Здравствуйте, гость ( Вход | Регистрация )

Форум судебных медиков России
>   Правила раздела >

Здесь обсуждаются вопросы судебно-медицинской танатологии и судебно-медицинской гистологии.

 
75 страниц V « < 46 47 48 49 50 > »   
>

Просто иллюстрации, фотографии интересных случаев

Рейтинг  5
>
Медик
сообщение 4.12.2014 - 12:36
Сообщение #706


Учитель
Group Icon
Группа: Модераторы
Регистрация: 16.05.2010
Пользователь №: 21 553


Ущемлённая грыжа передней брюшной стенки.


Эскизы прикрепленных изображений
Судебная медицина - Прикрепленное изображение
Пользователь offline
К началу страницы
+Ответить с цитированием
Медик
сообщение 4.12.2014 - 13:07
Сообщение #707


Учитель
Group Icon
Группа: Модераторы
Регистрация: 16.05.2010
Пользователь №: 21 553


Продолжение.


Эскизы прикрепленных изображений
Судебная медицина - Прикрепленное изображение Судебная медицина - Прикрепленное изображение Судебная медицина - Прикрепленное изображение Судебная медицина - Прикрепленное изображение Судебная медицина - Прикрепленное изображение
Пользователь offline
К началу страницы
+Ответить с цитированием
доктор морфолог
сообщение 5.12.2014 - 09:57
Сообщение #708


Мастер I

Группа: СМЭ
Регистрация: 5.12.2013
Пользователь №: 38 421


Аспирация околоплодными водами при родах в легкие плода( в просвете бронхов и альвеолах плода видны роговые массы)

Цитата(Медик @ 4.12.2014 - 17:07)
Продолжение.

Очень иллюстративно!


Эскизы прикрепленных изображений
Судебная медицина - Прикрепленное изображение Судебная медицина - Прикрепленное изображение Судебная медицина - Прикрепленное изображение Судебная медицина - Прикрепленное изображение Судебная медицина - Прикрепленное изображение Судебная медицина - Прикрепленное изображение Судебная медицина - Прикрепленное изображение Судебная медицина - Прикрепленное изображение Судебная медицина - Прикрепленное изображение Судебная медицина - Прикрепленное изображение Судебная медицина - Прикрепленное изображение Судебная медицина - Прикрепленное изображение Судебная медицина - Прикрепленное изображение Судебная медицина - Прикрепленное изображение
Пользователь offline
К началу страницы
+Ответить с цитированием
Медик
сообщение 6.12.2014 - 13:23
Сообщение #709


Учитель
Group Icon
Группа: Модераторы
Регистрация: 16.05.2010
Пользователь №: 21 553


1.Аортальный клапан.Две полулунные заслонки.

2.Инфаркты селезёнки и почки.

Сообщение отредактировал Медик - 6.12.2014 - 13:23


Эскизы прикрепленных изображений
Судебная медицина - Прикрепленное изображение Судебная медицина - Прикрепленное изображение Судебная медицина - Прикрепленное изображение Судебная медицина - Прикрепленное изображение
Пользователь offline
К началу страницы
+Ответить с цитированием
Медик
сообщение 6.12.2014 - 14:44
Сообщение #710


Учитель
Group Icon
Группа: Модераторы
Регистрация: 16.05.2010
Пользователь №: 21 553


Инкапсулированная марлевая салфетка в брюшной полости.Капсула вскрыта.Операция 9 лет назад.


Эскизы прикрепленных изображений
Судебная медицина - Прикрепленное изображение Судебная медицина - Прикрепленное изображение
Пользователь offline
К началу страницы
+Ответить с цитированием
доктор морфолог
сообщение 8.12.2014 - 12:04
Сообщение #711


Мастер I

Группа: СМЭ
Регистрация: 5.12.2013
Пользователь №: 38 421


Недифференцированный рак желудка( сочетание слизистой с единичными перстневидными клетками и лейомиобластоматозной в мышечном слое атпических клеток с патологическими митозами.)

Сообщение отредактировал доктор морфолог - 8.12.2014 - 12:09


Эскизы прикрепленных изображений
Судебная медицина - Прикрепленное изображение Судебная медицина - Прикрепленное изображение Судебная медицина - Прикрепленное изображение Судебная медицина - Прикрепленное изображение Судебная медицина - Прикрепленное изображение Судебная медицина - Прикрепленное изображение Судебная медицина - Прикрепленное изображение Судебная медицина - Прикрепленное изображение Судебная медицина - Прикрепленное изображение Судебная медицина - Прикрепленное изображение Судебная медицина - Прикрепленное изображение Судебная медицина - Прикрепленное изображение Судебная медицина - Прикрепленное изображение Судебная медицина - Прикрепленное изображение
Пользователь offline
К началу страницы
+Ответить с цитированием
доктор морфолог
сообщение 9.12.2014 - 10:07
Сообщение #712


