Здравствуйте, гость ( Вход | Регистрация )

Форум судебных медиков России
>   Правила раздела >

Здесь обсуждаются вопросы судебно-медицинской танатологии и судебно-медицинской гистологии.

 
75 страниц V « < 52 53 54 55 56 > »   
>

Просто иллюстрации, фотографии интересных случаев

Рейтинг  5
>
доктор морфолог
сообщение 14.08.2015 - 12:26
Сообщение #796


Мастер I

Группа: СМЭ
Регистрация: 5.12.2013
Пользователь №: 38 421


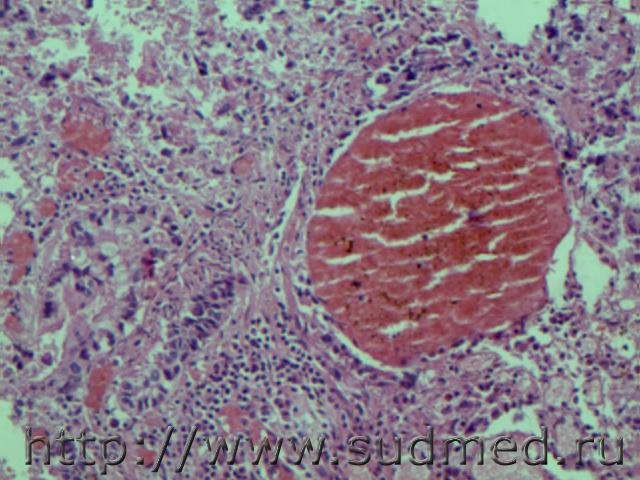
М.70 лет. ЦВБ.Ишемический инфаркт головного мозга( в очагах размягчения и некроза видны зернистые шары-макрофаги, клетки -тени. В ММО склероз, гиалиноз артерии и тромбоз сосудов)

Сообщение отредактировал доктор морфолог - 14.08.2015 - 12:27


Эскизы прикрепленных изображений
Судебная медицина - Прикрепленное изображение Судебная медицина - Прикрепленное изображение Судебная медицина - Прикрепленное изображение Судебная медицина - Прикрепленное изображение Судебная медицина - Прикрепленное изображение Судебная медицина - Прикрепленное изображение Судебная медицина - Прикрепленное изображение Судебная медицина - Прикрепленное изображение Судебная медицина - Прикрепленное изображение Судебная медицина - Прикрепленное изображение Судебная медицина - Прикрепленное изображение Судебная медицина - Прикрепленное изображение Судебная медицина - Прикрепленное изображение
Пользователь offline
К началу страницы
+Ответить с цитированием
доктор морфолог
сообщение 19.08.2015 - 10:23
Сообщение #797


Мастер I

Группа: СМЭ
Регистрация: 5.12.2013
Пользователь №: 38 421


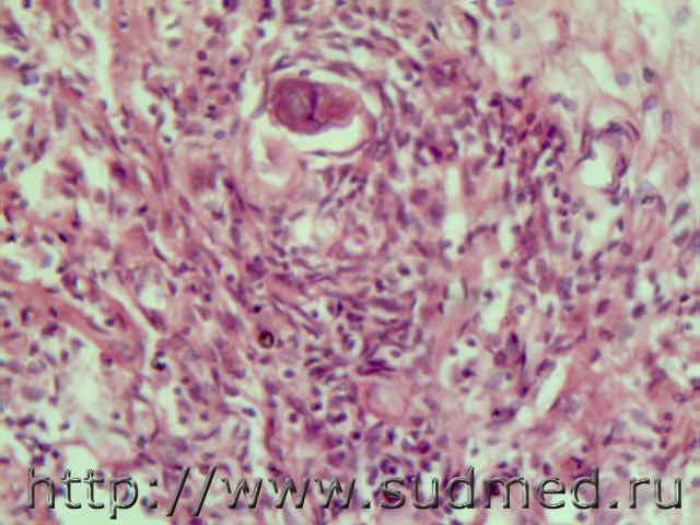
Родовая травма( в почке очаг ушиба с развитием некроза и вокруг очага ушиба демаркация от старого кровоизлияния образовались гемосидерины, в просвете отдельных канальцев видны мио - и гемоглобиновые цилиндры) роды естественным путем, ягодичное предлежание. Новорожденный, возраст 28 дней.
Осложнения: 2-х сторонняя гнойная пневмония.

