Здравствуйте, гость ( Вход | Регистрация )

Форум судебных медиков России
>   Правила раздела >

Здесь обсуждаются вопросы судебно-медицинской танатологии и судебно-медицинской гистологии.

 
75 страниц V « < 63 64 65 66 67 > »   
>

Просто иллюстрации, фотографии интересных случаев

Рейтинг  5
>
Alexandr
сообщение 11.06.2017 - 23:34
Сообщение #961


Знаток форума
Group Icon
Группа: СМЭ
Регистрация: 16.11.2003
Пользователь №: 10


Судебная медицина - Прикрепленное изображение
Аневризма базальной артерии с разрывом.
Пользователь offline
К началу страницы
+Ответить с цитированием
vjach_ws
сообщение 12.06.2017 - 20:09
Сообщение #962


Участник форума

Группа: СМЭ
Регистрация: 22.05.2011
Пользователь №: 27 207


Посмертное прорастание, "огородный трофей"
Судебная медицина - Прикрепленное изображение
Пользователь offline
К началу страницы
+Ответить с цитированием
vjach_ws
сообщение 12.06.2017 - 20:19
Сообщение #963


Участник форума

Группа: СМЭ
Регистрация: 22.05.2011
Пользователь №: 27 207


Две язвы, расположенные напротив друг друга на передней, с прободением Судебная медицина - Прикрепленное изображение, и задней (дно - сероза) стенках пилорического отдела желудка. Разлитой фибринозно-гнойный перитонит.
Судебная медицина - Прикрепленное изображение
Пользователь offline
К началу страницы
+Ответить с цитированием
vjach_ws
сообщение 12.06.2017 - 20:49
Сообщение #964


Участник форума

Группа: СМЭ
Регистрация: 22.05.2011
Пользователь №: 27 207


ЗЧМТ у стационарного пациента (плановая госпитализация и 10-суточное лечение в ГЭО)
Судебная медицина - Прикрепленное изображение
Пользователь offline
К началу страницы
+Ответить с цитированием
vjach_ws
сообщение 15.06.2017 - 19:49
Сообщение #965


Участник форума

Группа: СМЭ
Регистрация: 22.05.2011
Пользователь №: 27 207


Падение со значительной высоты с вертикальным приземлением на стопы: комплекс местных первичных поврежденийСудебная медицина - Прикрепленное изображение
Пользователь offline
К началу страницы
+Ответить с цитированием
Norman
сообщение 17.06.2017 - 08:35
Сообщение #966


Авторитетный участник

Группа: СМЭ
Регистрация: 2.01.2010
Пользователь №: 19 127


Рак печени (по заключению гистолога - анаплазированный рак).
Вид печени с поверхностей и на разрезе.
В желчном пузыре обнаружены камни. После удаления камней и промывки полости желчного пузыря видно прорастание опухоли в желчный пузырь. Дополнительно фото сагитального разреза желчного пузыря и печени.

Сообщение отредактировал Norman - 17.06.2017 - 08:38


Эскизы прикрепленных изображений
Судебная медицина - Прикрепленное изображение Судебная медицина - Прикрепленное изображение Судебная медицина - Прикрепленное изображение Судебная медицина - Прикрепленное изображение Судебная медицина - Прикрепленное изображение Судебная медицина - Прикрепленное изображение
Пользователь offline
К началу страницы
+Ответить с цитированием
vjach_ws
сообщение 19.06.2017 - 22:05
Сообщение #967


Участник форума

Группа: СМЭ
Регистрация: 22.05.2011
Пользователь №: 27 207


Компактное действие, картечь, не герметичный упор Судебная медицина - Прикрепленное изображение
Пользователь offline
К началу страницы
+Ответить с цитированием
expertms
сообщение 28.07.2017 - 17:28
Сообщение #968


