Здравствуйте, гость ( Вход | Регистрация )

Форум судебных медиков России
>   Правила раздела >

Здесь обсуждаются вопросы судебно-медицинской танатологии и судебно-медицинской гистологии.

 
75 страниц V « < 40 41 42 43 44 > »   
>

Просто иллюстрации, фотографии интересных случаев

Рейтинг  5
>
доктор морфолог
сообщение 31.08.2014 - 11:56
Сообщение #616


Мастер I

Группа: СМЭ
Регистрация: 5.12.2013
Пользователь №: 38 421


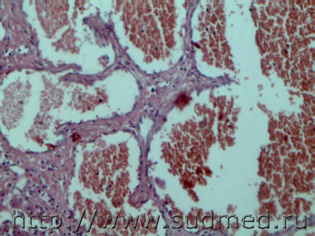
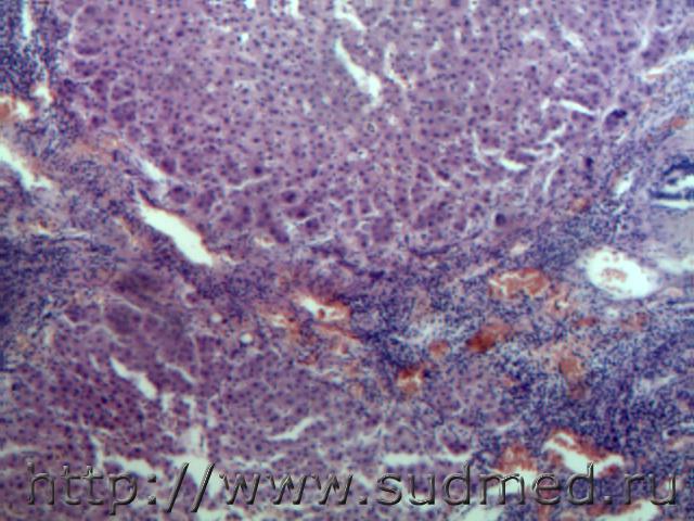
Кавернозная гемангиома печени( после травмы от падения с велосипеда умер от острой кровопотери т.к.лопнула гемангиома в горах до приезда СМП)


Эскизы прикрепленных изображений
Судебная медицина - Прикрепленное изображение Судебная медицина - Прикрепленное изображение Судебная медицина - Прикрепленное изображение Судебная медицина - Прикрепленное изображение Судебная медицина - Прикрепленное изображение Судебная медицина - Прикрепленное изображение Судебная медицина - Прикрепленное изображение
Пользователь offline
К началу страницы
+Ответить с цитированием
доктор морфолог
сообщение 31.08.2014 - 12:32
Сообщение #617


Мастер I

Группа: СМЭ
Регистрация: 5.12.2013
Пользователь №: 38 421


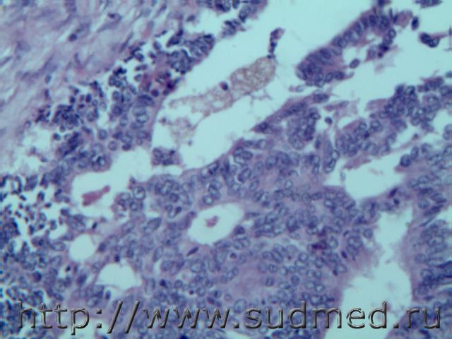
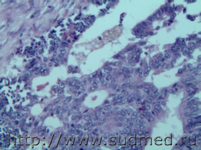
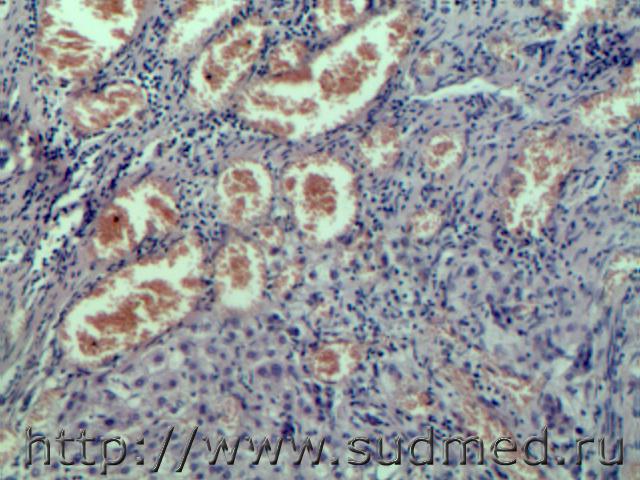
Карцинома предстательной железы (простаты)из переходноклеточного варианта в аденокарциному.

