Здравствуйте, гость ( Вход | Регистрация )

Форум судебных медиков России
>   Правила раздела >

Здесь обсуждаются вопросы судебно-медицинской танатологии и судебно-медицинской гистологии.

 
75 страниц V « < 65 66 67 68 69 > »   
>

Просто иллюстрации, фотографии интересных случаев

Рейтинг  5
>
доктор морфолог
сообщение 18.01.2018 - 12:21
Сообщение #991


Мастер I

Группа: СМЭ
Регистрация: 5.12.2013
Пользователь №: 38 421


Женщина 30 лет. Карциноид-туморлет в легких

Сообщение отредактировал доктор морфолог - 18.01.2018 - 12:24


Эскизы прикрепленных изображений
Судебная медицина - Прикрепленное изображение Судебная медицина - Прикрепленное изображение Судебная медицина - Прикрепленное изображение Судебная медицина - Прикрепленное изображение Судебная медицина - Прикрепленное изображение
Пользователь offline
К началу страницы
+Ответить с цитированием
ЗЕЛ
сообщение 18.01.2018 - 14:55
Сообщение #992


Знаток форума
Group Icon
Группа: СМЭ
Регистрация: 6.12.2006
Пользователь №: 3 753


Слепое огнестрельное ранение.
Травмат Оса.
Выстрел с близкого расстояния.





Эскизы прикрепленных изображений
Судебная медицина - Прикрепленное изображение Судебная медицина - Прикрепленное изображение
Пользователь offline
К началу страницы
+Ответить с цитированием
доктор морфолог
сообщение 30.01.2018 - 19:41
Сообщение #993


Мастер I

Группа: СМЭ
Регистрация: 5.12.2013
Пользователь №: 38 421


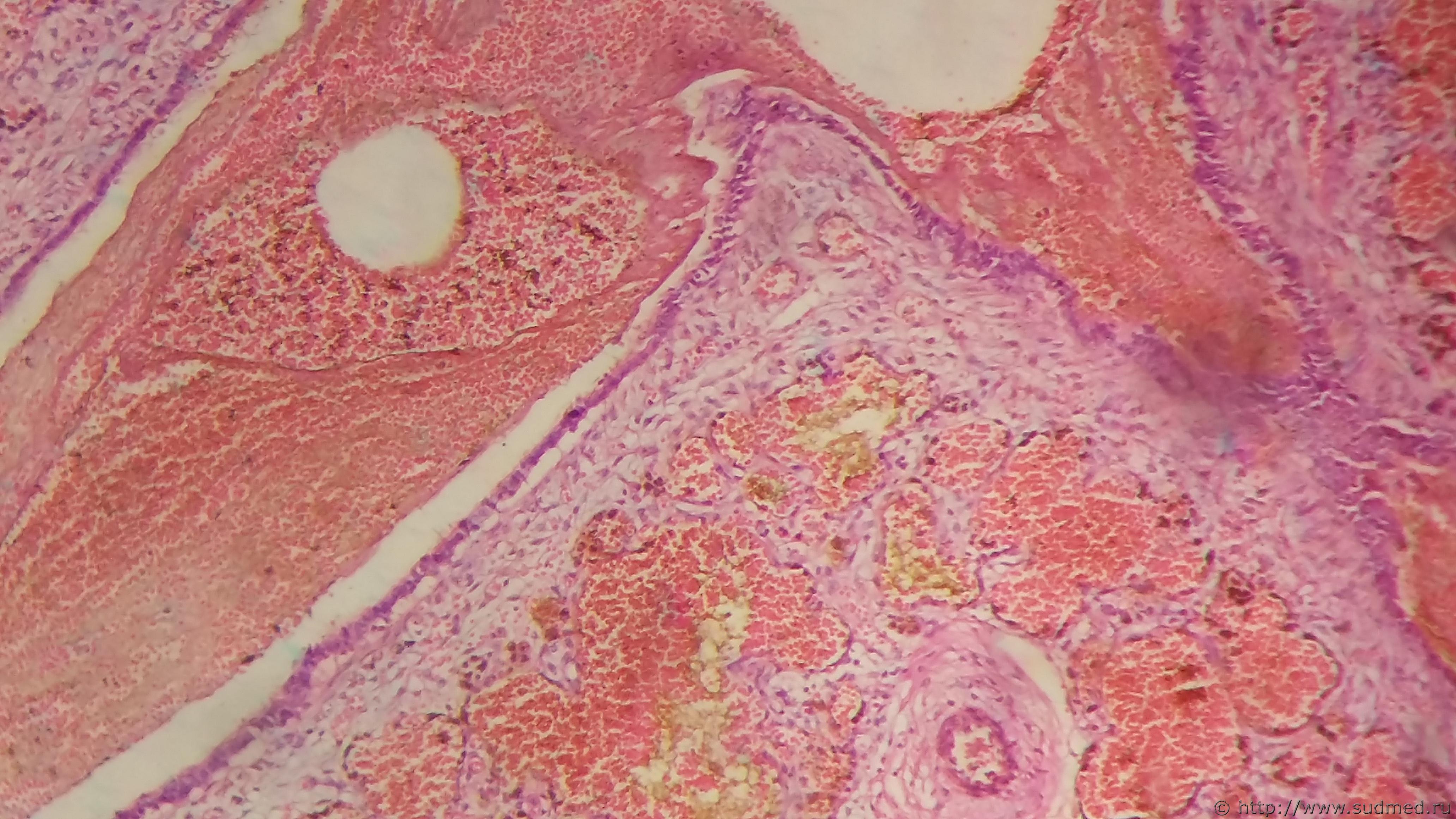
Новорожденный , жил 3 дня. После родов получил травму головы в неизвестных обстоятельствах. Ушиб головного мозга. В мягкой ткани головы затылочно-теменной области кровоподтеки 3х4см. Осложнение ДВС-синдром . Кровоизлияние в головном мозге, геморрагии в алвеолах с аспирацией в просвет бронхов. Судебная медицина - Прикрепленное изображениеСудебная медицина - Прикрепленное изображениеСудебная медицина - Прикрепленное изображениеСудебная медицина - Прикрепленное изображение
Судебная медицина - Прикрепленное изображениеСудебная медицина - Прикрепленное изображение