Сообщение отредактировал доктор морфолог - 19.08.2015 - 10:30


Эскизы прикрепленных изображений
Судебная медицина - Прикрепленное изображение Судебная медицина - Прикрепленное изображение Судебная медицина - Прикрепленное изображение Судебная медицина - Прикрепленное изображение Судебная медицина - Прикрепленное изображение Судебная медицина - Прикрепленное изображение Судебная медицина - Прикрепленное изображение Судебная медицина - Прикрепленное изображение Судебная медицина - Прикрепленное изображение Судебная медицина - Прикрепленное изображение Судебная медицина - Прикрепленное изображение Судебная медицина - Прикрепленное изображение Судебная медицина - Прикрепленное изображение Судебная медицина - Прикрепленное изображение Судебная медицина - Прикрепленное изображение Судебная медицина - Прикрепленное изображение Судебная медицина - Прикрепленное изображение Судебная медицина - Прикрепленное изображение Судебная медицина - Прикрепленное изображение Судебная медицина - Прикрепленное изображение Судебная медицина - Прикрепленное изображение
Пользователь offline
К началу страницы
+Ответить с цитированием
Югросс
сообщение 19.08.2015 - 15:41
Сообщение #798


Знаток форума
Group Icon
Группа: СМЭ
Регистрация: 1.03.2010
Из: Юг России
Пользователь №: 20 320


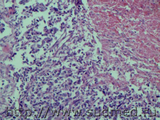
Аспирация крови (ЧМТ, перелом основания черепа): следы пенистой крови в дыхательных путях, изменения легочной ткани Судебная медицина - Прикрепленное изображение Судебная медицина - Прикрепленное изображение
Пользователь offline
К началу страницы
+Ответить с цитированием
доктор морфолог
сообщение 20.08.2015 - 08:33
Сообщение #799


Мастер I

Группа: СМЭ
Регистрация: 5.12.2013
Пользователь №: 38 421


М.58лет. Инвазивный плоскоклеточный рак гортани( раковые жемчужины, инвазия в мышечные слой)


Эскизы прикрепленных изображений
Судебная медицина - Прикрепленное изображение Судебная медицина - Прикрепленное изображение Судебная медицина - Прикрепленное изображение Судебная медицина - Прикрепленное изображение Судебная медицина - Прикрепленное изображение Судебная медицина - Прикрепленное изображение Судебная медицина - Прикрепленное изображение Судебная медицина - Прикрепленное изображение Судебная медицина - Прикрепленное изображение Судебная медицина - Прикрепленное изображение Судебная медицина - Прикрепленное изображение Судебная медицина - Прикрепленное изображение Судебная медицина - Прикрепленное изображение Судебная медицина - Прикрепленное изображение Судебная медицина - Прикрепленное изображение Судебная медицина - Прикрепленное изображение Судебная медицина - Прикрепленное изображение
Пользователь offline
К началу страницы
+Ответить с цитированием
доктор морфолог
сообщение 24.08.2015 - 11:46
Сообщение #800


Мастер I

Группа: СМЭ
Регистрация: 5.12.2013
Пользователь №: 38 421


Акцидентальная инволюция тимуса( к сообщению 801) - 3-4 степени(родовая травма)новорожденного., возраст 28 дней. Корковая зона не определяется, в мозговой зоне единичные тельца гассаля, междольковые прослойки широкие.


Эскизы прикрепленных изображений
Судебная медицина - Прикрепленное изображение Судебная медицина - Прикрепленное изображение Судебная медицина - Прикрепленное изображение Судебная медицина - Прикрепленное изображение Судебная медицина - Прикрепленное изображение Судебная медицина - Прикрепленное изображение Судебная медицина - Прикрепленное изображение Судебная медицина - Прикрепленное изображение Судебная медицина - Прикрепленное изображение
Пользователь offline
К началу страницы
+Ответить с цитированием
доктор морфолог
сообщение 24.08.2015 - 11:54
Сообщение #801


Мастер I

Группа: СМЭ
Регистрация: 5.12.2013
Пользователь №: 38 421


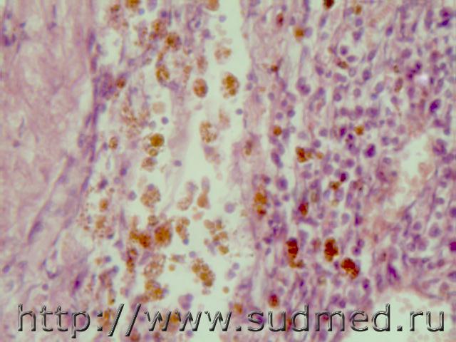
К сообщению 801. родовая травма надпочечника(гемосидерины в местах старого кровоизлияния и вторичные свежие кровоизлияния) при ягодичном предлежании.Возраст 28 дней.


