Здравствуйте, гость ( Вход | Регистрация )

Форум судебных медиков России
>   Правила раздела >

Здесь обсуждаются вопросы судебно-медицинской танатологии и судебно-медицинской гистологии.

 
75 страниц V « < 47 48 49 50 51 > »   
>

Просто иллюстрации, фотографии интересных случаев

Рейтинг  5
>
доктор морфолог
сообщение 26.12.2014 - 13:30
Сообщение #721


Мастер I

Группа: СМЭ
Регистрация: 5.12.2013
Пользователь №: 38 421


Гигантоклеточное гранулематозное(неинфекционное, продуктивное)) воспаление на оставленную в брюшной полости марлевой салфетки размером 10*8*3см.при Кс. Инфильтрат при УЗИ и КТ обнаружен в мезогастральной области. Салфетка с инкапсулированным инфильтратом удален через 32-34 дней. Инфильтрат состоит из множество капилляров, эптелиоидных и круглых клеток, многоядерных гигантских клеток по типу инородных тел и ксантомных клеток с пенистой цитоплазмой(олеогранулемчики), а так же разрастание рыхлой соединительной ткани разной степени зрелости в жировой ткани.


Эскизы прикрепленных изображений
Судебная медицина - Прикрепленное изображение Судебная медицина - Прикрепленное изображение Судебная медицина - Прикрепленное изображение Судебная медицина - Прикрепленное изображение Судебная медицина - Прикрепленное изображение Судебная медицина - Прикрепленное изображение Судебная медицина - Прикрепленное изображение Судебная медицина - Прикрепленное изображение Судебная медицина - Прикрепленное изображение Судебная медицина - Прикрепленное изображение Судебная медицина - Прикрепленное изображение Судебная медицина - Прикрепленное изображение
Пользователь offline
К началу страницы
+Ответить с цитированием
доктор морфолог
сообщение 14.01.2015 - 12:21
Сообщение #722


Мастер I

Группа: СМЭ
Регистрация: 5.12.2013
Пользователь №: 38 421


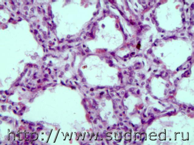
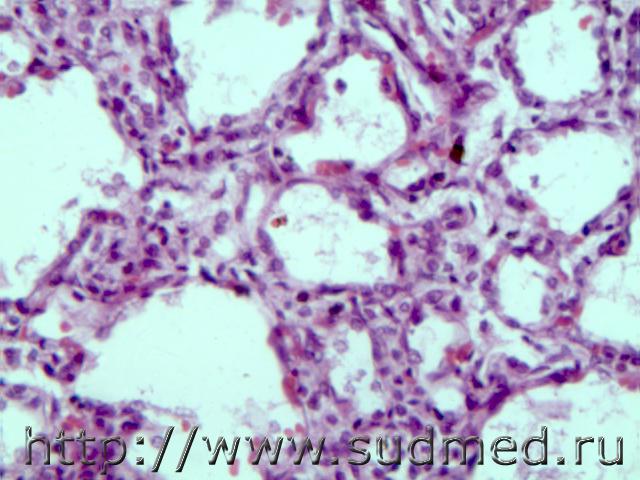
Недоношенность в сроке 26-28недель. Незрелость ткани легких и почки( широкие альвеолярные перегородки, примитивные клубочки в 2 слоя). Была попытка ИВЛ.


