Здравствуйте, гость ( Вход | Регистрация )

Форум судебных медиков России
>   Правила раздела >

Здесь обсуждаются вопросы судебно-медицинской танатологии и судебно-медицинской гистологии.

 
75 страниц V « < 48 49 50 51 52 > »   
>

Просто иллюстрации, фотографии интересных случаев

Рейтинг  5
>
0-AHS-0
сообщение 7.02.2015 - 15:07
Сообщение #736


Претендент

Группа: Участники
Регистрация: 8.10.2012
Пользователь №: 34 263


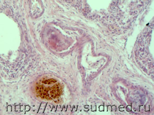
Случайная находка мужчина 61 год. Охроноз (алкаптонурия) - отложение черного пигмента наиболее выражено в хрящевой ткани в стенках аорты. Со слов родственников характерных клинических проявлений не было.
Судебная медицина - Прикрепленное изображение Судебная медицина - Прикрепленное изображение
Пользователь offline
К началу страницы
+Ответить с цитированием
доктор морфолог
сообщение 12.02.2015 - 10:42
Сообщение #737


Мастер I

Группа: СМЭ
Регистрация: 5.12.2013
Пользователь №: 38 421


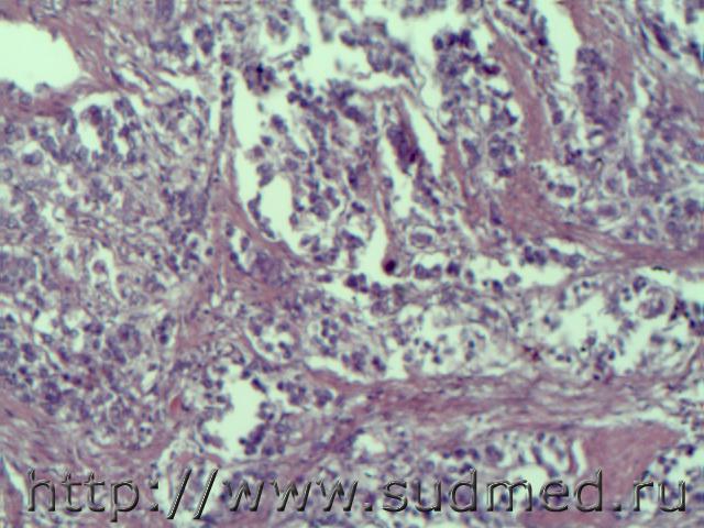
Злокачественный карциноид желудка( тубулярной, железистой и солидной структуры мелкой круглклеточной и светлоклеточного типа с округлыми мономорфными ядрами с инвазией мышечной стенки желудка).


Эскизы прикрепленных изображений
Судебная медицина - Прикрепленное изображение Судебная медицина - Прикрепленное изображение Судебная медицина - Прикрепленное изображение Судебная медицина - Прикрепленное изображение Судебная медицина - Прикрепленное изображение Судебная медицина - Прикрепленное изображение Судебная медицина - Прикрепленное изображение Судебная медицина - Прикрепленное изображение Судебная медицина - Прикрепленное изображение Судебная медицина - Прикрепленное изображение Судебная медицина - Прикрепленное изображение Судебная медицина - Прикрепленное изображение
Пользователь offline
К началу страницы
+Ответить с цитированием
доктор морфолог
сообщение 19.02.2015 - 08:35
Сообщение #738


Мастер I

Группа: СМЭ
Регистрация: 5.12.2013
Пользователь №: 38 421


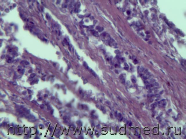
Холангиоцеллюлярный рак печени с метастазами в легкие( гепатифиброз, холестаз).На 2 фото на большом увл. видны желчные протоки с атипически измененной структурой с гиперхромными кубическими эпителиями.

