Здравствуйте, гость ( Вход | Регистрация )

Форум судебных медиков России
>   Правила раздела >

Здесь обсуждаются вопросы судебно-медицинской танатологии и судебно-медицинской гистологии.

 
75 страниц V « < 49 50 51 52 53 > »   
>

Просто иллюстрации, фотографии интересных случаев

Рейтинг  5
>
Медик
сообщение 17.03.2015 - 11:57
Сообщение #751


Учитель
Group Icon
Группа: Модераторы
Регистрация: 16.05.2010
Пользователь №: 21 553


Узловой зоб.


Сообщение отредактировал Медик - 17.03.2015 - 11:57


Эскизы прикрепленных изображений
Судебная медицина - Прикрепленное изображение Судебная медицина - Прикрепленное изображение Судебная медицина - Прикрепленное изображение Судебная медицина - Прикрепленное изображение
Пользователь offline
К началу страницы
+Ответить с цитированием
доктор морфолог
сообщение 19.03.2015 - 06:31
Сообщение #752


Мастер I

Группа: СМЭ
Регистрация: 5.12.2013
Пользователь №: 38 421


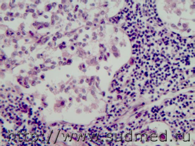
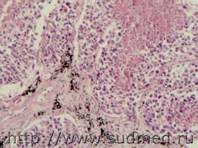
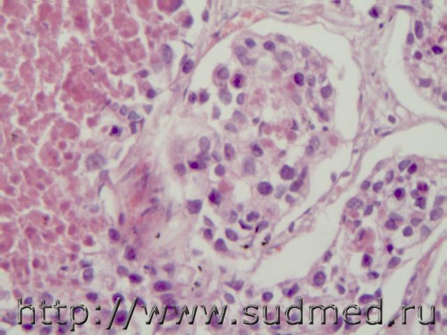
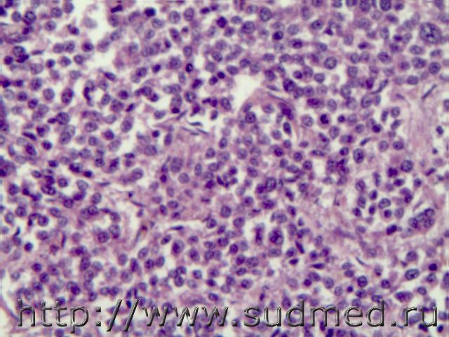
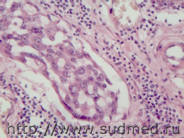
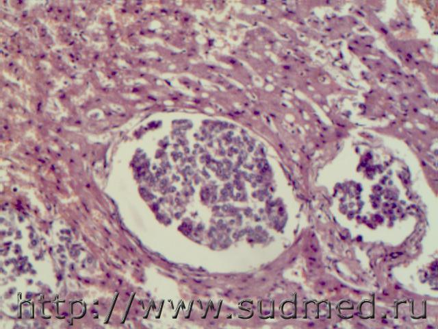
Новорожденный,6 дней.Гнойный менингит,незрелость внутренних органов(примитивные клубочки,широкий глиальный слой, широкие альвеолярные перегородки)

Сообщение отредактировал доктор морфолог - 19.03.2015 - 06:34


Эскизы прикрепленных изображений
Судебная медицина - Прикрепленное изображение Судебная медицина - Прикрепленное изображение Судебная медицина - Прикрепленное изображение Судебная медицина - Прикрепленное изображение Судебная медицина - Прикрепленное изображение Судебная медицина - Прикрепленное изображение Судебная медицина - Прикрепленное изображение Судебная медицина - Прикрепленное изображение Судебная медицина - Прикрепленное изображение Судебная медицина - Прикрепленное изображение Судебная медицина - Прикрепленное изображение
Пользователь offline
К началу страницы
+Ответить с цитированием
доктор морфолог
сообщение 19.03.2015 - 10:24
Сообщение #753


Мастер I

Группа: СМЭ
Регистрация: 5.12.2013
Пользователь №: 38 421


Ж.69 лет. Атрофический эндометрий( отсутствия слоев), атрофия яичника(узкий корковый слой с единичными нефункционирующими фолликулами) и белые тела с гиалинизированными сосудами в мозговом слое), лейомиома матки.


