Здравствуйте, гость ( Вход | Регистрация )

Форум судебных медиков России
>   Правила раздела >

Здесь обсуждаются вопросы судебно-медицинской танатологии и судебно-медицинской гистологии.

 
75 страниц V « < 50 51 52 53 54 > »   
>

Просто иллюстрации, фотографии интересных случаев

Рейтинг  5
>
доктор морфолог
сообщение 29.04.2015 - 11:53
Сообщение #766


Мастер I

Группа: СМЭ
Регистрация: 5.12.2013
Пользователь №: 38 421


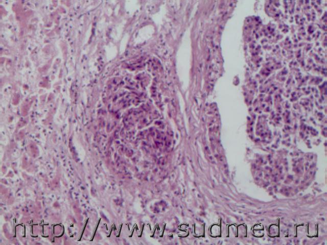
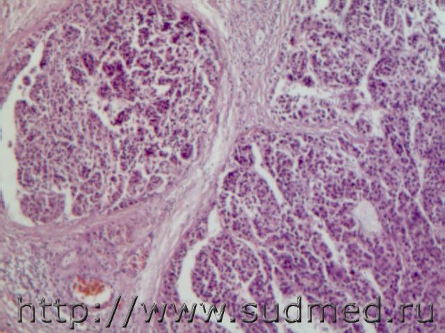
Эпидермоидный рак легких с метастазами л/у и в миокард( центральным ороговением,стратификацией, базальноклеточная ориентация, плоские клетки с межклеточными мостиками)


Эскизы прикрепленных изображений
Судебная медицина - Прикрепленное изображение Судебная медицина - Прикрепленное изображение Судебная медицина - Прикрепленное изображение Судебная медицина - Прикрепленное изображение Судебная медицина - Прикрепленное изображение Судебная медицина - Прикрепленное изображение Судебная медицина - Прикрепленное изображение Судебная медицина - Прикрепленное изображение Судебная медицина - Прикрепленное изображение Судебная медицина - Прикрепленное изображение Судебная медицина - Прикрепленное изображение Судебная медицина - Прикрепленное изображение Судебная медицина - Прикрепленное изображение
Пользователь offline
К началу страницы
+Ответить с цитированием
Norman
сообщение 30.04.2015 - 12:54
Сообщение #767


Авторитетный участник

Группа: СМЭ
Регистрация: 2.01.2010
Пользователь №: 19 127


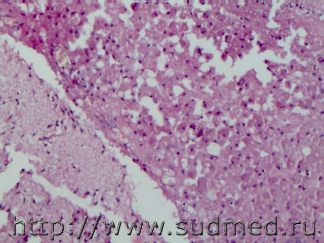
Вот такие изменения печени обнаружены на вскрытии. На висцеральной поверхности печени аналогичные изменения.
Вероятнее всего это последствия травмы. В Калитиевском подобные изменения описаны именно как посттравматические.


Эскизы прикрепленных изображений
Судебная медицина - Прикрепленное изображение
Пользователь offline
К началу страницы
+Ответить с цитированием
доктор морфолог
сообщение 4.05.2015 - 11:59
Сообщение #768


Мастер I

Группа: СМЭ
Регистрация: 5.12.2013
Пользователь №: 38 421


Аденоматоз печени с переходом в карциному( видны помимо гиперхромности и единичные патологические митозы)


Эскизы прикрепленных изображений
Судебная медицина - Прикрепленное изображение Судебная медицина - Прикрепленное изображение Судебная медицина - Прикрепленное изображение Судебная медицина - Прикрепленное изображение Судебная медицина - Прикрепленное изображение Судебная медицина - Прикрепленное изображение Судебная медицина - Прикрепленное изображение Судебная медицина - Прикрепленное изображение Судебная медицина - Прикрепленное изображение Судебная медицина - Прикрепленное изображение Судебная медицина - Прикрепленное изображение Судебная медицина - Прикрепленное изображение
Пользователь offline
К началу страницы
+Ответить с цитированием
Norman
сообщение 6.05.2015 - 12:49
Сообщение #769


Авторитетный участник

Группа: СМЭ
Регистрация: 2.01.2010
Пользователь №: 19 127


Слоновость.


Эскизы прикрепленных изображений
Судебная медицина - Прикрепленное изображение
Пользователь offline
К началу страницы
+Ответить с цитированием
andron15111987
сообщение 6.05.2015 - 14:08
Сообщение #770


Знаток форума
Group Icon
Группа: СМЭ
Регистрация: 25.05.2013
Из: Восточная сибирь
Пользователь №: 36 796


Острый двусторонний гнойный апостематозный пиелонефрит. Карбункулы почек. Простите за качество фото.

