Здравствуйте, гость ( Вход | Регистрация )

Форум судебных медиков России
>   Правила раздела >

Здесь обсуждаются вопросы судебно-медицинской танатологии и судебно-медицинской гистологии.

 
75 страниц V « < 42 43 44 45 46 > »   
>

Просто иллюстрации, фотографии интересных случаев

Рейтинг  5
>
fbc_v
сообщение 20.09.2014 - 10:59
Сообщение #646


Знаток форума
Group Icon
Группа: СМЭ
Регистрация: 18.04.2012
Пользователь №: 32 515


Альвеококкоз правой доли печени (прошу прощения за качество снимков - под рукой был только телефон)


Эскизы прикрепленных изображений
Судебная медицина - Прикрепленное изображение Судебная медицина - Прикрепленное изображение
Пользователь offline
К началу страницы
+Ответить с цитированием
доктор морфолог
сообщение 23.09.2014 - 11:03
Сообщение #647


Мастер I

Группа: СМЭ
Регистрация: 5.12.2013
Пользователь №: 38 421


Слизистый рак(карцинома) молочной железы с плоскоклеточной метаплазией( опухолевые клетки в слизистой основе, клетки с вакуолизацией, эмболизацией сосудов(биопсия после серийного среза той же карциномы в сообщении 697).

Сообщение отредактировал доктор морфолог - 23.09.2014 - 11:09


Эскизы прикрепленных изображений
Судебная медицина - Прикрепленное изображение Судебная медицина - Прикрепленное изображение Судебная медицина - Прикрепленное изображение Судебная медицина - Прикрепленное изображение Судебная медицина - Прикрепленное изображение Судебная медицина - Прикрепленное изображение Судебная медицина - Прикрепленное изображение Судебная медицина - Прикрепленное изображение Судебная медицина - Прикрепленное изображение Судебная медицина - Прикрепленное изображение Судебная медицина - Прикрепленное изображение Судебная медицина - Прикрепленное изображение
Пользователь offline
К началу страницы
+Ответить с цитированием
доктор морфолог
сообщение 24.09.2014 - 11:32
Сообщение #648


Мастер I

Группа: СМЭ
Регистрация: 5.12.2013
Пользователь №: 38 421


Гуммозный мезаортит, расслоение,аневризма, разрыв стенки и кровоизлияние( плазматические клетки, мукоидная дезорганизация коллагеновых волокон и.т.)


Эскизы прикрепленных изображений
Судебная медицина - Прикрепленное изображение Судебная медицина - Прикрепленное изображение Судебная медицина - Прикрепленное изображение Судебная медицина - Прикрепленное изображение Судебная медицина - Прикрепленное изображение Судебная медицина - Прикрепленное изображение Судебная медицина - Прикрепленное изображение Судебная медицина - Прикрепленное изображение Судебная медицина - Прикрепленное изображение Судебная медицина - Прикрепленное изображение Судебная медицина - Прикрепленное изображение Судебная медицина - Прикрепленное изображение
Пользователь offline
К началу страницы
+Ответить с цитированием
доктор морфолог
сообщение 25.09.2014 - 09:25
Сообщение #649


Мастер I

Группа: СМЭ
Регистрация: 5.12.2013
Пользователь №: 38 421


Цирроз печени, кровотечение из варикозно-расширенных вен пищевода вследствие портальной гипертензии.


Эскизы прикрепленных изображений
Судебная медицина - Прикрепленное изображение Судебная медицина - Прикрепленное изображение Судебная медицина - Прикрепленное изображение Судебная медицина - Прикрепленное изображение Судебная медицина - Прикрепленное изображение Судебная медицина - Прикрепленное изображение Судебная медицина - Прикрепленное изображение Судебная медицина - Прикрепленное изображение Судебная медицина - Прикрепленное изображение Судебная медицина - Прикрепленное изображение
Пользователь offline
К началу страницы
+Ответить с цитированием
Медик
сообщение 25.09.2014 - 10:01
Сообщение #650


Учитель
Group Icon
Группа: Модераторы
Регистрация: 16.05.2010
Пользователь №: 21 553


Тромбоэмболический синдром :тромбоэмболия подколенных артерий и т.д.Гангрена нижних конечностей.

Сообщение отредактировал Медик - 25.09.2014 - 16:07


Эскизы прикрепленных изображений
Судебная медицина - Прикрепленное изображение
Пользователь offline
К началу страницы
+Ответить с цитированием
Медик
сообщение 25.09.2014 - 11:38
Сообщение #651


Учитель
Group Icon
Группа: Модераторы
Регистрация: 16.05.2010
Пользователь №: 21 553


Разорванная аневризма правой средней мозговой артерии.
Препарат промыт водой.