Эскизы прикрепленных изображений
Судебная медицина - Прикрепленное изображение
Пользователь offline
К началу страницы
+Ответить с цитированием
Hristov
сообщение 10.03.2018 - 20:06
Сообщение #994


Участник форума

Группа: СМЭ
Регистрация: 22.01.2011
Из: Болгария
Пользователь №: 25 151


Добрый вечер.

Женщина приблизительно 30 лет потеряла сознание дома.

Она была доставлена в больницу скорой помощью - остановка сердца и дыхания.

Ростом 172 см и 146 кг.

Подкожное кровоизлияние диаметром 4,5 см наблюдалось в эпигастральной области.

Левый яичник был заметно опухшим, а общий вес матки и правого яичника составлял более 13,0 кг. Была обнаружена левая яичниковая опухоль, состоящая из серозных и муцинозных кист. Не было метастазы других органах.

Причиной смерти считается нарушение кровообращения - асцит и опухоль цистаденома яичника.

Судебная медицина Судебная медицина Судебная медицина Судебная медицина Судебная медицина
Пользователь offline
К началу страницы
+Ответить с цитированием
Медик
сообщение 28.03.2018 - 13:28
Сообщение #995


Учитель
Group Icon
Группа: Модераторы
Регистрация: 16.05.2010
Пользователь №: 21 553


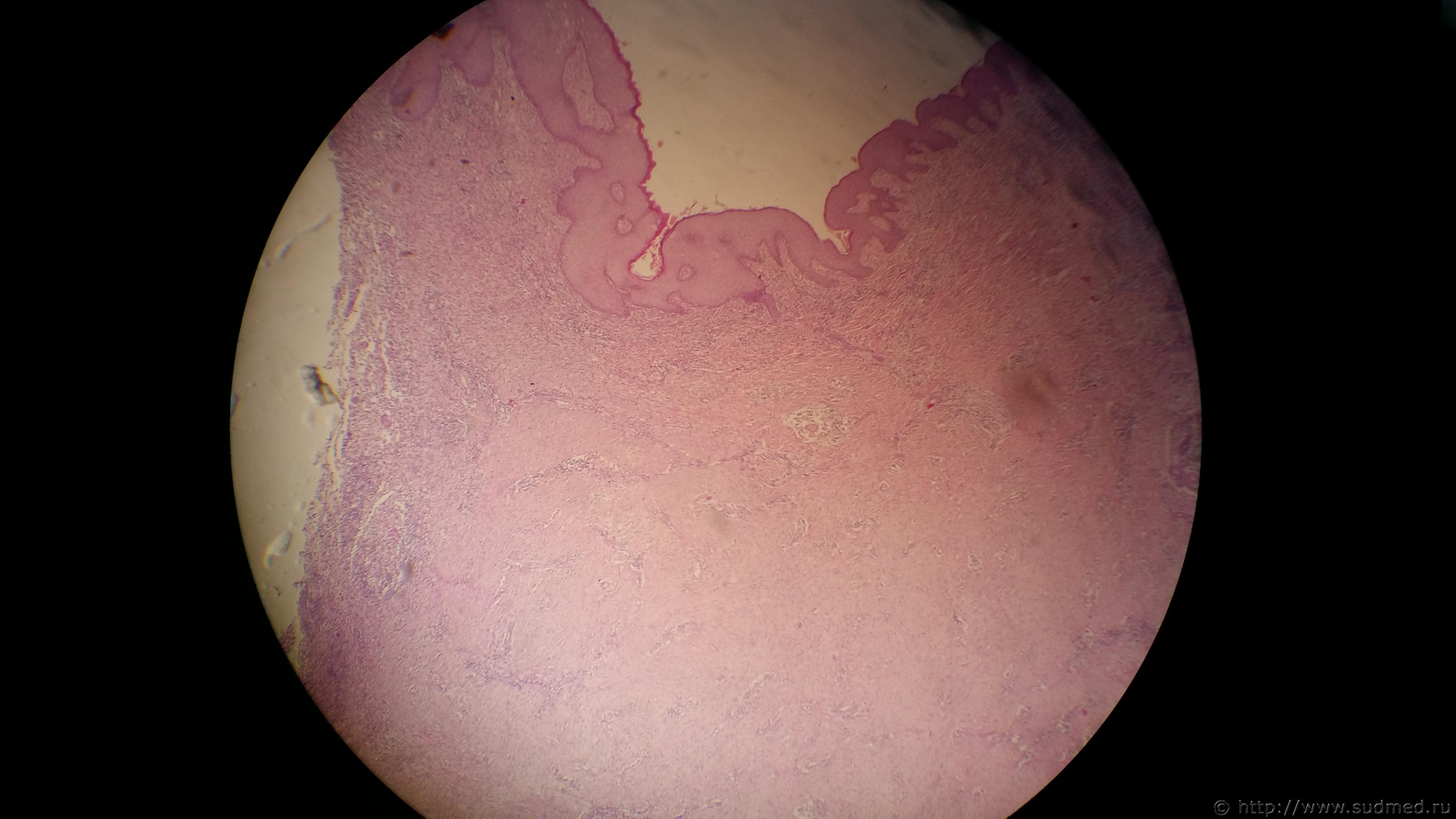
Хроническая язва желудка.