Эскизы прикрепленных изображений
Судебная медицина - Прикрепленное изображение Судебная медицина - Прикрепленное изображение Судебная медицина - Прикрепленное изображение Судебная медицина - Прикрепленное изображение Судебная медицина - Прикрепленное изображение Судебная медицина - Прикрепленное изображение Судебная медицина - Прикрепленное изображение Судебная медицина - Прикрепленное изображение
Пользователь offline
К началу страницы
+Ответить с цитированием
доктор морфолог
сообщение 15.01.2015 - 11:55
Сообщение #723


Мастер I

Группа: СМЭ
Регистрация: 5.12.2013
Пользователь №: 38 421


Ребенок (17 дней). Постнекротический регенераторный гепатофиброз( рыхлая молодая фиброзная ткань) с холестазом(желчь в желчных капиллярах и протоках). Летальный исход связан с 2-ой гнойной бронхопневмонией.В крови обн.Нвs-антиген 1.66 в ист.родов. Если врожденный то мать д.б. носительницей, если нет тогда источником м.б.мед.инструмент.манипуляция, либо переливание крови?!

Сообщение отредактировал доктор морфолог - 15.01.2015 - 12:02


Эскизы прикрепленных изображений
Судебная медицина - Прикрепленное изображение Судебная медицина - Прикрепленное изображение Судебная медицина - Прикрепленное изображение Судебная медицина - Прикрепленное изображение Судебная медицина - Прикрепленное изображение Судебная медицина - Прикрепленное изображение Судебная медицина - Прикрепленное изображение Судебная медицина - Прикрепленное изображение Судебная медицина - Прикрепленное изображение Судебная медицина - Прикрепленное изображение Судебная медицина - Прикрепленное изображение Судебная медицина - Прикрепленное изображение Судебная медицина - Прикрепленное изображение
Пользователь offline
К началу страницы
+Ответить с цитированием
доктор морфолог
сообщение 16.01.2015 - 07:19
Сообщение #724


Мастер I

Группа: СМЭ
Регистрация: 5.12.2013
Пользователь №: 38 421


Ушиб сердца.уличная драка. М 37 лет. Кровоизлияние эпикарда и в строме миокарда с умеренной лейкоцитарной реакцией. Повреждение кардиомиоцитов.


Эскизы прикрепленных изображений
Судебная медицина - Прикрепленное изображение Судебная медицина - Прикрепленное изображение Судебная медицина - Прикрепленное изображение Судебная медицина - Прикрепленное изображение Судебная медицина - Прикрепленное изображение Судебная медицина - Прикрепленное изображение
Пользователь offline
К началу страницы
+Ответить с цитированием
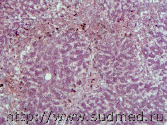
доктор морфолог
сообщение 19.01.2015 - 11:08
Сообщение #725


Мастер I

Группа: СМЭ
Регистрация: 5.12.2013
Пользователь №: 38 421


Мелкоклеточный рак легких у М.58 лет( лимфоцитподобные, овсяноклеточные), (мелкие гиперхромные оголенные клетки, размером чуть больше эритроцитов)расположенные периваскулярно, субплеврально с метастазами в печень.

Сообщение отредактировал доктор морфолог - 19.01.2015 - 11:12


Эскизы прикрепленных изображений
Судебная медицина - Прикрепленное изображение Судебная медицина - Прикрепленное изображение Судебная медицина - Прикрепленное изображение Судебная медицина - Прикрепленное изображение Судебная медицина - Прикрепленное изображение Судебная медицина - Прикрепленное изображение Судебная медицина - Прикрепленное изображение Судебная медицина - Прикрепленное изображение Судебная медицина - Прикрепленное изображение Судебная медицина - Прикрепленное изображение Судебная медицина - Прикрепленное изображение Судебная медицина - Прикрепленное изображение Судебная медицина - Прикрепленное изображение Судебная медицина - Прикрепленное изображение Судебная медицина - Прикрепленное изображение
Пользователь offline
К началу страницы
+Ответить с цитированием
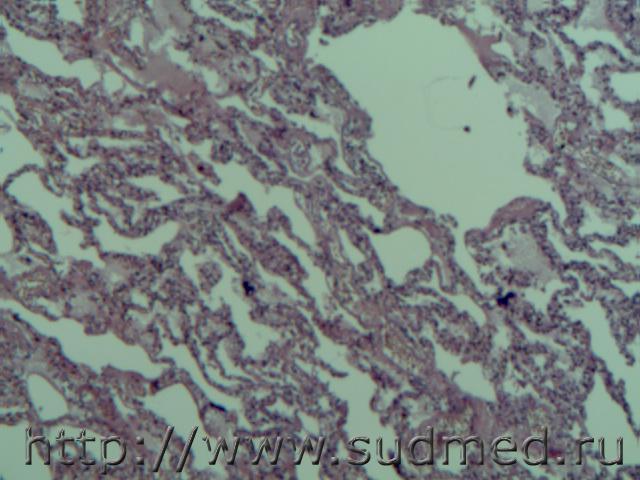
доктор морфолог
сообщение 19.01.2015 - 12:00
Сообщение #726


