Здравствуйте, гость ( Вход | Регистрация )

Форум судебных медиков России
>   Правила раздела >

Здесь обсуждаются вопросы судебно-медицинской танатологии и судебно-медицинской гистологии.

 
75 страниц V « < 61 62 63 64 65 > »   
>

Просто иллюстрации, фотографии интересных случаев

Рейтинг  5
>
АльбертКазань
сообщение 14.02.2017 - 09:10
Сообщение #931


Знаток форума
Group Icon
Группа: СМЭ
Регистрация: 14.10.2010
Пользователь №: 23 473


Цитата(Алексей @ 10.03.2006 - 13:24)
Огнестрельное ранение головы, выстрел в упор.
Пуля свинцовая, деформировалась, не пробив кости черепа.
Из чего стреляли, точно никто не знает. Подозрение на самоделку или на расточенный газовый. Пуля очень похожа на "мелкашечную". Кости черепа в этом месте (почти середина чешуйчатого шва) около 0,3 см.

Был похожий случай. Тогда стреляли из переделанного револьвера с расточенным стволом и поврежденным креплением барабана, за счет которого каморы были несколько смещены относительно ствола. Револьвер снаряжался спортивно-охотничьим патроном ("для мелкашки") 5,6. После выстрела, пуля ударялась в край ствола, значительно теряла скорость и деформировалась, поэтому смогла пробить только кожу и сформировать вдавленный перелом НКП височной кости. Подтверждено в эксперименте.
Пользователь offline
К началу страницы
+Ответить с цитированием
доктор морфолог
сообщение 16.02.2017 - 10:45
Сообщение #932


Мастер I

Группа: СМЭ
Регистрация: 5.12.2013
Пользователь №: 38 421


М.40 лет. СМ д-з: ОНМК.ЦВЗ. Гистологический диагноз: Болезнь Фара( не атеросклеротический кальциноз стенки сосудов- феррокальциноз) , кальциноз стенки сосудов базального отделов и сосудистого сплетения головного мозга. Частота 1:1 000 000 передается по наследству.


Эскизы прикрепленных изображений
Судебная медицина - Прикрепленное изображение Судебная медицина - Прикрепленное изображение Судебная медицина - Прикрепленное изображение Судебная медицина - Прикрепленное изображение Судебная медицина - Прикрепленное изображение Судебная медицина - Прикрепленное изображение Судебная медицина - Прикрепленное изображение Судебная медицина - Прикрепленное изображение Судебная медицина - Прикрепленное изображение Судебная медицина - Прикрепленное изображение Судебная медицина - Прикрепленное изображение
Пользователь offline
К началу страницы
+Ответить с цитированием
fbc_v
сообщение 21.02.2017 - 09:11
Сообщение #933


Знаток форума
Group Icon
Группа: СМЭ
Регистрация: 18.04.2012
Пользователь №: 32 515


Аневризма передней соединительной артерии с разрывом


Эскизы прикрепленных изображений
Судебная медицина - Прикрепленное изображение Судебная медицина - Прикрепленное изображение
Пользователь offline
К началу страницы
+Ответить с цитированием
vjach_ws
сообщение 23.02.2017 - 21:00
Сообщение #934


Участник форума

Группа: СМЭ
Регистрация: 22.05.2011
Пользователь №: 27 207


Малые аномалии сердца (объект после фиксации в 10% р-ре формалина).
Судебная медицина - Прикрепленное изображениеСудебная медицина - Прикрепленное изображение
Пользователь offline
К началу страницы
+Ответить с цитированием
fbc_v
сообщение 25.02.2017 - 17:08
Сообщение #935


Знаток форума
Group Icon
Группа: СМЭ
Регистрация: 18.04.2012
Пользователь №: 32 515


Панкреонекроз инфицированный


Эскизы прикрепленных изображений
Судебная медицина - Прикрепленное изображение Судебная медицина - Прикрепленное изображение Судебная медицина - Прикрепленное изображение
Пользователь offline
К началу страницы
+Ответить с цитированием
Медик
сообщение 25.02.2017 - 18:55
Сообщение #936


