Здравствуйте, гость ( Вход | Регистрация )

Форум судебных медиков России
>   Правила раздела >

Здесь обсуждаются вопросы судебно-медицинской танатологии и судебно-медицинской гистологии.

 
75 страниц V « < 41 42 43 44 45 > »   
>

Просто иллюстрации, фотографии интересных случаев

Рейтинг  5
>
Медик
сообщение 11.09.2014 - 10:18
Сообщение #631


Учитель
Group Icon
Группа: Модераторы
Регистрация: 16.05.2010
Пользователь №: 21 553


Эндокардит по локализации:
1.Клапанный.
2.Хордальный.
3.Париетальный.
Пользователь offline
К началу страницы
+Ответить с цитированием
доктор морфолог
сообщение 11.09.2014 - 10:56
Сообщение #632


Мастер I

Группа: СМЭ
Регистрация: 5.12.2013
Пользователь №: 38 421


Макро-ожирение сердца, микро- липоматоз( интерстиция миокарда инфильтрированы жировыми клетками)

Цитата(Медик @ 11.09.2014 - 13:18)
Эндокардит по локализации:
1.Клапанный.
2.Хордальный.
3.Париетальный.

Спасибо, за информацию.


Эскизы прикрепленных изображений
Судебная медицина - Прикрепленное изображение Судебная медицина - Прикрепленное изображение Судебная медицина - Прикрепленное изображение Судебная медицина - Прикрепленное изображение Судебная медицина - Прикрепленное изображение Судебная медицина - Прикрепленное изображение Судебная медицина - Прикрепленное изображение Судебная медицина - Прикрепленное изображение Судебная медицина - Прикрепленное изображение Судебная медицина - Прикрепленное изображение
Пользователь offline
К началу страницы
+Ответить с цитированием
доктор морфолог
сообщение 12.09.2014 - 09:45
Сообщение #633


Мастер I

Группа: СМЭ
Регистрация: 5.12.2013
Пользователь №: 38 421


Мягкая странгуляционная борозда при повешении - роговой слой отсутствует, ядра клеток эпидермиса вытянутой формы расположены косо и параллельно поверхности кожи, сосочковый слой сглажен, потовые железы уплощены, волосяной фолликул и сальные железы умерено уплощены, на периферии венозное полнокровие.Прижизненные признаки - кровоизлияние в подкожной клетчатке, нервный стволик разрыхлен.

Сообщение отредактировал доктор морфолог - 12.09.2014 - 09:47


Эскизы прикрепленных изображений
Судебная медицина - Прикрепленное изображение Судебная медицина - Прикрепленное изображение Судебная медицина - Прикрепленное изображение Судебная медицина - Прикрепленное изображение Судебная медицина - Прикрепленное изображение Судебная медицина - Прикрепленное изображение Судебная медицина - Прикрепленное изображение Судебная медицина - Прикрепленное изображение Судебная медицина - Прикрепленное изображение Судебная медицина - Прикрепленное изображение Судебная медицина - Прикрепленное изображение
Пользователь offline
К началу страницы
+Ответить с цитированием
доктор морфолог
сообщение 12.09.2014 - 12:49
Сообщение #634


