Здравствуйте, гость ( Вход | Регистрация )

Форум судебных медиков России
>   Правила раздела >

Здесь обсуждаются вопросы судебно-медицинской танатологии и судебно-медицинской гистологии.

 
75 страниц V « < 44 45 46 47 48 > »   
>

Просто иллюстрации, фотографии интересных случаев

Рейтинг  5
>
Медик
сообщение 17.10.2014 - 10:48
Сообщение #676


Учитель
Group Icon
Группа: Модераторы
Регистрация: 16.05.2010
Пользователь №: 21 553


Кардиостимулятор.Провод кардиостимулятора в правых отделах сердца.Тромбы.


Эскизы прикрепленных изображений
Судебная медицина - Прикрепленное изображение Судебная медицина - Прикрепленное изображение
Пользователь offline
К началу страницы
+Ответить с цитированием
доктор морфолог
сообщение 17.10.2014 - 12:51
Сообщение #677


Мастер I

Группа: СМЭ
Регистрация: 5.12.2013
Пользователь №: 38 421


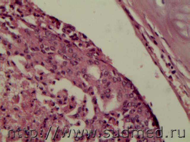
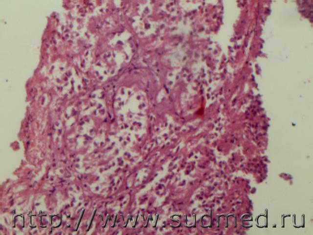
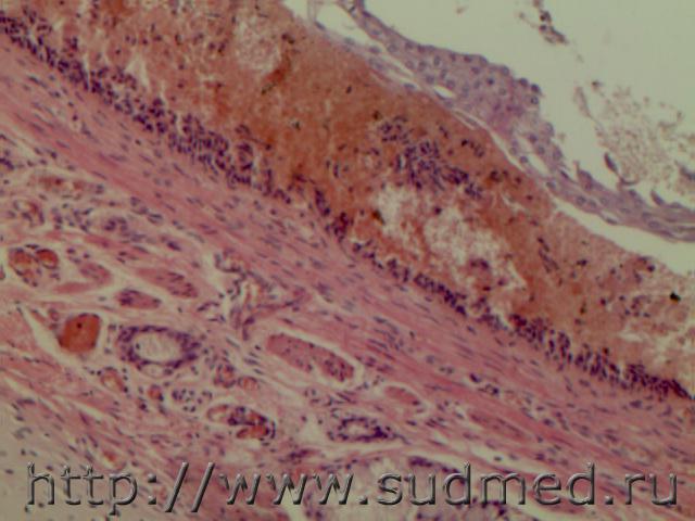
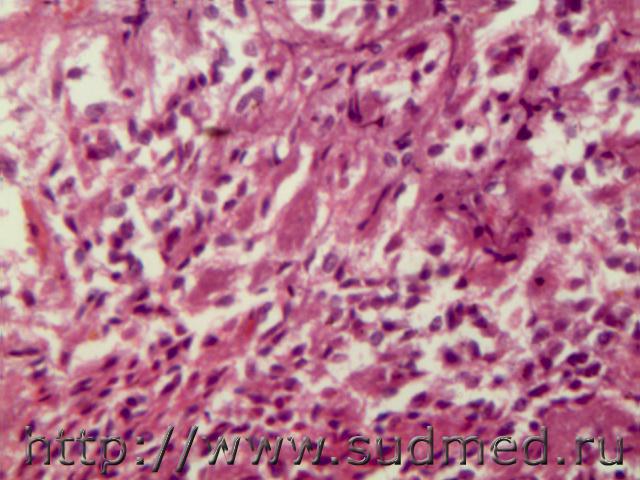
Железисто-кистозный вариант эрозии шейки матки(наблюдается секреция кистозно-расширенных желез, местами с лейкоцитарной инфильтрацией в строме и в просвете желез).


Эскизы прикрепленных изображений
Судебная медицина - Прикрепленное изображение Судебная медицина - Прикрепленное изображение Судебная медицина - Прикрепленное изображение Судебная медицина - Прикрепленное изображение Судебная медицина - Прикрепленное изображение Судебная медицина - Прикрепленное изображение Судебная медицина - Прикрепленное изображение Судебная медицина - Прикрепленное изображение Судебная медицина - Прикрепленное изображение Судебная медицина - Прикрепленное изображение Судебная медицина - Прикрепленное изображение
Пользователь offline
К началу страницы
+Ответить с цитированием
Медик
сообщение 17.10.2014 - 14:51
Сообщение #678


Учитель
Group Icon
Группа: Модераторы
Регистрация: 16.05.2010
Пользователь №: 21 553


Цитата(доктор морфолог @ 17.10.2014 - 13:51)
Железисто-кистозный вариант эрозии шейки матки.