Эскизы прикрепленных изображений
Судебная медицина - Прикрепленное изображение Судебная медицина - Прикрепленное изображение Судебная медицина - Прикрепленное изображение Судебная медицина - Прикрепленное изображение Судебная медицина - Прикрепленное изображение Судебная медицина - Прикрепленное изображение Судебная медицина - Прикрепленное изображение Судебная медицина - Прикрепленное изображение Судебная медицина - Прикрепленное изображение Судебная медицина - Прикрепленное изображение Судебная медицина - Прикрепленное изображение Судебная медицина - Прикрепленное изображение
Пользователь offline
К началу страницы
+Ответить с цитированием
fbc_v
сообщение 30.03.2015 - 20:37
Сообщение #754


Знаток форума
Group Icon
Группа: СМЭ
Регистрация: 18.04.2012
Пользователь №: 32 515


Разрыв расслаивающей аневризмы дуги аорты


Эскизы прикрепленных изображений
Судебная медицина - Прикрепленное изображение Судебная медицина - Прикрепленное изображение Судебная медицина - Прикрепленное изображение Судебная медицина - Прикрепленное изображение
Пользователь offline
К началу страницы
+Ответить с цитированием
доктор морфолог
сообщение 31.03.2015 - 11:56
Сообщение #755


Мастер I

Группа: СМЭ
Регистрация: 5.12.2013
Пользователь №: 38 421


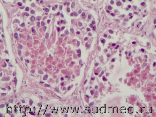
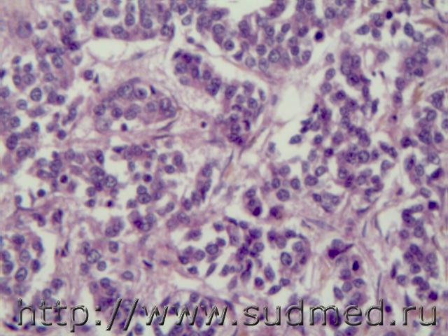
Полиморфноклеточный внутрипротоковый рак молочной железы с метастазом в легкие.


Эскизы прикрепленных изображений
Судебная медицина - Прикрепленное изображение Судебная медицина - Прикрепленное изображение Судебная медицина - Прикрепленное изображение Судебная медицина - Прикрепленное изображение Судебная медицина - Прикрепленное изображение Судебная медицина - Прикрепленное изображение Судебная медицина - Прикрепленное изображение Судебная медицина - Прикрепленное изображение Судебная медицина - Прикрепленное изображение Судебная медицина - Прикрепленное изображение Судебная медицина - Прикрепленное изображение
Пользователь offline
К началу страницы
+Ответить с цитированием
доктор морфолог
сообщение 15.04.2015 - 11:49
Сообщение #756