Мастер I

Группа: СМЭ
Регистрация: 5.12.2013
Пользователь №: 38 421


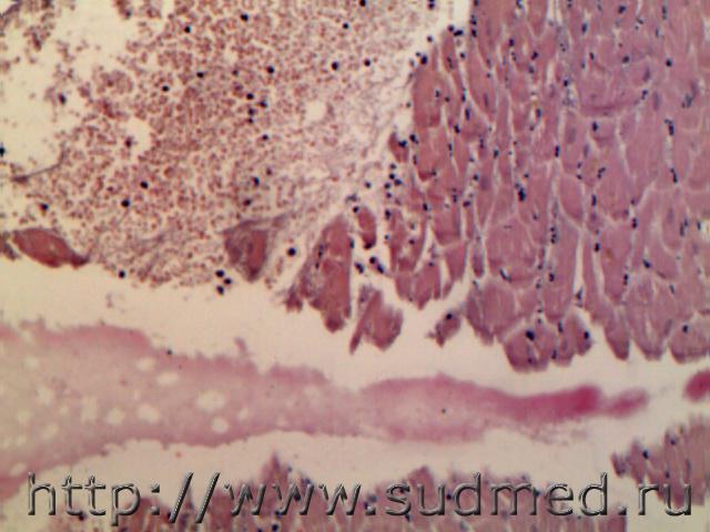
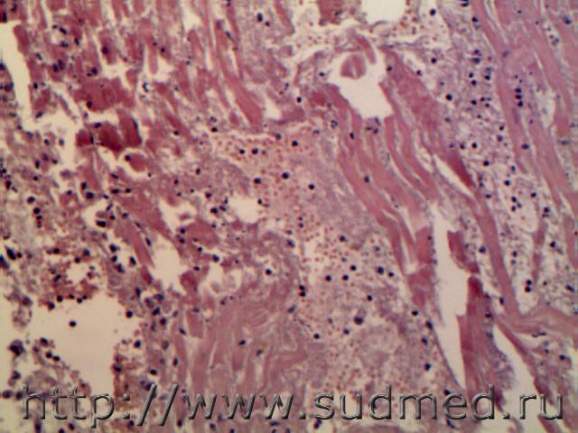
Острый трансмуральный инфаркт миокарда(некроз кардиомиоцитов, лейкоцитарная демаркационная зона, разрыв стенки желудочка( кровоизлияние со свежими эритроцитами в толще миокарда с распространением в жировую ткань эпикарда), гемотампонада перикарда.

Сообщение отредактировал доктор морфолог - 12.09.2014 - 12:51


Эскизы прикрепленных изображений
Судебная медицина - Прикрепленное изображение Судебная медицина - Прикрепленное изображение Судебная медицина - Прикрепленное изображение Судебная медицина - Прикрепленное изображение Судебная медицина - Прикрепленное изображение Судебная медицина - Прикрепленное изображение Судебная медицина - Прикрепленное изображение Судебная медицина - Прикрепленное изображение Судебная медицина - Прикрепленное изображение Судебная медицина - Прикрепленное изображение Судебная медицина - Прикрепленное изображение Судебная медицина - Прикрепленное изображение
Пользователь offline
К началу страницы
+Ответить с цитированием
доктор морфолог
сообщение 15.09.2014 - 12:24
Сообщение #635


Мастер I

Группа: СМЭ
Регистрация: 5.12.2013
Пользователь №: 38 421


Электрометка кожи( пустоты в толще рогового слоя, между роговым и эпиедрмисом, между эпидермисом и сосочковым слоем, видны метелки, хребты-сосочки). по Перльсу видны металлизация(фото7.8.9.10.11) в виде берлинской лазури.

Сообщение отредактировал доктор морфолог - 15.09.2014 - 12:27


Эскизы прикрепленных изображений
Судебная медицина - Прикрепленное изображение Судебная медицина - Прикрепленное изображение Судебная медицина - Прикрепленное изображение Судебная медицина - Прикрепленное изображение Судебная медицина - Прикрепленное изображение Судебная медицина - Прикрепленное изображение Судебная медицина - Прикрепленное изображение Судебная медицина - Прикрепленное изображение Судебная медицина - Прикрепленное изображение Судебная медицина - Прикрепленное изображение Судебная медицина - Прикрепленное изображение Судебная медицина - Прикрепленное изображение
Пользователь offline
К началу страницы
+Ответить с цитированием
Медик
сообщение 16.09.2014 - 10:00
Сообщение #636


Учитель
Group Icon
Группа: Модераторы
Регистрация: 16.05.2010
Пользователь №: 21 553


Пролежни.