Учитель
Group Icon
Группа: Модераторы
Регистрация: 16.05.2010
Пользователь №: 21 553


Цитата(fbc_v @ 25.02.2017 - 18:08)
Панкреонекроз инфицированный

Это ,согласно классификации,имеет своё название : "Острый гнойно-некротический панкреатит."
Пользователь offline
К началу страницы
+Ответить с цитированием
доктор морфолог
сообщение 28.02.2017 - 11:54
Сообщение #937


Мастер I

Группа: СМЭ
Регистрация: 5.12.2013
Пользователь №: 38 421


М.65 лет. Аденокарцинома слюнной железы с метастазом в легких.


Эскизы прикрепленных изображений
Судебная медицина - Прикрепленное изображение Судебная медицина - Прикрепленное изображение Судебная медицина - Прикрепленное изображение Судебная медицина - Прикрепленное изображение Судебная медицина - Прикрепленное изображение Судебная медицина - Прикрепленное изображение Судебная медицина - Прикрепленное изображение Судебная медицина - Прикрепленное изображение Судебная медицина - Прикрепленное изображение
Пользователь offline
К началу страницы
+Ответить с цитированием
Вованыч
сообщение 1.03.2017 - 15:10
Сообщение #938


Продвинутый участник

Группа: СМЭ
Регистрация: 31.01.2007
Пользователь №: 4 259


Мужчина, 1967 года рождения.
Обнаружен дома без признаков травмы.
На секции переломы 5-7 го ребер по средней подмышечной линии, 8,9-го ребер на середине между средней подмышечной и задней подмышечной линиями. Разрыв верхнего полюса селезенки. Гемоперитонеум (3 литра)
Мелкоузловой портальный цирроз. Спленомегалия (масса 2 кг, размеры 27х19х11)

Судебная медицина - Прикрепленное изображение 1. Висцеральная поверхность

Судебная медицина - Прикрепленное изображение 2. Диафрагмальная поверхность (верхний полюс)

Сообщение отредактировал Chivas - 15.03.2017 - 19:33
Пользователь offline
К началу страницы
+Ответить с цитированием
доктор морфолог
сообщение 3.03.2017 - 10:07
Сообщение #939


Мастер I

Группа: СМЭ
Регистрация: 5.12.2013
Пользователь №: 38 421


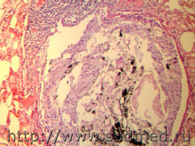
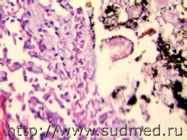
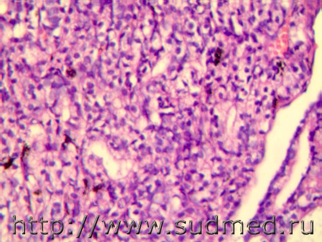
Дети 3 и 5 лет.После пожара, отравление угарным газом. Гранулы копоти черного цвета в толще слизи и в цитоплазме эпителии слизистой бронхов. Отек, эмфизема легких.


Эскизы прикрепленных изображений
Судебная медицина - Прикрепленное изображение Судебная медицина - Прикрепленное изображение Судебная медицина - Прикрепленное изображение Судебная медицина - Прикрепленное изображение Судебная медицина - Прикрепленное изображение Судебная медицина - Прикрепленное изображение Судебная медицина - Прикрепленное изображение Судебная медицина - Прикрепленное изображение Судебная медицина - Прикрепленное изображение Судебная медицина - Прикрепленное изображение Судебная медицина - Прикрепленное изображение Судебная медицина - Прикрепленное изображение
Пользователь offline
К началу страницы
+Ответить с цитированием
vjach_ws
сообщение 4.03.2017 - 16:10
Сообщение #940


Участник форума

Группа: СМЭ
Регистрация: 22.05.2011
Пользователь №: 27 207


Ныряющий ход передней межжелудочковой ветви ЛКА (в толще миокарда ПСЛЖ) Судебная медицина - Прикрепленное изображение.

