Здравствуйте, гость ( Вход | Регистрация )

Форум судебных медиков России
>   Правила раздела >

Здесь обсуждаются вопросы судебно-медицинской танатологии и судебно-медицинской гистологии.

 
75 страниц V « < 60 61 62 63 64 > »   
>

Просто иллюстрации, фотографии интересных случаев

Рейтинг  5
>
vjach_ws
сообщение 16.01.2017 - 18:51
Сообщение #916


Участник форума

Группа: СМЭ
Регистрация: 22.05.2011
Пользователь №: 27 207


Острая прободная язва передней стенки луковицы 12-перстной кишки:Судебная медицина - Прикрепленное изображение.

Пуговчатый зонт через разрез стенки введен в просвет луковицы 12-перстной кишки и выведен через язвенный дефект Судебная медицина - Прикрепленное изображение.
Пользователь offline
К началу страницы
+Ответить с цитированием
Медик
сообщение 16.01.2017 - 22:16
Сообщение #917


Учитель
Group Icon
Группа: Модераторы
Регистрация: 16.05.2010
Пользователь №: 21 553


Цитата(vjach_ws @ 16.01.2017 - 19:15)
Вторичный (посттравматический) гнойный менингоэнцефалит

+ гнойный вентрикулит.
Пользователь offline
К началу страницы
+Ответить с цитированием
доктор морфолог
сообщение 24.01.2017 - 11:37
Сообщение #918


Мастер I

Группа: СМЭ
Регистрация: 5.12.2013
Пользователь №: 38 421


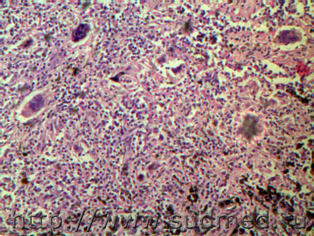
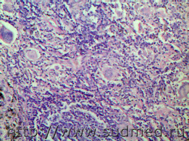
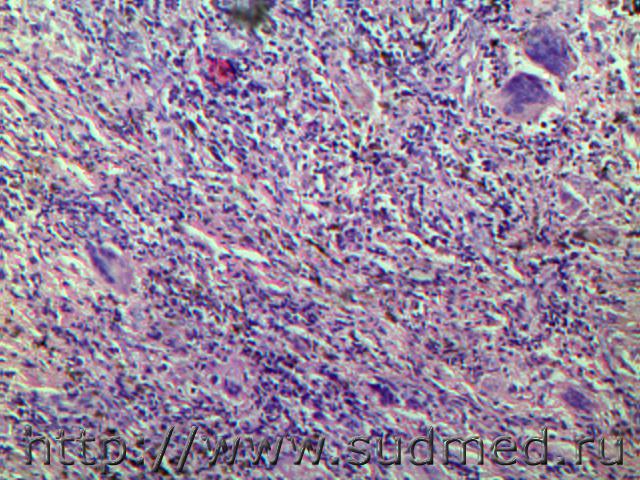
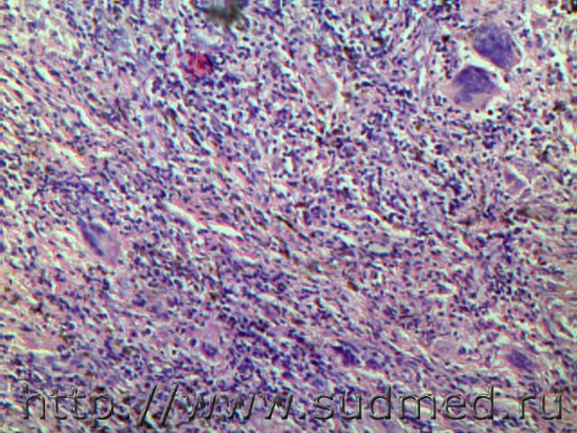
Злокачественная веретеноклеточная меланома с метастазами в головной мозг и легкие. 3и9 рисунок легкие, остальные ткань головного мозга с ММО.

