Здравствуйте, гость ( Вход | Регистрация )

Форум судебных медиков России
>   Правила раздела >

Здесь обсуждаются вопросы судебно-медицинской танатологии и судебно-медицинской гистологии.

 
75 страниц V « < 43 44 45 46 47 > »   
>

Просто иллюстрации, фотографии интересных случаев

Рейтинг  5
>
Norman
сообщение 3.10.2014 - 11:04
Сообщение #661


Авторитетный участник

Группа: СМЭ
Регистрация: 2.01.2010
Пользователь №: 19 127


Рак легкого с прорастанием в перикард, с метастазированием в эпикард и миокард, реактивный перикардит


Эскизы прикрепленных изображений
Судебная медицина - Прикрепленное изображение Судебная медицина - Прикрепленное изображение
Пользователь offline
К началу страницы
+Ответить с цитированием
доктор морфолог
сообщение 3.10.2014 - 11:57
Сообщение #662


Мастер I

Группа: СМЭ
Регистрация: 5.12.2013
Пользователь №: 38 421


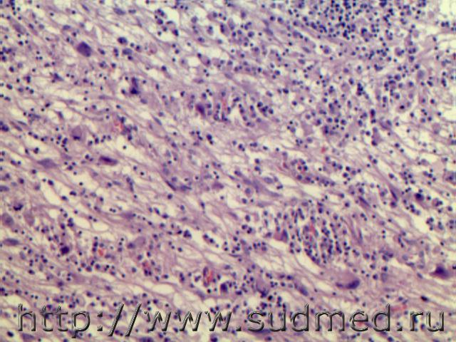
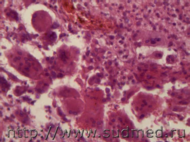
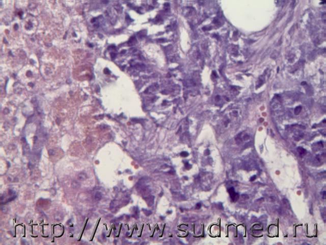
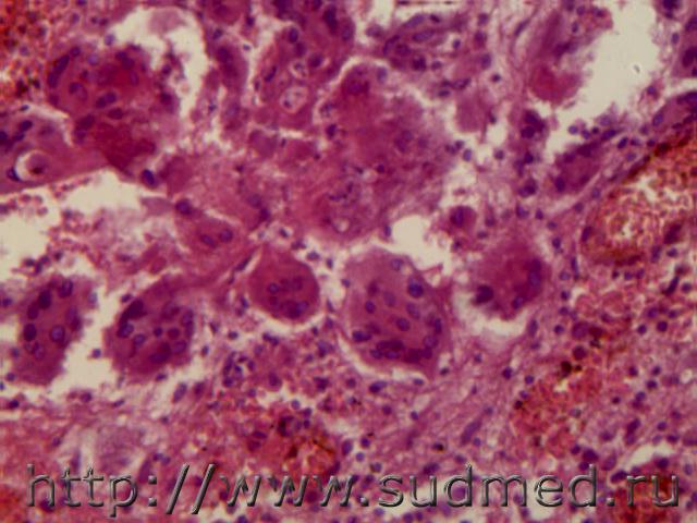
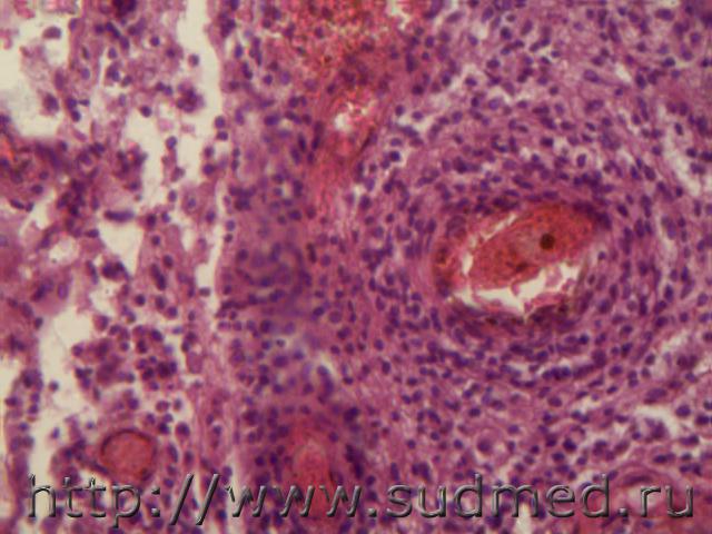
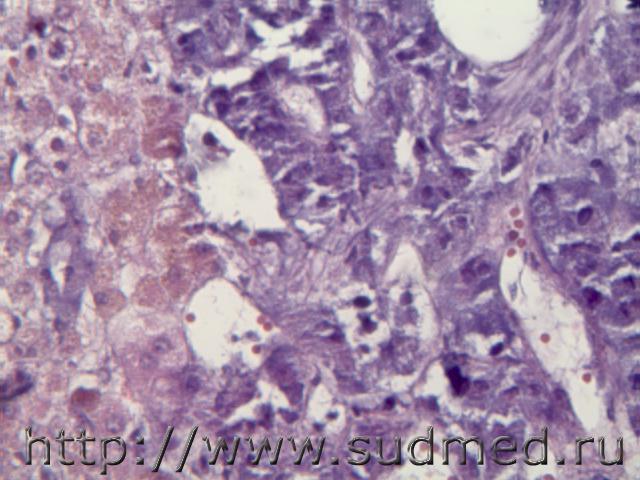
Плеоморфная ксантоастроцитома( кроме тучных астроцитомных клеток видны гигантские клетки - монстры, наблюдается фибриллярность, продуктивный васкулит) Редко встречаются.