Сообщение отредактировал andron15111987 - 6.05.2015 - 14:11


Эскизы прикрепленных изображений
Судебная медицина - Прикрепленное изображение Судебная медицина - Прикрепленное изображение Судебная медицина - Прикрепленное изображение
Пользователь offline
К началу страницы
+Ответить с цитированием
Югросс
сообщение 6.05.2015 - 16:15
Сообщение #771


Знаток форума
Group Icon
Группа: СМЭ
Регистрация: 1.03.2010
Из: Юг России
Пользователь №: 20 320


Эхинококкоз сердца

Сообщение отредактировал Югросс - 6.05.2015 - 16:15


Эскизы прикрепленных изображений
Судебная медицина - Прикрепленное изображение
Пользователь offline
К началу страницы
+Ответить с цитированием
доктор морфолог
сообщение 8.05.2015 - 10:08
Сообщение #772


Мастер I

Группа: СМЭ
Регистрация: 5.12.2013
Пользователь №: 38 421


Реб. возраст 1.5 мес. ЗЧМТ. 12 к/д. Признаки РДСН(гиалиновые мембраны, отек, кровоизлияние,ателектазы) с грибковым поражением легких.


Эскизы прикрепленных изображений
Судебная медицина - Прикрепленное изображение Судебная медицина - Прикрепленное изображение Судебная медицина - Прикрепленное изображение Судебная медицина - Прикрепленное изображение Судебная медицина - Прикрепленное изображение Судебная медицина - Прикрепленное изображение Судебная медицина - Прикрепленное изображение Судебная медицина - Прикрепленное изображение Судебная медицина - Прикрепленное изображение Судебная медицина - Прикрепленное изображение Судебная медицина - Прикрепленное изображение Судебная медицина - Прикрепленное изображение
Пользователь offline
К началу страницы
+Ответить с цитированием
доктор морфолог
сообщение 8.05.2015 - 10:18
Сообщение #773


Мастер I

Группа: СМЭ
Регистрация: 5.12.2013
Пользователь №: 38 421


Тот же случай.ЗЧМТ.за 12 к\д изменение мягкой мозговой оболочки со множеством зернистых оксифильных шаров. В веществе коры г/м видны очаги ишемического размягчения и кровоизлияния, отек, дистрофия. некробиоз и некроз нейроцитов.


Эскизы прикрепленных изображений
Судебная медицина - Прикрепленное изображение Судебная медицина - Прикрепленное изображение Судебная медицина - Прикрепленное изображение Судебная медицина - Прикрепленное изображение Судебная медицина - Прикрепленное изображение Судебная медицина - Прикрепленное изображение Судебная медицина - Прикрепленное изображение Судебная медицина - Прикрепленное изображение Судебная медицина - Прикрепленное изображение Судебная медицина - Прикрепленное изображение Судебная медицина - Прикрепленное изображение Судебная медицина - Прикрепленное изображение Судебная медицина - Прикрепленное изображение Судебная медицина - Прикрепленное изображение Судебная медицина - Прикрепленное изображение Судебная медицина - Прикрепленное изображение Судебная медицина - Прикрепленное изображение
Пользователь offline
К началу страницы
+Ответить с цитированием
доктор морфолог
сообщение 13.05.2015 - 12:51
Сообщение #774


Мастер I

Группа: СМЭ
Регистрация: 5.12.2013
Пользователь №: 38 421


Светлоклеточный рак почки с гематогенным метастазом в легкие.(крупные клетки со светлой цитоплазмой и в почке и в легком видны очаги распада)

Сообщение отредактировал доктор морфолог - 13.05.2015 - 12:53


Эскизы прикрепленных изображений
Судебная медицина - Прикрепленное изображение Судебная медицина - Прикрепленное изображение Судебная медицина - Прикрепленное изображение Судебная медицина - Прикрепленное изображение Судебная медицина - Прикрепленное изображение Судебная медицина - Прикрепленное изображение Судебная медицина - Прикрепленное изображение Судебная медицина - Прикрепленное изображение Судебная медицина - Прикрепленное изображение Судебная медицина - Прикрепленное изображение Судебная медицина - Прикрепленное изображение Судебная медицина - Прикрепленное изображение Судебная медицина - Прикрепленное изображение Судебная медицина - Прикрепленное изображение Судебная медицина - Прикрепленное изображение Судебная медицина - Прикрепленное изображение
Пользователь offline
К началу страницы
+Ответить с цитированием
доктор морфолог
сообщение 15.05.2015 - 11:35
Сообщение #775


Мастер I

Группа: СМЭ
Регистрация: 5.12.2013
Пользователь №: 38 421


Нефробластома эпителиальная у взрослого(тубулярного и псевдососочкового типа) с метастазом в печень.


Эскизы прикрепленных изображений
Судебная медицина - Прикрепленное изображение Судебная медицина - Прикрепленное изображение Судебная медицина - Прикрепленное изображение Судебная медицина - Прикрепленное изображение Судебная медицина - Прикрепленное изображение Судебная медицина - Прикрепленное изображение Судебная медицина - Прикрепленное изображение
Пользователь offline
К началу страницы
+Ответить с цитированием
доктор морфолог
сообщение 15.05.2015 - 11:46
Сообщение #776


Мастер I

Группа: СМЭ
Регистрация: 5.12.2013
Пользователь №: 38 421


Нехроммафинная параганглиома (злокачественная) с метастазами в печень и легкие(в плевре и в сосудах эмболики).

