Здравствуйте, гость ( Вход | Регистрация )

Форум судебных медиков России
>   Правила раздела >

Здесь обсуждаются вопросы судебно-медицинской танатологии и судебно-медицинской гистологии.

 
75 страниц V « < 53 54 55 56 57 > »   
>

Просто иллюстрации, фотографии интересных случаев

Рейтинг  5
>
доктор морфолог
сообщение 25.09.2015 - 05:59
Сообщение #811


Мастер I

Группа: СМЭ
Регистрация: 5.12.2013
Пользователь №: 38 421


Ж.35лет.Гломусная опухоль кожи пальца( вокруг сосудов массивное расположение гломусных клеток с округлыми темно-синими ядрами).


Эскизы прикрепленных изображений
Судебная медицина - Прикрепленное изображение Судебная медицина - Прикрепленное изображение Судебная медицина - Прикрепленное изображение Судебная медицина - Прикрепленное изображение Судебная медицина - Прикрепленное изображение Судебная медицина - Прикрепленное изображение Судебная медицина - Прикрепленное изображение Судебная медицина - Прикрепленное изображение Судебная медицина - Прикрепленное изображение Судебная медицина - Прикрепленное изображение Судебная медицина - Прикрепленное изображение Судебная медицина - Прикрепленное изображение Судебная медицина - Прикрепленное изображение Судебная медицина - Прикрепленное изображение Судебная медицина - Прикрепленное изображение
Пользователь offline
К началу страницы
+Ответить с цитированием
доктор морфолог
сообщение 9.10.2015 - 10:03
Сообщение #812


Мастер I

Группа: СМЭ
Регистрация: 5.12.2013
Пользователь №: 38 421


М.64 лет.Поликистоз почки, гнойный нефрит с развитием нагноившейся кисты.( выстилающие кубические эпителии уплощены, в кистозных полостях гомогенная масса, местами видна лейкоцитарная масса).


Эскизы прикрепленных изображений
Судебная медицина - Прикрепленное изображение Судебная медицина - Прикрепленное изображение Судебная медицина - Прикрепленное изображение Судебная медицина - Прикрепленное изображение Судебная медицина - Прикрепленное изображение Судебная медицина - Прикрепленное изображение Судебная медицина - Прикрепленное изображение Судебная медицина - Прикрепленное изображение Судебная медицина - Прикрепленное изображение
Пользователь offline
К началу страницы
+Ответить с цитированием
доктор морфолог
сообщение 9.10.2015 - 11:50
Сообщение #813


Мастер I

Группа: СМЭ
Регистрация: 5.12.2013
Пользователь №: 38 421


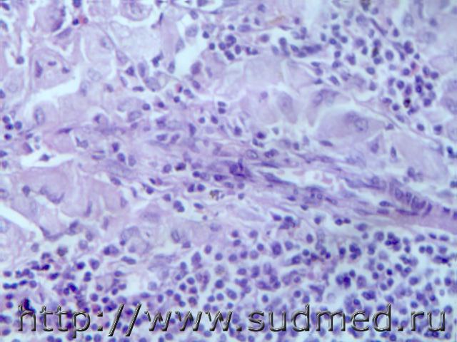
М.35 лет. Субдуральная гематома, стадия резорбции(рассасывания- выраженная сосудистая реакция, вновь образованные капилляры, фибробластные клетки разной степени зрелости, единичные внутри - вне клеточные гемосидерины, ), видно присоединение( вторичного) гнойного менингита.

Сообщение отредактировал доктор морфолог - 9.10.2015 - 11:51


Эскизы прикрепленных изображений
Судебная медицина - Прикрепленное изображение Судебная медицина - Прикрепленное изображение Судебная медицина - Прикрепленное изображение Судебная медицина - Прикрепленное изображение Судебная медицина - Прикрепленное изображение Судебная медицина - Прикрепленное изображение Судебная медицина - Прикрепленное изображение Судебная медицина - Прикрепленное изображение Судебная медицина - Прикрепленное изображение Судебная медицина - Прикрепленное изображение Судебная медицина - Прикрепленное изображение Судебная медицина - Прикрепленное изображение Судебная медицина - Прикрепленное изображение Судебная медицина - Прикрепленное изображение Судебная медицина - Прикрепленное изображение Судебная медицина - Прикрепленное изображение
Пользователь offline
К началу страницы
+Ответить с цитированием
доктор морфолог
сообщение 12.10.2015 - 12:45
Сообщение #814


Мастер I

Группа: СМЭ
Регистрация: 5.12.2013
Пользователь №: 38 421


Ребенок, 1.5 годика. Болезнь Гоше. Анализы крови отправлены в Европу, не дожил до результатов. На вскрытии огромная спленомегалия, гепатомегалия(селезенка очажками усеяна клетками гоше- огромные клетки с эксцентричными ядрами, цитоплазма пенисто-глыбчатая, местами имеются несколько ядер).

