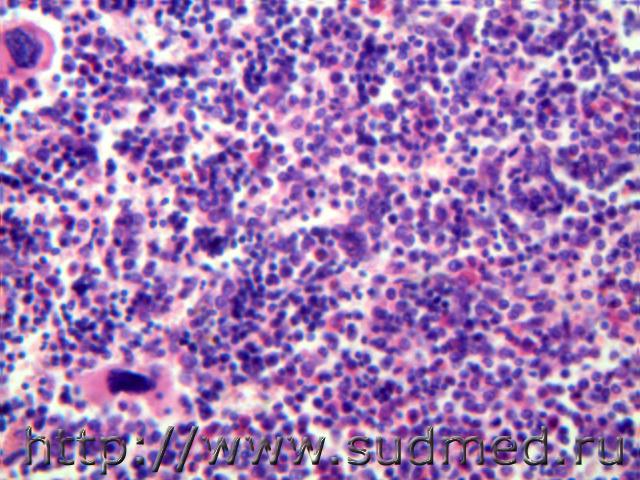
ХМЛ.Мегакарицитарный вариант.Криз.В печени, костном мозге и легких. ( Видны уродливые мегакариоциты)


Эскизы прикрепленных изображений
Судебная медицина - Прикрепленное изображение Судебная медицина - Прикрепленное изображение Судебная медицина - Прикрепленное изображение Судебная медицина - Прикрепленное изображение Судебная медицина - Прикрепленное изображение Судебная медицина - Прикрепленное изображение Судебная медицина - Прикрепленное изображение Судебная медицина - Прикрепленное изображение Судебная медицина - Прикрепленное изображение
Пользователь offline
К началу страницы
+Ответить с цитированием
доктор морфолог
сообщение 30.06.2014 - 11:53
Сообщение #587


Мастер I

Группа: СМЭ
Регистрация: 5.12.2013
Пользователь №: 38 421


Патология щитовидной железы от тиреоидита Хашимото, аденомы и развитием фолликулярного рака.


Эскизы прикрепленных изображений
Судебная медицина - Прикрепленное изображение Судебная медицина - Прикрепленное изображение Судебная медицина - Прикрепленное изображение Судебная медицина - Прикрепленное изображение Судебная медицина - Прикрепленное изображение Судебная медицина - Прикрепленное изображение Судебная медицина - Прикрепленное изображение Судебная медицина - Прикрепленное изображение Судебная медицина - Прикрепленное изображение Судебная медицина - Прикрепленное изображение Судебная медицина - Прикрепленное изображение
Пользователь offline
К началу страницы
+Ответить с цитированием
доктор морфолог
сообщение 8.07.2014 - 12:06
Сообщение #588


Мастер I

Группа: СМЭ
Регистрация: 5.12.2013
Пользователь №: 38 421


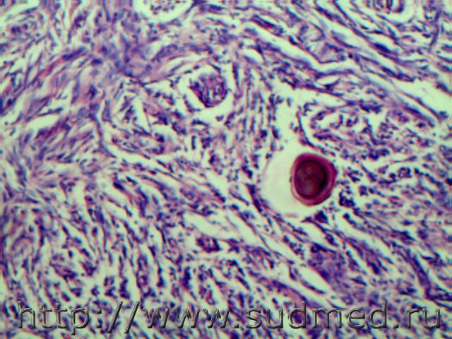
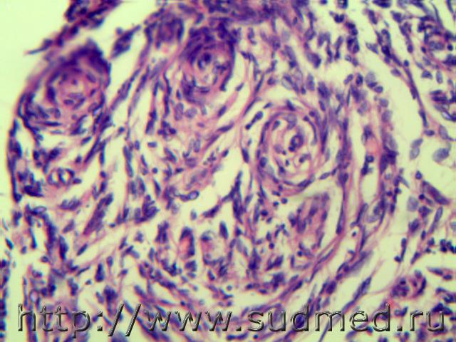
Менингеома, фибропластический тип с псаммомными тельцами (опухоль состоит из веретеновидных клеток), мальчик 12 лет.