Эскизы прикрепленных изображений
Судебная медицина - Прикрепленное изображение Судебная медицина - Прикрепленное изображение
Пользователь offline
К началу страницы
+Ответить с цитированием
доктор морфолог
сообщение 26.09.2014 - 11:19
Сообщение #652


Мастер I

Группа: СМЭ
Регистрация: 5.12.2013
Пользователь №: 38 421


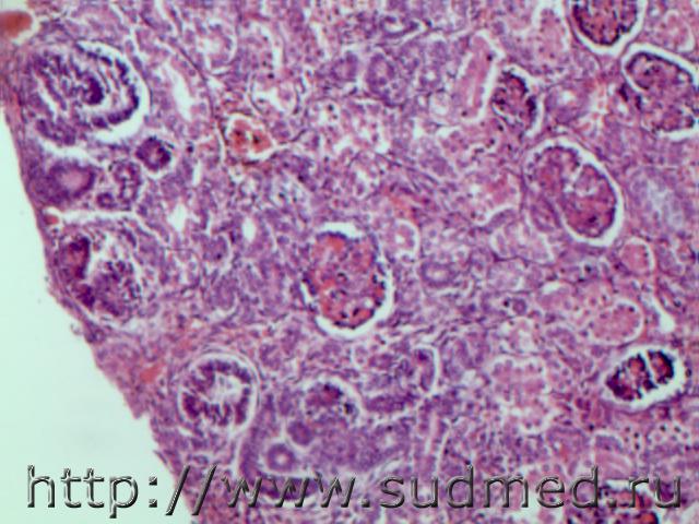
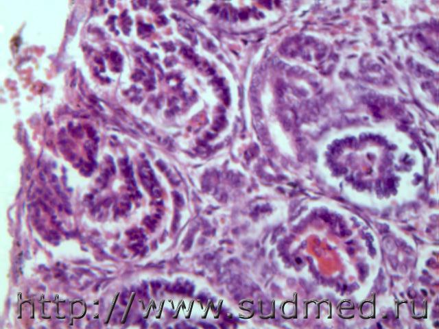
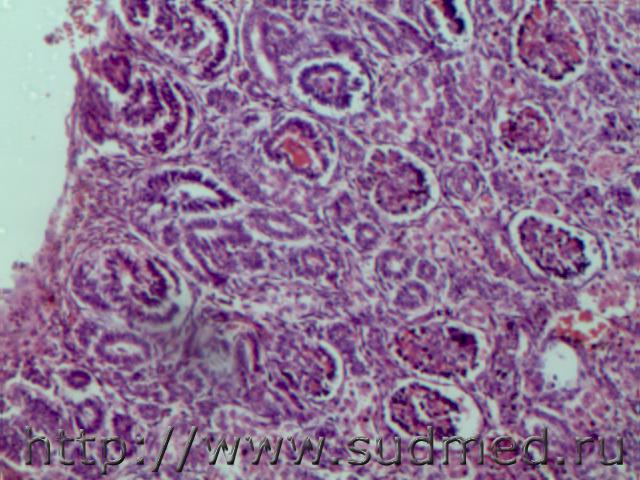
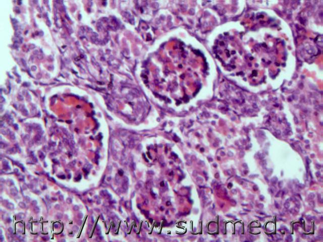
Незрелость почки: субкапсулярные примитивные клубочки- если 3 слоя к 22нед., 2 слоя к 26 нед.,1 слой к 34 недельному сроку внутриутробного развития соответствует. А вообще гломерулогенез заканчивается к 36 недель в/у. Здесь 2 слоя т.е. равно к 26 недель в/у сроку развития.

Сообщение отредактировал доктор морфолог - 26.09.2014 - 11:21


Эскизы прикрепленных изображений
Судебная медицина - Прикрепленное изображение Судебная медицина - Прикрепленное изображение Судебная медицина - Прикрепленное изображение Судебная медицина - Прикрепленное изображение Судебная медицина - Прикрепленное изображение Судебная медицина - Прикрепленное изображение Судебная медицина - Прикрепленное изображение Судебная медицина - Прикрепленное изображение Судебная медицина - Прикрепленное изображение
Пользователь offline
К началу страницы
+Ответить с цитированием
доктор морфолог
сообщение 29.09.2014 - 07:38
Сообщение #653


Мастер I

Группа: СМЭ
Регистрация: 5.12.2013
Пользователь №: 38 421


Эхинококк печени с хитиновой оболочкой, кальцинизацией и в просвете кристаллики золотистого цвета желчного генеза(макро диаметром 1.2/2 см., округлой формы, стенка местами плотноватая, на разрезе в полости конкременты)