Продвинутый участник

Группа: СМЭ
Регистрация: 24.05.2011
Пользователь №: 27 243


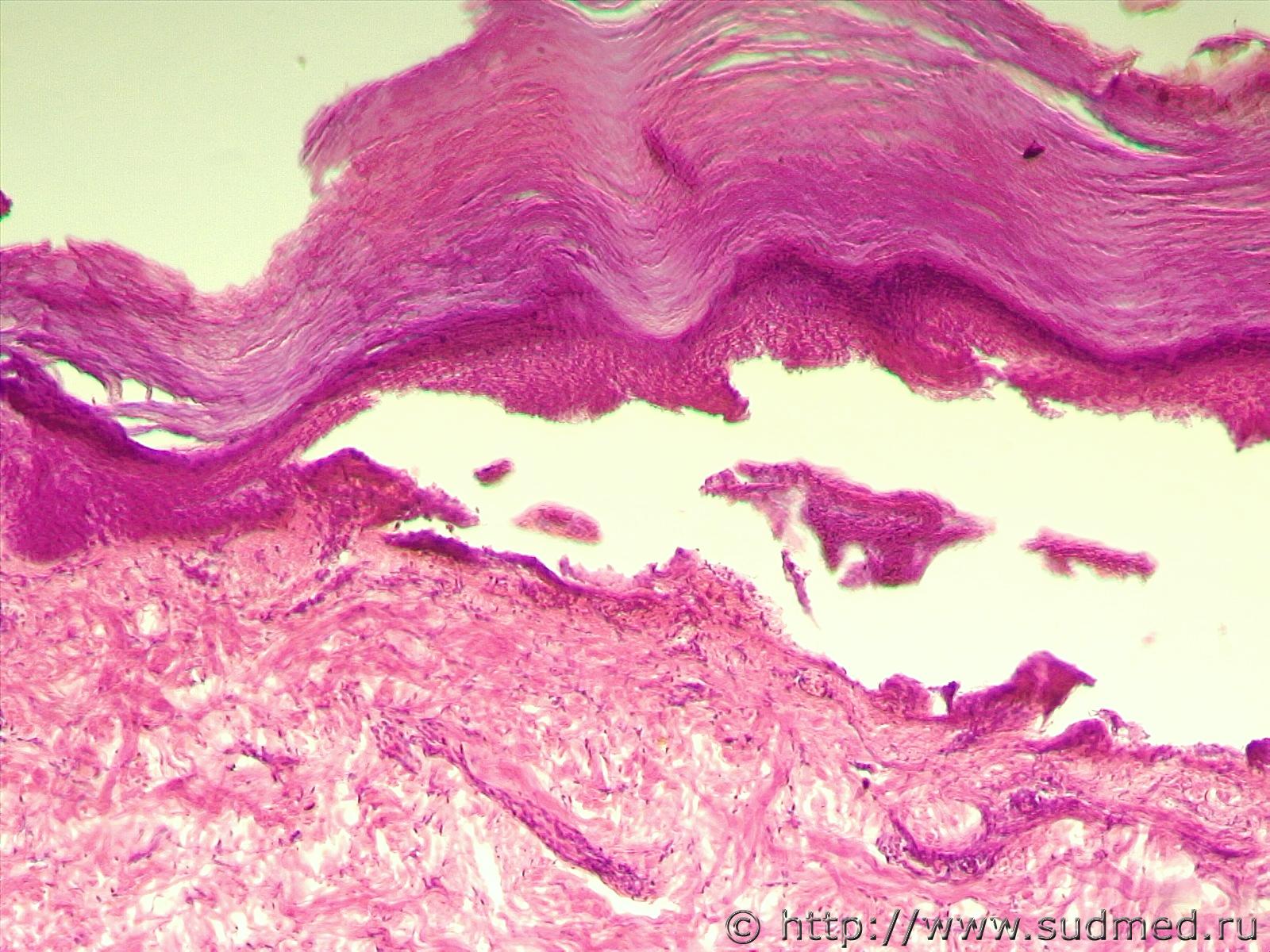
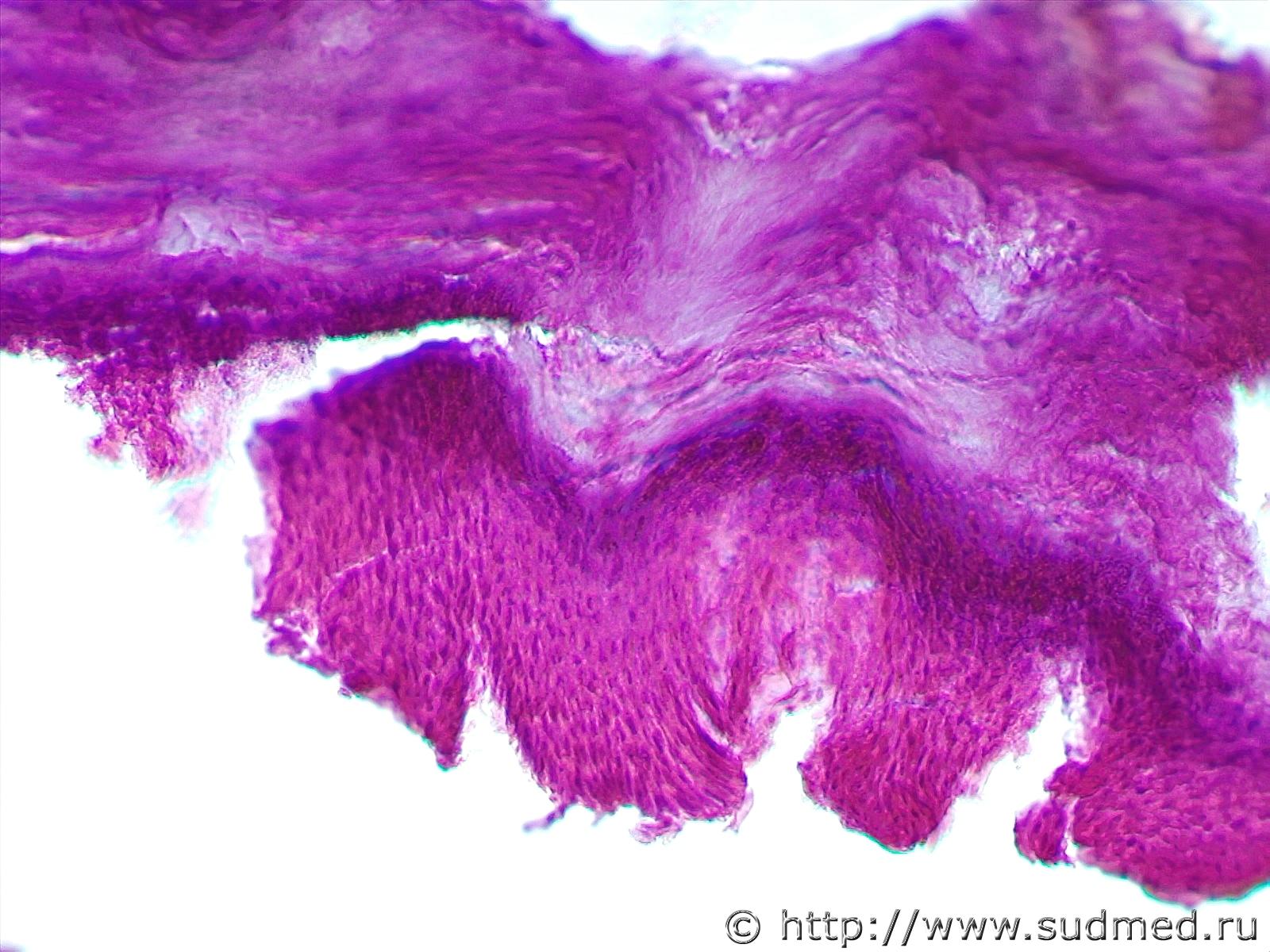
Электрометка
В первом - отслойка эпидермиса с роговым слоем, щелевидные сосуды дермы.
Во втором - частокол ядер клеток базального слоя