Сообщение отредактировал доктор морфолог - 31.08.2014 - 12:36


Эскизы прикрепленных изображений
Судебная медицина - Прикрепленное изображение Судебная медицина - Прикрепленное изображение Судебная медицина - Прикрепленное изображение Судебная медицина - Прикрепленное изображение Судебная медицина - Прикрепленное изображение Судебная медицина - Прикрепленное изображение Судебная медицина - Прикрепленное изображение Судебная медицина - Прикрепленное изображение Судебная медицина - Прикрепленное изображение Судебная медицина - Прикрепленное изображение Судебная медицина - Прикрепленное изображение Судебная медицина - Прикрепленное изображение
Пользователь offline
К началу страницы
+Ответить с цитированием
Медик
сообщение 1.09.2014 - 18:08
Сообщение #618


Учитель
Group Icon
Группа: Модераторы
Регистрация: 16.05.2010
Пользователь №: 21 553


Стеатонекроз.


Эскизы прикрепленных изображений
Судебная медицина - Прикрепленное изображение
Пользователь offline
К началу страницы
+Ответить с цитированием
Медик
сообщение 1.09.2014 - 18:17
Сообщение #619


Учитель
Group Icon
Группа: Модераторы
Регистрация: 16.05.2010
Пользователь №: 21 553


Атеросклеротическая мешковидная аневризма брюшной аорты разорванная.

Сообщение отредактировал Медик - 1.09.2014 - 18:18


Эскизы прикрепленных изображений
Судебная медицина - Прикрепленное изображение Судебная медицина - Прикрепленное изображение
Пользователь offline
К началу страницы
+Ответить с цитированием
Медик
сообщение 1.09.2014 - 18:29
Сообщение #620


Учитель
Group Icon
Группа: Модераторы
Регистрация: 16.05.2010
Пользователь №: 21 553


Ишемический инфаркт головного мозга.


Эскизы прикрепленных изображений
Судебная медицина - Прикрепленное изображение
Пользователь offline
К началу страницы
+Ответить с цитированием
доктор морфолог
сообщение 2.09.2014 - 08:09
Сообщение #621


Мастер I

Группа: СМЭ
Регистрация: 5.12.2013
Пользователь №: 38 421


Тромбофлебит нижних конечностей(организованный с реканализацией), отрыв ее привел к инфаркту легких(ТЭЛА )и инфаркту селезенки( тромбоз селезеночной артерии).

Сообщение отредактировал доктор морфолог - 2.09.2014 - 12:34


Эскизы прикрепленных изображений
Судебная медицина - Прикрепленное изображение Судебная медицина - Прикрепленное изображение Судебная медицина - Прикрепленное изображение Судебная медицина - Прикрепленное изображение Судебная медицина - Прикрепленное изображение Судебная медицина - Прикрепленное изображение Судебная медицина - Прикрепленное изображение Судебная медицина - Прикрепленное изображение Судебная медицина - Прикрепленное изображение Судебная медицина - Прикрепленное изображение Судебная медицина - Прикрепленное изображение Судебная медицина - Прикрепленное изображение
Пользователь offline
К началу страницы
+Ответить с цитированием
доктор морфолог
сообщение 2.09.2014 - 12:55
Сообщение #622


Мастер I

Группа: СМЭ
Регистрация: 5.12.2013
Пользователь №: 38 421


Гигантоклеточная опухоль с образованием остеохондроидной пластинки с области плечи (мальчик 12 лет)

Сообщение отредактировал доктор морфолог - 2.09.2014 - 12:58


Эскизы прикрепленных изображений
Судебная медицина - Прикрепленное изображение Судебная медицина - Прикрепленное изображение Судебная медицина - Прикрепленное изображение Судебная медицина - Прикрепленное изображение Судебная медицина - Прикрепленное изображение Судебная медицина - Прикрепленное изображение Судебная медицина - Прикрепленное изображение Судебная медицина - Прикрепленное изображение Судебная медицина - Прикрепленное изображение Судебная медицина - Прикрепленное изображение
Пользователь offline
К началу страницы
+Ответить с цитированием
Медик
сообщение 2.09.2014 - 15:50
Сообщение #623


