Здравствуйте, гость ( Вход | Регистрация )

Форум судебных медиков России
>   Правила раздела >

Здесь обсуждаются вопросы судебно-медицинской танатологии и судебно-медицинской гистологии.

 
75 страниц V « < 55 56 57 58 59 > »   
>

Просто иллюстрации, фотографии интересных случаев

Рейтинг  5
>
Chivas
сообщение 31.01.2016 - 18:52
Сообщение #841


Мастер I
Group Icon
Группа: Модераторы
Регистрация: 17.02.2007
Из: Кубань
Пользователь №: 4 435


Цитата(Norman @ 28.01.2016 - 07:29)
Только палками не бейте

Я бы еще добавил отношение борозды к анатомическим образования (щитовидному хрящу, углам нижней челюсти, сосцевидным отросткам височных костей). Ну это так к слову, не больше!

Комбинированный порок клапана аорты. Кардиомегалия "Бычье сердце" (масса сердца 1097 гр.).

Сообщение отредактировал Chivas - 31.01.2016 - 18:57


Эскизы прикрепленных изображений
Судебная медицина - Прикрепленное изображение Судебная медицина - Прикрепленное изображение Судебная медицина - Прикрепленное изображение
Пользователь offline
К началу страницы
+Ответить с цитированием
доктор морфолог
сообщение 8.02.2016 - 12:54
Сообщение #842


Мастер I

Группа: СМЭ
Регистрация: 5.12.2013
Пользователь №: 38 421


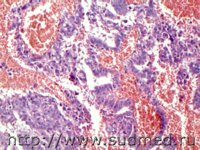
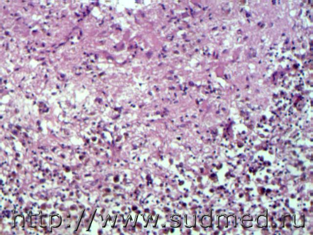
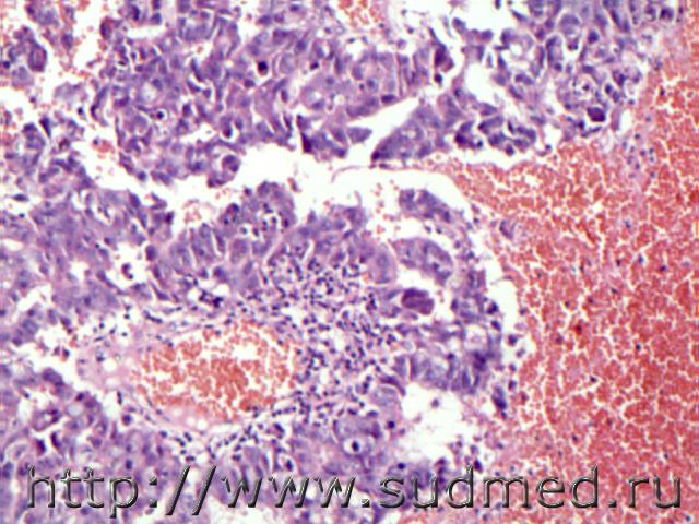
М.34 года.Эмбриональный рак яичка. Папилламатозные и железистые структуры с плеоморфными атипическими эпителиями и очагами кровоизлияния, были очаги некроза.


Эскизы прикрепленных изображений
Судебная медицина - Прикрепленное изображение Судебная медицина - Прикрепленное изображение Судебная медицина - Прикрепленное изображение Судебная медицина - Прикрепленное изображение Судебная медицина - Прикрепленное изображение Судебная медицина - Прикрепленное изображение Судебная медицина - Прикрепленное изображение Судебная медицина - Прикрепленное изображение
Пользователь offline
К началу страницы
+Ответить с цитированием
umed
сообщение 8.02.2016 - 15:24
Сообщение #843


Претендент

Группа: СМЭ
Регистрация: 19.05.2011
Из: Российская Федерация
Пользователь №: 27 155


Хроническая язва желудка

Сообщение отредактировал Медик - 10.03.2016 - 20:49


Эскизы прикрепленных изображений
Судебная медицина - Прикрепленное изображение
Пользователь offline
К началу страницы
+Ответить с цитированием
Медик
сообщение 24.02.2016 - 14:56
Сообщение #844


Учитель
Group Icon
Группа: Модераторы
Регистрация: 16.05.2010
Пользователь №: 21 553


Киста правого яичника.Содержимое удалено.