Сообщение отредактировал доктор морфолог - 19.02.2015 - 08:50


Эскизы прикрепленных изображений
Судебная медицина - Прикрепленное изображение Судебная медицина - Прикрепленное изображение Судебная медицина - Прикрепленное изображение Судебная медицина - Прикрепленное изображение Судебная медицина - Прикрепленное изображение Судебная медицина - Прикрепленное изображение Судебная медицина - Прикрепленное изображение Судебная медицина - Прикрепленное изображение Судебная медицина - Прикрепленное изображение Судебная медицина - Прикрепленное изображение
Пользователь offline
К началу страницы
+Ответить с цитированием
доктор морфолог
сообщение 19.02.2015 - 12:00
Сообщение #739


Мастер I

Группа: СМЭ
Регистрация: 5.12.2013
Пользователь №: 38 421


Лейомиосаркома тела матки с прорастанием в яичник с развитием псаммомных(псаммокарцинома яичника) телец( хаотично расположенные пучки гладких полиморфных миоцитов с гиперхромными ядрами, местами видны уродливые гигантские гиперхромные многоядерные клетки и некроз ткани в толще опухоли).

Сообщение отредактировал доктор морфолог - 19.02.2015 - 12:06


Эскизы прикрепленных изображений
Судебная медицина - Прикрепленное изображение Судебная медицина - Прикрепленное изображение Судебная медицина - Прикрепленное изображение Судебная медицина - Прикрепленное изображение Судебная медицина - Прикрепленное изображение Судебная медицина - Прикрепленное изображение Судебная медицина - Прикрепленное изображение Судебная медицина - Прикрепленное изображение Судебная медицина - Прикрепленное изображение Судебная медицина - Прикрепленное изображение Судебная медицина - Прикрепленное изображение Судебная медицина - Прикрепленное изображение Судебная медицина - Прикрепленное изображение Судебная медицина - Прикрепленное изображение Судебная медицина - Прикрепленное изображение Судебная медицина - Прикрепленное изображение
Пользователь offline
К началу страницы
+Ответить с цитированием
Югросс
сообщение 20.02.2015 - 12:05
Сообщение #740


Знаток форума
Group Icon
Группа: СМЭ
Регистрация: 1.03.2010
Из: Юг России
Пользователь №: 20 320


Контактное повреждение:


Эскизы прикрепленных изображений
Судебная медицина - Прикрепленное изображение Судебная медицина - Прикрепленное изображение Судебная медицина - Прикрепленное изображение Судебная медицина - Прикрепленное изображение
Пользователь offline
К началу страницы
+Ответить с цитированием
Югросс
сообщение 20.02.2015 - 14:56
Сообщение #741


Знаток форума
Group Icon
Группа: СМЭ
Регистрация: 1.03.2010
Из: Юг России
Пользователь №: 20 320


извиняюсь за повтор фото, это фото производственной травмы- удар торцом пакета балок, подвешенных на кране при погрузке балок на судно. Внутри- травма органов брюшной полости, с повреждением печени и кровопотерей.



Сообщение отредактировал Югросс - 20.02.2015 - 14:57


Эскизы прикрепленных изображений
Судебная медицина - Прикрепленное изображение Судебная медицина - Прикрепленное изображение
Пользователь offline
К началу страницы
+Ответить с цитированием
доктор морфолог
сообщение 24.02.2015 - 12:33
Сообщение #742


Мастер I

Группа: СМЭ
Регистрация: 5.12.2013
Пользователь №: 38 421


Субмассивный асептический некроз печени у новорожденного(после катетеризации вен пуповины, приведшее к тромбозу вен и их попадания вен печени). Некроз гепатоцитов центролобулярно без регенераторных узлов).Наблюдается холестаз в желчных капиллярах.

