Здравствуйте, гость ( Вход | Регистрация )

Форум судебных медиков России
>   Правила раздела >

Здесь обсуждаются вопросы судебно-медицинской танатологии и судебно-медицинской гистологии.

 
75 страниц V « < 39 40 41 42 43 > »   
>

Просто иллюстрации, фотографии интересных случаев

Рейтинг  5
>
доктор морфолог
сообщение 31.07.2014 - 18:41
Сообщение #601


Мастер I

Группа: СМЭ
Регистрация: 5.12.2013
Пользователь №: 38 421


Цитата(Жаргал @ 31.07.2014 - 13:32)
На днях исследовала труп трехмесячной девочки. и на вскрытии обнаружила такой мозг.
ув.Жаргал! на фото наружная гидроцефалия, атрофия головного мозга.

Сообщение отредактировал доктор морфолог - 31.07.2014 - 18:43
Пользователь offline
К началу страницы
+Ответить с цитированием
доктор морфолог
сообщение 1.08.2014 - 11:24
Сообщение #602


Мастер I

Группа: СМЭ
Регистрация: 5.12.2013
Пользователь №: 38 421


Гнойный мастит с образованием кист и гранулем с многоядерным гигантскими клетками по типу инородных тел

Сообщение отредактировал доктор морфолог - 1.08.2014 - 11:27


Эскизы прикрепленных изображений
Судебная медицина - Прикрепленное изображение Судебная медицина - Прикрепленное изображение Судебная медицина - Прикрепленное изображение Судебная медицина - Прикрепленное изображение Судебная медицина - Прикрепленное изображение Судебная медицина - Прикрепленное изображение Судебная медицина - Прикрепленное изображение Судебная медицина - Прикрепленное изображение Судебная медицина - Прикрепленное изображение Судебная медицина - Прикрепленное изображение
Пользователь offline
К началу страницы
+Ответить с цитированием
доктор морфолог
сообщение 6.08.2014 - 08:06
Сообщение #603


Мастер I

Группа: СМЭ
Регистрация: 5.12.2013
Пользователь №: 38 421


В просвете альвеол грибково-паразитарное тело?!( м.б. артефактные черви)при сепсисе(апостоматозные очажки во внутренних органах).

Сообщение отредактировал доктор морфолог - 6.08.2014 - 08:41


Эскизы прикрепленных изображений
Судебная медицина - Прикрепленное изображение Судебная медицина - Прикрепленное изображение Судебная медицина - Прикрепленное изображение Судебная медицина - Прикрепленное изображение
Пользователь offline
К началу страницы
+Ответить с цитированием
доктор морфолог
сообщение 6.08.2014 - 08:45
Сообщение #604


Мастер I

Группа: СМЭ
Регистрация: 5.12.2013
Пользователь №: 38 421


Цитата(доктор морфолог @ 6.08.2014 - 11:06)
В просвете альвеол грибково-паразитарное тело?!( м.б. артефактные черви)при сепсисе(апостоматозные очажки во внутренних органах).

И головном мозге грибково-паразитарное тело и очаги гнойничков в головном мозге, почке и в миокарде. В цитоплазме кардиомиоцитов видно перинуклеарное пылевидное скопление липофусцина желтоватого цвета.

Сообщение отредактировал доктор морфолог - 6.08.2014 - 08:48


Эскизы прикрепленных изображений
Судебная медицина - Прикрепленное изображение Судебная медицина - Прикрепленное изображение Судебная медицина - Прикрепленное изображение Судебная медицина - Прикрепленное изображение Судебная медицина - Прикрепленное изображение Судебная медицина - Прикрепленное изображение Судебная медицина - Прикрепленное изображение
Пользователь offline
К началу страницы
+Ответить с цитированием
доктор морфолог
сообщение 13.08.2014 - 09:03
Сообщение #605


Мастер I

Группа: СМЭ
Регистрация: 5.12.2013
Пользователь №: 38 421


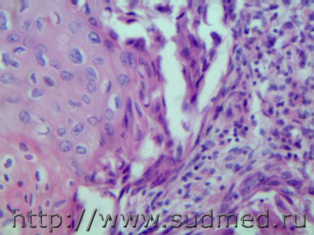
Пиогенная гранулема (дольчатая капиллярная гемангиома) кисты, мужчина 60 лет. Диффдиагностика всегда требует с Капоши-формной ангиосаркомой!