Согласно последних классификаций на фото цервикальная эктопия.
Пользователь offline
К началу страницы
+Ответить с цитированием
fbc_v
сообщение 18.10.2014 - 07:34
Сообщение #679


Знаток форума
Group Icon
Группа: СМЭ
Регистрация: 18.04.2012
Пользователь №: 32 515


ЗЧМТ, кровоизлияния в ствол мозга


Эскизы прикрепленных изображений
Судебная медицина - Прикрепленное изображение Судебная медицина - Прикрепленное изображение Судебная медицина - Прикрепленное изображение
Пользователь offline
К началу страницы
+Ответить с цитированием
Медик
сообщение 21.10.2014 - 09:51
Сообщение #680


Учитель
Group Icon
Группа: Модераторы
Регистрация: 16.05.2010
Пользователь №: 21 553


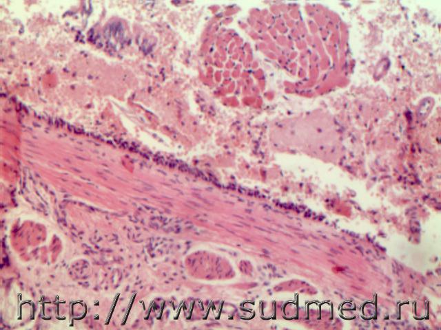
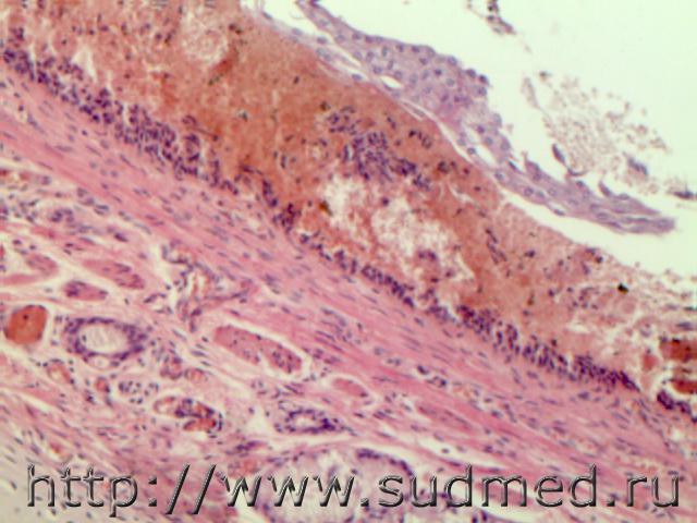
Расслоение аорты с разрывом.Гемоперикард.


Эскизы прикрепленных изображений
Судебная медицина - Прикрепленное изображение Судебная медицина - Прикрепленное изображение Судебная медицина - Прикрепленное изображение Судебная медицина - Прикрепленное изображение
Пользователь offline
К началу страницы
+Ответить с цитированием
доктор морфолог
сообщение 21.10.2014 - 12:00
Сообщение #681


Мастер I

Группа: СМЭ
Регистрация: 5.12.2013
Пользователь №: 38 421


Остроконечные кондиломы (кондиломатоз) опербиопматериал. Ж.32года.


Эскизы прикрепленных изображений
Судебная медицина - Прикрепленное изображение Судебная медицина - Прикрепленное изображение Судебная медицина - Прикрепленное изображение Судебная медицина - Прикрепленное изображение Судебная медицина - Прикрепленное изображение Судебная медицина - Прикрепленное изображение Судебная медицина - Прикрепленное изображение Судебная медицина - Прикрепленное изображение Судебная медицина - Прикрепленное изображение Судебная медицина - Прикрепленное изображение Судебная медицина - Прикрепленное изображение Судебная медицина - Прикрепленное изображение Судебная медицина - Прикрепленное изображение Судебная медицина - Прикрепленное изображение Судебная медицина - Прикрепленное изображение Судебная медицина - Прикрепленное изображение Судебная медицина - Прикрепленное изображение
Пользователь offline
К началу страницы
+Ответить с цитированием
доктор морфолог
сообщение 24.10.2014 - 12:52
Сообщение #682