Сообщение отредактировал доктор морфолог - 24.02.2015 - 12:34


Эскизы прикрепленных изображений
Судебная медицина - Прикрепленное изображение Судебная медицина - Прикрепленное изображение Судебная медицина - Прикрепленное изображение Судебная медицина - Прикрепленное изображение Судебная медицина - Прикрепленное изображение Судебная медицина - Прикрепленное изображение Судебная медицина - Прикрепленное изображение
Пользователь offline
К началу страницы
+Ответить с цитированием
доктор морфолог
сообщение 24.02.2015 - 12:47
Сообщение #743


Мастер I

Группа: СМЭ
Регистрация: 5.12.2013
Пользователь №: 38 421


Бактериально-грибковая бронхопневмония новорожденного с развитием септицемии(микробные эмболы с грибковыми мицелиями в просвете сосудов с пристеночным тромбозом.).

Сообщение отредактировал доктор морфолог - 24.02.2015 - 12:53


Эскизы прикрепленных изображений
Судебная медицина - Прикрепленное изображение Судебная медицина - Прикрепленное изображение Судебная медицина - Прикрепленное изображение Судебная медицина - Прикрепленное изображение Судебная медицина - Прикрепленное изображение Судебная медицина - Прикрепленное изображение Судебная медицина - Прикрепленное изображение Судебная медицина - Прикрепленное изображение Судебная медицина - Прикрепленное изображение Судебная медицина - Прикрепленное изображение Судебная медицина - Прикрепленное изображение Судебная медицина - Прикрепленное изображение Судебная медицина - Прикрепленное изображение Судебная медицина - Прикрепленное изображение
Пользователь offline
К началу страницы
+Ответить с цитированием
fbc_v
сообщение 1.03.2015 - 14:00
Сообщение #744


Знаток форума
Group Icon
Группа: СМЭ
Регистрация: 18.04.2012
Пользователь №: 32 515


Взрывная травма (ф1, в салоне авто)


Эскизы прикрепленных изображений
Судебная медицина - Прикрепленное изображение Судебная медицина - Прикрепленное изображение
Пользователь offline
К началу страницы
+Ответить с цитированием
доктор морфолог
сообщение 4.03.2015 - 11:36
Сообщение #745


Мастер I

Группа: СМЭ
Регистрация: 5.12.2013
Пользователь №: 38 421


Цирроз печени, в ложных дольках видны аденоматозные участки (с1 по 10фото)

Сепсис, септикопиемия(гнойные очажки в почке,печени,легких) с 11по 16 фото)

Сообщение отредактировал доктор морфолог - 4.03.2015 - 11:38


Эскизы прикрепленных изображений
Судебная медицина - Прикрепленное изображение Судебная медицина - Прикрепленное изображение Судебная медицина - Прикрепленное изображение Судебная медицина - Прикрепленное изображение Судебная медицина - Прикрепленное изображение Судебная медицина - Прикрепленное изображение Судебная медицина - Прикрепленное изображение Судебная медицина - Прикрепленное изображение Судебная медицина - Прикрепленное изображение Судебная медицина - Прикрепленное изображение Судебная медицина - Прикрепленное изображение Судебная медицина - Прикрепленное изображение Судебная медицина - Прикрепленное изображение Судебная медицина - Прикрепленное изображение Судебная медицина - Прикрепленное изображение Судебная медицина - Прикрепленное изображение
Пользователь offline
К началу страницы
+Ответить с цитированием
Медик
сообщение 5.03.2015 - 14:37
Сообщение #746


Учитель
Group Icon
Группа: Модераторы
Регистрация: 16.05.2010
Пользователь №: 21 553