Эскизы прикрепленных изображений
Судебная медицина - Прикрепленное изображение
Пользователь offline
К началу страницы
+Ответить с цитированием
доктор морфолог
сообщение 17.09.2014 - 12:24
Сообщение #637


Мастер I

Группа: СМЭ
Регистрация: 5.12.2013
Пользователь №: 38 421


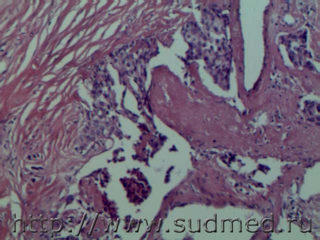
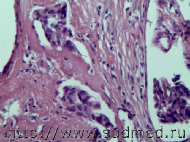
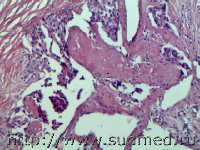
Эндометриальный полип( эпителий желез секреторного типа), местами артефактная инвагинация желез.


Эскизы прикрепленных изображений
Судебная медицина - Прикрепленное изображение Судебная медицина - Прикрепленное изображение Судебная медицина - Прикрепленное изображение Судебная медицина - Прикрепленное изображение Судебная медицина - Прикрепленное изображение Судебная медицина - Прикрепленное изображение Судебная медицина - Прикрепленное изображение Судебная медицина - Прикрепленное изображение Судебная медицина - Прикрепленное изображение
Пользователь offline
К началу страницы
+Ответить с цитированием
доктор морфолог
сообщение 17.09.2014 - 12:44
Сообщение #638


Мастер I

Группа: СМЭ
Регистрация: 5.12.2013
Пользователь №: 38 421


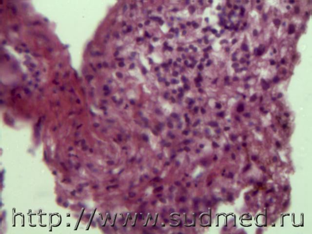
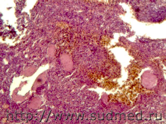
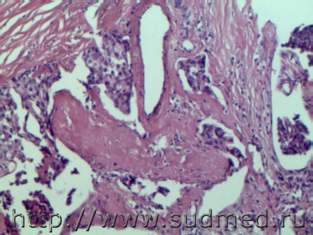
Разрыв селезенки и почки после травмы(биопсия - нефроспленэктомии), очаги кровоизлияния в паренхиме селезенки и почки с лейкоцитарной реакцией.


Эскизы прикрепленных изображений
Судебная медицина - Прикрепленное изображение Судебная медицина - Прикрепленное изображение Судебная медицина - Прикрепленное изображение Судебная медицина - Прикрепленное изображение Судебная медицина - Прикрепленное изображение Судебная медицина - Прикрепленное изображение Судебная медицина - Прикрепленное изображение Судебная медицина - Прикрепленное изображение Судебная медицина - Прикрепленное изображение Судебная медицина - Прикрепленное изображение Судебная медицина - Прикрепленное изображение Судебная медицина - Прикрепленное изображение Судебная медицина - Прикрепленное изображение
Пользователь offline
К началу страницы
+Ответить с цитированием
доктор морфолог
сообщение 17.09.2014 - 12:52
Сообщение #639


