Здравствуйте, гость ( Вход | Регистрация )

Форум судебных медиков России
>   Правила раздела >

Здесь обсуждаются вопросы судебно-медицинской танатологии и судебно-медицинской гистологии.

 
75 страниц V « < 56 57 58 59 60 > »   
>

Просто иллюстрации, фотографии интересных случаев

Рейтинг  5
>
Медик
сообщение 20.04.2016 - 14:49
Сообщение #856


Учитель
Group Icon
Группа: Модераторы
Регистрация: 16.05.2010
Пользователь №: 21 553


Фото 1,2.Рак-язва желудка.
Фото 3,4.Тромбоэмболия артерий нижних конечностей из левых отделов сердца.
Гангрена стоп.

Сообщение отредактировал Медик - 20.04.2016 - 14:50


Эскизы прикрепленных изображений
Судебная медицина - Прикрепленное изображение Судебная медицина - Прикрепленное изображение Судебная медицина - Прикрепленное изображение Судебная медицина - Прикрепленное изображение
Пользователь offline
К началу страницы
+Ответить с цитированием
S.Lana
сообщение 21.04.2016 - 07:13
Сообщение #857


Участник форума

Группа: СМЭ
Регистрация: 3.11.2008
Из: РФ
Пользователь №: 10 698


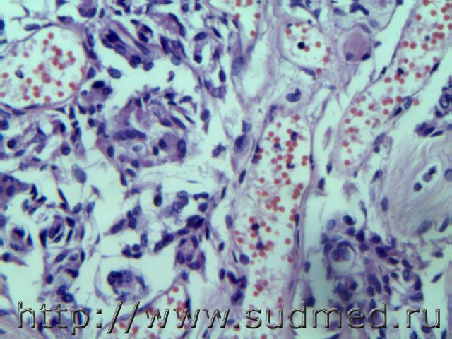
Злокачественная опухоль яичника..


Эскизы прикрепленных изображений
Судебная медицина - Прикрепленное изображение
Пользователь offline
К началу страницы
+Ответить с цитированием
доктор морфолог
сообщение 27.04.2016 - 09:50
Сообщение #858


Мастер I

Группа: СМЭ
Регистрация: 5.12.2013
Пользователь №: 38 421


М.63 лет. Плоскоклеточный ороговевающий рак гортани.

Сообщение отредактировал доктор морфолог - 27.04.2016 - 15:28


Эскизы прикрепленных изображений
Судебная медицина - Прикрепленное изображение Судебная медицина - Прикрепленное изображение Судебная медицина - Прикрепленное изображение Судебная медицина - Прикрепленное изображение Судебная медицина - Прикрепленное изображение Судебная медицина - Прикрепленное изображение Судебная медицина - Прикрепленное изображение Судебная медицина - Прикрепленное изображение
Пользователь offline
К началу страницы
+Ответить с цитированием
доктор морфолог
сообщение 28.04.2016 - 12:12
Сообщение #859


Мастер I

Группа: СМЭ
Регистрация: 5.12.2013
Пользователь №: 38 421


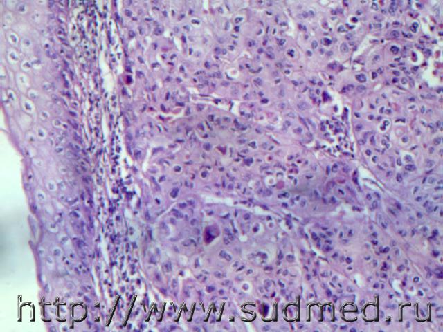
Ж.49 лет. Инвазивный дольковый рак молочной железы.