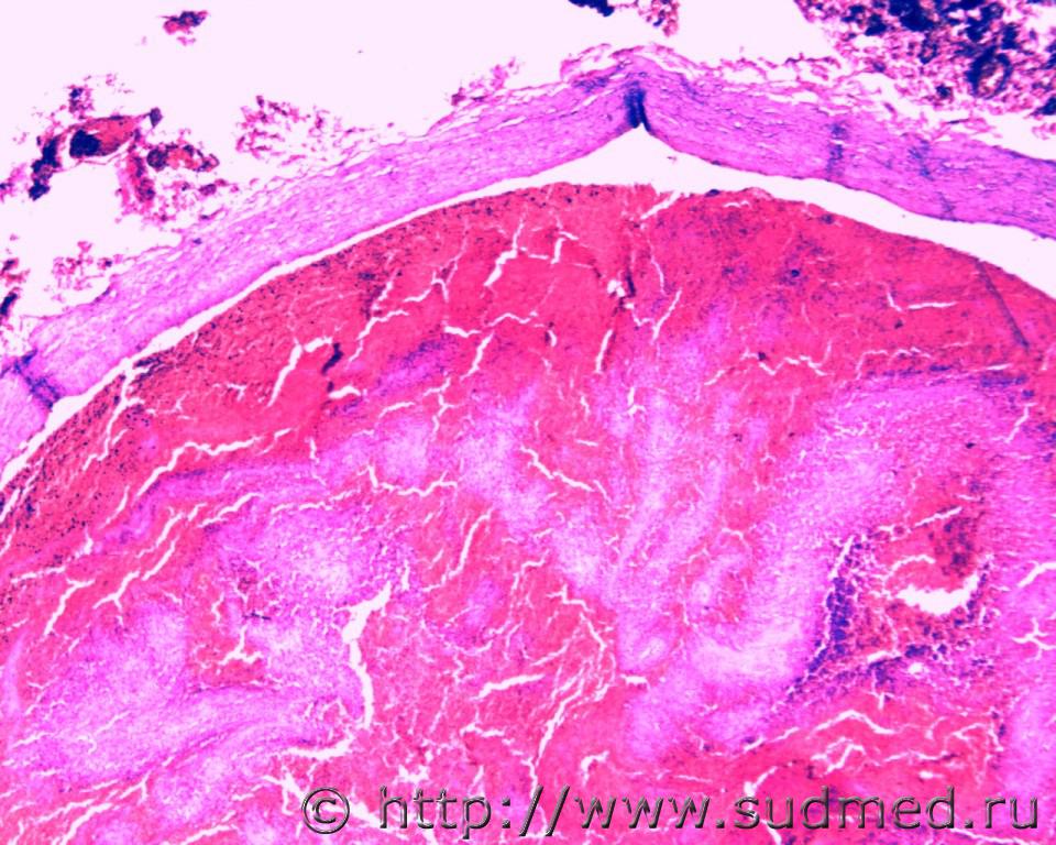
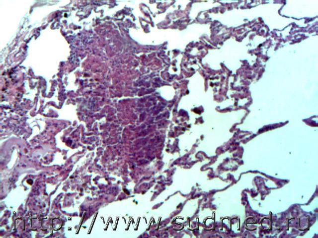
Тромбоэмболий легочных артерий.
1.Смешанный тромб в просвете мелкой ветви правой легочной артерии.
2.Геморрагический инфаркт лёгкого.


Эскизы прикрепленных изображений
Судебная медицина - Прикрепленное изображение Судебная медицина - Прикрепленное изображение
Пользователь offline
К началу страницы
+Ответить с цитированием
Медик
сообщение 12.03.2015 - 16:19
Сообщение #747


Учитель
Group Icon
Группа: Модераторы
Регистрация: 16.05.2010
Пользователь №: 21 553


1.Рак желудка,нагноение.
2.Септическая селезёнка.


Эскизы прикрепленных изображений
Судебная медицина - Прикрепленное изображение Судебная медицина - Прикрепленное изображение
Пользователь offline
К началу страницы
+Ответить с цитированием
доктор морфолог
сообщение 13.03.2015 - 10:17
Сообщение #748