Сообщение отредактировал доктор морфолог - 29.09.2014 - 07:41


Эскизы прикрепленных изображений
Судебная медицина - Прикрепленное изображение Судебная медицина - Прикрепленное изображение Судебная медицина - Прикрепленное изображение Судебная медицина - Прикрепленное изображение Судебная медицина - Прикрепленное изображение Судебная медицина - Прикрепленное изображение Судебная медицина - Прикрепленное изображение Судебная медицина - Прикрепленное изображение Судебная медицина - Прикрепленное изображение Судебная медицина - Прикрепленное изображение
Пользователь offline
К началу страницы
+Ответить с цитированием
доктор морфолог
сообщение 30.09.2014 - 11:15
Сообщение #654


Мастер I

Группа: СМЭ
Регистрация: 5.12.2013
Пользователь №: 38 421


Пролиферирующая муцинозная киста яичника, желтое тело с кровоизлиянием, фолликулярные мелкие кисты( операционный материал)


Эскизы прикрепленных изображений
Судебная медицина - Прикрепленное изображение Судебная медицина - Прикрепленное изображение Судебная медицина - Прикрепленное изображение Судебная медицина - Прикрепленное изображение Судебная медицина - Прикрепленное изображение Судебная медицина - Прикрепленное изображение Судебная медицина - Прикрепленное изображение Судебная медицина - Прикрепленное изображение Судебная медицина - Прикрепленное изображение
Пользователь offline
К началу страницы
+Ответить с цитированием
Медик
сообщение 30.09.2014 - 18:12
Сообщение #655


Учитель
Group Icon
Группа: Модераторы
Регистрация: 16.05.2010
Пользователь №: 21 553


Не пограничная ли муцинозная киста ?
Пользователь offline
К началу страницы
+Ответить с цитированием
доктор морфолог
сообщение 1.10.2014 - 10:52
Сообщение #656


Мастер I

Группа: СМЭ
Регистрация: 5.12.2013
Пользователь №: 38 421


Цитата(Медик @ 30.09.2014 - 21:12)
Не пограничная ли муцинозная киста ?

Да, где пролиферация и там нарушение строения уже низким злом без инвазии в нормальную ткань.

Сообщение отредактировал доктор морфолог - 1.10.2014 - 11:25
Пользователь offline
К началу страницы
+Ответить с цитированием
Медик
сообщение 1.10.2014 - 13:22
Сообщение #657


Учитель
Group Icon
Группа: Модераторы
Регистрация: 16.05.2010
Пользователь №: 21 553


Пластика пищевода толстой кишкой в прошлом после химического ожога.

Сообщение отредактировал Медик - 1.10.2014 - 18:18


Эскизы прикрепленных изображений
Судебная медицина - Прикрепленное изображение Судебная медицина - Прикрепленное изображение
Пользователь offline
К началу страницы
+Ответить с цитированием
Медик
сообщение 1.10.2014 - 13:41
Сообщение #658


Учитель
Group Icon
Группа: Модераторы
Регистрация: 16.05.2010
Пользователь №: 21 553


Расслоение аорты.


Эскизы прикрепленных изображений
Судебная медицина - Прикрепленное изображение
Пользователь offline
К началу страницы
+Ответить с цитированием
доктор морфолог
сообщение 2.10.2014 - 08:32
Сообщение #659


Мастер I

Группа: СМЭ
Регистрация: 5.12.2013
Пользователь №: 38 421


Отравление антифризом(этиленгликоль).)Кристаллики оксилата кальция в просвете канальцев почки(прозрачные бесцветные кристаллики).Некронефроз.


Эскизы прикрепленных изображений
Судебная медицина - Прикрепленное изображение Судебная медицина - Прикрепленное изображение Судебная медицина - Прикрепленное изображение Судебная медицина - Прикрепленное изображение Судебная медицина - Прикрепленное изображение Судебная медицина - Прикрепленное изображение Судебная медицина - Прикрепленное изображение Судебная медицина - Прикрепленное изображение Судебная медицина - Прикрепленное изображение Судебная медицина - Прикрепленное изображение
Пользователь offline
К началу страницы
+Ответить с цитированием
Norman
сообщение 3.10.2014 - 10:56
Сообщение #660


Авторитетный участник

Группа: СМЭ
Регистрация: 2.01.2010
Пользователь №: 19 127


стенозирующий атеросклероз венечной артерии с изъязвлением бляшки и пристеночным тромбозом (стадия осложненных поражений)


Эскизы прикрепленных изображений
Судебная медицина - Прикрепленное изображение Судебная медицина - Прикрепленное изображение
Пользователь offline
К началу страницы
+Ответить с цитированием

75 страниц V « < 42 43 44 45 46 > » 



- Обратная связь Сейчас: 13.10.2025 - 19:55