Сообщение отредактировал доктор морфолог - 12.10.2015 - 12:46


Эскизы прикрепленных изображений
Судебная медицина - Прикрепленное изображение Судебная медицина - Прикрепленное изображение Судебная медицина - Прикрепленное изображение Судебная медицина - Прикрепленное изображение Судебная медицина - Прикрепленное изображение Судебная медицина - Прикрепленное изображение Судебная медицина - Прикрепленное изображение Судебная медицина - Прикрепленное изображение Судебная медицина - Прикрепленное изображение Судебная медицина - Прикрепленное изображение Судебная медицина - Прикрепленное изображение Судебная медицина - Прикрепленное изображение Судебная медицина - Прикрепленное изображение Судебная медицина - Прикрепленное изображение Судебная медицина - Прикрепленное изображение Судебная медицина - Прикрепленное изображение
Пользователь offline
К началу страницы
+Ответить с цитированием
доктор морфолог
сообщение 16.10.2015 - 11:51
Сообщение #815


Мастер I

Группа: СМЭ
Регистрация: 5.12.2013
Пользователь №: 38 421


к сообщение 818 клетки Гоше - 1на 1 фото увлх400. остальные при увл.х1000. с 1 по7 фото в ткани селезенки, с 8по 12 фото в ткани печени.



Сообщение отредактировал доктор морфолог - 16.10.2015 - 11:54


Эскизы прикрепленных изображений
Судебная медицина - Прикрепленное изображение Судебная медицина - Прикрепленное изображение Судебная медицина - Прикрепленное изображение Судебная медицина - Прикрепленное изображение Судебная медицина - Прикрепленное изображение Судебная медицина - Прикрепленное изображение Судебная медицина - Прикрепленное изображение Судебная медицина - Прикрепленное изображение Судебная медицина - Прикрепленное изображение Судебная медицина - Прикрепленное изображение Судебная медицина - Прикрепленное изображение Судебная медицина - Прикрепленное изображение
Пользователь offline
К началу страницы
+Ответить с цитированием
доктор морфолог
сообщение 21.10.2015 - 11:57
Сообщение #816


Мастер I

Группа: СМЭ
Регистрация: 5.12.2013
Пользователь №: 38 421


М.76 лет.Почечно-клеточный рак( папиллярно-тубулярный вариант)с участками распада с кровоизлиянием и отложением кальцинатов). На 1 и 2 фото кишечник с фибриноидно-амилоидным изменением стенки артериол.

Сообщение отредактировал доктор морфолог - 21.10.2015 - 11:59


Эскизы прикрепленных изображений
Судебная медицина - Прикрепленное изображение Судебная медицина - Прикрепленное изображение Судебная медицина - Прикрепленное изображение Судебная медицина - Прикрепленное изображение Судебная медицина - Прикрепленное изображение Судебная медицина - Прикрепленное изображение Судебная медицина - Прикрепленное изображение Судебная медицина - Прикрепленное изображение Судебная медицина - Прикрепленное изображение Судебная медицина - Прикрепленное изображение Судебная медицина - Прикрепленное изображение Судебная медицина - Прикрепленное изображение
Пользователь offline
К началу страницы
+Ответить с цитированием
доктор морфолог
сообщение 22.10.2015 - 12:11
Сообщение #817