Эскизы прикрепленных изображений
Судебная медицина - Прикрепленное изображение Судебная медицина - Прикрепленное изображение Судебная медицина - Прикрепленное изображение Судебная медицина - Прикрепленное изображение Судебная медицина - Прикрепленное изображение Судебная медицина - Прикрепленное изображение Судебная медицина - Прикрепленное изображение Судебная медицина - Прикрепленное изображение Судебная медицина - Прикрепленное изображение Судебная медицина - Прикрепленное изображение Судебная медицина - Прикрепленное изображение
Пользователь offline
К началу страницы
+Ответить с цитированием
доктор морфолог
сообщение 27.08.2015 - 11:52
Сообщение #802


Мастер I

Группа: СМЭ
Регистрация: 5.12.2013
Пользователь №: 38 421


Муцинозная аденофиброма яичника с псаммомными тельцами( вроде кальцинаты, но на большем увеличении циркулярность строения -псамоммные тельца), желтые тела в разной степени регрессирования, примордиальные фолликулы.

Сообщение отредактировал доктор морфолог - 27.08.2015 - 11:53


Эскизы прикрепленных изображений
Судебная медицина - Прикрепленное изображение Судебная медицина - Прикрепленное изображение Судебная медицина - Прикрепленное изображение Судебная медицина - Прикрепленное изображение Судебная медицина - Прикрепленное изображение Судебная медицина - Прикрепленное изображение Судебная медицина - Прикрепленное изображение Судебная медицина - Прикрепленное изображение Судебная медицина - Прикрепленное изображение Судебная медицина - Прикрепленное изображение Судебная медицина - Прикрепленное изображение Судебная медицина - Прикрепленное изображение Судебная медицина - Прикрепленное изображение Судебная медицина - Прикрепленное изображение Судебная медицина - Прикрепленное изображение
Пользователь offline
К началу страницы
+Ответить с цитированием
Медик
сообщение 29.08.2015 - 11:12
Сообщение #803


Учитель
Group Icon
Группа: Модераторы
Регистрация: 16.05.2010
Пользователь №: 21 553


Пищевод.


Эскизы прикрепленных изображений
Судебная медицина - Прикрепленное изображение
Пользователь offline
К началу страницы
+Ответить с цитированием
Медик
сообщение 29.08.2015 - 11:20
Сообщение #804


Учитель
Group Icon
Группа: Модераторы
Регистрация: 16.05.2010
Пользователь №: 21 553


Подковообразная почка.


Эскизы прикрепленных изображений
Судебная медицина - Прикрепленное изображение
Пользователь offline
К началу страницы
+Ответить с цитированием
Югросс
сообщение 30.08.2015 - 12:26
Сообщение #805


Знаток форума
Group Icon
Группа: СМЭ
Регистрация: 1.03.2010
Из: Юг России
Пользователь №: 20 320


Отравление уксусной кислотой: химические ожоги пищевода и желудка

Судебная медицина - Прикрепленное изображениеСудебная медицина - Прикрепленное изображение
Пользователь offline
К началу страницы
+Ответить с цитированием
доктор морфолог
сообщение 2.09.2015 - 08:17
Сообщение #806


Мастер I

Группа: СМЭ
Регистрация: 5.12.2013
Пользователь №: 38 421


Злокачественный карциноид желудка с метастазами в печень.

Сообщение отредактировал доктор морфолог - 2.09.2015 - 08:22


Эскизы прикрепленных изображений
Судебная медицина - Прикрепленное изображение Судебная медицина - Прикрепленное изображение Судебная медицина - Прикрепленное изображение Судебная медицина - Прикрепленное изображение Судебная медицина - Прикрепленное изображение Судебная медицина - Прикрепленное изображение Судебная медицина - Прикрепленное изображение Судебная медицина - Прикрепленное изображение Судебная медицина - Прикрепленное изображение Судебная медицина - Прикрепленное изображение Судебная медицина - Прикрепленное изображение Судебная медицина - Прикрепленное изображение Судебная медицина - Прикрепленное изображение Судебная медицина - Прикрепленное изображение Судебная медицина - Прикрепленное изображение
Пользователь offline
К началу страницы
+Ответить с цитированием
доктор морфолог
сообщение 8.09.2015 - 10:04
Сообщение #807


Мастер I

Группа: СМЭ
Регистрация: 5.12.2013
Пользователь №: 38 421


М.65лет. Слизистая аденокарцинома желудка с инвазией и метастазами в печень, легкие( редко но видны перстневидные клетки).