Сообщение отредактировал vjach_ws - 4.03.2017 - 16:42
Пользователь offline
К началу страницы
+Ответить с цитированием
vjach_ws
сообщение 4.03.2017 - 16:23
Сообщение #941


Участник форума

Группа: СМЭ
Регистрация: 22.05.2011
Пользователь №: 27 207


Аномалия развития почек: подковообразная почка Судебная медицина - Прикрепленное изображение.

Задняя поверхность Судебная медицина - Прикрепленное изображение.

Передняя поверхность Судебная медицина - Прикрепленное изображение Судебная медицина - Прикрепленное изображение.

На разрезе Судебная медицина - Прикрепленное изображение.

Кровоснабжение: 1) приток: правая и левая почечные артерии и мелкая добавочная к перешейку;
2) отток: левая почечная вена.

Сообщение отредактировал vjach_ws - 4.03.2017 - 16:49
Пользователь offline
К началу страницы
+Ответить с цитированием
vjach_ws
сообщение 11.03.2017 - 21:38
Сообщение #942


Участник форума

Группа: СМЭ
Регистрация: 22.05.2011
Пользователь №: 27 207


МАС: одиночная поперечная аномальная хорда между телами папиллярных мышц левого желудочка сердцаСудебная медицина - Прикрепленное изображение
Пользователь offline
К началу страницы
+Ответить с цитированием
доктор морфолог
сообщение 15.03.2017 - 11:15
Сообщение #943


Мастер I

Группа: СМЭ
Регистрация: 5.12.2013
Пользователь №: 38 421


Ж.33года. Смерть от геморрагического шока. Патан не нашел источник кровотечения и написал начавшиеся разрыв матки в нижнем сегменте, где на самом деле имело место стромальное кровоизлияние без разрывов ткани. Нами при пересмотре найден в операционном материале порок развития плаценты- Placenta Accreta , которая на рисунке четко видны ворсины хориона с децидуальной оболочкой прикрепленные в миометрии, которая явилась источником кровотечения.

Сообщение отредактировал доктор морфолог - 15.03.2017 - 11:40


Эскизы прикрепленных изображений
Судебная медицина - Прикрепленное изображение Судебная медицина - Прикрепленное изображение Судебная медицина - Прикрепленное изображение Судебная медицина - Прикрепленное изображение Судебная медицина - Прикрепленное изображение Судебная медицина - Прикрепленное изображение Судебная медицина - Прикрепленное изображение Судебная медицина - Прикрепленное изображение Судебная медицина - Прикрепленное изображение Судебная медицина - Прикрепленное изображение
Пользователь offline
К началу страницы
+Ответить с цитированием
Chivas
сообщение 15.03.2017 - 19:22
Сообщение #944


Мастер I
Group Icon
Группа: Модераторы
Регистрация: 17.02.2007
Из: Кубань
Пользователь №: 4 435


Цитата(vjach_ws @ 11.03.2017 - 22:38)
МАС

Одиночная аномальная продольная хорда в левом желудочке

Сообщение отредактировал Chivas - 15.03.2017 - 19:22


Эскизы прикрепленных изображений
Судебная медицина - Прикрепленное изображение
Пользователь offline
К началу страницы
+Ответить с цитированием
Chivas
сообщение 15.03.2017 - 21:56
Сообщение #945


Мастер I
Group Icon
Группа: Модераторы
Регистрация: 17.02.2007
Из: Кубань
Пользователь №: 4 435


Саркома Капоши с поражением желудка (эпидемический тип)


Эскизы прикрепленных изображений
Судебная медицина - Прикрепленное изображение
Пользователь offline
К началу страницы
+Ответить с цитированием

75 страниц V « < 61 62 63 64 65 > » 



- Обратная связь Сейчас: 13.10.2025 - 00:09