Мастер I

Группа: СМЭ
Регистрация: 5.12.2013
Пользователь №: 38 421


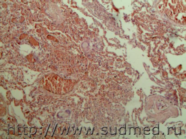
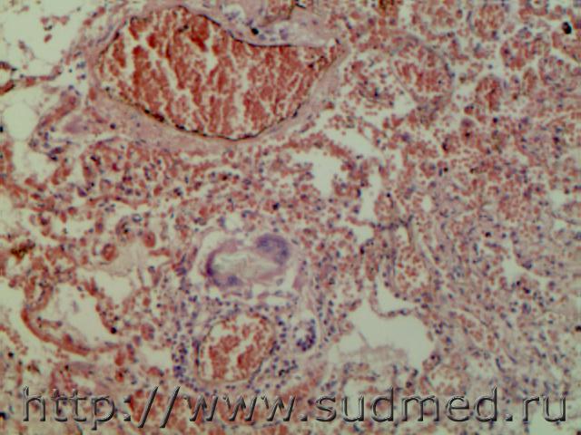
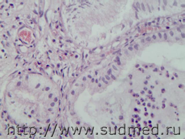
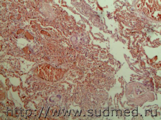
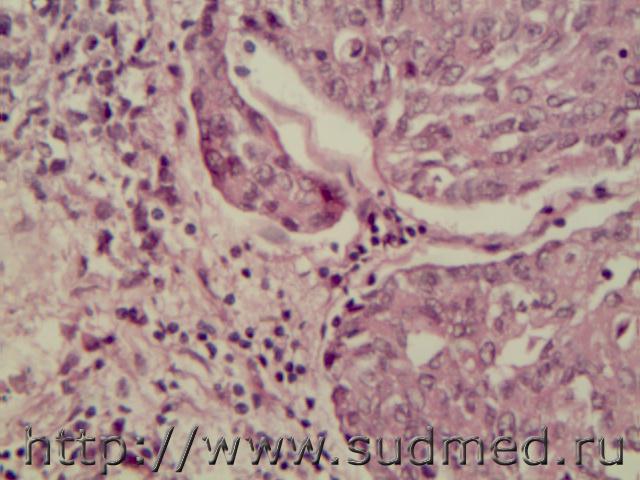
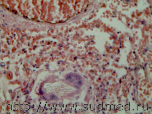
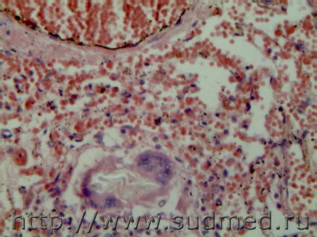
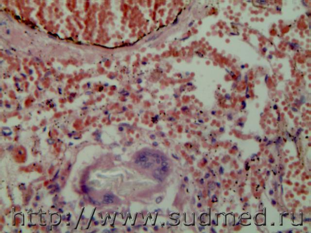
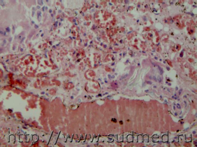
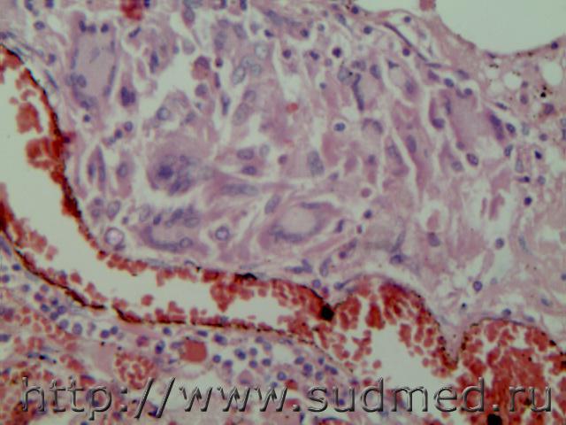
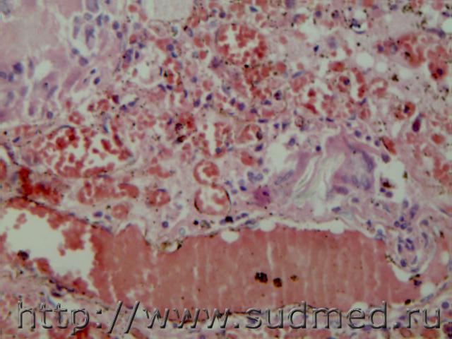
Отравление наркотическим веществом(продуктивный васкулит - муфтообразная круглоклеточная инфильтрация с многоядерными гигантскими клетками по типу инородных тел с наличием в просвете сосудов прозрачных кристаллоподных масс)полнокровие сосудов с эритродиапедезом в просвет альвеол, гемосидероз.

