Здравствуйте, гость ( Вход | Регистрация )

Форум судебных медиков России
>   Правила раздела >

Здесь обсуждаются вопросы судебно-медицинской танатологии и судебно-медицинской гистологии.

 
75 страниц V « < 5 6 7 8 9 > »   
>

Просто иллюстрации, фотографии интересных случаев

Рейтинг  5
>
sopiens
сообщение 29.07.2008 - 17:56
Сообщение #91


Авторитетный участник

Группа: СМЭ
Регистрация: 27.08.2006
Из: г. Москва
Пользователь №: 2 641


Селезёнка при эритремии.
Масса 4 кг.

Судебная медицина - Прикрепленное изображение Судебная медицина - Прикрепленное изображение Судебная медицина - Прикрепленное изображение Судебная медицина - Прикрепленное изображение Судебная медицина - Прикрепленное изображение
Пользователь offline
К началу страницы
+Ответить с цитированием
molchun
сообщение 23.08.2008 - 11:37
Сообщение #92


Новичок

Группа: СМЭ
Регистрация: 27.02.2008
Из: Украина
Пользователь №: 7 513


Повреждение мачете.

Судебная медицина - Прикрепленное изображение
Пользователь offline
К началу страницы
+Ответить с цитированием
Expert 126sml
сообщение 11.09.2008 - 21:45
Сообщение #93


Знаток форума
Group Icon
Группа: СМЭ
Регистрация: 9.04.2007
Из: Екатеринбург
Пользователь №: 4 771


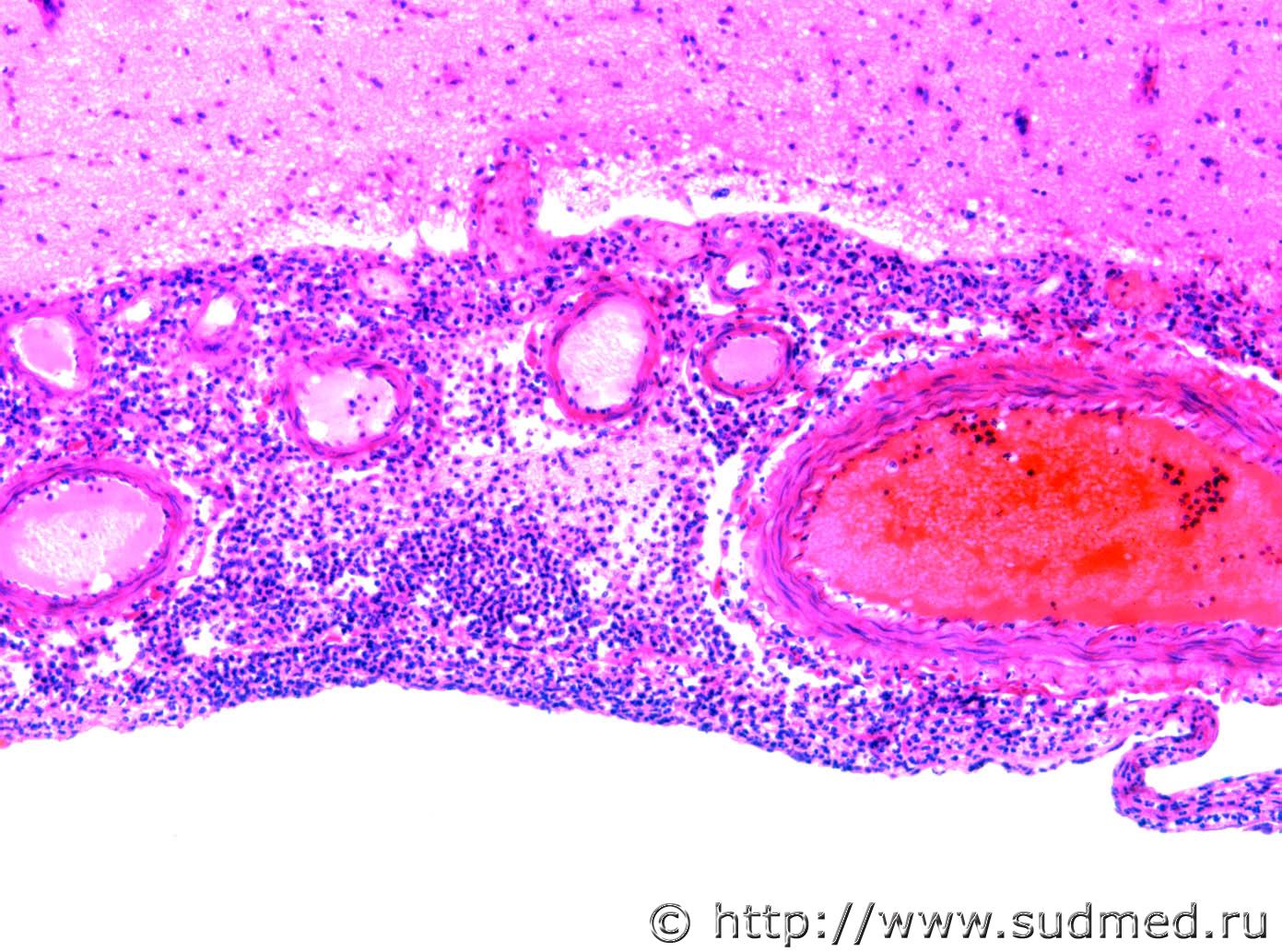
Гнойный менингоэнцефалит, осложненный геморрагическим синдромом.
Причем макроскопически признаки гнойного менингита не выявлялись,диагноз установлен гистологически. Повреждений костей черепа не было.