Сообщение отредактировал доктор морфолог - 8.07.2014 - 12:08


Эскизы прикрепленных изображений
Судебная медицина - Прикрепленное изображение Судебная медицина - Прикрепленное изображение Судебная медицина - Прикрепленное изображение Судебная медицина - Прикрепленное изображение Судебная медицина - Прикрепленное изображение Судебная медицина - Прикрепленное изображение Судебная медицина - Прикрепленное изображение Судебная медицина - Прикрепленное изображение
Пользователь offline
К началу страницы
+Ответить с цитированием
доктор морфолог
сообщение 11.07.2014 - 05:30
Сообщение #589


Мастер I

Группа: СМЭ
Регистрация: 5.12.2013
Пользователь №: 38 421


Холестаз(застой темно-зеленого цвета желчи в желчных капиллярах при ЖКБ)

Сообщение отредактировал доктор морфолог - 11.07.2014 - 05:31


Эскизы прикрепленных изображений
Судебная медицина - Прикрепленное изображение Судебная медицина - Прикрепленное изображение Судебная медицина - Прикрепленное изображение Судебная медицина - Прикрепленное изображение
Пользователь offline
К началу страницы
+Ответить с цитированием
доктор морфолог
сообщение 11.07.2014 - 06:24
Сообщение #590


Мастер I

Группа: СМЭ
Регистрация: 5.12.2013
Пользователь №: 38 421


Диатомовый планктон обнаруженный в жидкостях из пазухи основной кости(перистой, центрической формы и мелкие и крупные по размеру) после центрифугирования.

Сообщение отредактировал доктор морфолог - 11.07.2014 - 06:26


Эскизы прикрепленных изображений
Судебная медицина - Прикрепленное изображение Судебная медицина - Прикрепленное изображение Судебная медицина - Прикрепленное изображение Судебная медицина - Прикрепленное изображение Судебная медицина - Прикрепленное изображение
Пользователь offline
К началу страницы
+Ответить с цитированием
Медик
сообщение 12.07.2014 - 00:11
Сообщение #591


Учитель
Group Icon
Группа: Модераторы
Регистрация: 16.05.2010
Пользователь №: 21 553


"Нашёл" вот такой коленный сустав.


Эскизы прикрепленных изображений
Судебная медицина - Прикрепленное изображение Судебная медицина - Прикрепленное изображение
Пользователь offline
К началу страницы
+Ответить с цитированием
fbc_v
сообщение 15.07.2014 - 17:31
Сообщение #592


Знаток форума
Group Icon
Группа: СМЭ
Регистрация: 18.04.2012
Пользователь №: 32 515


Проникающее колото-резаное ранение передней брюшной стенки с повреждением нижней полой вены

Сообщение отредактировал fbc_v - 15.07.2014 - 17:31


Эскизы прикрепленных изображений
Судебная медицина - Прикрепленное изображение Судебная медицина - Прикрепленное изображение
Пользователь offline
К началу страницы
+Ответить с цитированием
доктор морфолог
сообщение 18.07.2014 - 07:17
Сообщение #593


Мастер I

Группа: СМЭ
Регистрация: 5.12.2013
Пользователь №: 38 421


Пневмокониоз-туберкулез (формы их разные в зависимости от химического состава и м.б. саркоидоз-туберкулез, бериллиоз-туберкулез и т.д.) Гранулемы слоисто-концентрического строения, местами наблюдается завихрения и видны единичные гигантские многоядерные клетки Пирагово-Ланганса.

Сообщение отредактировал Медик - 20.07.2014 - 21:06


Эскизы прикрепленных изображений
Судебная медицина - Прикрепленное изображение Судебная медицина - Прикрепленное изображение Судебная медицина - Прикрепленное изображение Судебная медицина - Прикрепленное изображение Судебная медицина - Прикрепленное изображение Судебная медицина - Прикрепленное изображение Судебная медицина - Прикрепленное изображение Судебная медицина - Прикрепленное изображение
Пользователь offline
К началу страницы
+Ответить с цитированием
доктор морфолог
сообщение 18.07.2014 - 08:13
Сообщение #594


Мастер I

Группа: СМЭ
Регистрация: 5.12.2013
Пользователь №: 38 421


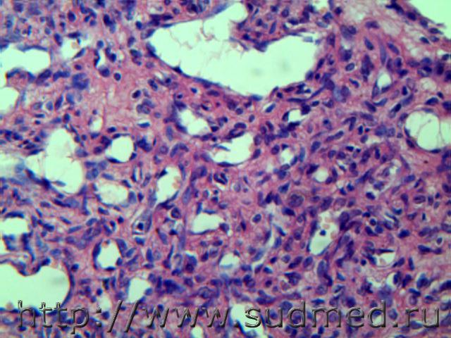
Гемангиоэндотелиома(эндотелиальная пролиферация и видны синусоиды и мелкие капилляры)доброкачественная.


Эскизы прикрепленных изображений
Судебная медицина - Прикрепленное изображение Судебная медицина - Прикрепленное изображение Судебная медицина - Прикрепленное изображение Судебная медицина - Прикрепленное изображение Судебная медицина - Прикрепленное изображение Судебная медицина - Прикрепленное изображение Судебная медицина - Прикрепленное изображение
Пользователь offline
К началу страницы
+Ответить с цитированием
доктор морфолог
сообщение 21.07.2014 - 07:20
Сообщение #595


Мастер I

Группа: СМЭ
Регистрация: 5.12.2013
Пользователь №: 38 421


Отравление аконитином, девочка 12 лет. Микрокристаллики аконитина с1по4 фото извлечение из желудка, последнее фото - свидетель.