Мастер I

Группа: СМЭ
Регистрация: 5.12.2013
Пользователь №: 38 421


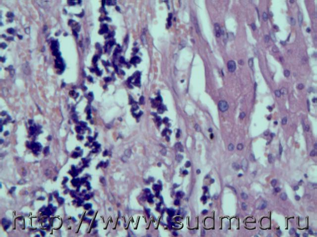
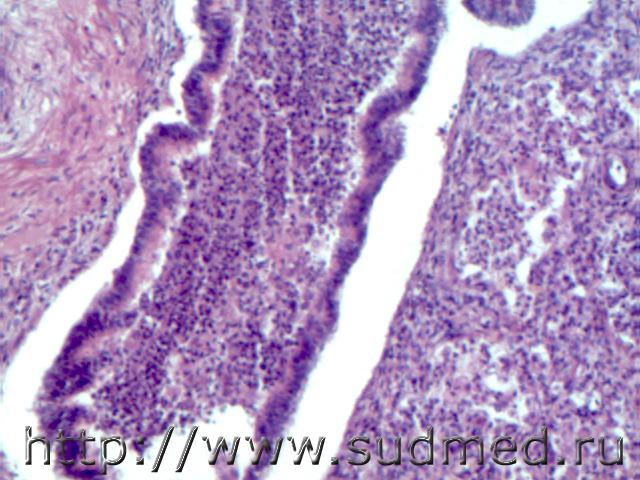
Микроморфология шокового легкого при ТравШ,ЛекАнафШ,ОжогоШ.: острый лейкоцитоз,мегакариоцитоз, микротромбоз,бронхоспазм,отек с альвеолярными макрофагами, сладжирование эритроцитов, спазм артерии, неполный ателектаз.

Сообщение отредактировал доктор морфолог - 19.01.2015 - 12:03


Эскизы прикрепленных изображений
Судебная медицина - Прикрепленное изображение Судебная медицина - Прикрепленное изображение Судебная медицина - Прикрепленное изображение Судебная медицина - Прикрепленное изображение Судебная медицина - Прикрепленное изображение Судебная медицина - Прикрепленное изображение Судебная медицина - Прикрепленное изображение Судебная медицина - Прикрепленное изображение Судебная медицина - Прикрепленное изображение Судебная медицина - Прикрепленное изображение Судебная медицина - Прикрепленное изображение Судебная медицина - Прикрепленное изображение Судебная медицина - Прикрепленное изображение
Пользователь offline
К началу страницы
+Ответить с цитированием
доктор морфолог
сообщение 19.01.2015 - 12:06
Сообщение #727


Мастер I

Группа: СМЭ
Регистрация: 5.12.2013
Пользователь №: 38 421


+к 726 сообщению:лейкоцитоз,макрофаги альвеолярные, бронхоспазм, сладж-феномен.