Эскизы прикрепленных изображений
Судебная медицина - Прикрепленное изображение Судебная медицина - Прикрепленное изображение Судебная медицина - Прикрепленное изображение Судебная медицина - Прикрепленное изображение Судебная медицина - Прикрепленное изображение Судебная медицина - Прикрепленное изображение Судебная медицина - Прикрепленное изображение Судебная медицина - Прикрепленное изображение Судебная медицина - Прикрепленное изображение Судебная медицина - Прикрепленное изображение Судебная медицина - Прикрепленное изображение Судебная медицина - Прикрепленное изображение
Пользователь offline
К началу страницы
+Ответить с цитированием
доктор морфолог
сообщение 6.10.2014 - 13:32
Сообщение #663


Мастер I

Группа: СМЭ
Регистрация: 5.12.2013
Пользователь №: 38 421


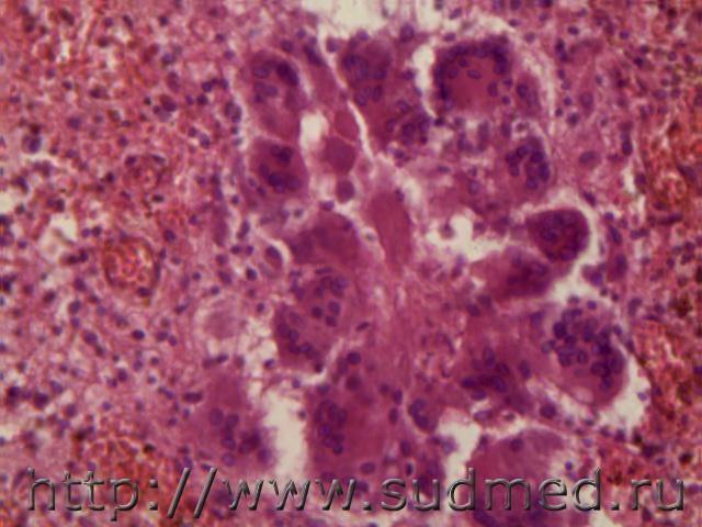
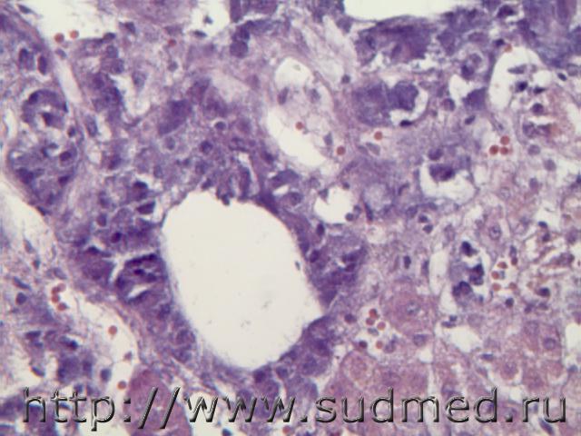
Гигантоклеточная гранулема(опухоль)лица(операционный материал) М.23года.Клинический диагноз- кистозное образование лица.

