Здравствуйте, гость ( Вход | Регистрация )

Форум судебных медиков России
>   Правила раздела >

Здесь обсуждаются вопросы судебно-медицинской танатологии и судебно-медицинской гистологии.

 
75 страниц V « < 62 63 64 65 66 > »   
>

Просто иллюстрации, фотографии интересных случаев

Рейтинг  5
>
expertms
сообщение 16.03.2017 - 14:28
Сообщение #946


Продвинутый участник

Группа: СМЭ
Регистрация: 24.05.2011
Пользователь №: 27 243


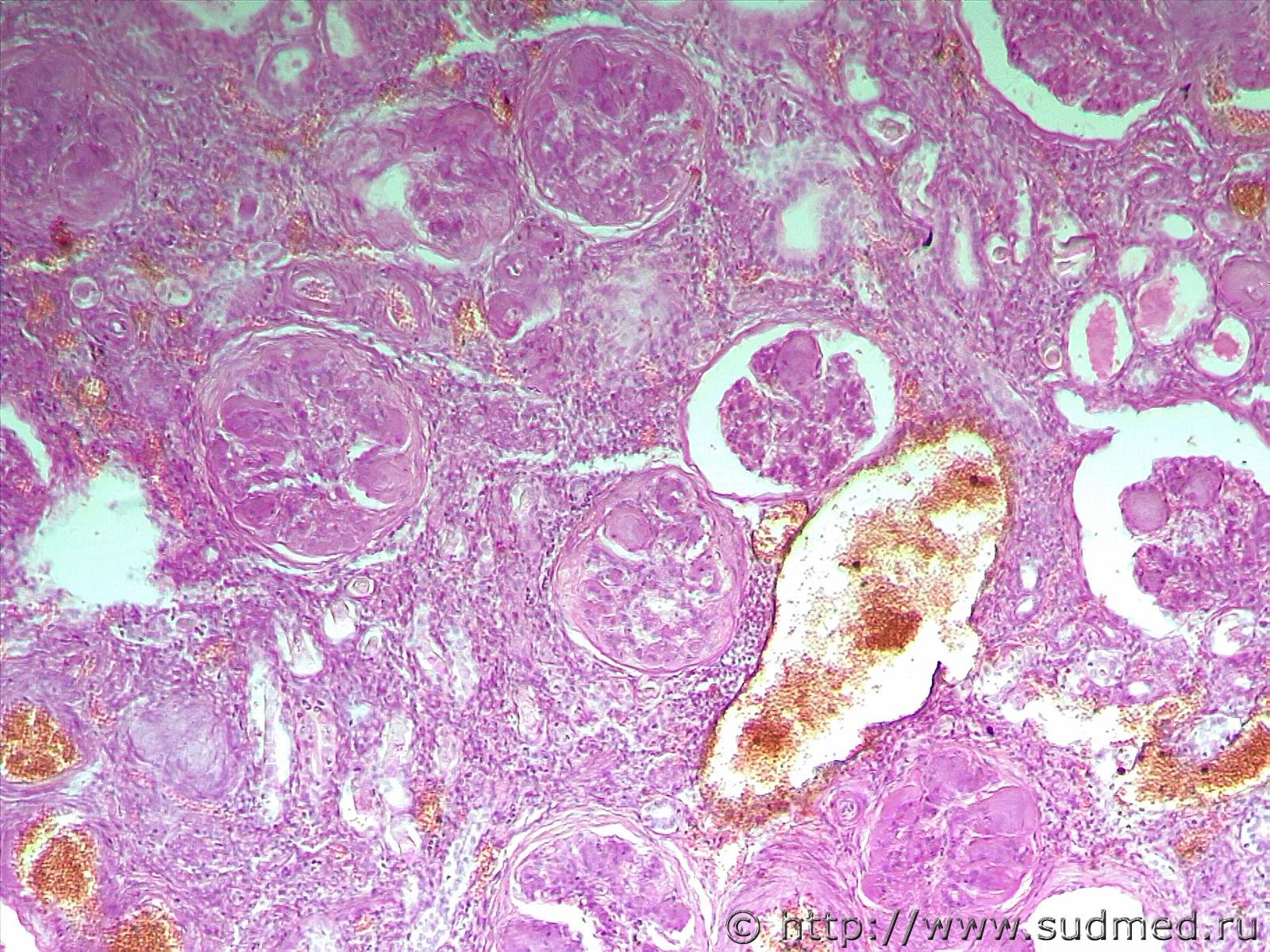
Диабетическая гломерулопатия


Эскизы прикрепленных изображений
Судебная медицина - Прикрепленное изображение
Пользователь offline
К началу страницы
+Ответить с цитированием
Hristov
сообщение 17.03.2017 - 20:13
Сообщение #947


Участник форума

Группа: СМЭ
Регистрация: 22.01.2011
Из: Болгария
Пользователь №: 25 151


Молодой человек почти обезглавлен ножом.