Сообщение отредактировал доктор морфолог - 24.10.2014 - 12:53


Эскизы прикрепленных изображений
Судебная медицина - Прикрепленное изображение Судебная медицина - Прикрепленное изображение Судебная медицина - Прикрепленное изображение Судебная медицина - Прикрепленное изображение Судебная медицина - Прикрепленное изображение Судебная медицина - Прикрепленное изображение Судебная медицина - Прикрепленное изображение Судебная медицина - Прикрепленное изображение Судебная медицина - Прикрепленное изображение Судебная медицина - Прикрепленное изображение Судебная медицина - Прикрепленное изображение
Пользователь offline
К началу страницы
+Ответить с цитированием
Витекс
сообщение 24.10.2014 - 14:57
Сообщение #683


Опытный участник

Группа: СМЭ
Регистрация: 27.01.2013
Из: Удмуртская Республика
Пользователь №: 35 431


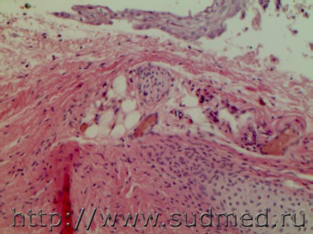
Смерть, 3200 мл крови в брюшной полости, парень 1976 г.р. Удар ногой в живот. Подкапсульная гематома, линейный разрыв диафрагмальной поверхности селезенки.
Судебная медицина - Прикрепленное изображение Судебная медицина - Прикрепленное изображение
Пользователь offline
К началу страницы
+Ответить с цитированием
Витекс
сообщение 25.10.2014 - 14:47
Сообщение #684


Опытный участник

Группа: СМЭ
Регистрация: 27.01.2013
Из: Удмуртская Республика
Пользователь №: 35 431


Поликистоз почек: правая 1050, левая 940 грамм
Судебная медицина - Прикрепленное изображение
Пользователь offline
К началу страницы
+Ответить с цитированием
доктор морфолог
сообщение 30.10.2014 - 06:33
Сообщение #685


Мастер I

Группа: СМЭ
Регистрация: 5.12.2013
Пользователь №: 38 421


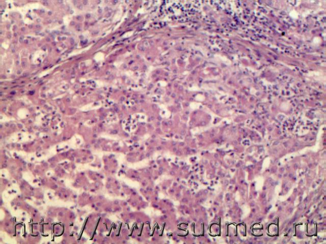
Активный гепатит,токсический( гидропическая,баллонная и жировая дистрофия с некрозом и инфильтрация лейкоцитами, лимфоцитами и гистиоцитами( в анамнезе хр.алкоголизм).

Сообщение отредактировал доктор морфолог - 30.10.2014 - 06:55


Эскизы прикрепленных изображений
Судебная медицина - Прикрепленное изображение Судебная медицина - Прикрепленное изображение Судебная медицина - Прикрепленное изображение Судебная медицина - Прикрепленное изображение Судебная медицина - Прикрепленное изображение Судебная медицина - Прикрепленное изображение Судебная медицина - Прикрепленное изображение Судебная медицина - Прикрепленное изображение
Пользователь offline
К началу страницы
+Ответить с цитированием
Медик
сообщение 31.10.2014 - 12:45
Сообщение #686


Учитель
Group Icon
Группа: Модераторы
Регистрация: 16.05.2010
Пользователь №: 21 553


Оскольчачый перелом диафиза плечевой кости с повреждением плечевой артерии,ушивание,тромбоз этой артерии в области шва,гангрена руки.

Сообщение отредактировал Медик - 31.10.2014 - 12:51


Эскизы прикрепленных изображений
Судебная медицина - Прикрепленное изображение Судебная медицина - Прикрепленное изображение
Пользователь offline
К началу страницы
+Ответить с цитированием
доктор морфолог
сообщение 3.11.2014 - 11:04
Сообщение #687


Мастер I

Группа: СМЭ
Регистрация: 5.12.2013
Пользователь №: 38 421


Переходный вариант менингеомы( из псаммаматозного в атипическую)


Эскизы прикрепленных изображений
Судебная медицина - Прикрепленное изображение Судебная медицина - Прикрепленное изображение Судебная медицина - Прикрепленное изображение Судебная медицина - Прикрепленное изображение Судебная медицина - Прикрепленное изображение Судебная медицина - Прикрепленное изображение Судебная медицина - Прикрепленное изображение Судебная медицина - Прикрепленное изображение Судебная медицина - Прикрепленное изображение Судебная медицина - Прикрепленное изображение Судебная медицина - Прикрепленное изображение Судебная медицина - Прикрепленное изображение Судебная медицина - Прикрепленное изображение
Пользователь offline
К началу страницы
+Ответить с цитированием
доктор морфолог
сообщение 3.11.2014 - 11:42
Сообщение #688