Сообщение отредактировал Медик - 24.02.2016 - 14:57


Эскизы прикрепленных изображений
Судебная медицина - Прикрепленное изображение Судебная медицина - Прикрепленное изображение
Пользователь offline
К началу страницы
+Ответить с цитированием
Медик
сообщение 28.02.2016 - 22:02
Сообщение #845


Учитель
Group Icon
Группа: Модераторы
Регистрация: 16.05.2010
Пользователь №: 21 553


Грипп:острый геморрагический трахеобронхит.


Эскизы прикрепленных изображений
Судебная медицина - Прикрепленное изображение
Пользователь offline
К началу страницы
+Ответить с цитированием
Медик
сообщение 1.03.2016 - 10:09
Сообщение #846


Учитель
Group Icon
Группа: Модераторы
Регистрация: 16.05.2010
Пользователь №: 21 553


Атеросклеротическая гангрена.


Эскизы прикрепленных изображений
Судебная медицина - Прикрепленное изображение
Пользователь offline
К началу страницы
+Ответить с цитированием
Медик
сообщение 11.03.2016 - 22:04
Сообщение #847


Учитель
Group Icon
Группа: Модераторы
Регистрация: 16.05.2010
Пользователь №: 21 553


Гиалиноз капсулы печени.


Эскизы прикрепленных изображений
Судебная медицина - Прикрепленное изображение
Пользователь offline
К началу страницы
+Ответить с цитированием
Chivas
сообщение 12.03.2016 - 20:19
Сообщение #848


Мастер I
Group Icon
Группа: Модераторы
Регистрация: 17.02.2007
Из: Кубань
Пользователь №: 4 435


Инфекционный эндокардит задней створки митрального клапана


Эскизы прикрепленных изображений
Судебная медицина - Прикрепленное изображение
Пользователь offline
К началу страницы
+Ответить с цитированием
Медик
сообщение 20.03.2016 - 23:03
Сообщение #849


Учитель
Group Icon
Группа: Модераторы
Регистрация: 16.05.2010
Пользователь №: 21 553


ОПН.


Эскизы прикрепленных изображений
Судебная медицина - Прикрепленное изображение
Пользователь offline
К началу страницы
+Ответить с цитированием
Медик
сообщение 20.03.2016 - 23:10
Сообщение #850


Учитель
Group Icon
Группа: Модераторы
Регистрация: 16.05.2010
Пользователь №: 21 553


ДВС-синдром.Кровоизлияния в яичниках.


Эскизы прикрепленных изображений
Судебная медицина - Прикрепленное изображение Судебная медицина - Прикрепленное изображение Судебная медицина - Прикрепленное изображение
Пользователь offline
К началу страницы
+Ответить с цитированием
Медик
сообщение 4.04.2016 - 11:46
Сообщение #851


Учитель
Group Icon
Группа: Модераторы
Регистрация: 16.05.2010
Пользователь №: 21 553


Фибринозный плеврит.


Эскизы прикрепленных изображений
Судебная медицина - Прикрепленное изображение Судебная медицина - Прикрепленное изображение
Пользователь offline
К началу страницы
+Ответить с цитированием
доктор морфолог
сообщение 20.04.2016 - 09:29
Сообщение #852