Судебная медицина - Прикрепленное изображение Судебная медицина - Прикрепленное изображение

Пользователь offline
К началу страницы
+Ответить с цитированием
доктор морфолог
сообщение 4.04.2017 - 12:18
Сообщение #948


Мастер I

Группа: СМЭ
Регистрация: 5.12.2013
Пользователь №: 38 421


М.1972 г.р. В почке обнаружен опухоль диаметром 0.6см. Гистологический установлена- Мезобластическая нефрома, доброкачественная. У взрослых редко встречается. Гистоструктура состоит из хаотичных (переплетенных) волокон из вытянутых фибробластических клеток, на периферии видны единичные примитивные канальцы.


Эскизы прикрепленных изображений
Судебная медицина - Прикрепленное изображение Судебная медицина - Прикрепленное изображение Судебная медицина - Прикрепленное изображение Судебная медицина - Прикрепленное изображение Судебная медицина - Прикрепленное изображение Судебная медицина - Прикрепленное изображение Судебная медицина - Прикрепленное изображение Судебная медицина - Прикрепленное изображение Судебная медицина - Прикрепленное изображение
Пользователь offline
К началу страницы
+Ответить с цитированием
Norman
сообщение 5.04.2017 - 06:22
Сообщение #949


Авторитетный участник

Группа: СМЭ
Регистрация: 2.01.2010
Пользователь №: 19 127


Повешение. Отпечаток поверхности петли (веревки) в странгуляцонной борозде.


Эскизы прикрепленных изображений
Судебная медицина - Прикрепленное изображение Судебная медицина - Прикрепленное изображение
Пользователь offline
К началу страницы
+Ответить с цитированием
Norman
сообщение 5.04.2017 - 06:49
Сообщение #950


Авторитетный участник

Группа: СМЭ
Регистрация: 2.01.2010
Пользователь №: 19 127


Рубленные раны теменно-затылочной области

Сообщение отредактировал Norman - 5.04.2017 - 06:50


Эскизы прикрепленных изображений
Судебная медицина - Прикрепленное изображение Судебная медицина - Прикрепленное изображение
Пользователь offline
К началу страницы
+Ответить с цитированием
vjach_ws
сообщение 14.04.2017 - 01:09
Сообщение #951


Участник форума

Группа: СМЭ
Регистрация: 22.05.2011
Пользователь №: 27 207


Падение со значительной высоты с вертикальным приземлением на стопы - разрушение костей основания черепа (комплекс отдаленных повреждений):Судебная медицина - Прикрепленное изображение Судебная медицина - Прикрепленное изображениеСудебная медицина - Прикрепленное изображение.
Пользователь offline
К началу страницы
+Ответить с цитированием
доктор морфолог
сообщение 21.04.2017 - 08:32
Сообщение #952


Мастер I

Группа: СМЭ
Регистрация: 5.12.2013
Пользователь №: 38 421


М. 1999 г.р.Механическая асфиксия куском мясо при неизвестных обстоятельствах. В просвете крупного бронха четко виден обтурирующий кусок мясо.

Сообщение отредактировал доктор морфолог - 21.04.2017 - 08:33


Эскизы прикрепленных изображений
Судебная медицина - Прикрепленное изображение Судебная медицина - Прикрепленное изображение Судебная медицина - Прикрепленное изображение Судебная медицина - Прикрепленное изображение Судебная медицина - Прикрепленное изображение Судебная медицина - Прикрепленное изображение Судебная медицина - Прикрепленное изображение Судебная медицина - Прикрепленное изображение
Пользователь offline
К началу страницы
+Ответить с цитированием
Витекс
сообщение 3.05.2017 - 11:56
Сообщение #953


Опытный участник

Группа: СМЭ
Регистрация: 27.01.2013
Из: Удмуртская Республика
Пользователь №: 35 431


ТЭЛА
(стрелкой показан обтурирующий тромбоэмбол)
Судебная медицина - Прикрепленное изображение
Пользователь offline
К началу страницы
+Ответить с цитированием
доктор морфолог
сообщение 15.05.2017 - 10:31
Сообщение #954


Мастер I

Группа: СМЭ
Регистрация: 5.12.2013
Пользователь №: 38 421


М.25 лет. Отравление солями тяжелых металлов. В головном мозге обнаружены тельца Бабеша-Негри.Дегенеративно измененные гигантские нейроциты с включениями в цитоплазме.