Фото 1 - внешний вид головного мозга.
Фото 2 - вскрытая желудочковая система с кровоизлиянием.
Фото 3 - микрофото г.м. с признаками гнойного воспаления.
Фото 4 - микрофото - повреждение сосуда г.м. с кровоизлиянием - окраска Ван-Гизон


Судебная медицина - Прикрепленное изображение Судебная медицина - Прикрепленное изображение Судебная медицина - Прикрепленное изображение Судебная медицина - Прикрепленное изображение
Пользователь offline
К началу страницы
+Ответить с цитированием
Michalev
сообщение 12.09.2008 - 20:20
Сообщение #94


Продвинутый участник

Группа: СМЭ
Регистрация: 7.09.2007
Из: г. Сыктывкар
Пользователь №: 5 741


Классическое огнестрельное ранение в упор из двуствольного ружья.

Судебная медицина - Прикрепленное изображение

Тот же лоскут в инфракрасном излучении.
Фотоаппарат SONY CyberShot DSC F828, режим ночной съемки, четкий участок наложения копоти "полулунной" формы в области входной раны.
Судебная медицина - Прикрепленное изображение
Пользователь offline
К началу страницы
+Ответить с цитированием
Полина
сообщение 21.10.2008 - 19:43
Сообщение #95


Претендент

Группа: СМЭ
Регистрация: 5.04.2008
Пользователь №: 7 947


Папилломатоз слизистой оболочки голосовых складок.
Ребёнк 3-х лет, смерть наступила от обтурационной асфиксии вследствие закрытия просвета дыхательных путей (гортани) папилломатозными разрастаниями на фоне воспалительных изменений гортани и трахеи (острый аллергический ларингит и трахеит).

Судебная медицина - Прикрепленное изображение
Пользователь offline
К началу страницы
+Ответить с цитированием
snik
сообщение 3.11.2008 - 16:42
Сообщение #96


Вновь прибывший

Группа: Участники
Регистрация: 29.04.2008
Пользователь №: 8 250


Однокамерный эхинококк.
Всем, здравствуйте! Интересный случай!
Девушка 17 лет, на фоне полного здоровья стало плохо - смерть. На вскрытии из "правого сердца" выделилось данное образование практически под давлением. Однокамерный эхинококк,сколексы повсюду.
Коллеги говорят, что подобного никогда не встречали! Приношу извинения за качество фото.

Судебная медицина - Прикрепленное изображение Судебная медицина - Прикрепленное изображение
Пользователь offline
К началу страницы
+Ответить с цитированием
Doctor Right
сообщение 7.11.2008 - 15:50
Сообщение #97


Знаток форума
Group Icon
Группа: СМЭ
Регистрация: 2.08.2007
Из: Российская Федерация
Пользователь №: 5 487


Кальцификат в толще левой широкой связки матки.

Судебная медицина - Прикрепленное изображение Судебная медицина - Прикрепленное изображение
Пользователь offline
К началу страницы
+Ответить с цитированием
Doctor Right
сообщение 15.11.2008 - 14:28
Сообщение #98


Знаток форума
Group Icon
Группа: СМЭ
Регистрация: 2.08.2007
Из: Российская Федерация
Пользователь №: 5 487


Эмбрион.
Вполне возможный повод для самоубийства молодой девушки.