Учитель
Group Icon
Группа: Модераторы
Регистрация: 16.05.2010
Пользователь №: 21 553


Цитата(доктор морфолог @ 2.09.2014 - 09:09)
Тромбофлебит нижних конечностей(организованный с реканализацией), отрыв ее привел к инфаркту легких(ТЭЛА )и инфаркту селезенки( тромбоз селезеночной артерии)

Какое отношение тромбоз селезёночной артерии имеет к тромбофлебиту нижних конечностей ?
Пользователь offline
К началу страницы
+Ответить с цитированием
доктор морфолог
сообщение 3.09.2014 - 07:24
Сообщение #624


Мастер I

Группа: СМЭ
Регистрация: 5.12.2013
Пользователь №: 38 421


Цитата(Медик @ 2.09.2014 - 18:50)
Какое отношение тромбоз селезёночной артерии имеет к тромбофлебиту нижних конечностей ?

Да не имеет отношение, букву "и" нужно убрать,спасибо! а отношение имело место на фоне генерализованного атеросклероза с развитием тромбоза да.

Сообщение отредактировал доктор морфолог - 3.09.2014 - 07:28
Пользователь offline
К началу страницы
+Ответить с цитированием
доктор морфолог
сообщение 3.09.2014 - 10:12
Сообщение #625


Мастер I

Группа: СМЭ
Регистрация: 5.12.2013
Пользователь №: 38 421


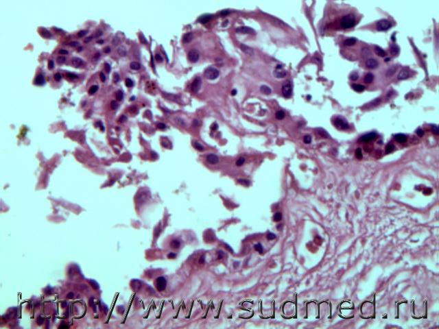
Регенераторные узелки в печени восстановительного процесса с переходом в цирроз(мультилобулярный). Типичные признаки восстановления: васкуляризация, рыхлая фиброзная ткань с массивной гистиоцитарно-лимфцитарная инфильтрацией, желчные протоки лежат еще не группой и местам сдавлены, гепатоциты увеличеным гиперхромными, местами с 2-мя и 3-мя ядрами и .т.д.


Эскизы прикрепленных изображений
Судебная медицина - Прикрепленное изображение Судебная медицина - Прикрепленное изображение Судебная медицина - Прикрепленное изображение Судебная медицина - Прикрепленное изображение Судебная медицина - Прикрепленное изображение Судебная медицина - Прикрепленное изображение Судебная медицина - Прикрепленное изображение Судебная медицина - Прикрепленное изображение Судебная медицина - Прикрепленное изображение Судебная медицина - Прикрепленное изображение Судебная медицина - Прикрепленное изображение Судебная медицина - Прикрепленное изображение Судебная медицина - Прикрепленное изображение
Пользователь offline
К началу страницы
+Ответить с цитированием
доктор морфолог
сообщение 3.09.2014 - 12:20
Сообщение #626


Мастер I

Группа: СМЭ
Регистрация: 5.12.2013
Пользователь №: 38 421


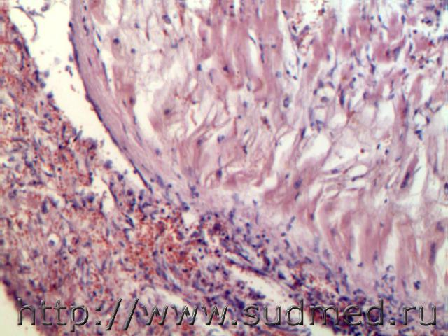
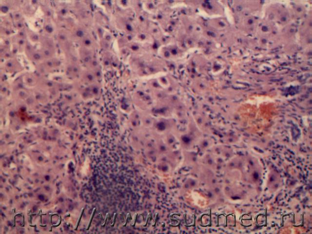
Тромбоэндокардит в стадии организации( липофусциноз, некробиоз и некроз кардиомиоцитов): застойная печень(мускатная) расширение и полнокровие синусоидов приводит к гибели гепатоцитов центролобулярно и перфокально. Все это вследствие застоя по БКК.