Сообщение отредактировал expertms - 28.07.2017 - 17:29


Эскизы прикрепленных изображений
Судебная медицина - Прикрепленное изображение Судебная медицина - Прикрепленное изображение
Пользователь offline
К началу страницы
+Ответить с цитированием
Медик
сообщение 5.08.2017 - 09:29
Сообщение #969


Учитель
Group Icon
Группа: Модераторы
Регистрация: 16.05.2010
Пользователь №: 21 553


Гнойный лептоменингит.


Эскизы прикрепленных изображений
Судебная медицина - Прикрепленное изображение Судебная медицина - Прикрепленное изображение Судебная медицина - Прикрепленное изображение
Пользователь offline
К началу страницы
+Ответить с цитированием
Медик
сообщение 5.08.2017 - 09:39
Сообщение #970


Учитель
Group Icon
Группа: Модераторы
Регистрация: 16.05.2010
Пользователь №: 21 553


Острый эрозивно-гнойный цистит.


Эскизы прикрепленных изображений
Судебная медицина - Прикрепленное изображение Судебная медицина - Прикрепленное изображение
Пользователь offline
К началу страницы
+Ответить с цитированием
Медик
сообщение 5.08.2017 - 10:01
Сообщение #971


Учитель
Group Icon
Группа: Модераторы
Регистрация: 16.05.2010
Пользователь №: 21 553


Гистологически острый диффузный эссудативно-пролиферативный миокардит (1,2,3,4 фото).
Инфекционный эндокардит (5,6 фото).



Сообщение отредактировал Медик - 5.08.2017 - 10:03


Эскизы прикрепленных изображений
Судебная медицина - Прикрепленное изображение Судебная медицина - Прикрепленное изображение Судебная медицина - Прикрепленное изображение Судебная медицина - Прикрепленное изображение Судебная медицина - Прикрепленное изображение Судебная медицина - Прикрепленное изображение
Пользователь offline
К началу страницы
+Ответить с цитированием
Медик
сообщение 9.08.2017 - 10:05
Сообщение #972


Учитель
Group Icon
Группа: Модераторы
Регистрация: 16.05.2010
Пользователь №: 21 553


Острый панкреатит (первые 3 фото).

Такое редко встречается (4 фото).

Сообщение отредактировал Медик - 9.08.2017 - 10:05


Эскизы прикрепленных изображений
Судебная медицина - Прикрепленное изображение Судебная медицина - Прикрепленное изображение Судебная медицина - Прикрепленное изображение Судебная медицина - Прикрепленное изображение
Пользователь offline
К началу страницы
+Ответить с цитированием
Медик
сообщение 11.08.2017 - 12:08
Сообщение #973


Учитель
Group Icon
Группа: Модераторы
Регистрация: 16.05.2010
Пользователь №: 21 553


Дивертикулы сигмовидной кишки.


Эскизы прикрепленных изображений
Судебная медицина - Прикрепленное изображение Судебная медицина - Прикрепленное изображение
Пользователь offline
К началу страницы
+Ответить с цитированием
andron15111987
сообщение 11.08.2017 - 14:03
Сообщение #974


Знаток форума
Group Icon
Группа: СМЭ
Регистрация: 25.05.2013
Из: Восточная сибирь
Пользователь №: 36 796


подковообразная почка


Эскизы прикрепленных изображений
Судебная медицина - Прикрепленное изображение
Пользователь offline
К началу страницы
+Ответить с цитированием
Медик
сообщение 21.08.2017 - 12:33
Сообщение #975


Учитель
Group Icon
Группа: Модераторы
Регистрация: 16.05.2010
Пользователь №: 21 553


Фибринозно-гнойный перикардит и плеврит.


Эскизы прикрепленных изображений
Судебная медицина - Прикрепленное изображение Судебная медицина - Прикрепленное изображение Судебная медицина - Прикрепленное изображение Судебная медицина - Прикрепленное изображение
Пользователь offline
К началу страницы
+Ответить с цитированием

75 страниц V « < 63 64 65 66 67 > » 



- Обратная связь Сейчас: 12.12.2025 - 02:02