Сообщение отредактировал доктор морфолог - 19.01.2015 - 12:08


Эскизы прикрепленных изображений
Судебная медицина - Прикрепленное изображение Судебная медицина - Прикрепленное изображение Судебная медицина - Прикрепленное изображение Судебная медицина - Прикрепленное изображение
Пользователь offline
К началу страницы
+Ответить с цитированием
Медик
сообщение 19.01.2015 - 12:54
Сообщение #728


Учитель
Group Icon
Группа: Модераторы
Регистрация: 16.05.2010
Пользователь №: 21 553


Цитата(доктор морфолог @ 19.01.2015 - 13:00)
Микроморфология шокового легкого

Не колонии ли микробов в сосуда МЦР лёгких ?
Пользователь offline
К началу страницы
+Ответить с цитированием
доктор морфолог
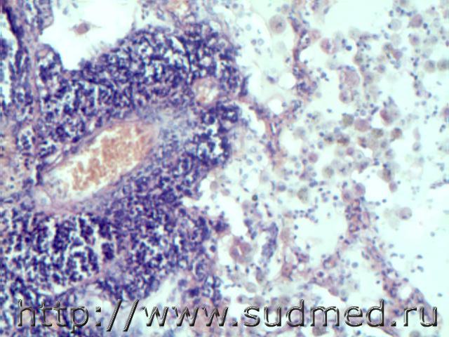
сообщение 20.01.2015 - 07:32
Сообщение #729


Мастер I

Группа: СМЭ
Регистрация: 5.12.2013
Пользователь №: 38 421


Не колонии микробов, демонстрирую тот же случай, что в 726-727 Мегакариоциты в костном мозге( костный мозг рядом костная и хрящевая ткань из сочленения один из рожков подъязычной кости в области гортани.

Сообщение отредактировал доктор морфолог - 20.01.2015 - 07:37


Эскизы прикрепленных изображений
Судебная медицина - Прикрепленное изображение Судебная медицина - Прикрепленное изображение Судебная медицина - Прикрепленное изображение Судебная медицина - Прикрепленное изображение Судебная медицина - Прикрепленное изображение Судебная медицина - Прикрепленное изображение
Пользователь offline
К началу страницы
+Ответить с цитированием
Медик
сообщение 23.01.2015 - 10:45
Сообщение #730


Учитель
Group Icon
Группа: Модераторы
Регистрация: 16.05.2010
Пользователь №: 21 553


Угольный пигмент в селезёнке и печени.
26 лет,опиоидная наркомания.


Эскизы прикрепленных изображений
Судебная медицина - Прикрепленное изображение Судебная медицина - Прикрепленное изображение
Пользователь offline
К началу страницы
+Ответить с цитированием
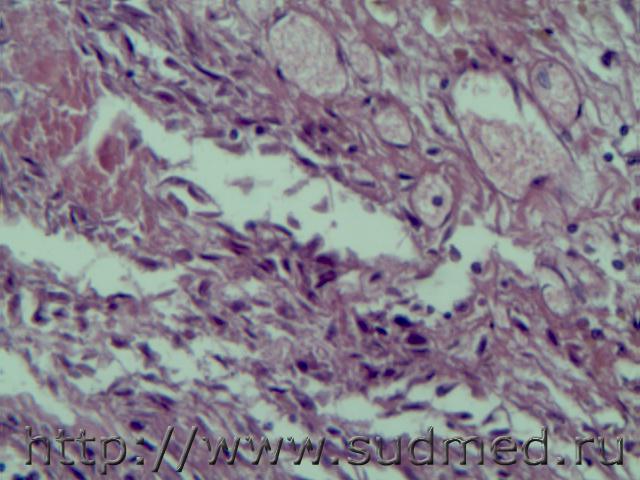
доктор морфолог
сообщение 29.01.2015 - 11:36
Сообщение #731


Мастер I

Группа: СМЭ
Регистрация: 5.12.2013
Пользователь №: 38 421


ОИМ.Начало организации( некротический очаг с безядерными кардиомиоцитами, демаркационная зона из лимоцитарно-макрофагальной реакцией, вновь образованными капиллярами, вне зоны видны поврежденные кардиомиоциты и.т.д.