Эскизы прикрепленных изображений
Судебная медицина - Прикрепленное изображение Судебная медицина - Прикрепленное изображение Судебная медицина - Прикрепленное изображение Судебная медицина - Прикрепленное изображение Судебная медицина - Прикрепленное изображение Судебная медицина - Прикрепленное изображение Судебная медицина - Прикрепленное изображение Судебная медицина - Прикрепленное изображение Судебная медицина - Прикрепленное изображение Судебная медицина - Прикрепленное изображение
Пользователь offline
К началу страницы
+Ответить с цитированием
доктор морфолог
сообщение 10.09.2014 - 10:45
Сообщение #627


Мастер I

Группа: СМЭ
Регистрация: 5.12.2013
Пользователь №: 38 421


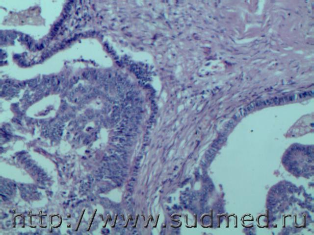
На фоне аутолиза обнаружены мезотелиома эпикарда(полиморфные, сосочковый вариант)

Сообщение отредактировал Медик - 23.09.2014 - 14:54


Эскизы прикрепленных изображений
Судебная медицина - Прикрепленное изображение Судебная медицина - Прикрепленное изображение Судебная медицина - Прикрепленное изображение Судебная медицина - Прикрепленное изображение Судебная медицина - Прикрепленное изображение Судебная медицина - Прикрепленное изображение Судебная медицина - Прикрепленное изображение Судебная медицина - Прикрепленное изображение
Пользователь offline
К началу страницы
+Ответить с цитированием
доктор морфолог
сообщение 10.09.2014 - 12:15
Сообщение #628


Мастер I

Группа: СМЭ
Регистрация: 5.12.2013
Пользователь №: 38 421


Герминогенная опухоль, злокачественная, метастаз обнаружен в околопочечной клетчатке(крупные гиперхромные ядра, местами дву ядерные, встречаются единичные гигантские по сравнению с умеренно инфильтрированными лимфоцитами)


Эскизы прикрепленных изображений
Судебная медицина - Прикрепленное изображение Судебная медицина - Прикрепленное изображение Судебная медицина - Прикрепленное изображение Судебная медицина - Прикрепленное изображение Судебная медицина - Прикрепленное изображение Судебная медицина - Прикрепленное изображение Судебная медицина - Прикрепленное изображение Судебная медицина - Прикрепленное изображение Судебная медицина - Прикрепленное изображение Судебная медицина - Прикрепленное изображение Судебная медицина - Прикрепленное изображение Судебная медицина - Прикрепленное изображение
Пользователь offline
К началу страницы
+Ответить с цитированием
Медик
сообщение 10.09.2014 - 20:38
Сообщение #629


Учитель
Group Icon
Группа: Модераторы
Регистрация: 16.05.2010
Пользователь №: 21 553


Цитата(доктор морфолог @ 3.09.2014 - 13:20)
Тромбоэндокардит

Насколько я понял,париетальный ?
Пользователь offline
К началу страницы
+Ответить с цитированием
доктор морфолог
сообщение 11.09.2014 - 09:28
Сообщение #630


Мастер I

Группа: СМЭ
Регистрация: 5.12.2013
Пользователь №: 38 421


Цитата(Медик @ 10.09.2014 - 23:38)
Насколько я понял,париетальный ?

После инфаркта миокарда субэндокардиальной и интрамуральной локализации стенки левого желудочка. При париетальном более плотно оформленным с переходом в миокард (как фиброэластоз м.б.) а здесь молодая и по локализации не перегородочная, париетальная часть полости желудочка, но не Леффлера( поражение и эндокарда и миокарда).

Сообщение отредактировал доктор морфолог - 11.09.2014 - 10:55
Пользователь offline
К началу страницы
+Ответить с цитированием

75 страниц V « < 40 41 42 43 44 > » 



- Обратная связь Сейчас: 13.10.2025 - 22:05