Сообщение отредактировал доктор морфолог - 25.01.2017 - 02:16


Эскизы прикрепленных изображений
Судебная медицина - Прикрепленное изображение Судебная медицина - Прикрепленное изображение Судебная медицина - Прикрепленное изображение Судебная медицина - Прикрепленное изображение Судебная медицина - Прикрепленное изображение Судебная медицина - Прикрепленное изображение Судебная медицина - Прикрепленное изображение Судебная медицина - Прикрепленное изображение Судебная медицина - Прикрепленное изображение
Пользователь offline
К началу страницы
+Ответить с цитированием
Hristov
сообщение 24.01.2017 - 18:05
Сообщение #919


Участник форума

Группа: СМЭ
Регистрация: 22.01.2011
Из: Болгария
Пользователь №: 25 151


Ножевых ранений





Эскизы прикрепленных изображений
Судебная медицина - Прикрепленное изображение
Пользователь offline
К началу страницы
+Ответить с цитированием
доктор морфолог
сообщение 28.01.2017 - 08:00
Сообщение #920


Мастер I

Группа: СМЭ
Регистрация: 5.12.2013
Пользователь №: 38 421


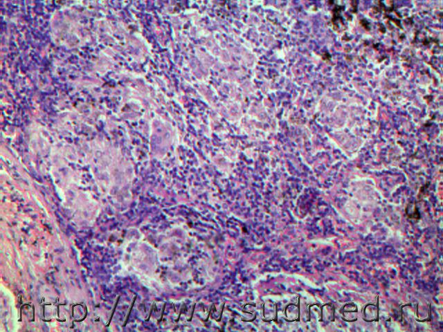
Ж.56 лет. Трансторакальная видеобиопсия бифуркационного лимфатического узла.По гистокартине ввиду отсутствия казеозного некроза, разной формы штампованностью гранулем с отложением эозинофилно-гиалиноподобной массы, наличием многоядерных гигантских клеток по типу инородных тел,выраженной склеротической стромой с угольным пигментом и периартеритом был выставлен - Саркоидозная гранулема л/у легких.

Сообщение отредактировал доктор морфолог - 28.01.2017 - 08:07


Эскизы прикрепленных изображений
Судебная медицина - Прикрепленное изображение Судебная медицина - Прикрепленное изображение Судебная медицина - Прикрепленное изображение Судебная медицина - Прикрепленное изображение Судебная медицина - Прикрепленное изображение Судебная медицина - Прикрепленное изображение Судебная медицина - Прикрепленное изображение Судебная медицина - Прикрепленное изображение Судебная медицина - Прикрепленное изображение
Пользователь offline
К началу страницы
+Ответить с цитированием
Медик
сообщение 31.01.2017 - 11:27
Сообщение #921


Учитель
Group Icon
Группа: Модераторы
Регистрация: 16.05.2010
Пользователь №: 21 553


1.Содержимое брюшной полости.
2.Хроническая язва двенадцатиперстной кишки с прободением.

Сообщение отредактировал Медик - 31.01.2017 - 11:29


Эскизы прикрепленных изображений
Судебная медицина - Прикрепленное изображение Судебная медицина - Прикрепленное изображение
Пользователь offline
К началу страницы
+Ответить с цитированием
ivan_bar
сообщение 1.02.2017 - 07:33
Сообщение #922


Опытный участник

Группа: СМЭ
Регистрация: 12.03.2012
Пользователь №: 31 909


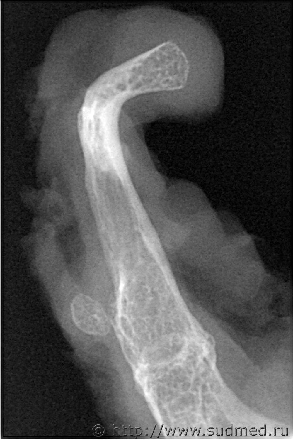
Подъязычная кость при повешении. Правда без повреждений.
1. Рентгенограмма правого большого рога.
2. Общий вид кости после удаления мягких тканей.