Мастер I

Группа: СМЭ
Регистрация: 5.12.2013
Пользователь №: 38 421


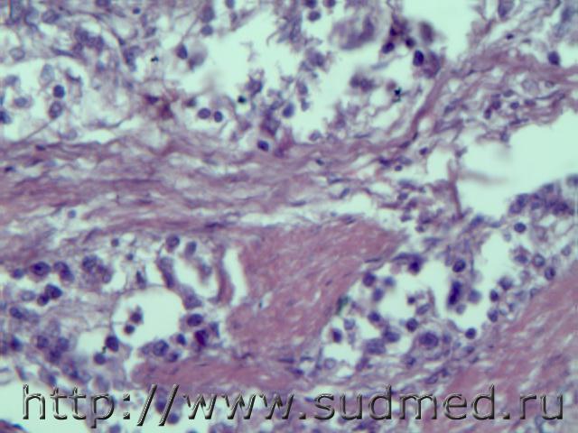
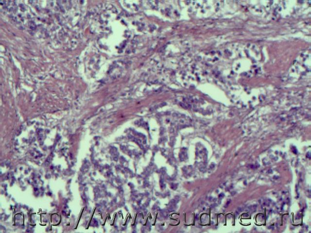
Аденома печени на фоне цирроза печени с метастазами в легкие( в просвете сосудов печени и легких опухолевые эмболы( т.е. казалось бы гистологически аденома, однако метастазы говорят об озлокачествлении, которому доказательство метастазы. Вывод: биохимические свойство опережают гистокартину раньше... Продолжение демонстрации микрофото из сообщения 753

Сообщение отредактировал доктор морфолог - 13.03.2015 - 10:22


Эскизы прикрепленных изображений
Судебная медицина - Прикрепленное изображение Судебная медицина - Прикрепленное изображение Судебная медицина - Прикрепленное изображение Судебная медицина - Прикрепленное изображение Судебная медицина - Прикрепленное изображение Судебная медицина - Прикрепленное изображение Судебная медицина - Прикрепленное изображение Судебная медицина - Прикрепленное изображение
Пользователь offline
К началу страницы
+Ответить с цитированием
Norman
сообщение 13.03.2015 - 16:59
Сообщение #749


Авторитетный участник

Группа: СМЭ
Регистрация: 2.01.2010
Пользователь №: 19 127


Крупноочаговый постинфарктный кардиосклероз, хр.аневризма, пристеночный тромбоз в полости левого желудочка


Эскизы прикрепленных изображений
Судебная медицина - Прикрепленное изображение
Пользователь offline
К началу страницы
+Ответить с цитированием
доктор морфолог
сообщение 16.03.2015 - 10:30
Сообщение #750


Мастер I

Группа: СМЭ
Регистрация: 5.12.2013
Пользователь №: 38 421


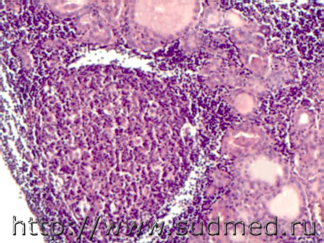
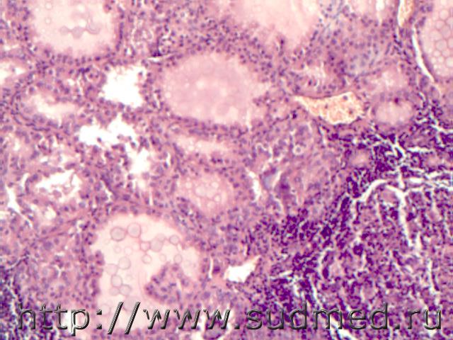
Лимфоматозный тиреоидит(струма Хашимото) с образованием фолликул с центром размножения.


Эскизы прикрепленных изображений
Судебная медицина - Прикрепленное изображение Судебная медицина - Прикрепленное изображение Судебная медицина - Прикрепленное изображение Судебная медицина - Прикрепленное изображение Судебная медицина - Прикрепленное изображение Судебная медицина - Прикрепленное изображение Судебная медицина - Прикрепленное изображение Судебная медицина - Прикрепленное изображение Судебная медицина - Прикрепленное изображение Судебная медицина - Прикрепленное изображение Судебная медицина - Прикрепленное изображение Судебная медицина - Прикрепленное изображение Судебная медицина - Прикрепленное изображение Судебная медицина - Прикрепленное изображение
Пользователь offline
К началу страницы
+Ответить с цитированием

75 страниц V « < 48 49 50 51 52 > » 



- Обратная связь Сейчас: 13.10.2025 - 16:21