Судебная медицина - Прикрепленное изображение Судебная медицина - Прикрепленное изображение
Пользователь offline
К началу страницы
+Ответить с цитированием
Gladius
сообщение 18.11.2008 - 23:10
Сообщение #99


Мастер I

Группа: СМЭ
Регистрация: 11.09.2007
Из: Украина, Киевская область
Пользователь №: 5 780


Атипичное положение внутренних органов.

Судебная медицина - Прикрепленное изображение
Пользователь offline
К началу страницы
+Ответить с цитированием
Doctor Right
сообщение 29.12.2008 - 18:51
Сообщение #100


Знаток форума
Group Icon
Группа: СМЭ
Регистрация: 2.08.2007
Из: Российская Федерация
Пользователь №: 5 487


Редкая аномалия развития аорты

Судебная медицина - Прикрепленное изображение
Пользователь offline
К началу страницы
+Ответить с цитированием
PoShoru
сообщение 13.01.2009 - 11:36
Сообщение #101


Продвинутый участник

Группа: СМЭ
Регистрация: 12.09.2008
Из: Северо-Запад
Пользователь №: 9 678


Повреждения кожи пиявками.
Тело извлечено из воды. Та пиявка что в банке найдена мною в желудке. Причина смерти - утопление в воде. О прижизненности - решили что посмертно, но на самом деле вопрос открытый - а как решить посмертно или прижизненно? Гистологически "Повреждение кожи левого предплечья с участком осаднения и уплощения эпидермиса, дефектом дермы и выраженным полнокровием сосудов”.
В общем написал так: "Установлено 93 укушенные раны на голове, шее, туловище и конечностях, кото-рые возникли наиболее вероятно от действия пиявок посмертно, на что указывают их морфологические свойства, указание на наличие их присасывания к трупу в протоколе осмотра места происшествия, наличие пиявки в желудке". Вопрос по пиявкам для меня открытый. Выложил фото - вдруг такие повреждения кто-нибудь встретит.

Судебная медицина - Прикрепленное изображение Судебная медицина - Прикрепленное изображение
Пользователь offline
К началу страницы
+Ответить с цитированием
Gladius
сообщение 14.01.2009 - 00:20
Сообщение #102


Мастер I

Группа: СМЭ
Регистрация: 11.09.2007
Из: Украина, Киевская область
Пользователь №: 5 780


Обратите внимание на левую долю печени.
Практически правильно делились, она атрофирована, уплотненная, при нормальной правой.

Судебная медицина - Прикрепленное изображение
Пользователь offline
К началу страницы
+Ответить с цитированием
sopiens
сообщение 14.01.2009 - 18:17
Сообщение #103


Авторитетный участник

Группа: СМЭ
Регистрация: 27.08.2006
Из: г. Москва
Пользователь №: 2 641


Суицидальная попытка в связи с болями в животе (мезентериальный тромбоз).

Судебная медицина - Прикрепленное изображение Судебная медицина - Прикрепленное изображение
Пользователь offline
К началу страницы
+Ответить с цитированием
Торн
сообщение 14.01.2009 - 19:03
Сообщение #104


-

Группа: СМЭ
Регистрация: 3.10.2007
Из: Наша Russia
Пользователь №: 6 028


Смерть от голода.

Судебная медицина - Прикрепленное изображение

Не все в нашем обществе так хорошо, как описывает правительство. И дети умирают с голоду. Сваливать все на родителей (алкаши) - пол дела. Результат - налицо.
Сначала хотел оформить диагноз как "алиментарная кахексия", потом остановился на "тяжелая белково-энергетическая недостаточность, осложнившаяся полиорганной недостаточностью".
Пользователь offline
К началу страницы
+Ответить с цитированием
Торн
сообщение 14.01.2009 - 19:35
Сообщение #105


-

Группа: СМЭ
Регистрация: 3.10.2007
Из: Наша Russia
Пользователь №: 6 028


Пневмоцистная пневмония (СПИД).

Судебная медицина - Прикрепленное изображение Судебная медицина - Прикрепленное изображение
Пользователь offline
К началу страницы
+Ответить с цитированием

75 страниц V « < 5 6 7 8 9 > » 



- Обратная связь Сейчас: 12.10.2025 - 15:56