Мастер I

Группа: СМЭ
Регистрация: 5.12.2013
Пользователь №: 38 421


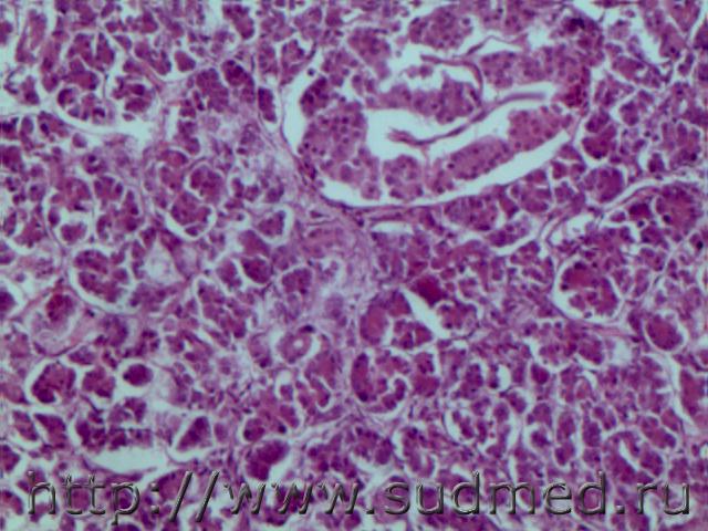
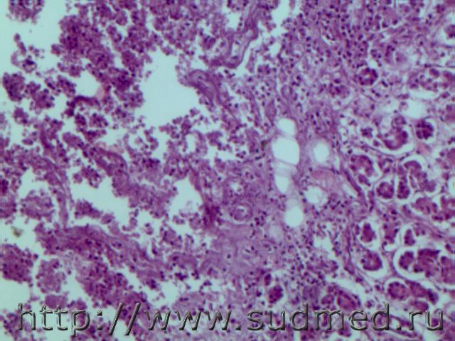
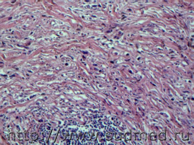
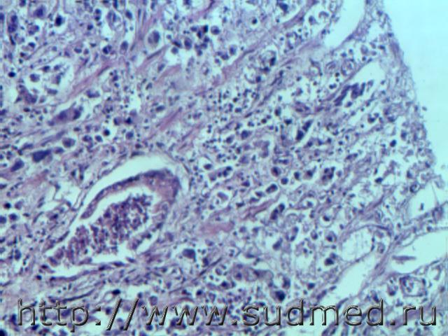
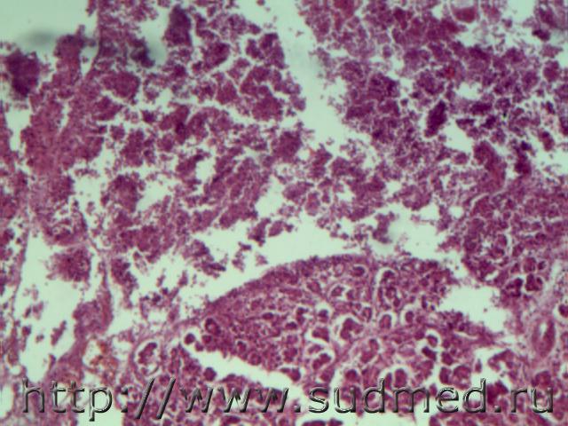
Острый гнойный панкреатит.


Эскизы прикрепленных изображений
Судебная медицина - Прикрепленное изображение Судебная медицина - Прикрепленное изображение Судебная медицина - Прикрепленное изображение Судебная медицина - Прикрепленное изображение Судебная медицина - Прикрепленное изображение Судебная медицина - Прикрепленное изображение Судебная медицина - Прикрепленное изображение Судебная медицина - Прикрепленное изображение
Пользователь offline
К началу страницы
+Ответить с цитированием
Медик
сообщение 9.12.2014 - 11:14
Сообщение #713


Учитель
Group Icon
Группа: Модераторы
Регистрация: 16.05.2010
Пользователь №: 21 553


Есть некроз,немного нейтрофильных лейкоцитов.А где же "гной" с большой буквы?
Пользователь offline
К началу страницы
+Ответить с цитированием
доктор морфолог
сообщение 9.12.2014 - 11:42
Сообщение #714


Мастер I

Группа: СМЭ
Регистрация: 5.12.2013
Пользователь №: 38 421


Цитата(Медик @ 9.12.2014 - 15:14)
Есть некроз,немного нейтрофильных лейкоцитов.А где же "гной" с большой буквы?

