Здравствуйте, гость ( Вход | Регистрация )

Форум судебных медиков России
>   Правила раздела >

Здесь обсуждаются вопросы судебно-медицинской танатологии и судебно-медицинской гистологии.

 
75 страниц V « < 54 55 56 57 58 > »   
>

Просто иллюстрации, фотографии интересных случаев

Рейтинг  5
>
fbc_v
сообщение 14.12.2015 - 19:34
Сообщение #826


Знаток форума
Group Icon
Группа: СМЭ
Регистрация: 18.04.2012
Пользователь №: 32 515


Острая субдуральная гематома со смещением головного мозга


Эскизы прикрепленных изображений
Судебная медицина - Прикрепленное изображение Судебная медицина - Прикрепленное изображение Судебная медицина - Прикрепленное изображение
Пользователь offline
К началу страницы
+Ответить с цитированием
fbc_v
сообщение 14.12.2015 - 19:59
Сообщение #827


Знаток форума
Group Icon
Группа: СМЭ
Регистрация: 18.04.2012
Пользователь №: 32 515


Дырчатые переломы костей свода черепа справа от воздействия "острия" кочерги, на втором фото дырчатые и оскольчатые переломы костей свода черепа слева действием того же травмирующего предмета (предположительно)

Сообщение отредактировал fbc_v - 14.12.2015 - 20:00


Эскизы прикрепленных изображений
Судебная медицина - Прикрепленное изображение Судебная медицина - Прикрепленное изображение
Пользователь offline
К началу страницы
+Ответить с цитированием
доктор морфолог
сообщение 15.12.2015 - 14:58
Сообщение #828


Мастер I

Группа: СМЭ
Регистрация: 5.12.2013
Пользователь №: 38 421


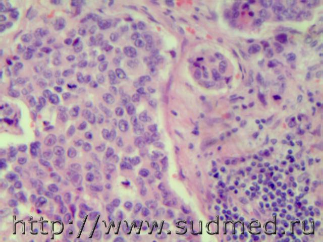
НЭО.Злокачественная парасимпатическая(нехроммафинная) параганглиома парааортально, в печени, в легких и в поджелудочной железе.


Эскизы прикрепленных изображений
Судебная медицина - Прикрепленное изображение Судебная медицина - Прикрепленное изображение Судебная медицина - Прикрепленное изображение Судебная медицина - Прикрепленное изображение Судебная медицина - Прикрепленное изображение Судебная медицина - Прикрепленное изображение Судебная медицина - Прикрепленное изображение Судебная медицина - Прикрепленное изображение Судебная медицина - Прикрепленное изображение Судебная медицина - Прикрепленное изображение Судебная медицина - Прикрепленное изображение Судебная медицина - Прикрепленное изображение Судебная медицина - Прикрепленное изображение Судебная медицина - Прикрепленное изображение Судебная медицина - Прикрепленное изображение
Пользователь offline
К началу страницы
+Ответить с цитированием
Медик
сообщение 24.12.2015 - 12:57
Сообщение #829


Учитель
Group Icon
Группа: Модераторы
Регистрация: 16.05.2010
Пользователь №: 21 553


Найден на улице.Направительный д-з СП общее переохлаждение.Смерть в больнице через 1,5 суток после госпитализации.
Пятна Вишневского.

Сообщение отредактировал Медик - 24.12.2015 - 12:59


Эскизы прикрепленных изображений
Судебная медицина - Прикрепленное изображение Судебная медицина - Прикрепленное изображение
Пользователь offline
К началу страницы
+Ответить с цитированием
Медик
сообщение 25.12.2015 - 12:39
Сообщение #830


Учитель
Group Icon
Группа: Модераторы
Регистрация: 16.05.2010
Пользователь №: 21 553


"Старая" расслаивающая аневризма аорты с разрывом.
Выстлана эндотелием,пристеночный тромбоз.
Слева в стенке вскрыто отверстие размерами 2,5х0,5см. с гладкими округлыми краями,которое ведёт в просвет аорты.На фото аорта развёрнута.