Мастер I

Группа: СМЭ
Регистрация: 5.12.2013
Пользователь №: 38 421


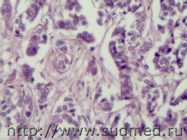
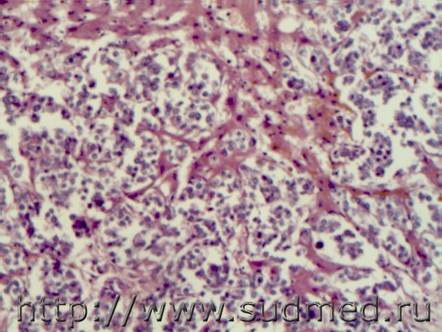
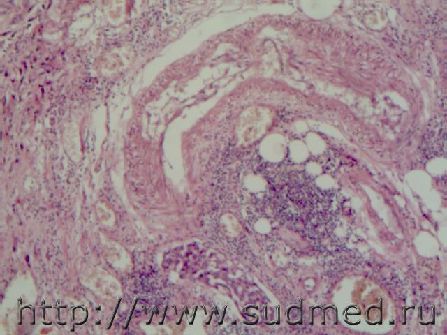
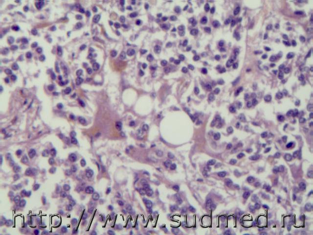
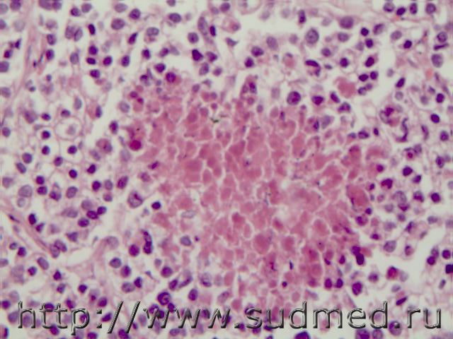
Ж.80 лет.Метастаз в печени злокачественного карциноида из поджелудочной железы(солидный , трабекулярный вариант, метастатические опухолевые эмболы в сосудах)


Эскизы прикрепленных изображений
Судебная медицина - Прикрепленное изображение Судебная медицина - Прикрепленное изображение Судебная медицина - Прикрепленное изображение Судебная медицина - Прикрепленное изображение Судебная медицина - Прикрепленное изображение Судебная медицина - Прикрепленное изображение Судебная медицина - Прикрепленное изображение Судебная медицина - Прикрепленное изображение Судебная медицина - Прикрепленное изображение Судебная медицина - Прикрепленное изображение Судебная медицина - Прикрепленное изображение Судебная медицина - Прикрепленное изображение Судебная медицина - Прикрепленное изображение Судебная медицина - Прикрепленное изображение
Пользователь offline
К началу страницы
+Ответить с цитированием
andy_bob
сообщение 15.04.2015 - 12:15
Сообщение #757


Участник форума

Группа: Участники
Регистрация: 15.11.2006
Из: Волгоград
Пользователь №: 3 504


доброкачественная хондрома



Сообщение отредактировал andy_bob - 15.04.2015 - 12:17


Эскизы прикрепленных изображений
Судебная медицина - Прикрепленное изображение
Пользователь offline
К началу страницы
+Ответить с цитированием
доктор морфолог
сообщение 17.04.2015 - 11:42
Сообщение #758


Мастер I

Группа: СМЭ
Регистрация: 5.12.2013
Пользователь №: 38 421


Крупноклеточный рак легких с очагами некроза.


Сообщение отредактировал доктор морфолог - 17.04.2015 - 19:03


Эскизы прикрепленных изображений
Судебная медицина - Прикрепленное изображение Судебная медицина - Прикрепленное изображение Судебная медицина - Прикрепленное изображение Судебная медицина - Прикрепленное изображение Судебная медицина - Прикрепленное изображение Судебная медицина - Прикрепленное изображение Судебная медицина - Прикрепленное изображение Судебная медицина - Прикрепленное изображение Судебная медицина - Прикрепленное изображение Судебная медицина - Прикрепленное изображение Судебная медицина - Прикрепленное изображение Судебная медицина - Прикрепленное изображение Судебная медицина - Прикрепленное изображение Судебная медицина - Прикрепленное изображение Судебная медицина - Прикрепленное изображение Судебная медицина - Прикрепленное изображение Судебная медицина - Прикрепленное изображение
Пользователь offline
К началу страницы
+Ответить с цитированием
доктор морфолог
сообщение 17.04.2015 - 11:54
Сообщение #759


Мастер I

Группа: СМЭ
Регистрация: 5.12.2013
Пользователь №: 38 421


Тромбоз сосудов легких( четкое прикрепление тромба с поврежденного участка эндотелия стенки сосуда).