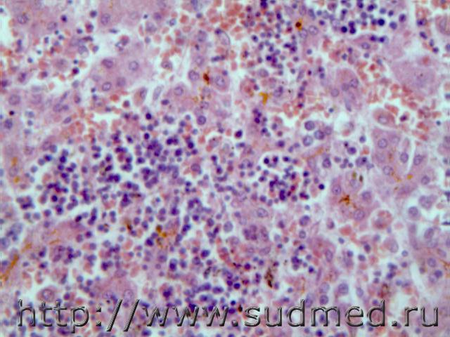
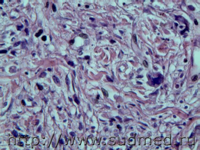
где некроз 1 и 5 фото, там и разрушенные лейкоциты. Завтра на большом увл.постараюсь...
Пользователь offline
К началу страницы
+Ответить с цитированием
доктор морфолог
сообщение 9.12.2014 - 11:51
Сообщение #715


Мастер I

Группа: СМЭ
Регистрация: 5.12.2013
Пользователь №: 38 421


Цитата(доктор морфолог @ 9.12.2014 - 15:42)
где некроз 1 и 5 фото, там и разрушенные лейкоциты. ...

Успел ..Срезы толстые

Сообщение отредактировал доктор морфолог - 9.12.2014 - 11:52


Эскизы прикрепленных изображений
Судебная медицина - Прикрепленное изображение Судебная медицина - Прикрепленное изображение Судебная медицина - Прикрепленное изображение Судебная медицина - Прикрепленное изображение
Пользователь offline
К началу страницы
+Ответить с цитированием
Медик
сообщение 11.12.2014 - 14:45
Сообщение #716


Учитель
Group Icon
Группа: Модераторы
Регистрация: 16.05.2010
Пользователь №: 21 553


Это выросло в матке.


Эскизы прикрепленных изображений
Судебная медицина - Прикрепленное изображение
Пользователь offline
К началу страницы
+Ответить с цитированием
доктор морфолог
сообщение 15.12.2014 - 10:19
Сообщение #717


Мастер I

Группа: СМЭ
Регистрация: 5.12.2013
Пользователь №: 38 421


ЦВЗ. ОНМК по смешанному типу преимущественно в веществе ишемические очаги в стадии резорбции, местами с тенденцией образования псевдокист, множество зернистых шаров, микроглиально-макрофагальная реакция, гиалиноз, склероз артериол и т.д.


Эскизы прикрепленных изображений
Судебная медицина - Прикрепленное изображение Судебная медицина - Прикрепленное изображение Судебная медицина - Прикрепленное изображение Судебная медицина - Прикрепленное изображение Судебная медицина - Прикрепленное изображение Судебная медицина - Прикрепленное изображение Судебная медицина - Прикрепленное изображение Судебная медицина - Прикрепленное изображение Судебная медицина - Прикрепленное изображение Судебная медицина - Прикрепленное изображение
Пользователь offline
К началу страницы
+Ответить с цитированием
Chivas
сообщение 17.12.2014 - 10:49
Сообщение #718


Мастер I
Group Icon
Группа: Модераторы
Регистрация: 17.02.2007
Из: Кубань
Пользователь №: 4 435


Думаю, что комментарии излишни smile.gif

Сообщение отредактировал Chivas - 17.12.2014 - 11:12


Эскизы прикрепленных изображений
Судебная медицина - Прикрепленное изображение
Пользователь offline
К началу страницы
+Ответить с цитированием
Медик
сообщение 18.12.2014 - 21:36
Сообщение #719


Учитель
Group Icon
Группа: Модераторы
Регистрация: 16.05.2010
Пользователь №: 21 553


Травматический разрыв аорты.


Эскизы прикрепленных изображений
Судебная медицина - Прикрепленное изображение
Пользователь offline
К началу страницы
+Ответить с цитированием
доктор морфолог
сообщение 26.12.2014 - 13:13
Сообщение #720


Мастер I

Группа: СМЭ
Регистрация: 5.12.2013
Пользователь №: 38 421


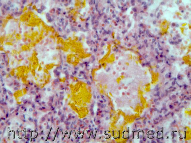
Гемолитическая болезнь у новорожденного при резус-конфликте(гемосидероз в легких, гемохроматоз в печени(экстрамедуллярные очаги кроветворения в печени) и селезенке) .У матери Rh-, у новорожденного мальчика Rh+.


Эскизы прикрепленных изображений
Судебная медицина - Прикрепленное изображение Судебная медицина - Прикрепленное изображение Судебная медицина - Прикрепленное изображение Судебная медицина - Прикрепленное изображение Судебная медицина - Прикрепленное изображение Судебная медицина - Прикрепленное изображение Судебная медицина - Прикрепленное изображение Судебная медицина - Прикрепленное изображение Судебная медицина - Прикрепленное изображение Судебная медицина - Прикрепленное изображение
Пользователь offline
К началу страницы
+Ответить с цитированием

75 страниц V « < 46 47 48 49 50 > » 



- Обратная связь Сейчас: 13.10.2025 - 14:49