Сообщение отредактировал Медик - 28.03.2018 - 20:36


Эскизы прикрепленных изображений
Судебная медицина - Прикрепленное изображение
Пользователь offline
К началу страницы
+Ответить с цитированием
Alexandr
сообщение 28.03.2018 - 14:13
Сообщение #996


Знаток форума
Group Icon
Группа: СМЭ
Регистрация: 16.11.2003
Пользователь №: 10


Тоже самое, сегодняшний случай.

Судебная медицина - Прикрепленное изображение
Пользователь offline
К началу страницы
+Ответить с цитированием
доктор морфолог
сообщение 8.04.2018 - 17:19
Сообщение #997


Мастер I

Группа: СМЭ
Регистрация: 5.12.2013
Пользователь №: 38 421


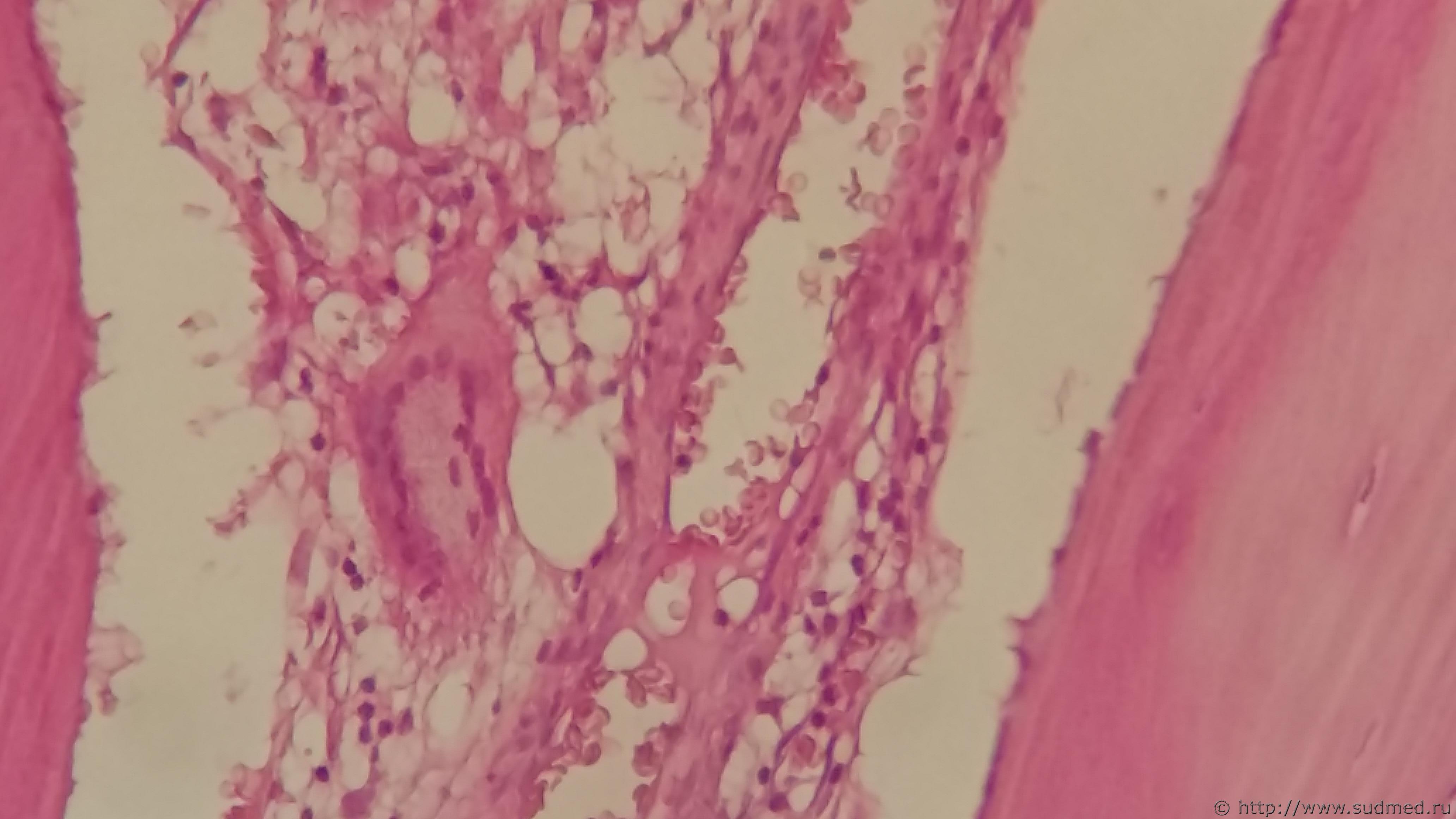
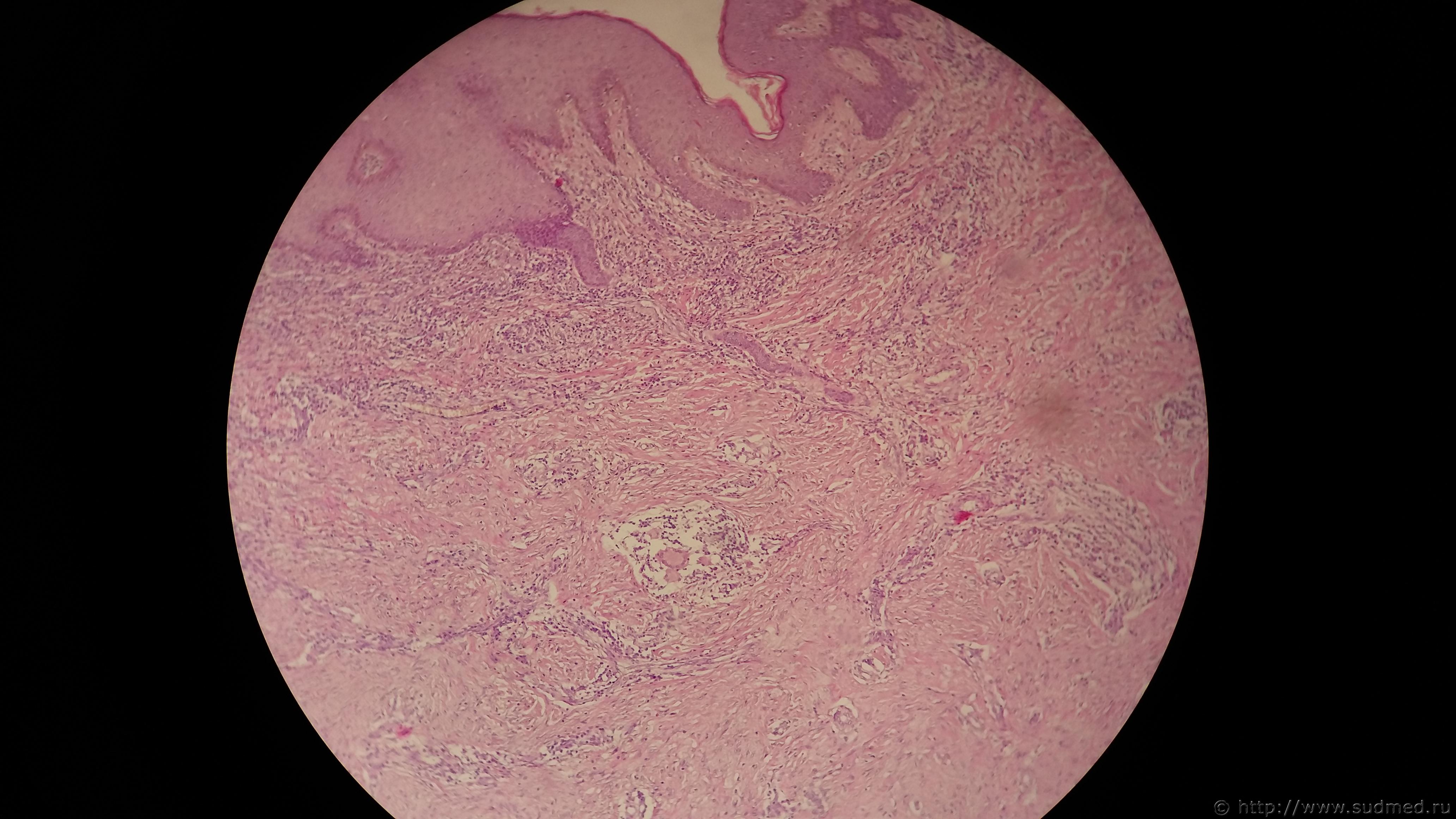
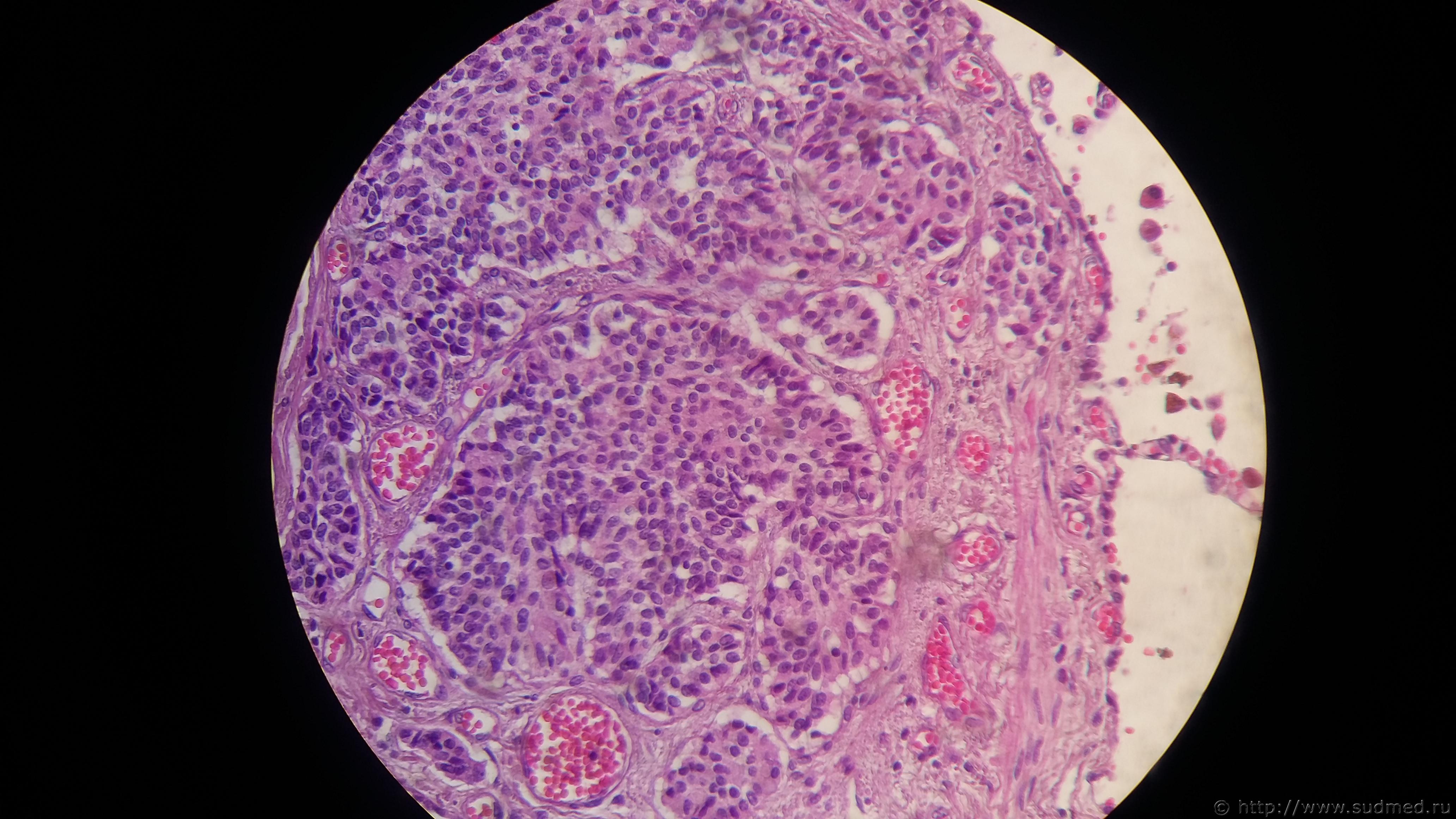
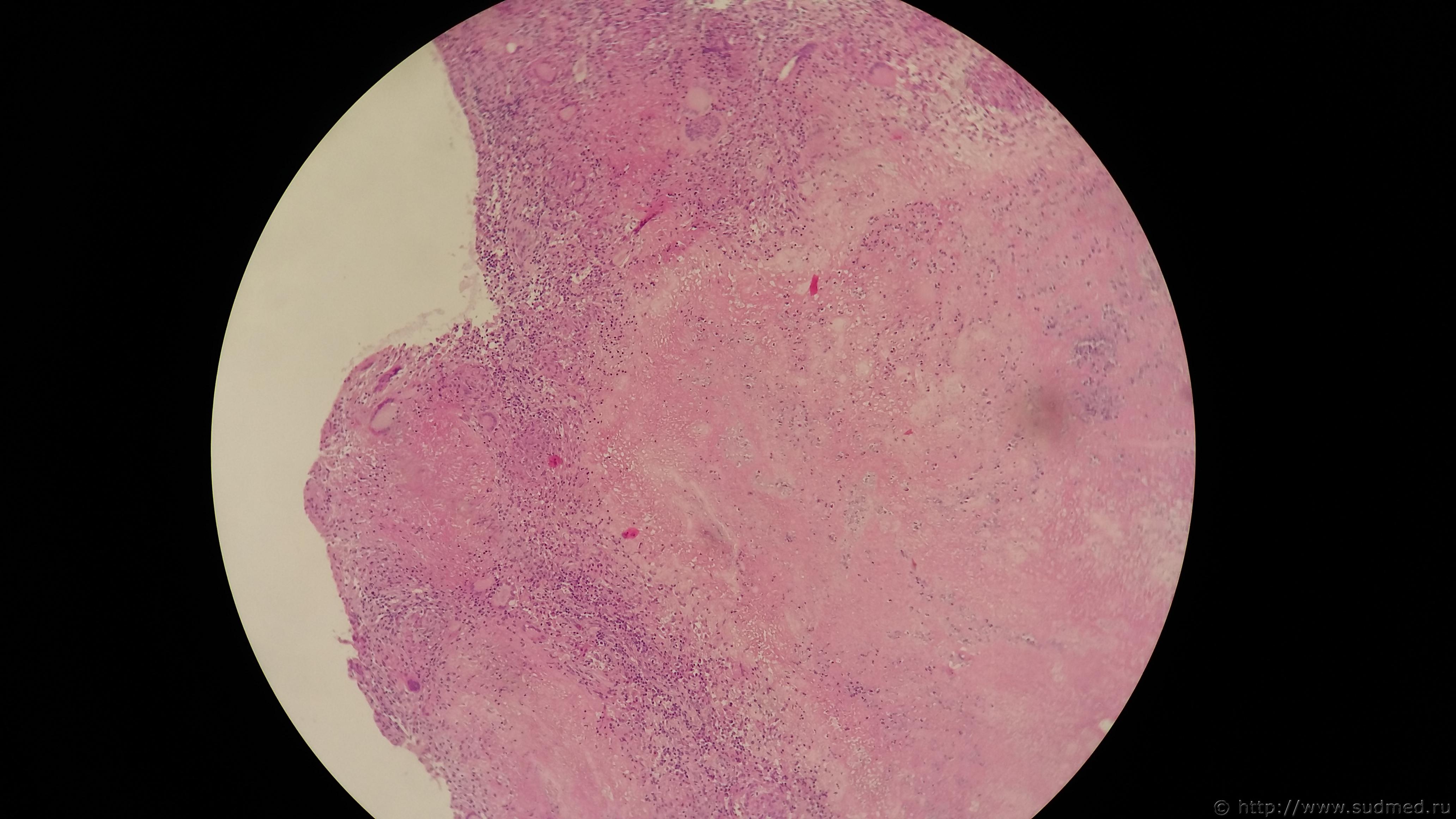
Мужчина 30 лет. Страдает костным туберкулезом, Судебная медицина - Прикрепленное изображениеосложненным секвестрацией со свищевым каналом вплоть до повреждения кожи. Диагноз: Туберкулезный остеомиелит, который четко виден на микрофото и по ходу свищевого канала видны очаги казеозного некроза с эпителиоидными клетками, лимфоцитами и многоядерными клетками Пирогово-Ланхганса.