Сообщение отредактировал доктор морфолог - 6.10.2014 - 13:34


Эскизы прикрепленных изображений
Судебная медицина - Прикрепленное изображение Судебная медицина - Прикрепленное изображение Судебная медицина - Прикрепленное изображение Судебная медицина - Прикрепленное изображение Судебная медицина - Прикрепленное изображение Судебная медицина - Прикрепленное изображение Судебная медицина - Прикрепленное изображение Судебная медицина - Прикрепленное изображение Судебная медицина - Прикрепленное изображение Судебная медицина - Прикрепленное изображение Судебная медицина - Прикрепленное изображение Судебная медицина - Прикрепленное изображение Судебная медицина - Прикрепленное изображение
Пользователь offline
К началу страницы
+Ответить с цитированием
Медик
сообщение 6.10.2014 - 14:44
Сообщение #664


Учитель
Group Icon
Группа: Модераторы
Регистрация: 16.05.2010
Пользователь №: 21 553


Смешанный инфаркт головного мозга.


Эскизы прикрепленных изображений
Судебная медицина - Прикрепленное изображение Судебная медицина - Прикрепленное изображение Судебная медицина - Прикрепленное изображение
Пользователь offline
К началу страницы
+Ответить с цитированием
Медик
сообщение 6.10.2014 - 14:51
Сообщение #665


Учитель
Group Icon
Группа: Модераторы
Регистрация: 16.05.2010
Пользователь №: 21 553


Цитата(доктор морфолог @ 6.10.2014 - 14:32)
Гигантоклеточная гранулема

Некоторые фото похожи на локализованную теносиновиальную гигантоклеточную опухоль (нодулярный теносиновит).
Пользователь offline
К началу страницы
+Ответить с цитированием
Медик
сообщение 7.10.2014 - 10:56
Сообщение #666


Учитель
Group Icon
Группа: Модераторы
Регистрация: 16.05.2010
Пользователь №: 21 553


Гангрена сигмовидной кишки.


Эскизы прикрепленных изображений
Судебная медицина - Прикрепленное изображение
Пользователь offline
К началу страницы
+Ответить с цитированием
Norman
сообщение 9.10.2014 - 06:58
Сообщение #667


Авторитетный участник

Группа: СМЭ
Регистрация: 2.01.2010
Пользователь №: 19 127


повреждения, причиненные медведем


Эскизы прикрепленных изображений
Судебная медицина - Прикрепленное изображение
Пользователь offline
К началу страницы
+Ответить с цитированием
Chivas
сообщение 9.10.2014 - 09:52
Сообщение #668


Мастер I
Group Icon
Группа: Модераторы
Регистрация: 17.02.2007
Из: Кубань
Пользователь №: 4 435


Цитата(Norman @ 9.10.2014 - 07:58)
повреждения, причиненные медведем

А причина смерти какая?
Пользователь offline
К началу страницы
+Ответить с цитированием
Norman
сообщение 9.10.2014 - 10:33
Сообщение #669


Авторитетный участник

Группа: СМЭ
Регистрация: 2.01.2010
Пользователь №: 19 127


Цитата(Chivas @ 9.10.2014 - 09:52)
А причина смерти какая?

Множественные повреждения органов и скелета. Часть органов (сердце, левое легкое, большая часть печени, желудок и почти весь кишечник) отсутствовали, но признаки прижизненности нанесения повреждений все таки были.
Пользователь offline
К началу страницы
+Ответить с цитированием
доктор морфолог
сообщение 9.10.2014 - 13:56
Сообщение #670


Мастер I

Группа: СМЭ
Регистрация: 5.12.2013
Пользователь №: 38 421


Цитата(Медик @ 6.10.2014 - 17:51)
Некоторые фото похожи на локализованную теносиновиальную гигантоклеточную опухоль (нодулярный теносиновит).

В принципе Вы правы по той причине, что они действительно похожие, их где только не бывает. Диагноз выставляют ученые с максимальной близости по топографии того или другого органа и ткани.
Пользователь offline
К началу страницы
+Ответить с цитированием
доктор морфолог
сообщение 10.10.2014 - 13:40
Сообщение #671