1. Судебная медицина - Прикрепленное изображение

2. Судебная медицина - Прикрепленное изображение
Пользователь offline
К началу страницы
+Ответить с цитированием
Norman
сообщение 3.02.2017 - 06:25
Сообщение #923


Авторитетный участник

Группа: СМЭ
Регистрация: 2.01.2010
Пользователь №: 19 127


Повешение на ремне.

Судебная медицина - Прикрепленное изображение Судебная медицина - Прикрепленное изображение

Сообщение отредактировал Дмитрий - 6.02.2017 - 14:07
Пользователь offline
К началу страницы
+Ответить с цитированием
доктор морфолог
сообщение 3.02.2017 - 11:41
Сообщение #924


Мастер I

Группа: СМЭ
Регистрация: 5.12.2013
Пользователь №: 38 421


Ж.38 лет. Ангиомиолипома (АМЛ)почки.


Эскизы прикрепленных изображений
Судебная медицина - Прикрепленное изображение Судебная медицина - Прикрепленное изображение Судебная медицина - Прикрепленное изображение Судебная медицина - Прикрепленное изображение Судебная медицина - Прикрепленное изображение Судебная медицина - Прикрепленное изображение
Пользователь offline
К началу страницы
+Ответить с цитированием
Norman
сообщение 3.02.2017 - 12:50
Сообщение #925


Авторитетный участник

Группа: СМЭ
Регистрация: 2.01.2010
Пользователь №: 19 127


Ушиб легкого.


Эскизы прикрепленных изображений
Судебная медицина - Прикрепленное изображение
Пользователь offline
К началу страницы
+Ответить с цитированием
Югросс
сообщение 5.02.2017 - 16:24
Сообщение #926


Знаток форума
Group Icon
Группа: СМЭ
Регистрация: 1.03.2010
Из: Юг России
Пользователь №: 20 320


И такое самоповешение бывает...Судебная медицина - Прикрепленное изображение
Пользователь offline
К началу страницы
+Ответить с цитированием
Amigo
сообщение 6.02.2017 - 17:45
Сообщение #927


Маэстро форума

Группа: СМЭ
Регистрация: 23.09.2007
Из: зауралье
Пользователь №: 5 905


тоже самоповешение двухмесячной давности

меланома, метастазы в сердце и почках


Эскизы прикрепленных изображений
Судебная медицина - Прикрепленное изображение Судебная медицина - Прикрепленное изображение Судебная медицина - Прикрепленное изображение Судебная медицина - Прикрепленное изображение
Пользователь offline
К началу страницы
+Ответить с цитированием
Витекс
сообщение 8.02.2017 - 15:20
Сообщение #928


Опытный участник

Группа: СМЭ
Регистрация: 27.01.2013
Из: Удмуртская Республика
Пользователь №: 35 431


Суицид. Отравление электролитом

Судебная медицина - Прикрепленное изображение
Пользователь offline
К началу страницы
+Ответить с цитированием
Витекс
сообщение 9.02.2017 - 12:05
Сообщение #929


Опытный участник

Группа: СМЭ
Регистрация: 27.01.2013
Из: Удмуртская Республика
Пользователь №: 35 431


Укушенная рана (бабуле 88 лет откусила дочь)Судебная медицина - Прикрепленное изображение
Пользователь offline
К началу страницы
+Ответить с цитированием
Chivas
сообщение 13.02.2017 - 17:14
Сообщение #930


Мастер I
Group Icon
Группа: Модераторы
Регистрация: 17.02.2007
Из: Кубань
Пользователь №: 4 435


Содержимое желудка в виде песка и кусков штукатурки.
Причина смерти общее переохлаждение.


Эскизы прикрепленных изображений
Судебная медицина - Прикрепленное изображение
Пользователь offline
К началу страницы
+Ответить с цитированием

75 страниц V « < 60 61 62 63 64 > » 



- Обратная связь Сейчас: 13.10.2025 - 03:30