Мастер I

Группа: СМЭ
Регистрация: 5.12.2013
Пользователь №: 38 421


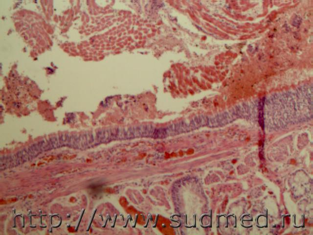
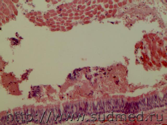
Аутотканевые артефакты симулирущие за аспирацию (в просвете трахеи видны микрофрагменты скелетных мышц, многослойных плоских эпителии, кровь и костные фрагменты). Ребенок 2 мес.


Эскизы прикрепленных изображений
Судебная медицина - Прикрепленное изображение Судебная медицина - Прикрепленное изображение Судебная медицина - Прикрепленное изображение Судебная медицина - Прикрепленное изображение Судебная медицина - Прикрепленное изображение Судебная медицина - Прикрепленное изображение Судебная медицина - Прикрепленное изображение Судебная медицина - Прикрепленное изображение Судебная медицина - Прикрепленное изображение Судебная медицина - Прикрепленное изображение Судебная медицина - Прикрепленное изображение Судебная медицина - Прикрепленное изображение
Пользователь offline
К началу страницы
+Ответить с цитированием
доктор морфолог
сообщение 5.11.2014 - 10:46
Сообщение #689


Мастер I

Группа: СМЭ
Регистрация: 5.12.2013
Пользователь №: 38 421


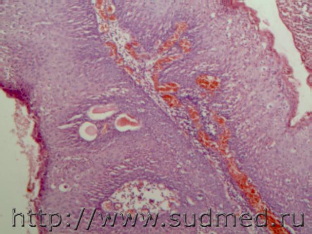
Нодулярная гиперплазия простаты с переходом в интраэпителиальную неоплазию.


Эскизы прикрепленных изображений
Судебная медицина - Прикрепленное изображение Судебная медицина - Прикрепленное изображение Судебная медицина - Прикрепленное изображение Судебная медицина - Прикрепленное изображение Судебная медицина - Прикрепленное изображение Судебная медицина - Прикрепленное изображение Судебная медицина - Прикрепленное изображение Судебная медицина - Прикрепленное изображение Судебная медицина - Прикрепленное изображение Судебная медицина - Прикрепленное изображение Судебная медицина - Прикрепленное изображение Судебная медицина - Прикрепленное изображение Судебная медицина - Прикрепленное изображение Судебная медицина - Прикрепленное изображение Судебная медицина - Прикрепленное изображение Судебная медицина - Прикрепленное изображение
Пользователь offline
К началу страницы
+Ответить с цитированием
доктор морфолог
сообщение 5.11.2014 - 12:46
Сообщение #690


Мастер I

Группа: СМЭ
Регистрация: 5.12.2013
Пользователь №: 38 421


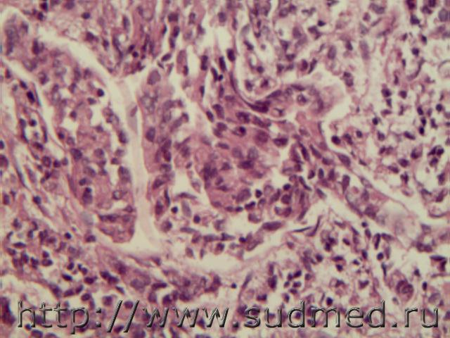
Умеренно дифференцированный плоскоклеточный рак легких( без ороговения, полиморфизм, митозы, нарушение стратификации и рядом инкапсулированный казеозный бугорок)


Эскизы прикрепленных изображений
Судебная медицина - Прикрепленное изображение Судебная медицина - Прикрепленное изображение Судебная медицина - Прикрепленное изображение Судебная медицина - Прикрепленное изображение Судебная медицина - Прикрепленное изображение Судебная медицина - Прикрепленное изображение Судебная медицина - Прикрепленное изображение Судебная медицина - Прикрепленное изображение Судебная медицина - Прикрепленное изображение Судебная медицина - Прикрепленное изображение Судебная медицина - Прикрепленное изображение Судебная медицина - Прикрепленное изображение Судебная медицина - Прикрепленное изображение Судебная медицина - Прикрепленное изображение Судебная медицина - Прикрепленное изображение
Пользователь offline
К началу страницы
+Ответить с цитированием

75 страниц V « < 44 45 46 47 48 > » 



- Обратная связь Сейчас: 13.10.2025 - 18:08