Сообщение отредактировал доктор морфолог - 8.04.2018 - 17:24


Эскизы прикрепленных изображений
Судебная медицина - Прикрепленное изображение Судебная медицина - Прикрепленное изображение Судебная медицина - Прикрепленное изображение Судебная медицина - Прикрепленное изображение Судебная медицина - Прикрепленное изображение Судебная медицина - Прикрепленное изображение Судебная медицина - Прикрепленное изображение
Пользователь offline
К началу страницы
+Ответить с цитированием
vjach_ws
сообщение 14.04.2018 - 20:58
Сообщение #998


Участник форума

Группа: СМЭ
Регистрация: 22.05.2011
Пользователь №: 27 207


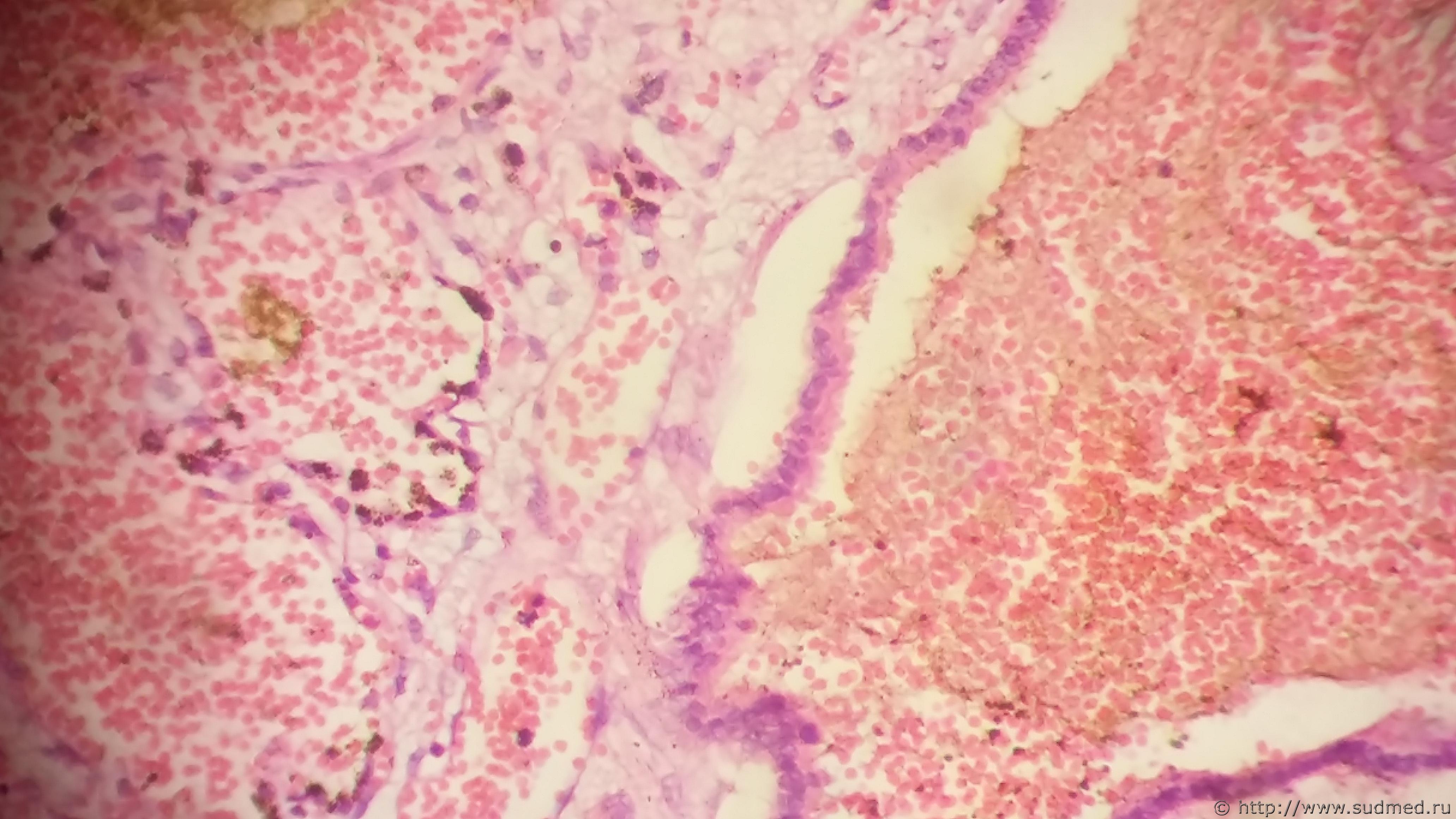
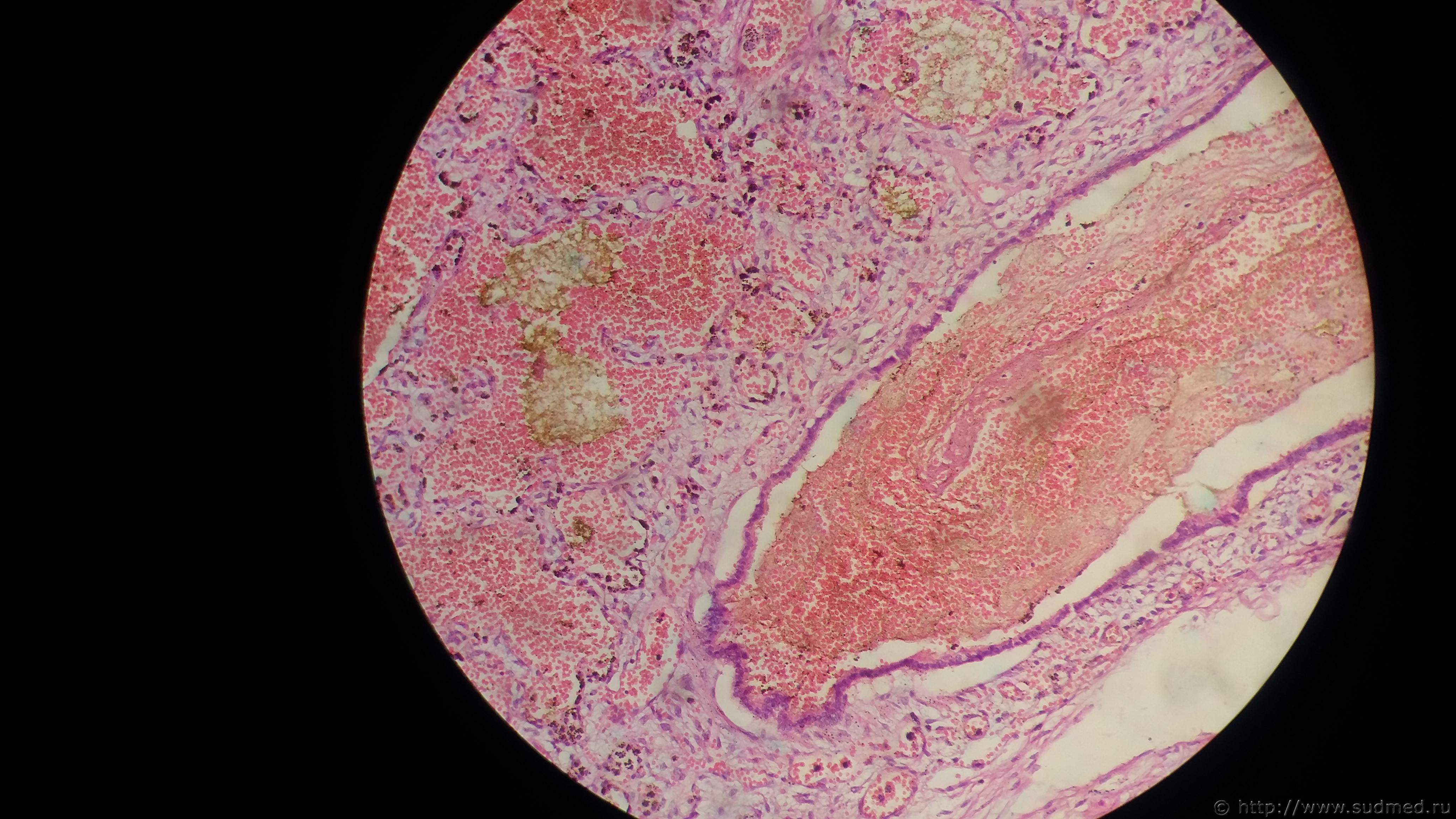
Мужчина, 39 лет. ВСС (SCD).Судебная медицина - Прикрепленное изображение
Пользователь offline
К началу страницы
+Ответить с цитированием
vjach_ws
сообщение 14.04.2018 - 21:12
Сообщение #999