Сообщение отредактировал доктор морфолог - 15.05.2015 - 14:54


Эскизы прикрепленных изображений
Судебная медицина - Прикрепленное изображение Судебная медицина - Прикрепленное изображение Судебная медицина - Прикрепленное изображение Судебная медицина - Прикрепленное изображение Судебная медицина - Прикрепленное изображение Судебная медицина - Прикрепленное изображение Судебная медицина - Прикрепленное изображение Судебная медицина - Прикрепленное изображение Судебная медицина - Прикрепленное изображение Судебная медицина - Прикрепленное изображение Судебная медицина - Прикрепленное изображение Судебная медицина - Прикрепленное изображение Судебная медицина - Прикрепленное изображение Судебная медицина - Прикрепленное изображение
Пользователь offline
К началу страницы
+Ответить с цитированием
доктор морфолог
сообщение 21.05.2015 - 11:58
Сообщение #777


Мастер I

Группа: СМЭ
Регистрация: 5.12.2013
Пользователь №: 38 421


М.67 лет.Метастаз в печень аденокарциномы желудка(коллоидный, слизистый рак желудка).

Сообщение отредактировал доктор морфолог - 21.05.2015 - 13:58


Эскизы прикрепленных изображений
Судебная медицина - Прикрепленное изображение Судебная медицина - Прикрепленное изображение Судебная медицина - Прикрепленное изображение Судебная медицина - Прикрепленное изображение Судебная медицина - Прикрепленное изображение Судебная медицина - Прикрепленное изображение Судебная медицина - Прикрепленное изображение Судебная медицина - Прикрепленное изображение Судебная медицина - Прикрепленное изображение Судебная медицина - Прикрепленное изображение Судебная медицина - Прикрепленное изображение Судебная медицина - Прикрепленное изображение
Пользователь offline
К началу страницы
+Ответить с цитированием
доктор морфолог
сообщение 26.05.2015 - 11:57
Сообщение #778


Мастер I

Группа: СМЭ
Регистрация: 5.12.2013
Пользователь №: 38 421


М.70 лет.ЦВЗ. Ишемический восходящий отек спинного мозга(гематоксилиновые тельца, хронический менингит.) В белом веществе виден войлочность (ишемическое разрежение субстрата)рисунка,нейроциты в сером веществе набухшие с зернистостью цитоплазмы с гомогенизацией ядер. Эпителии центрального канала в состоянии реактивной пролиферации, стенка артериол МО склеротически изменены.МО с умеренной лимфоцитарной инфильтрацией с примесями арахноидэндотелии, глиальных макрофагов с единичными плазмацитоподбными клетками.

Сообщение отредактировал доктор морфолог - 26.05.2015 - 15:16


Эскизы прикрепленных изображений
Судебная медицина - Прикрепленное изображение Судебная медицина - Прикрепленное изображение Судебная медицина - Прикрепленное изображение Судебная медицина - Прикрепленное изображение Судебная медицина - Прикрепленное изображение Судебная медицина - Прикрепленное изображение Судебная медицина - Прикрепленное изображение Судебная медицина - Прикрепленное изображение Судебная медицина - Прикрепленное изображение Судебная медицина - Прикрепленное изображение Судебная медицина - Прикрепленное изображение Судебная медицина - Прикрепленное изображение Судебная медицина - Прикрепленное изображение Судебная медицина - Прикрепленное изображение Судебная медицина - Прикрепленное изображение
Пользователь offline
К началу страницы
+Ответить с цитированием
Медик
сообщение 27.05.2015 - 14:28
Сообщение #779


Учитель
Group Icon
Группа: Модераторы
Регистрация: 16.05.2010
Пользователь №: 21 553


Цвет толстой кишки.


Эскизы прикрепленных изображений
Судебная медицина - Прикрепленное изображение Судебная медицина - Прикрепленное изображение Судебная медицина - Прикрепленное изображение
Пользователь offline
К началу страницы
+Ответить с цитированием
Медик
сообщение 27.05.2015 - 14:34
Сообщение #780


Учитель
Group Icon
Группа: Модераторы
Регистрация: 16.05.2010
Пользователь №: 21 553


Нейрофиброматоз.


Эскизы прикрепленных изображений
Судебная медицина - Прикрепленное изображение Судебная медицина - Прикрепленное изображение Судебная медицина - Прикрепленное изображение Судебная медицина - Прикрепленное изображение
Пользователь offline
К началу страницы
+Ответить с цитированием

75 страниц V « < 50 51 52 53 54 > » 



- Обратная связь Сейчас: 13.10.2025 - 13:11