Эскизы прикрепленных изображений
Судебная медицина - Прикрепленное изображение Судебная медицина - Прикрепленное изображение Судебная медицина - Прикрепленное изображение Судебная медицина - Прикрепленное изображение Судебная медицина - Прикрепленное изображение Судебная медицина - Прикрепленное изображение
Пользователь offline
К началу страницы
+Ответить с цитированием
доктор морфолог
сообщение 17.04.2015 - 12:02
Сообщение #760


Мастер I

Группа: СМЭ
Регистрация: 5.12.2013
Пользователь №: 38 421


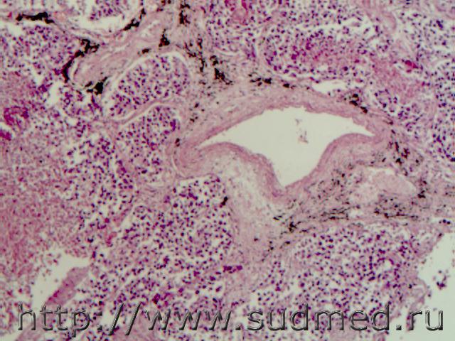
Метастазы в печень плоскоклеточного рака не уточненной локализации( в печени опухолевые эмболы и в лимфатическом узле в синусоидах опухолевые эмболы).


Эскизы прикрепленных изображений
Судебная медицина - Прикрепленное изображение Судебная медицина - Прикрепленное изображение Судебная медицина - Прикрепленное изображение Судебная медицина - Прикрепленное изображение Судебная медицина - Прикрепленное изображение Судебная медицина - Прикрепленное изображение Судебная медицина - Прикрепленное изображение Судебная медицина - Прикрепленное изображение
Пользователь offline
К началу страницы
+Ответить с цитированием
Медик
сообщение 20.04.2015 - 11:39
Сообщение #761


Учитель
Group Icon
Группа: Модераторы
Регистрация: 16.05.2010
Пользователь №: 21 553


Толстая кишка.Обратите внимание на цвет.


Эскизы прикрепленных изображений
Судебная медицина - Прикрепленное изображение Судебная медицина - Прикрепленное изображение Судебная медицина - Прикрепленное изображение
Пользователь offline
К началу страницы
+Ответить с цитированием
доктор морфолог
сообщение 22.04.2015 - 09:48
Сообщение #762


Мастер I

Группа: СМЭ
Регистрация: 5.12.2013
Пользователь №: 38 421


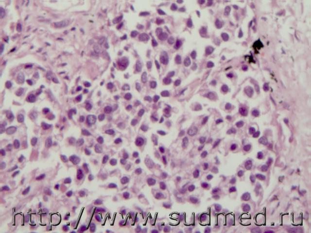
Анапластическая(злокачественная) эпендимома головного мозга с инвазией в мягкую и твердую оболочки и инфильтрацией в вещество мозга.

Сообщение отредактировал доктор морфолог - 22.04.2015 - 11:44


Эскизы прикрепленных изображений
Судебная медицина - Прикрепленное изображение Судебная медицина - Прикрепленное изображение Судебная медицина - Прикрепленное изображение Судебная медицина - Прикрепленное изображение Судебная медицина - Прикрепленное изображение Судебная медицина - Прикрепленное изображение Судебная медицина - Прикрепленное изображение Судебная медицина - Прикрепленное изображение Судебная медицина - Прикрепленное изображение Судебная медицина - Прикрепленное изображение Судебная медицина - Прикрепленное изображение Судебная медицина - Прикрепленное изображение Судебная медицина - Прикрепленное изображение Судебная медицина - Прикрепленное изображение
Пользователь offline
К началу страницы
+Ответить с цитированием
доктор морфолог
сообщение 22.04.2015 - 11:53
Сообщение #763