Сообщение отредактировал Медик - 25.12.2015 - 12:40


Эскизы прикрепленных изображений
Судебная медицина - Прикрепленное изображение
Пользователь offline
К началу страницы
+Ответить с цитированием
fbc_v
сообщение 28.12.2015 - 11:07
Сообщение #831


Знаток форума
Group Icon
Группа: СМЭ
Регистрация: 18.04.2012
Пользователь №: 32 515


Фибринозно- гнойный перикардит, фибринозно- гнойный право сторонний плеврит


Эскизы прикрепленных изображений
Судебная медицина - Прикрепленное изображение Судебная медицина - Прикрепленное изображение Судебная медицина - Прикрепленное изображение
Пользователь offline
К началу страницы
+Ответить с цитированием
Медик
сообщение 28.12.2015 - 13:53
Сообщение #832


Учитель
Group Icon
Группа: Модераторы
Регистрация: 16.05.2010
Пользователь №: 21 553


Тромбоз протезов аорты, левых общей и наружной подвздошных артерий.
1.Общий вид.
2.Протезы.
3.Тромб.

Сообщение отредактировал Медик - 28.12.2015 - 13:54


Эскизы прикрепленных изображений
Судебная медицина - Прикрепленное изображение Судебная медицина - Прикрепленное изображение Судебная медицина - Прикрепленное изображение
Пользователь offline
К началу страницы
+Ответить с цитированием
Медик
сообщение 30.12.2015 - 20:35
Сообщение #833


Учитель
Group Icon
Группа: Модераторы
Регистрация: 16.05.2010
Пользователь №: 21 553


Гнойный лептоменингит.


Эскизы прикрепленных изображений
Судебная медицина - Прикрепленное изображение Судебная медицина - Прикрепленное изображение
Пользователь offline
К началу страницы
+Ответить с цитированием
Югросс
сообщение 30.12.2015 - 21:12
Сообщение #834


Знаток форума
Group Icon
Группа: СМЭ
Регистрация: 1.03.2010
Из: Юг России
Пользователь №: 20 320


Механическая асфиксия- сдавление груди и живота грунтомСудебная медицина - Прикрепленное изображение Судебная медицина - Прикрепленное изображение
Пользователь offline
К началу страницы
+Ответить с цитированием
fbc_v
сообщение 31.12.2015 - 21:35
Сообщение #835


Знаток форума
Group Icon
Группа: СМЭ
Регистрация: 18.04.2012
Пользователь №: 32 515


Ничего нового особенно, в преддверие праздников) бетаксантины ( ну и какие ещё там пигменты у свеклы?)


Эскизы прикрепленных изображений
Судебная медицина - Прикрепленное изображение Судебная медицина - Прикрепленное изображение
Пользователь offline
К началу страницы
+Ответить с цитированием
доктор морфолог
сообщение 8.01.2016 - 13:13
Сообщение #836


Мастер I

Группа: СМЭ
Регистрация: 5.12.2013
Пользователь №: 38 421


Ж.65 лет.Эндометриоидная аденокарцинома с веретено-плоскоклеточной дифференцировкой. Местами видно очаги эндометриоза.


Эскизы прикрепленных изображений
Судебная медицина - Прикрепленное изображение Судебная медицина - Прикрепленное изображение Судебная медицина - Прикрепленное изображение Судебная медицина - Прикрепленное изображение Судебная медицина - Прикрепленное изображение Судебная медицина - Прикрепленное изображение Судебная медицина - Прикрепленное изображение Судебная медицина - Прикрепленное изображение Судебная медицина - Прикрепленное изображение Судебная медицина - Прикрепленное изображение Судебная медицина - Прикрепленное изображение Судебная медицина - Прикрепленное изображение Судебная медицина - Прикрепленное изображение
Пользователь offline
К началу страницы
+Ответить с цитированием
доктор морфолог
сообщение 15.01.2016 - 11:22
Сообщение #837