Сообщение отредактировал доктор морфолог - 13.08.2014 - 09:17


Эскизы прикрепленных изображений
Судебная медицина - Прикрепленное изображение Судебная медицина - Прикрепленное изображение Судебная медицина - Прикрепленное изображение Судебная медицина - Прикрепленное изображение Судебная медицина - Прикрепленное изображение Судебная медицина - Прикрепленное изображение
Пользователь offline
К началу страницы
+Ответить с цитированием
доктор морфолог
сообщение 13.08.2014 - 09:13
Сообщение #606


Мастер I

Группа: СМЭ
Регистрация: 5.12.2013
Пользователь №: 38 421


Гигантоклеточная опухоль (гигантоклеточная репаративная гранулема) кисти , мужчина 26 лет. Опухоль костного генеза.

Сообщение отредактировал доктор морфолог - 13.08.2014 - 09:16


Эскизы прикрепленных изображений
Судебная медицина - Прикрепленное изображение Судебная медицина - Прикрепленное изображение Судебная медицина - Прикрепленное изображение Судебная медицина - Прикрепленное изображение Судебная медицина - Прикрепленное изображение Судебная медицина - Прикрепленное изображение Судебная медицина - Прикрепленное изображение
Пользователь offline
К началу страницы
+Ответить с цитированием
доктор морфолог
сообщение 14.08.2014 - 07:24
Сообщение #607


Мастер I

Группа: СМЭ
Регистрация: 5.12.2013
Пользователь №: 38 421


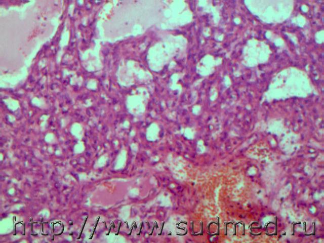
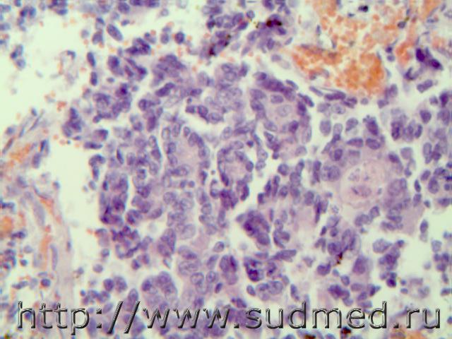
Метастаз аденокарциномы толстой кишки?в печень.

Сообщение отредактировал доктор морфолог - 14.08.2014 - 07:43


Эскизы прикрепленных изображений
Судебная медицина - Прикрепленное изображение Судебная медицина - Прикрепленное изображение Судебная медицина - Прикрепленное изображение Судебная медицина - Прикрепленное изображение Судебная медицина - Прикрепленное изображение Судебная медицина - Прикрепленное изображение Судебная медицина - Прикрепленное изображение Судебная медицина - Прикрепленное изображение Судебная медицина - Прикрепленное изображение
Пользователь offline
К началу страницы
+Ответить с цитированием
Медик
сообщение 14.08.2014 - 22:43
Сообщение #608


Учитель
Group Icon
Группа: Модераторы
Регистрация: 16.05.2010
Пользователь №: 21 553


А почему со знаком вопроса ?
Пользователь offline
К началу страницы
+Ответить с цитированием
доктор морфолог
сообщение 15.08.2014 - 11:50
Сообщение #609


Мастер I

Группа: СМЭ
Регистрация: 5.12.2013
Пользователь №: 38 421


Цитата(Медик @ 15.08.2014 - 01:43)
А почему со знаком вопроса ?

Добрый день ув.Медик!Танатолог без ткани толстого кишечника направил. А тр. то женского пола.
Пользователь offline
К началу страницы
+Ответить с цитированием
доктор морфолог
сообщение 18.08.2014 - 10:54
Сообщение #610