Мастер I

Группа: СМЭ
Регистрация: 5.12.2013
Пользователь №: 38 421


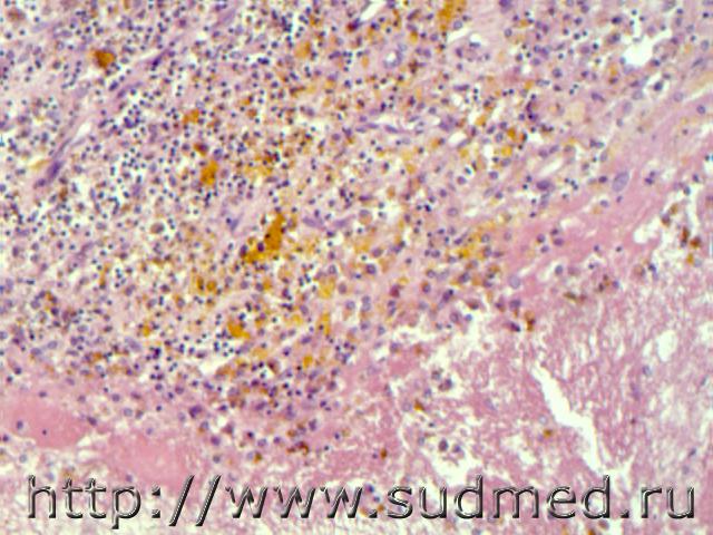
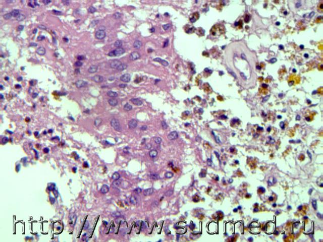
Женщина,25 лет.Постравматические очаги размягчения вещества головного мозга с образованием псевдокист и стадия организации. Четко видны внутриклеточные(гемосидерофаги) и внеклеточный( свободнолежащие гемосидерины золотисто-желтого цвета. В кистозном пространстве в жидкости клетки лежат свободно.В некротизированном участке ткани мозга видны аксональные сфероиды.Давность более 2-3месяцев. Во 2-ой и 3-ей фото видны внизу очаги инфаркта мозга(гомогеннорозового цвета).В 4-ой вновь образованные капилляры.

Сообщение отредактировал доктор морфолог - 20.04.2016 - 09:55


Эскизы прикрепленных изображений
Судебная медицина - Прикрепленное изображение Судебная медицина - Прикрепленное изображение Судебная медицина - Прикрепленное изображение Судебная медицина - Прикрепленное изображение Судебная медицина - Прикрепленное изображение Судебная медицина - Прикрепленное изображение Судебная медицина - Прикрепленное изображение Судебная медицина - Прикрепленное изображение
Пользователь offline
К началу страницы
+Ответить с цитированием
доктор морфолог
сообщение 20.04.2016 - 09:38
Сообщение #853


Мастер I

Группа: СМЭ
Регистрация: 5.12.2013
Пользователь №: 38 421


Дополнение к 852 сообщению: организованный тромбоз сагиттальных синусов, аксональные шары(огромные эозинофильного цвета), очаги размягчения с гемосидерофагами и внеклеточными гемосидеринами.

Сообщение отредактировал доктор морфолог - 20.04.2016 - 09:40


Эскизы прикрепленных изображений
Судебная медицина - Прикрепленное изображение Судебная медицина - Прикрепленное изображение Судебная медицина - Прикрепленное изображение Судебная медицина - Прикрепленное изображение Судебная медицина - Прикрепленное изображение Судебная медицина - Прикрепленное изображение Судебная медицина - Прикрепленное изображение Судебная медицина - Прикрепленное изображение Судебная медицина - Прикрепленное изображение Судебная медицина - Прикрепленное изображение
Пользователь offline
К началу страницы
+Ответить с цитированием
S.Lana
сообщение 20.04.2016 - 10:55
Сообщение #854


Участник форума

Группа: СМЭ
Регистрация: 3.11.2008
Из: РФ
Пользователь №: 10 698


Гнусный суицид...


Эскизы прикрепленных изображений
Судебная медицина - Прикрепленное изображение
Пользователь offline
К началу страницы
+Ответить с цитированием
Медик
сообщение 20.04.2016 - 14:39
Сообщение #855


Учитель
Group Icon
Группа: Модераторы
Регистрация: 16.05.2010
Пользователь №: 21 553


Вход в дивертикул слепой кишки.Забрюшинная перфорация дивертикула.


Эскизы прикрепленных изображений
Судебная медицина - Прикрепленное изображение
Пользователь offline
К началу страницы
+Ответить с цитированием

75 страниц V « < 55 56 57 58 59 > » 



- Обратная связь Сейчас: 13.10.2025 - 06:52