Эскизы прикрепленных изображений
Судебная медицина - Прикрепленное изображение Судебная медицина - Прикрепленное изображение Судебная медицина - Прикрепленное изображение Судебная медицина - Прикрепленное изображение Судебная медицина - Прикрепленное изображение
Пользователь offline
К началу страницы
+Ответить с цитированием
fbc_v
сообщение 24.07.2014 - 18:45
Сообщение #596


Знаток форума
Group Icon
Группа: СМЭ
Регистрация: 18.04.2012
Пользователь №: 32 515


Поликистоз почки


Эскизы прикрепленных изображений
Судебная медицина - Прикрепленное изображение Судебная медицина - Прикрепленное изображение Судебная медицина - Прикрепленное изображение
Пользователь offline
К началу страницы
+Ответить с цитированием
доктор морфолог
сообщение 25.07.2014 - 08:18
Сообщение #597


Мастер I

Группа: СМЭ
Регистрация: 5.12.2013
Пользователь №: 38 421


Туберкулез легких, Умеренно дифференцированный плоскоклеточный рак легких с метастазом в печень. ( Три в одном -туберкулез, рак легких и гнойная брохопневмония).

Сообщение отредактировал доктор морфолог - 25.07.2014 - 08:27


Эскизы прикрепленных изображений
Судебная медицина - Прикрепленное изображение Судебная медицина - Прикрепленное изображение Судебная медицина - Прикрепленное изображение Судебная медицина - Прикрепленное изображение Судебная медицина - Прикрепленное изображение Судебная медицина - Прикрепленное изображение Судебная медицина - Прикрепленное изображение Судебная медицина - Прикрепленное изображение Судебная медицина - Прикрепленное изображение Судебная медицина - Прикрепленное изображение
Пользователь offline
К началу страницы
+Ответить с цитированием
Жаргал
сообщение 31.07.2014 - 10:32
Сообщение #598


Претендент

Группа: СМЭ
Регистрация: 18.11.2008
Из: Евразия, Россия.
Пользователь №: 10 996


На днях исследовала труп трехмесячной девочки. и на вскрытии обнаружила такой мозг.
предыстория: родила ее женщина 32 лет, вич-инфекция, стадия 4В, без получения должной противоретровирусной терапии.
ребенок родился слепым, глухим. по клиническим данным: внутриутробная цитомегаловирусная инфекция в сочетании с герпесной. вич-положительна (не понятно, то ли антитела самого ребенка, то ли от матери).
нервной ткани как таковой практически нет в головном мозге. есть только мягкие мозговые оболочки с фиброзными изменениями. и полость черепа была заполнена ликвором, объемом чуть больше литра.


Эскизы прикрепленных изображений
Судебная медицина - Прикрепленное изображение Судебная медицина - Прикрепленное изображение
Пользователь offline
К началу страницы
+Ответить с цитированием
fbc_v
сообщение 31.07.2014 - 15:52
Сообщение #599


Знаток форума
Group Icon
Группа: СМЭ
Регистрация: 18.04.2012
Пользователь №: 32 515


Гнойное воспаление мягких тканей заднего средостения (со слов родственников - около 10 дней назад была перфорация костью, кость удалили, ребенка отправили домой), на последнем фото - перфорация глотки


Эскизы прикрепленных изображений
Судебная медицина - Прикрепленное изображение Судебная медицина - Прикрепленное изображение Судебная медицина - Прикрепленное изображение Судебная медицина - Прикрепленное изображение Судебная медицина - Прикрепленное изображение Судебная медицина - Прикрепленное изображение
Пользователь offline
К началу страницы
+Ответить с цитированием
Chivas
сообщение 31.07.2014 - 16:23
Сообщение #600


Мастер I
Group Icon
Группа: Модераторы
Регистрация: 17.02.2007
Из: Кубань
Пользователь №: 4 435


Цитата(fbc_v @ 31.07.2014 - 16:52)
Гнойное воспаление мягких тканей заднего средостения (со слов родственников - около 10 дней назад была перфорация костью, кость удалили, ребенка отправили домой), на последнем фото - перфорация глотки

При всем уважении, фото плохого качества sad.gif
Пользователь offline
К началу страницы
+Ответить с цитированием

75 страниц V « < 38 39 40 41 42 > » 



- Обратная связь Сейчас: 13.10.2025 - 23:57