Мастер I

Группа: СМЭ
Регистрация: 5.12.2013
Пользователь №: 38 421


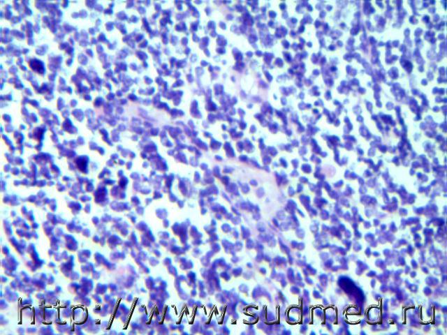
НЭО(нейроэндокринная опухоль) злокачественный тип из поджелудочной железы с метастазами в печень, почки. Мономорфные округлые клетки с бедной цитоплазмой.


Эскизы прикрепленных изображений
Судебная медицина - Прикрепленное изображение Судебная медицина - Прикрепленное изображение Судебная медицина - Прикрепленное изображение Судебная медицина - Прикрепленное изображение Судебная медицина - Прикрепленное изображение Судебная медицина - Прикрепленное изображение Судебная медицина - Прикрепленное изображение Судебная медицина - Прикрепленное изображение Судебная медицина - Прикрепленное изображение Судебная медицина - Прикрепленное изображение Судебная медицина - Прикрепленное изображение Судебная медицина - Прикрепленное изображение Судебная медицина - Прикрепленное изображение
Пользователь offline
К началу страницы
+Ответить с цитированием
Norman
сообщение 27.01.2016 - 13:05
Сообщение #838


Авторитетный участник

Группа: СМЭ
Регистрация: 2.01.2010
Пользователь №: 19 127


Странгуляционная борозда, отпечаток цепи.

Сообщение отредактировал Norman - 27.01.2016 - 13:06


Эскизы прикрепленных изображений
Судебная медицина - Прикрепленное изображение Судебная медицина - Прикрепленное изображение
Пользователь offline
К началу страницы
+Ответить с цитированием
Deni
сообщение 27.01.2016 - 13:19
Сообщение #839


Мастер III

Группа: СМЭ
Регистрация: 30.09.2007
Из: РФ
Пользователь №: 5 980


Цитата(Norman @ 27.01.2016 - 13:05)
Странгуляционная борозда, отпечаток цепи.

Сюда бы еще описание такой борозды... Для "на заметку"
Пользователь offline
К началу страницы
+Ответить с цитированием
Norman
сообщение 28.01.2016 - 07:29
Сообщение #840


Авторитетный участник

Группа: СМЭ
Регистрация: 2.01.2010
Пользователь №: 19 127


Цитата(Deni @ 27.01.2016 - 13:19)
Сюда бы еще описание такой борозды... Для "на заметку"

Только палками не бейте:
На шее в средней и верхней третях имеется косовосходящая спереди назад странгуляционная борозда в виде отчетливо выраженного отпечатка травмирующего предмета по структуре, напоминающего цепь. Данный отпечаток состоит из чередующихся полосовидных участков компрессии кожи и подлежащих тканей с осаднением кожи (поверхность отпечатков буровато-коричневая в центре, бледно-серая по периферии и окружена полоской гиперемии) размерами от 2х0,5см до 3х0,5см. Участки сгруппированы в пределах трех относительно параллельных линий, расположенных одна над другой; при этом чередование участков на протяжении странгуляционной борозды на большем протяжении происходит по принципу 2-1-2 (местами 2-2-2), что напоминает расположение звеньев цепи с некоторой разницей в их контакте с кожей. Наиболее отчетливо данные отпечатки выражены по передней и боковым поверхностям шеи, где ширина странгуляционной борозды около 2-2,5см.
Пользователь offline
К началу страницы
+Ответить с цитированием

75 страниц V « < 54 55 56 57 58 > » 



- Обратная связь Сейчас: 13.10.2025 - 08:25