Эскизы прикрепленных изображений
Судебная медицина - Прикрепленное изображение Судебная медицина - Прикрепленное изображение Судебная медицина - Прикрепленное изображение Судебная медицина - Прикрепленное изображение Судебная медицина - Прикрепленное изображение Судебная медицина - Прикрепленное изображение Судебная медицина - Прикрепленное изображение Судебная медицина - Прикрепленное изображение
Пользователь offline
К началу страницы
+Ответить с цитированием
доктор морфолог
сообщение 6.05.2016 - 11:35
Сообщение #860


Мастер I

Группа: СМЭ
Регистрация: 5.12.2013
Пользователь №: 38 421


М.47 лет. Атипическая менингиома с инфильтрацией ТМО и ММО.


Эскизы прикрепленных изображений
Судебная медицина - Прикрепленное изображение Судебная медицина - Прикрепленное изображение Судебная медицина - Прикрепленное изображение Судебная медицина - Прикрепленное изображение Судебная медицина - Прикрепленное изображение Судебная медицина - Прикрепленное изображение Судебная медицина - Прикрепленное изображение Судебная медицина - Прикрепленное изображение
Пользователь offline
К началу страницы
+Ответить с цитированием
доктор морфолог
сообщение 6.05.2016 - 11:43
Сообщение #861


Мастер I

Группа: СМЭ
Регистрация: 5.12.2013
Пользователь №: 38 421


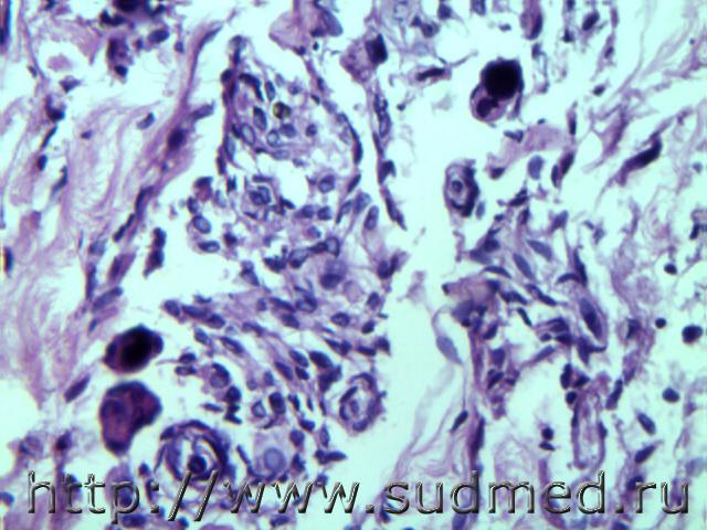
М.41год. О/б материал. Семинома яичка(злокачественная).


Эскизы прикрепленных изображений
Судебная медицина - Прикрепленное изображение Судебная медицина - Прикрепленное изображение Судебная медицина - Прикрепленное изображение Судебная медицина - Прикрепленное изображение Судебная медицина - Прикрепленное изображение Судебная медицина - Прикрепленное изображение Судебная медицина - Прикрепленное изображение Судебная медицина - Прикрепленное изображение Судебная медицина - Прикрепленное изображение
Пользователь offline
К началу страницы
+Ответить с цитированием
Югросс
сообщение 12.05.2016 - 09:13
Сообщение #862


Знаток форума
Group Icon
Группа: СМЭ
Регистрация: 1.03.2010
Из: Юг России
Пользователь №: 20 320


Разрыв аневризмы брюшного отдела аорты. на первом снике - видно кровоизлияние в парааортальную и забрюшинную клетчатку справа. на втором- отсепарованная аорта.