Мастер I

Группа: СМЭ
Регистрация: 5.12.2013
Пользователь №: 38 421


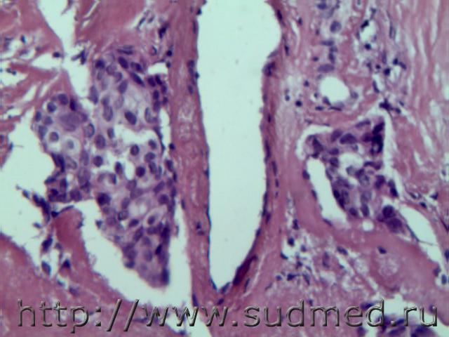
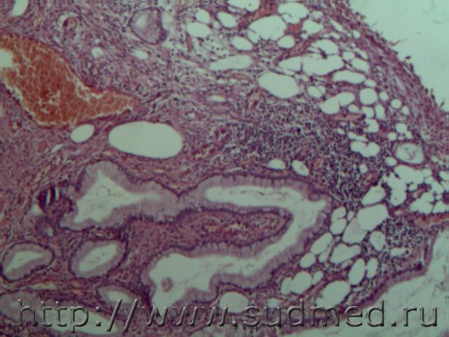
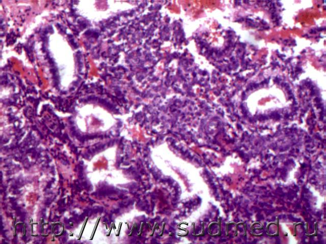
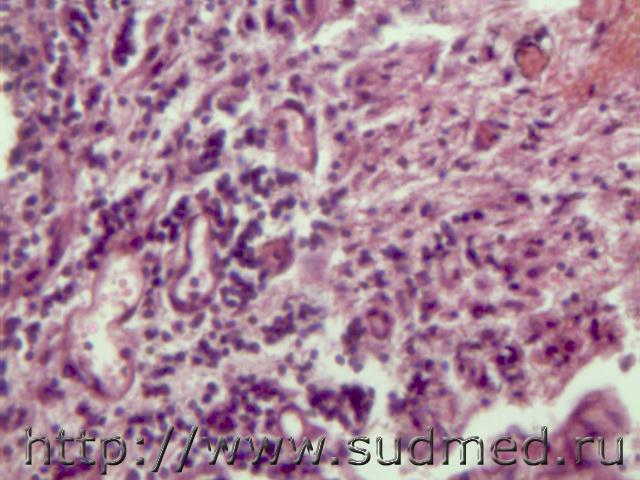
Маточная труба после самопроизвольного аборта, во фрагменте стенки остатки децидуальной ткани, отечные слизистые (предворсинчатое состояние), гемосальпинкс.


Эскизы прикрепленных изображений
Судебная медицина - Прикрепленное изображение Судебная медицина - Прикрепленное изображение Судебная медицина - Прикрепленное изображение Судебная медицина - Прикрепленное изображение Судебная медицина - Прикрепленное изображение Судебная медицина - Прикрепленное изображение Судебная медицина - Прикрепленное изображение Судебная медицина - Прикрепленное изображение Судебная медицина - Прикрепленное изображение
Пользователь offline
К началу страницы
+Ответить с цитированием
Медик
сообщение 17.09.2014 - 23:19
Сообщение #640


Учитель
Group Icon
Группа: Модераторы
Регистрация: 16.05.2010
Пользователь №: 21 553


Цитата(доктор морфолог @ 17.09.2014 - 13:44)
(биопсия - нефроспленэктомии)

Это не биопсия,а операционный материал.

Сообщение отредактировал Медик - 17.09.2014 - 23:19
Пользователь offline
К началу страницы
+Ответить с цитированием
доктор морфолог
сообщение 18.09.2014 - 07:52
Сообщение #641


Мастер I

Группа: СМЭ
Регистрация: 5.12.2013
Пользователь №: 38 421


Цитата(Медик @ 18.09.2014 - 02:19)
Это не биопсия,а операционный материал.

Верно.

Сообщение отредактировал Медик - 1.11.2014 - 20:37
Пользователь offline
К началу страницы
+Ответить с цитированием
доктор морфолог
сообщение 18.09.2014 - 10:03
Сообщение #642