Мастер I

Группа: СМЭ
Регистрация: 5.12.2013
Пользователь №: 38 421


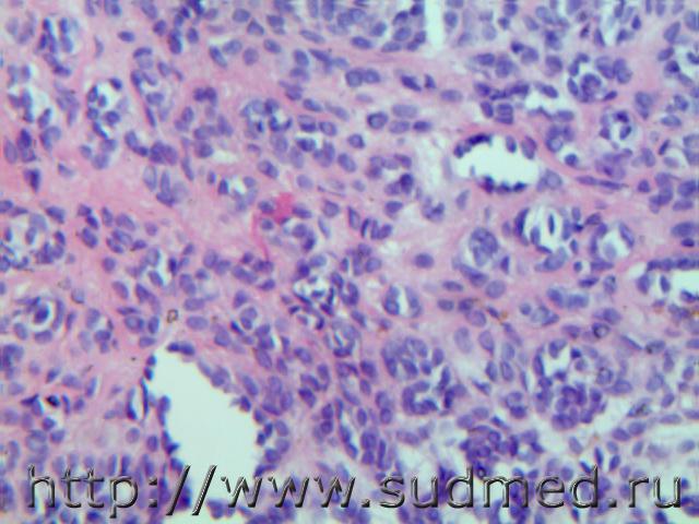
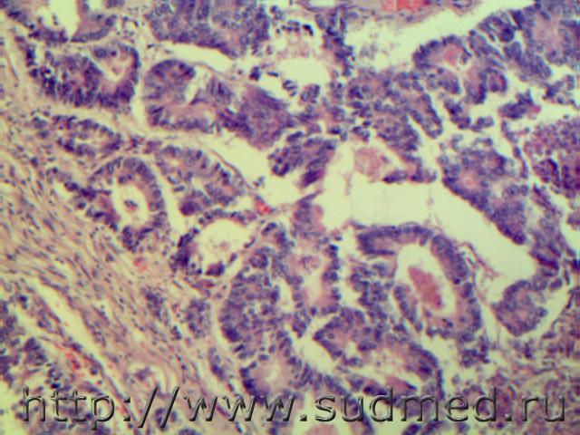
Карциноид( серотонин синтезирующий) поджелудочной железы с метастазами в легкие и печень(аденомоподобные псевдорозетки с наличием в просвете базофильной массы), мужчина 62 лет.

Сообщение отредактировал доктор морфолог - 18.08.2014 - 10:57


Эскизы прикрепленных изображений
Судебная медицина - Прикрепленное изображение Судебная медицина - Прикрепленное изображение Судебная медицина - Прикрепленное изображение Судебная медицина - Прикрепленное изображение Судебная медицина - Прикрепленное изображение Судебная медицина - Прикрепленное изображение Судебная медицина - Прикрепленное изображение Судебная медицина - Прикрепленное изображение Судебная медицина - Прикрепленное изображение Судебная медицина - Прикрепленное изображение Судебная медицина - Прикрепленное изображение
Пользователь offline
К началу страницы
+Ответить с цитированием
доктор морфолог
сообщение 20.08.2014 - 11:07
Сообщение #611


Мастер I

Группа: СМЭ
Регистрация: 5.12.2013
Пользователь №: 38 421


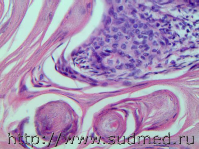
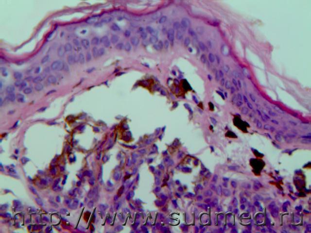
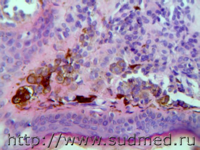
Смешанный невус (внутридермальный и пограничный) с единичными меланоцитами, предвестник невус -меланомы.


Эскизы прикрепленных изображений
Судебная медицина - Прикрепленное изображение Судебная медицина - Прикрепленное изображение Судебная медицина - Прикрепленное изображение Судебная медицина - Прикрепленное изображение Судебная медицина - Прикрепленное изображение Судебная медицина - Прикрепленное изображение Судебная медицина - Прикрепленное изображение Судебная медицина - Прикрепленное изображение Судебная медицина - Прикрепленное изображение Судебная медицина - Прикрепленное изображение Судебная медицина - Прикрепленное изображение Судебная медицина - Прикрепленное изображение
Пользователь offline
К началу страницы
+Ответить с цитированием
доктор морфолог
сообщение 20.08.2014 - 12:10
Сообщение #612