Участник форума

Группа: СМЭ
Регистрация: 22.05.2011
Пользователь №: 27 207


Женщина, 80 лет.Судебная медицина - Прикрепленное изображение Судебная медицина - Прикрепленное изображение
Пользователь offline
К началу страницы
+Ответить с цитированием
Hristov
сообщение 9.05.2018 - 15:58
Сообщение #1000


Участник форума

Группа: СМЭ
Регистрация: 22.01.2011
Из: Болгария
Пользователь №: 25 151


Судебная медицина

Женщина, 55 лет.

Травматические субарахноидальные кровоизлияния (ТСАК).

55-летняя женщина, которая была зависима от алкоголя, была найдена мертвой в своей постели. У нее был синяк на левой стороне ее задней теменной области, и вскрытие показало массивное субарахноидальное кровоизлияние в основании мозга; гематома была сильно прикреплена к правой нижней поверхности полушария мозжечка. Не обнаружены разорванные мозговые аневризмы, артериовенозные мальформации или утечка вертебробазилярной артерии. Геморрагические мозжечковые ушибы считались источником ТСАК.
Пользователь offline
К началу страницы
+Ответить с цитированием
Витекс
сообщение 19.05.2018 - 19:48
Сообщение #1001


Опытный участник

Группа: СМЭ
Регистрация: 27.01.2013
Из: Удмуртская Республика
Пользователь №: 35 431


Коралловидный камень в почке у женщины 67 лет, случайная находка.


Судебная медицина - Прикрепленное изображение
Пользователь offline
К началу страницы
+Ответить с цитированием
Витекс
сообщение 24.07.2018 - 13:39
Сообщение #1002


Опытный участник

Группа: СМЭ
Регистрация: 27.01.2013
Из: Удмуртская Республика
Пользователь №: 35 431


Поликистоз почек, мужчина 65 лет. Почки по 1130-1190 грамм, размерами по 20х15х7см, правая вскрыта. Смерть от ХПН.