Сообщение отредактировал доктор морфолог - 29.01.2015 - 11:38


Эскизы прикрепленных изображений
Судебная медицина - Прикрепленное изображение Судебная медицина - Прикрепленное изображение Судебная медицина - Прикрепленное изображение Судебная медицина - Прикрепленное изображение Судебная медицина - Прикрепленное изображение Судебная медицина - Прикрепленное изображение Судебная медицина - Прикрепленное изображение Судебная медицина - Прикрепленное изображение Судебная медицина - Прикрепленное изображение Судебная медицина - Прикрепленное изображение Судебная медицина - Прикрепленное изображение Судебная медицина - Прикрепленное изображение
Пользователь offline
К началу страницы
+Ответить с цитированием
Медик
сообщение 2.02.2015 - 10:52
Сообщение #732


Учитель
Group Icon
Группа: Модераторы
Регистрация: 16.05.2010
Пользователь №: 21 553


Камни жёлчного пузыря.Обратите внимание на их форму.


Эскизы прикрепленных изображений
Судебная медицина - Прикрепленное изображение Судебная медицина - Прикрепленное изображение Судебная медицина - Прикрепленное изображение Судебная медицина - Прикрепленное изображение
Пользователь offline
К началу страницы
+Ответить с цитированием
fbc_v
сообщение 2.02.2015 - 21:40
Сообщение #733


Знаток форума
Group Icon
Группа: СМЭ
Регистрация: 18.04.2012
Пользователь №: 32 515


Свободно лежало в брюшной полости, по плотности схоже с хрящом, гистология в работе, что это?


Эскизы прикрепленных изображений
Судебная медицина - Прикрепленное изображение Судебная медицина - Прикрепленное изображение
Пользователь offline
К началу страницы
+Ответить с цитированием
Медик
сообщение 3.02.2015 - 00:32
Сообщение #734


Учитель
Group Icon
Группа: Модераторы
Регистрация: 16.05.2010
Пользователь №: 21 553


Цитата(fbc_v @ 2.02.2015 - 22:40)
что это?

Скорее всего,это изменённый жировой подвесок.
Некроз жирового подвеска (стеатонекроз)- самоампутация - гиалиноз ,возможно + обызвествление.
Пользователь offline
К началу страницы
+Ответить с цитированием
доктор морфолог
сообщение 5.02.2015 - 11:33
Сообщение #735


Мастер I

Группа: СМЭ
Регистрация: 5.12.2013
Пользователь №: 38 421


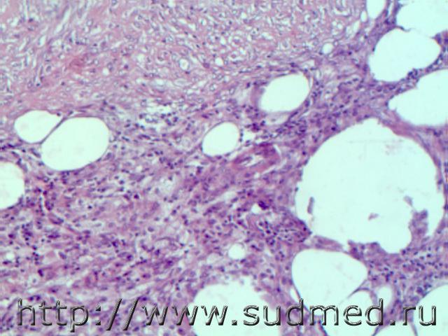
Сифилитический мезаортит восходящей части (гуммозная дезорганизация медии с разрывом и кровоизлиянием в медиастинум) очаг гуммы с валом эпителиоидной, лимфоцитарно-плазмцитоклеточной инфильтрацией. М.52года.


Эскизы прикрепленных изображений
Судебная медицина - Прикрепленное изображение Судебная медицина - Прикрепленное изображение Судебная медицина - Прикрепленное изображение Судебная медицина - Прикрепленное изображение Судебная медицина - Прикрепленное изображение Судебная медицина - Прикрепленное изображение Судебная медицина - Прикрепленное изображение Судебная медицина - Прикрепленное изображение Судебная медицина - Прикрепленное изображение Судебная медицина - Прикрепленное изображение Судебная медицина - Прикрепленное изображение
Пользователь offline
К началу страницы
+Ответить с цитированием

75 страниц V « < 47 48 49 50 51 > » 



- Обратная связь Сейчас: 13.10.2025 - 13:10