Мастер I

Группа: СМЭ
Регистрация: 5.12.2013
Пользователь №: 38 421


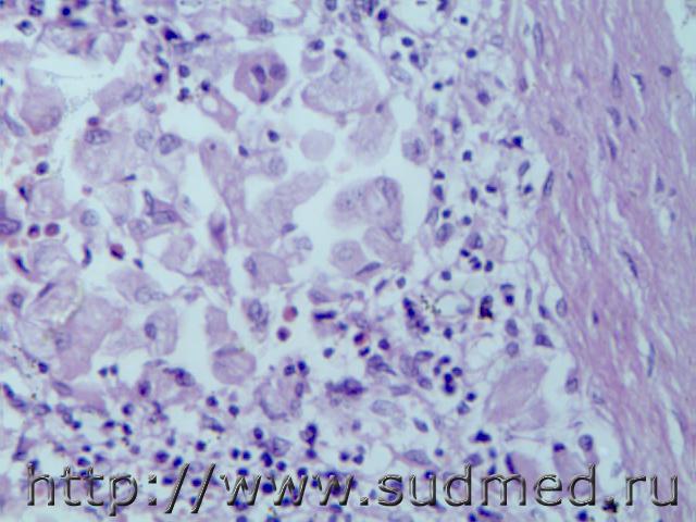
М.48лет. Глиобластома с прорастанием в ТМО в височной области с 12 по 16 фото ТМО с костным микрофрагментом. В 15 фото метастазы в просвете сосуда.

Сообщение отредактировал доктор морфолог - 22.10.2015 - 12:15


Эскизы прикрепленных изображений
Судебная медицина - Прикрепленное изображение Судебная медицина - Прикрепленное изображение Судебная медицина - Прикрепленное изображение Судебная медицина - Прикрепленное изображение Судебная медицина - Прикрепленное изображение Судебная медицина - Прикрепленное изображение Судебная медицина - Прикрепленное изображение Судебная медицина - Прикрепленное изображение Судебная медицина - Прикрепленное изображение Судебная медицина - Прикрепленное изображение Судебная медицина - Прикрепленное изображение Судебная медицина - Прикрепленное изображение Судебная медицина - Прикрепленное изображение Судебная медицина - Прикрепленное изображение Судебная медицина - Прикрепленное изображение Судебная медицина - Прикрепленное изображение
Пользователь offline
К началу страницы
+Ответить с цитированием
доктор морфолог
сообщение 26.10.2015 - 11:54
Сообщение #818


Мастер I

Группа: СМЭ
Регистрация: 5.12.2013
Пользователь №: 38 421


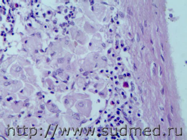
М.76 лет. Гепатоцеллюлярный рак печени, ацинарный тип.


Эскизы прикрепленных изображений
Судебная медицина - Прикрепленное изображение Судебная медицина - Прикрепленное изображение Судебная медицина - Прикрепленное изображение Судебная медицина - Прикрепленное изображение Судебная медицина - Прикрепленное изображение Судебная медицина - Прикрепленное изображение Судебная медицина - Прикрепленное изображение Судебная медицина - Прикрепленное изображение Судебная медицина - Прикрепленное изображение Судебная медицина - Прикрепленное изображение Судебная медицина - Прикрепленное изображение
Пользователь offline
К началу страницы
+Ответить с цитированием
доктор морфолог
сообщение 26.10.2015 - 12:00
Сообщение #819


Мастер I

Группа: СМЭ
Регистрация: 5.12.2013
Пользователь №: 38 421


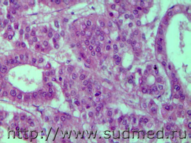
М.47 лет. Фибриноидный некроз и тромбоз капилляров клубочков в виде "проволочной петли" и базальной мембраны канальцев почки при системных заболеваниях. Некронефроз.

Сообщение отредактировал доктор морфолог - 26.10.2015 - 20:47


Эскизы прикрепленных изображений
Судебная медицина - Прикрепленное изображение Судебная медицина - Прикрепленное изображение Судебная медицина - Прикрепленное изображение Судебная медицина - Прикрепленное изображение Судебная медицина - Прикрепленное изображение Судебная медицина - Прикрепленное изображение Судебная медицина - Прикрепленное изображение Судебная медицина - Прикрепленное изображение Судебная медицина - Прикрепленное изображение Судебная медицина - Прикрепленное изображение Судебная медицина - Прикрепленное изображение
Пользователь offline
К началу страницы
+Ответить с цитированием
Баркас
сообщение 26.10.2015 - 18:20
Сообщение #820


Участник форума

Группа: СМЭ
Регистрация: 3.07.2013
Пользователь №: 37 129


Давайте создадим цифровой Атлас по патоморфологии.
Пользователь offline
К началу страницы
+Ответить с цитированием
доктор морфолог
сообщение 6.11.2015 - 15:54
Сообщение #821