Судебная медицина - Прикрепленное изображение
Пользователь offline
К началу страницы
+Ответить с цитированием
Медик
сообщение 18.08.2018 - 12:44
Сообщение #1003


Учитель
Group Icon
Группа: Модераторы
Регистрация: 16.05.2010
Пользователь №: 21 553


Болезнь Крона.


Эскизы прикрепленных изображений
Судебная медицина - Прикрепленное изображение Судебная медицина - Прикрепленное изображение
Пользователь offline
К началу страницы
+Ответить с цитированием
Медик
сообщение 4.09.2018 - 14:17
Сообщение #1004


Учитель
Group Icon
Группа: Модераторы
Регистрация: 16.05.2010
Пользователь №: 21 553


Трофические язвы у бомжа.


Эскизы прикрепленных изображений
Судебная медицина - Прикрепленное изображение Судебная медицина - Прикрепленное изображение
Пользователь offline
К началу страницы
+Ответить с цитированием
Медик
сообщение 19.09.2018 - 13:00
Сообщение #1005


Учитель
Group Icon
Группа: Модераторы
Регистрация: 16.05.2010
Пользователь №: 21 553


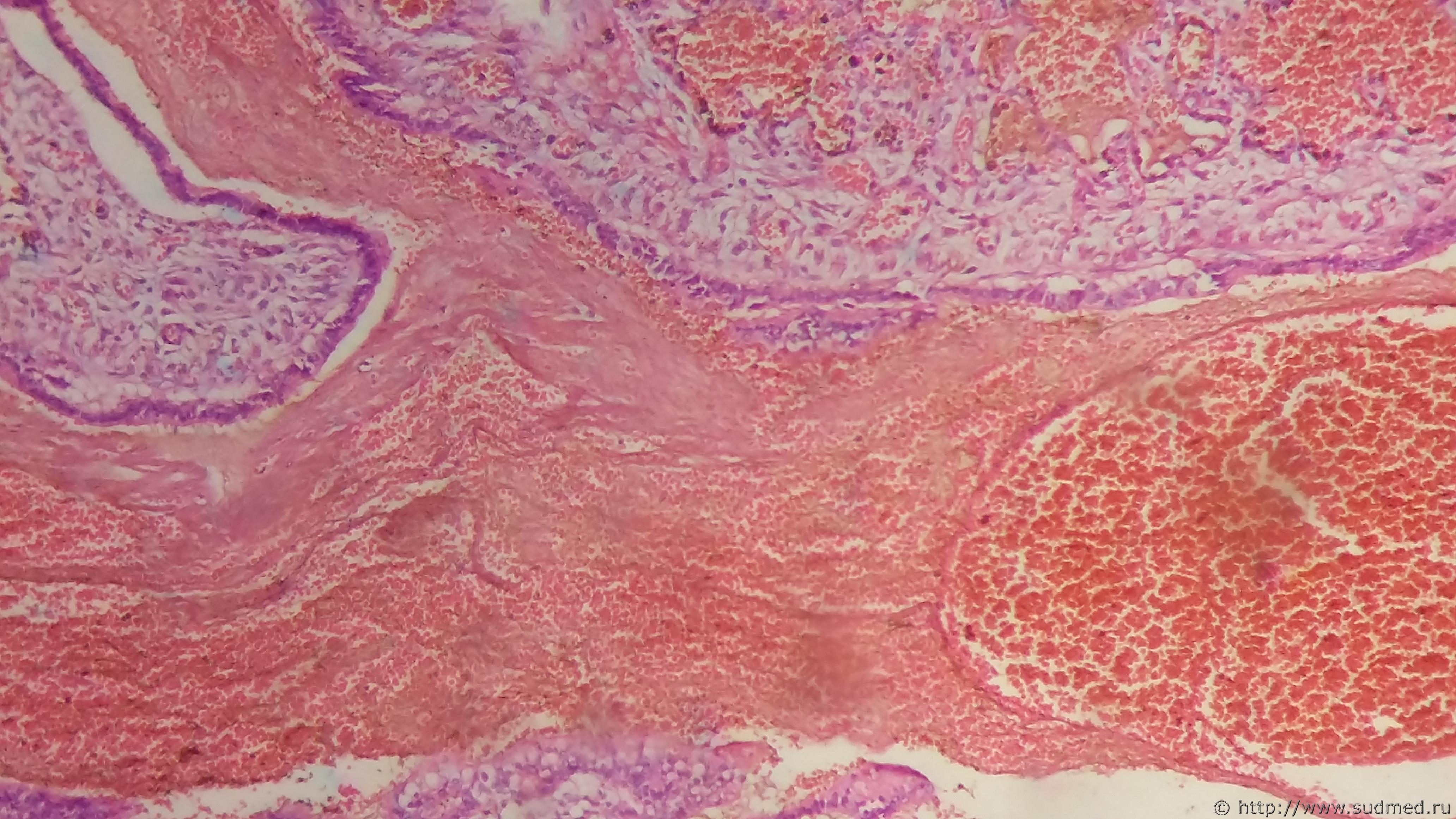
Острый миокардит неуточнённый + экссудативный фибринозно-геморрагический перикардит.
На 2 фото перикард изнутри.
На последнем фото собранное сердце после его вскрытия.

Сообщение отредактировал Медик - 19.09.2018 - 13:03


Эскизы прикрепленных изображений
Судебная медицина - Прикрепленное изображение Судебная медицина - Прикрепленное изображение Судебная медицина - Прикрепленное изображение Судебная медицина - Прикрепленное изображение
Пользователь offline
К началу страницы
+Ответить с цитированием

75 страниц V « < 65 66 67 68 69 > » 



- Обратная связь Сейчас: 12.12.2025 - 01:41