Мастер I

Группа: СМЭ
Регистрация: 5.12.2013
Пользователь №: 38 421


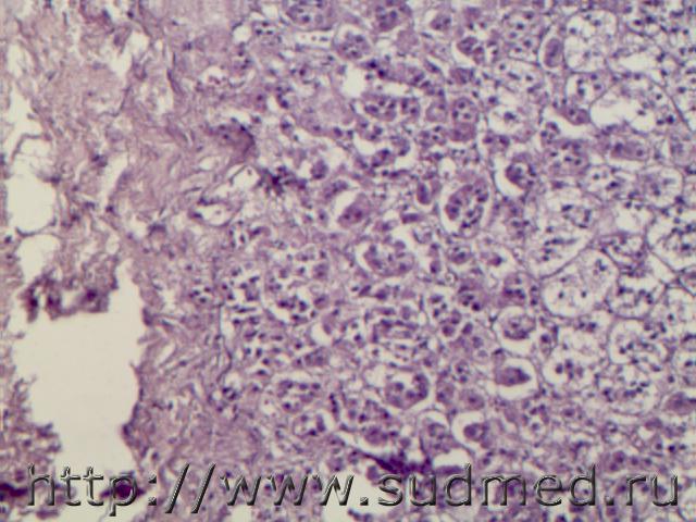
Опухоль из хроммафинной ткани из мозгового вещества надпочечника. Зрелая феохромоцитома, железисто-трабекулярный вариант. Крупные полигональные клетки с эксцентрично расположенными ядрами с базофильной цитоплазмой.

Сообщение отредактировал доктор морфолог - 10.10.2014 - 13:43


Эскизы прикрепленных изображений
Судебная медицина - Прикрепленное изображение Судебная медицина - Прикрепленное изображение Судебная медицина - Прикрепленное изображение Судебная медицина - Прикрепленное изображение Судебная медицина - Прикрепленное изображение Судебная медицина - Прикрепленное изображение Судебная медицина - Прикрепленное изображение Судебная медицина - Прикрепленное изображение Судебная медицина - Прикрепленное изображение Судебная медицина - Прикрепленное изображение Судебная медицина - Прикрепленное изображение Судебная медицина - Прикрепленное изображение
Пользователь offline
К началу страницы
+Ответить с цитированием
Медик
сообщение 13.10.2014 - 09:54
Сообщение #672


Учитель
Group Icon
Группа: Модераторы
Регистрация: 16.05.2010
Пользователь №: 21 553


Перфорация стенки сигмовидной кишки каловым камнем.


Эскизы прикрепленных изображений
Судебная медицина - Прикрепленное изображение Судебная медицина - Прикрепленное изображение
Пользователь offline
К началу страницы
+Ответить с цитированием
Медик
сообщение 13.10.2014 - 10:06
Сообщение #673


Учитель
Group Icon
Группа: Модераторы
Регистрация: 16.05.2010
Пользователь №: 21 553


Жировой гепатоз.


Эскизы прикрепленных изображений
Судебная медицина - Прикрепленное изображение
Пользователь offline
К началу страницы
+Ответить с цитированием
Anton
сообщение 16.10.2014 - 08:06
Сообщение #674


Мастер II

Группа: СМЭ
Регистрация: 6.12.2011
Из: Опорный край державы
Пользователь №: 30 279


Катетер в просвете правой подключичной, верхней полой вены, правом предсердии и желудочке (между передней и задней створками 3-х-створки), срезан при удалении за 2 года до смерти, концы эндотелизированы.


Эскизы прикрепленных изображений
Судебная медицина - Прикрепленное изображение
Пользователь offline
К началу страницы
+Ответить с цитированием
доктор морфолог
сообщение 17.10.2014 - 09:22
Сообщение #675


Мастер I

Группа: СМЭ
Регистрация: 5.12.2013
Пользователь №: 38 421


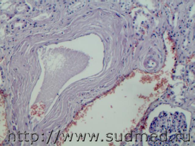
Склероз артерии мягкой мозговой оболочки и почки при генерализованном атеросклерозе..

Сообщение отредактировал доктор морфолог - 17.10.2014 - 09:23


Эскизы прикрепленных изображений
Судебная медицина - Прикрепленное изображение Судебная медицина - Прикрепленное изображение Судебная медицина - Прикрепленное изображение Судебная медицина - Прикрепленное изображение Судебная медицина - Прикрепленное изображение Судебная медицина - Прикрепленное изображение Судебная медицина - Прикрепленное изображение Судебная медицина - Прикрепленное изображение Судебная медицина - Прикрепленное изображение Судебная медицина - Прикрепленное изображение
Пользователь offline
К началу страницы
+Ответить с цитированием

75 страниц V « < 43 44 45 46 47 > » 



- Обратная связь Сейчас: 13.10.2025 - 18:08