Судебная медицина - Прикрепленное изображение Судебная медицина - Прикрепленное изображение

Сообщение отредактировал Югросс - 12.05.2016 - 09:15
Пользователь offline
К началу страницы
+Ответить с цитированием
fbc_v
сообщение 9.06.2016 - 10:47
Сообщение #863


Знаток форума
Group Icon
Группа: СМЭ
Регистрация: 18.04.2012
Пользователь №: 32 515


ДВС


Эскизы прикрепленных изображений
Судебная медицина - Прикрепленное изображение Судебная медицина - Прикрепленное изображение Судебная медицина - Прикрепленное изображение Судебная медицина - Прикрепленное изображение
Пользователь offline
К началу страницы
+Ответить с цитированием
доктор морфолог
сообщение 9.06.2016 - 12:01
Сообщение #864


Мастер I

Группа: СМЭ
Регистрация: 5.12.2013
Пользователь №: 38 421


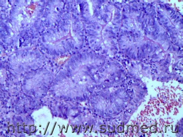
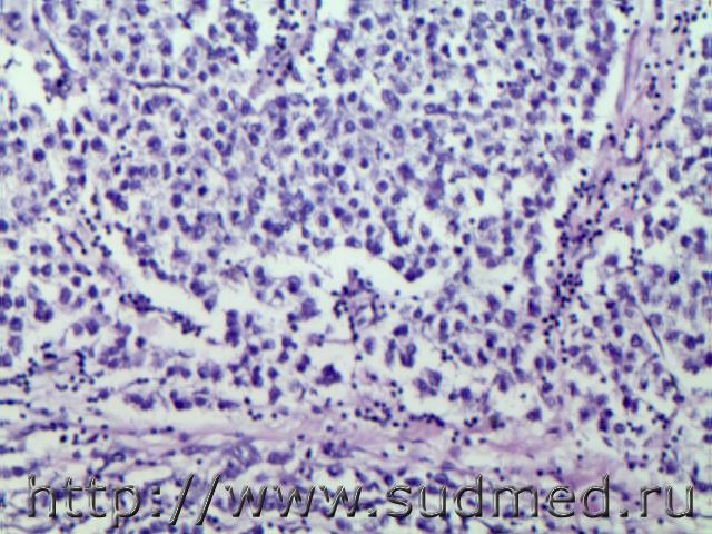
Ж.67 лет. Биопсия. Высокодифференцированная аденокарцинома эндометрия.


Эскизы прикрепленных изображений
Судебная медицина - Прикрепленное изображение Судебная медицина - Прикрепленное изображение Судебная медицина - Прикрепленное изображение Судебная медицина - Прикрепленное изображение Судебная медицина - Прикрепленное изображение Судебная медицина - Прикрепленное изображение Судебная медицина - Прикрепленное изображение Судебная медицина - Прикрепленное изображение
Пользователь offline
К началу страницы
+Ответить с цитированием
доктор морфолог
сообщение 30.06.2016 - 09:06
Сообщение #865


Мастер I

Группа: СМЭ
Регистрация: 5.12.2013
Пользователь №: 38 421


Ж.79 лет. Две опухоли обнаружены. Папиллярный рак щитовидной железы и смешанной формы менингиома в базальной мягкой мозговой оболочке. С 1- по 6 рисунки - опухоль щитовидной железы, а в 4- 5 фото периневриальный метастаз отсутствует. С 7 по 12 фото менингиома с прорастанием в твердую оболочку смешанного генеза:элементы агиоэндотелиального, псаммомного и фибробластического компонентов.

Сообщение отредактировал доктор морфолог - 30.06.2016 - 09:18


Эскизы прикрепленных изображений
Судебная медицина - Прикрепленное изображение Судебная медицина - Прикрепленное изображение Судебная медицина - Прикрепленное изображение Судебная медицина - Прикрепленное изображение Судебная медицина - Прикрепленное изображение Судебная медицина - Прикрепленное изображение Судебная медицина - Прикрепленное изображение Судебная медицина - Прикрепленное изображение Судебная медицина - Прикрепленное изображение Судебная медицина - Прикрепленное изображение Судебная медицина - Прикрепленное изображение Судебная медицина - Прикрепленное изображение
Пользователь offline
К началу страницы
+Ответить с цитированием
Norman
сообщение 1.07.2016 - 07:14
Сообщение #866