Мастер I

Группа: СМЭ
Регистрация: 5.12.2013
Пользователь №: 38 421


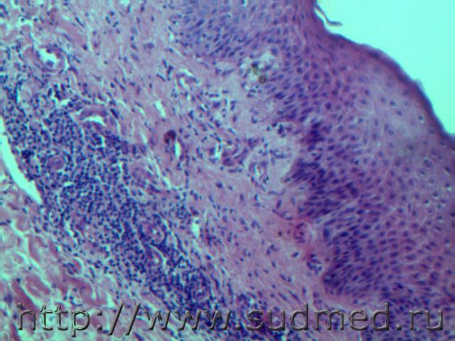
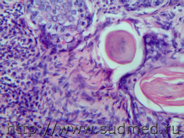
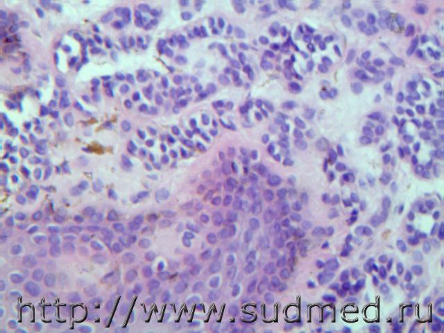
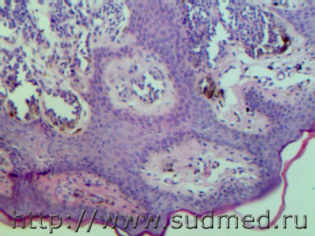
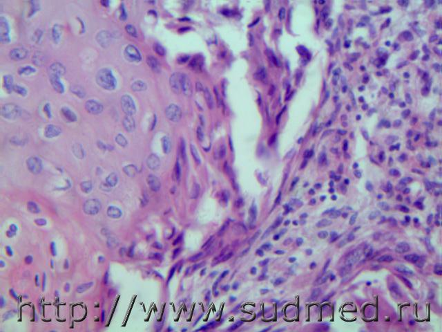
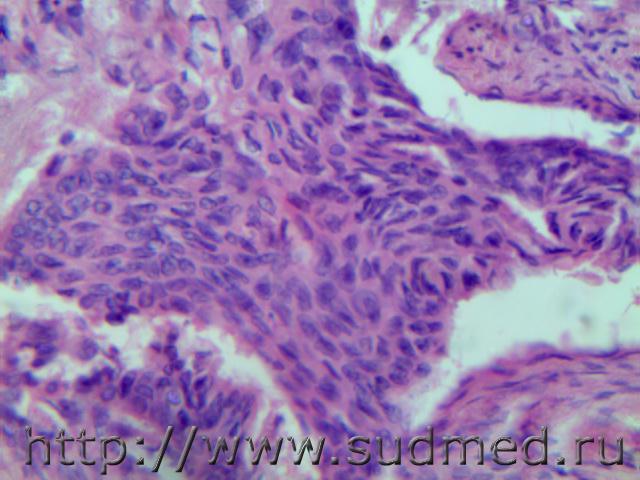
Мукоэпидермоидный рак слюнной железы ( или плоскоклеточный ороговевающий)с прорастанием в гортань, пищевод.

Сообщение отредактировал доктор морфолог - 20.08.2014 - 12:11


Эскизы прикрепленных изображений
Судебная медицина - Прикрепленное изображение Судебная медицина - Прикрепленное изображение Судебная медицина - Прикрепленное изображение Судебная медицина - Прикрепленное изображение Судебная медицина - Прикрепленное изображение Судебная медицина - Прикрепленное изображение Судебная медицина - Прикрепленное изображение Судебная медицина - Прикрепленное изображение Судебная медицина - Прикрепленное изображение Судебная медицина - Прикрепленное изображение Судебная медицина - Прикрепленное изображение Судебная медицина - Прикрепленное изображение
Пользователь offline
К началу страницы
+Ответить с цитированием
Медик
сообщение 22.08.2014 - 18:47
Сообщение #613


Учитель
Group Icon
Группа: Модераторы
Регистрация: 16.05.2010
Пользователь №: 21 553


Протез бедренной артерии.Несостоятельность швов.


Эскизы прикрепленных изображений
Судебная медицина - Прикрепленное изображение Судебная медицина - Прикрепленное изображение
Пользователь offline
К началу страницы
+Ответить с цитированием
Медик
сообщение 28.08.2014 - 19:46
Сообщение #614


Учитель
Group Icon
Группа: Модераторы
Регистрация: 16.05.2010
Пользователь №: 21 553


"Крокодил".

Сообщение отредактировал Медик - 28.08.2014 - 20:33


Эскизы прикрепленных изображений
Судебная медицина - Прикрепленное изображение Судебная медицина - Прикрепленное изображение
Пользователь offline
К началу страницы
+Ответить с цитированием
Медик
сообщение 28.08.2014 - 20:37
Сообщение #615


Учитель
Group Icon
Группа: Модераторы
Регистрация: 16.05.2010
Пользователь №: 21 553


Неспецифический язвенный колит.
Перфорация стенки кишки на первом фото.

Сообщение отредактировал Медик - 28.08.2014 - 20:40


Эскизы прикрепленных изображений
Судебная медицина - Прикрепленное изображение Судебная медицина - Прикрепленное изображение Судебная медицина - Прикрепленное изображение
Пользователь offline
К началу страницы
+Ответить с цитированием

75 страниц V « < 39 40 41 42 43 > » 



- Обратная связь Сейчас: 13.10.2025 - 22:06