Мастер I

Группа: СМЭ
Регистрация: 5.12.2013
Пользователь №: 38 421


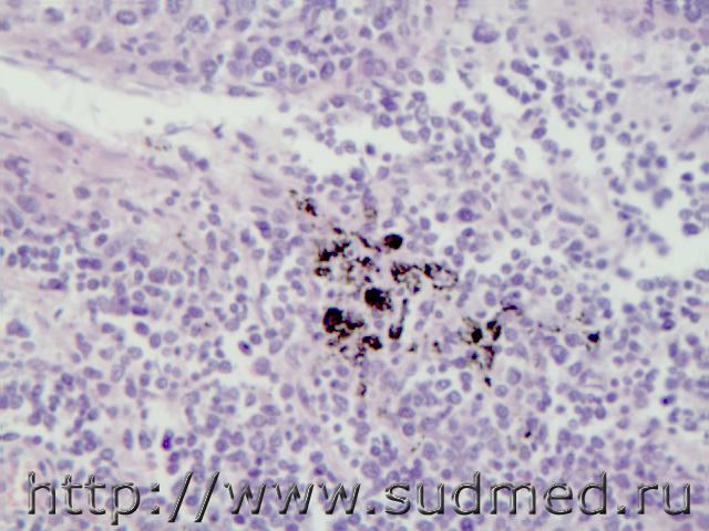
Лимфосаркома(лимфоузлы легких и брыжейки, укрупненные ядра с изменением формы с выемкой(расщепление), если по внимательнее смотреть и В-лимофцитарного генеза и характерные для пролимфоцитарной лимосаркомы.

Сообщение отредактировал доктор морфолог - 22.04.2015 - 11:57


Эскизы прикрепленных изображений
Судебная медицина - Прикрепленное изображение Судебная медицина - Прикрепленное изображение Судебная медицина - Прикрепленное изображение Судебная медицина - Прикрепленное изображение Судебная медицина - Прикрепленное изображение Судебная медицина - Прикрепленное изображение Судебная медицина - Прикрепленное изображение Судебная медицина - Прикрепленное изображение
Пользователь offline
К началу страницы
+Ответить с цитированием
Медик
сообщение 22.04.2015 - 12:59
Сообщение #764


Учитель
Group Icon
Группа: Модераторы
Регистрация: 16.05.2010
Пользователь №: 21 553


Укушенные раны языка.Острая кровопотеря.
Страдал эпилепсией.


Эскизы прикрепленных изображений
Судебная медицина - Прикрепленное изображение Судебная медицина - Прикрепленное изображение Судебная медицина - Прикрепленное изображение
Пользователь offline
К началу страницы
+Ответить с цитированием
доктор морфолог
сообщение 24.04.2015 - 11:39
Сообщение #765


Мастер I

Группа: СМЭ
Регистрация: 5.12.2013
Пользователь №: 38 421


Карциноидная опухоль прямой кишки с инвазией в параректальную клетчатку и с метастазами в печень, легкие(аденоидной, тубулярной и солидной структуры)


Эскизы прикрепленных изображений
Судебная медицина - Прикрепленное изображение Судебная медицина - Прикрепленное изображение Судебная медицина - Прикрепленное изображение Судебная медицина - Прикрепленное изображение Судебная медицина - Прикрепленное изображение Судебная медицина - Прикрепленное изображение Судебная медицина - Прикрепленное изображение Судебная медицина - Прикрепленное изображение Судебная медицина - Прикрепленное изображение Судебная медицина - Прикрепленное изображение Судебная медицина - Прикрепленное изображение Судебная медицина - Прикрепленное изображение Судебная медицина - Прикрепленное изображение Судебная медицина - Прикрепленное изображение
Пользователь offline
К началу страницы
+Ответить с цитированием

75 страниц V « < 49 50 51 52 53 > » 



- Обратная связь Сейчас: 13.10.2025 - 11:39