Эскизы прикрепленных изображений
Судебная медицина - Прикрепленное изображение Судебная медицина - Прикрепленное изображение Судебная медицина - Прикрепленное изображение Судебная медицина - Прикрепленное изображение Судебная медицина - Прикрепленное изображение Судебная медицина - Прикрепленное изображение Судебная медицина - Прикрепленное изображение Судебная медицина - Прикрепленное изображение Судебная медицина - Прикрепленное изображение Судебная медицина - Прикрепленное изображение Судебная медицина - Прикрепленное изображение Судебная медицина - Прикрепленное изображение Судебная медицина - Прикрепленное изображение Судебная медицина - Прикрепленное изображение Судебная медицина - Прикрепленное изображение Судебная медицина - Прикрепленное изображение Судебная медицина - Прикрепленное изображение Судебная медицина - Прикрепленное изображение Судебная медицина - Прикрепленное изображение
Пользователь offline
К началу страницы
+Ответить с цитированием
доктор морфолог
сообщение 8.09.2015 - 10:12
Сообщение #808


Мастер I

Группа: СМЭ
Регистрация: 5.12.2013
Пользователь №: 38 421


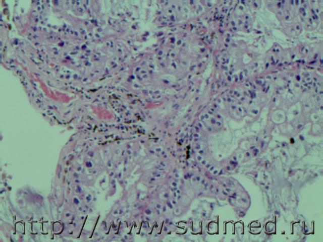
М.69 л. Хронический пиелонефрит(щитовидно-измененные канальцы), в слизистой ЧЛС четко видны гнезды Брунна, наблюдается нарушение полярности и пролиферация переходноклеточных эпителии.

Сообщение отредактировал доктор морфолог - 8.09.2015 - 10:36


Эскизы прикрепленных изображений
Судебная медицина - Прикрепленное изображение Судебная медицина - Прикрепленное изображение Судебная медицина - Прикрепленное изображение Судебная медицина - Прикрепленное изображение Судебная медицина - Прикрепленное изображение Судебная медицина - Прикрепленное изображение Судебная медицина - Прикрепленное изображение Судебная медицина - Прикрепленное изображение Судебная медицина - Прикрепленное изображение Судебная медицина - Прикрепленное изображение Судебная медицина - Прикрепленное изображение Судебная медицина - Прикрепленное изображение
Пользователь offline
К началу страницы
+Ответить с цитированием
доктор морфолог
сообщение 21.09.2015 - 12:34
Сообщение #809


Мастер I

Группа: СМЭ
Регистрация: 5.12.2013
Пользователь №: 38 421


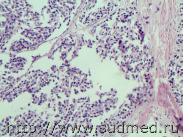
М.78 лет. Умереннодифференцированный переходноклеточный рак (3-4 степени)язвенно-инфильтративной формой роста.(отмечается выраженная инвазия, метастазы в окружающую жировую ткань,обширные пласты,низкое я/ц соотношение,в толще раковых комплексов наблюдается мелкие очажки плоскоклеточной и железистой метаплазии.грубый ядерное хроматиновое распределение с единичными нуклеоломегалией и единичные патологичесие митозы.


Эскизы прикрепленных изображений
Судебная медицина - Прикрепленное изображение Судебная медицина - Прикрепленное изображение Судебная медицина - Прикрепленное изображение Судебная медицина - Прикрепленное изображение Судебная медицина - Прикрепленное изображение Судебная медицина - Прикрепленное изображение Судебная медицина - Прикрепленное изображение Судебная медицина - Прикрепленное изображение Судебная медицина - Прикрепленное изображение Судебная медицина - Прикрепленное изображение Судебная медицина - Прикрепленное изображение Судебная медицина - Прикрепленное изображение Судебная медицина - Прикрепленное изображение Судебная медицина - Прикрепленное изображение Судебная медицина - Прикрепленное изображение
Пользователь offline
К началу страницы
+Ответить с цитированием
доктор морфолог
сообщение 22.09.2015 - 12:07
Сообщение #810


Мастер I

Группа: СМЭ
Регистрация: 5.12.2013
Пользователь №: 38 421


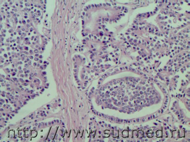
М.78 лет. тот же случай. Крупноацинарная аденокарцинома предстательной железы.


Эскизы прикрепленных изображений
Судебная медицина - Прикрепленное изображение Судебная медицина - Прикрепленное изображение Судебная медицина - Прикрепленное изображение Судебная медицина - Прикрепленное изображение Судебная медицина - Прикрепленное изображение Судебная медицина - Прикрепленное изображение Судебная медицина - Прикрепленное изображение Судебная медицина - Прикрепленное изображение Судебная медицина - Прикрепленное изображение Судебная медицина - Прикрепленное изображение Судебная медицина - Прикрепленное изображение
Пользователь offline
К началу страницы
+Ответить с цитированием

75 страниц V « < 52 53 54 55 56 > » 



- Обратная связь Сейчас: 13.10.2025 - 10:03