Авторитетный участник

Группа: СМЭ
Регистрация: 2.01.2010
Пользователь №: 19 127


Злокачественное новообразование почки (фото № 3). Метастаз в просвете нижней полой вены (фиксирован к интиме) - фото № 1 (с поверхности), фото № 2 (на разрезе)

Сообщение отредактировал Norman - 1.07.2016 - 07:16


Эскизы прикрепленных изображений
Судебная медицина - Прикрепленное изображение Судебная медицина - Прикрепленное изображение Судебная медицина - Прикрепленное изображение
Пользователь offline
К началу страницы
+Ответить с цитированием
доктор морфолог
сообщение 15.07.2016 - 10:04
Сообщение #867


Мастер I

Группа: СМЭ
Регистрация: 5.12.2013
Пользователь №: 38 421


Аллергическая эозинофильная реакция на укус неизвестного насекомого ( В области поясницы М.30 лет.)
Огромный инфильтрат опухолевидное, биопсииый материал. В местах инфильтрата видны эозинофильные клетки.


Эскизы прикрепленных изображений
Судебная медицина - Прикрепленное изображение Судебная медицина - Прикрепленное изображение Судебная медицина - Прикрепленное изображение Судебная медицина - Прикрепленное изображение Судебная медицина - Прикрепленное изображение Судебная медицина - Прикрепленное изображение Судебная медицина - Прикрепленное изображение
Пользователь offline
К началу страницы
+Ответить с цитированием
Медик
сообщение 29.07.2016 - 14:27
Сообщение #868


Учитель
Group Icon
Группа: Модераторы
Регистрация: 16.05.2010
Пользователь №: 21 553


Ревматическая лихорадка,возвратно-бородавчатый эндокардит аортального клапана.


Эскизы прикрепленных изображений
Судебная медицина - Прикрепленное изображение
Пользователь offline
К началу страницы
+Ответить с цитированием
Медик
сообщение 30.07.2016 - 10:20
Сообщение #869


Учитель
Group Icon
Группа: Модераторы
Регистрация: 16.05.2010
Пользователь №: 21 553


Стент общей и внутренней сонных артерий.
Большую часть внутренней сонной артерии со стентом не удалось выделить.


Эскизы прикрепленных изображений
Судебная медицина - Прикрепленное изображение Судебная медицина - Прикрепленное изображение
Пользователь offline
К началу страницы
+Ответить с цитированием
доктор морфолог
сообщение 9.08.2016 - 13:42
Сообщение #870


Мастер I

Группа: СМЭ
Регистрация: 5.12.2013
Пользователь №: 38 421


Ж.37 лет.3-я берем.41-42нед. Индукция мизопростолом. Дискоординированная родовая деятельность. Нераспознанный начавшиися разрыв ш/м. Внеплановое экстренное Кесарево сечение.Гематома в параметрии, малый таз, в верхние этажи брыжейки.ЭОВ. Экстирпация матки, Тотальное удаление толстого отдела кишечника( от слепой до сигмы). ЭКМО, ИВЛ не увенчались успехом. Смерть.
В фото матки имеются все места разрыва и кровоизлиянии с лейкоцитарной реакцией от 1-до 6-8 часов.


Эскизы прикрепленных изображений
Судебная медицина - Прикрепленное изображение Судебная медицина - Прикрепленное изображение Судебная медицина - Прикрепленное изображение Судебная медицина - Прикрепленное изображение Судебная медицина - Прикрепленное изображение Судебная медицина - Прикрепленное изображение Судебная медицина - Прикрепленное изображение Судебная медицина - Прикрепленное изображение Судебная медицина - Прикрепленное изображение Судебная медицина - Прикрепленное изображение Судебная медицина - Прикрепленное изображение Судебная медицина - Прикрепленное изображение Судебная медицина - Прикрепленное изображение Судебная медицина - Прикрепленное изображение
Пользователь offline
К началу страницы
+Ответить с цитированием

75 страниц V « < 56 57 58 59 60 > » 



- Обратная связь Сейчас: 13.10.2025 - 08:25