Сообщение отредактировал доктор морфолог - 15.05.2017 - 12:56


Эскизы прикрепленных изображений
Судебная медицина - Прикрепленное изображение Судебная медицина - Прикрепленное изображение Судебная медицина - Прикрепленное изображение Судебная медицина - Прикрепленное изображение Судебная медицина - Прикрепленное изображение Судебная медицина - Прикрепленное изображение
Пользователь offline
К началу страницы
+Ответить с цитированием
доктор морфолог
сообщение 15.05.2017 - 10:38
Сообщение #955


Мастер I

Группа: СМЭ
Регистрация: 5.12.2013
Пользователь №: 38 421


тот же случай. Деструктивный пигментный(сулемовый) некронефроз: гомогенизация всех структур-клубочков, капилляров, стромы и канальцев. В печени гидропическо-баллонная дистрофия.

Сообщение отредактировал доктор морфолог - 15.05.2017 - 10:39


Эскизы прикрепленных изображений
Судебная медицина - Прикрепленное изображение Судебная медицина - Прикрепленное изображение Судебная медицина - Прикрепленное изображение Судебная медицина - Прикрепленное изображение Судебная медицина - Прикрепленное изображение Судебная медицина - Прикрепленное изображение Судебная медицина - Прикрепленное изображение Судебная медицина - Прикрепленное изображение
Пользователь offline
К началу страницы
+Ответить с цитированием
Norman
сообщение 7.06.2017 - 06:08
Сообщение #956


Авторитетный участник

Группа: СМЭ
Регистрация: 2.01.2010
Пользователь №: 19 127


Рак правой доли щитовидной железы с множественными метастазами.


Эскизы прикрепленных изображений
Судебная медицина - Прикрепленное изображение Судебная медицина - Прикрепленное изображение
Пользователь offline
К началу страницы
+Ответить с цитированием
Norman
сообщение 7.06.2017 - 06:15
Сообщение #957


Авторитетный участник

Группа: СМЭ
Регистрация: 2.01.2010
Пользователь №: 19 127


Метастазы рака щитовидной железы в сердце и ТМО (в проекции лобной доли левого полушария). На втором фото на ТМО в проекции теменной доли правого полушария видно еще одно опухолевидное образование, отличающееся по морфологии (менингиома).


Эскизы прикрепленных изображений
Судебная медицина - Прикрепленное изображение Судебная медицина - Прикрепленное изображение
Пользователь offline
К началу страницы
+Ответить с цитированием
kkb
сообщение 8.06.2017 - 11:50
Сообщение #958


Читатель

Группа: СМЭ
Регистрация: 2.05.2006
Пользователь №: 1 713


Стрелками обозначены сквозное колотое, поверхностное колотое (вмятина) повреждения компакты и дефект верхушки сосцевидного отростка. Посмертное объедание трупа животными.


Эскизы прикрепленных изображений
Судебная медицина - Прикрепленное изображение
Пользователь offline
К началу страницы
+Ответить с цитированием
kkb
сообщение 8.06.2017 - 12:03
Сообщение #959


Читатель

Группа: СМЭ
Регистрация: 2.05.2006
Пользователь №: 1 713


Прорастание корней растений через естественные отверстия черепа вокруг наружного слухового отверстия.


Эскизы прикрепленных изображений
Судебная медицина - Прикрепленное изображение
Пользователь offline
К началу страницы
+Ответить с цитированием
Alexandr
сообщение 11.06.2017 - 23:22
Сообщение #960


Знаток форума
Group Icon
Группа: СМЭ
Регистрация: 16.11.2003
Пользователь №: 10


Без комментариев. ДТП.
Судебная медицина - Прикрепленное изображение
Пользователь offline
К началу страницы
+Ответить с цитированием

75 страниц V « < 62 63 64 65 66 > » 



- Обратная связь Сейчас: 13.10.2025 - 00:09