Мастер I

Группа: СМЭ
Регистрация: 5.12.2013
Пользователь №: 38 421


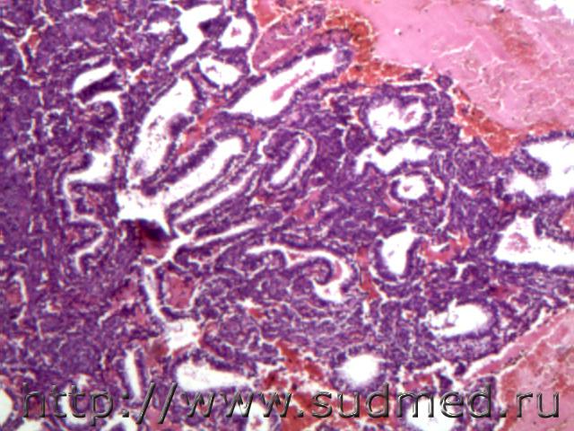
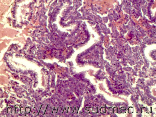
Железистая гиперплазия эндометрия, простая форма.


Эскизы прикрепленных изображений
Судебная медицина - Прикрепленное изображение Судебная медицина - Прикрепленное изображение Судебная медицина - Прикрепленное изображение Судебная медицина - Прикрепленное изображение Судебная медицина - Прикрепленное изображение Судебная медицина - Прикрепленное изображение Судебная медицина - Прикрепленное изображение Судебная медицина - Прикрепленное изображение
Пользователь offline
К началу страницы
+Ответить с цитированием
доктор морфолог
сообщение 19.09.2014 - 08:03
Сообщение #643


Мастер I

Группа: СМЭ
Регистрация: 5.12.2013
Пользователь №: 38 421


Воспаление шейки матки( экопия, эрозия и т.д.)строма круглоклеточная( лимфоциты, плазматические клетки, сосуды полнокровные, железы в состоянии секреции. В местах эксцизии 6 фото( незначительная вольт) ядра эпителии желез в виде метельки!

Сообщение отредактировал доктор морфолог - 19.09.2014 - 08:04


Эскизы прикрепленных изображений
Судебная медицина - Прикрепленное изображение Судебная медицина - Прикрепленное изображение Судебная медицина - Прикрепленное изображение Судебная медицина - Прикрепленное изображение Судебная медицина - Прикрепленное изображение Судебная медицина - Прикрепленное изображение Судебная медицина - Прикрепленное изображение Судебная медицина - Прикрепленное изображение Судебная медицина - Прикрепленное изображение Судебная медицина - Прикрепленное изображение Судебная медицина - Прикрепленное изображение
Пользователь offline
К началу страницы
+Ответить с цитированием
доктор морфолог
сообщение 19.09.2014 - 10:33
Сообщение #644


Мастер I

Группа: СМЭ
Регистрация: 5.12.2013
Пользователь №: 38 421


Карцинома молочной железы(биопсия) с инфильтрацией, наблюдается гиалиноз.

Сообщение отредактировал доктор морфолог - 19.09.2014 - 10:36


Эскизы прикрепленных изображений
Судебная медицина - Прикрепленное изображение Судебная медицина - Прикрепленное изображение Судебная медицина - Прикрепленное изображение Судебная медицина - Прикрепленное изображение Судебная медицина - Прикрепленное изображение Судебная медицина - Прикрепленное изображение Судебная медицина - Прикрепленное изображение Судебная медицина - Прикрепленное изображение Судебная медицина - Прикрепленное изображение Судебная медицина - Прикрепленное изображение Судебная медицина - Прикрепленное изображение
Пользователь offline
К началу страницы
+Ответить с цитированием
Медик
сообщение 19.09.2014 - 12:04
Сообщение #645


Учитель
Group Icon
Группа: Модераторы
Регистрация: 16.05.2010
Пользователь №: 21 553


Привратникавая часть желудка,малая кривизна (снаружи).Гастроинтестинальная опухоль.


Эскизы прикрепленных изображений
Судебная медицина - Прикрепленное изображение Судебная медицина - Прикрепленное изображение
Пользователь offline
К началу страницы
+Ответить с цитированием

75 страниц V « < 41 42 43 44 45 > » 



- Обратная связь Сейчас: 13.10.2025 - 19:55