Мастер I

Группа: СМЭ
Регистрация: 5.12.2013
Пользователь №: 38 421


Ув.коллега! Идея Ваша меня лично впечатляет. Мои микрофото если обратили внимание с одного среза одного кусочка из ткани органов по одному стеклопрепарату постарался охватить все поле под окуляром, чтобы коллеги не задавались вопросом , что на периферии ? Ваше предложение имеет силу тогда, когда вы специально для админстрации ФСМ представите свои конструктивные проекты! С ув.
Пользователь offline
К началу страницы
+Ответить с цитированием
доктор морфолог
сообщение 10.11.2015 - 11:34
Сообщение #822


Мастер I

Группа: СМЭ
Регистрация: 5.12.2013
Пользователь №: 38 421


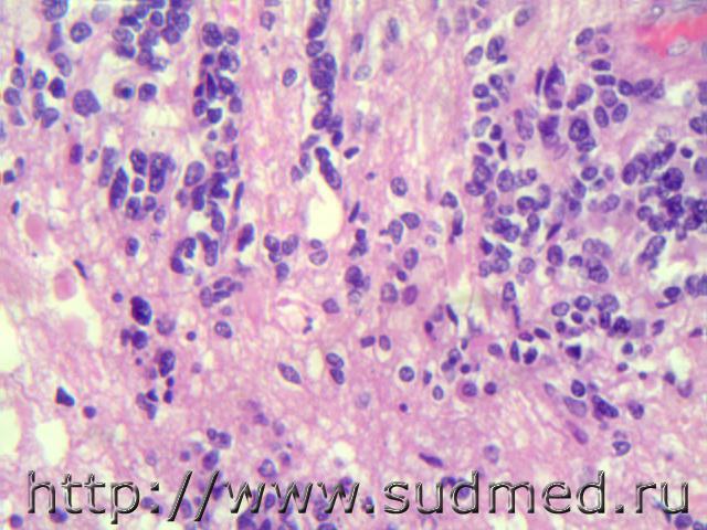
М.80 лет. Хронический лимфолейкоз, криз. Инфильтрация мономорфными малыми лимфоцитами паренхимы селезенки, почки, печени и легких.


Эскизы прикрепленных изображений
Судебная медицина - Прикрепленное изображение Судебная медицина - Прикрепленное изображение Судебная медицина - Прикрепленное изображение Судебная медицина - Прикрепленное изображение Судебная медицина - Прикрепленное изображение Судебная медицина - Прикрепленное изображение Судебная медицина - Прикрепленное изображение Судебная медицина - Прикрепленное изображение Судебная медицина - Прикрепленное изображение Судебная медицина - Прикрепленное изображение Судебная медицина - Прикрепленное изображение Судебная медицина - Прикрепленное изображение Судебная медицина - Прикрепленное изображение Судебная медицина - Прикрепленное изображение Судебная медицина - Прикрепленное изображение
Пользователь offline
К началу страницы
+Ответить с цитированием
Медик
сообщение 11.11.2015 - 13:44
Сообщение #823


Учитель
Group Icon
Группа: Модераторы
Регистрация: 16.05.2010
Пользователь №: 21 553


Тромбоэмболия верхней брыжеечной артерии,гангрена тонкой кишки и правой половины толстой кишки.
На фото тромбэмбол и тонкая кишка.

Сообщение отредактировал Медик - 11.11.2015 - 13:45


Эскизы прикрепленных изображений
Судебная медицина - Прикрепленное изображение Судебная медицина - Прикрепленное изображение
Пользователь offline
К началу страницы
+Ответить с цитированием
Медик
сообщение 13.11.2015 - 10:33
Сообщение #824


Учитель
Group Icon
Группа: Модераторы
Регистрация: 16.05.2010
Пользователь №: 21 553


Острая коронарная смерть (I24.8).
Тромбоз коронарной артерии (фото после фиксации в формалине).


Эскизы прикрепленных изображений
Судебная медицина - Прикрепленное изображение Судебная медицина - Прикрепленное изображение
Пользователь offline
К началу страницы
+Ответить с цитированием
Медик
сообщение 5.12.2015 - 12:21
Сообщение #825


Учитель
Group Icon
Группа: Модераторы
Регистрация: 16.05.2010
Пользователь №: 21 553


Рак яичника.Жен.40 лет.


Эскизы прикрепленных изображений
Судебная медицина - Прикрепленное изображение Судебная медицина - Прикрепленное изображение Судебная медицина - Прикрепленное изображение
Пользователь offline
К началу страницы
+Ответить с цитированием

75 страниц V « < 53 54 55 56 57 > » 



- Обратная связь Сейчас: 13.10.2025 - 08:25