Здравствуйте, гость ( Вход | Регистрация )

Форум судебных медиков России
6 страниц V < 1 2 3 4 5 > »   
>

Гистологическое исследование, Давность эпидуральных гематом

>
FILIN
сообщение 8.07.2012 - 21:46
Сообщение #31


ГУРУ ФСМ
Group Icon
Группа: Модераторы
Регистрация: 22.08.2004
Из: Владимирская губерния
Пользователь №: 116


Unior
Призываю Вас к корректности!
Случай не интерны обсуждают и не случайные прохожие.

Что касается Вашей рекомендации - штамп. И штамп для танатолога. Вот он-то действительно обладает возможностью и изучить материалы уголовного дела (гистолог этого лишен), и сопоставить данные вскрытия и данные микроскопии.
Пользователь offline
К началу страницы
+Ответить с цитированием
Unior
сообщение 8.07.2012 - 21:50
Сообщение #32


Продвинутый участник

Группа: СМЭ
Регистрация: 13.10.2011
Из: хутор Рудка
Пользователь №: 29 337


Цитата(sbz @ 8.07.2012 - 21:36)
"Я о временном интервале час-4-10-24 час-год-век

У "мелкоскоп" глянуть надобно, да и танатолог чё в "башке" видел то? А может "предмет исследования" с месяц в реанимации "мультики" смотрел?
У меня в практике был случай, примерно, 9 дней чел в коме с ЧМТ лежал, а потом в гист. препаратах никакой реакции (клеточной), вообще нет, а Вы час-год, тут разбираться надо исчо!
Пользователь offline
К началу страницы
+Ответить с цитированием
Медик
сообщение 8.07.2012 - 22:01
Сообщение #33


Учитель
Group Icon
Группа: Модераторы
Регистрация: 16.05.2010
Пользователь №: 21 553


Цитата(Unior @ 8.07.2012 - 22:29)

Вас интересуют сроки? Собирите анемнез (материалы дела), результаты вскрытия (объем и состав гематомы), гистологию в конце-концов, может срок причинения травмы и установите, ИМХО.

Всё так,но насколько я понял топикстартера,речь идёт о микроскопической диагностике.
Пользователь offline
К началу страницы
+Ответить с цитированием
sbz
сообщение 8.07.2012 - 22:02
Сообщение #34


Магистр форума

Группа: СМЭ
Регистрация: 13.10.2005
Пользователь №: 858


Цитата(Unior @ 8.07.2012 - 22:50)
У "мелкоскоп" глянуть надобно, да и танатолог чё в "башке" видел то? А может "предмет исследования" с месяц в реанимации "мультики" смотрел?
У меня в практике был случай, примерно, 9 дней чел в коме с ЧМТ лежал, а потом в гист. препаратах никакой реакции (клеточной), вообще нет, а Вы час-год, тут разбираться надо исчо!


Очень просто
раз объяснить типа Заслуженному врачу РФ ЧЁ брать
Пользователь offline
К началу страницы
+Ответить с цитированием
Unior
сообщение 8.07.2012 - 22:06
Сообщение #35


Продвинутый участник

Группа: СМЭ
Регистрация: 13.10.2011
Из: хутор Рудка
Пользователь №: 29 337


Цитата(FILIN @ 8.07.2012 - 21:46)
Unior
Призываю Вас к корректности!
Случай не интерны обсуждают и не случайные прохожие...

Да, конечно, тем более мы не знаем кто такая "Мэг"
Пользователь offline
К началу страницы
+Ответить с цитированием
FILIN
сообщение 8.07.2012 - 22:11
Сообщение #36


ГУРУ ФСМ
Group Icon
Группа: Модераторы
Регистрация: 22.08.2004
Из: Владимирская губерния
Пользователь №: 116


Как обычно.
Начался третий веб и начался флуд.
У кого есть что сказать по существу темы - выскзывайтесь.
Завтра закрою.
Пользователь offline
К началу страницы
+Ответить с цитированием
Unior
сообщение 8.07.2012 - 22:24
Сообщение #37


Продвинутый участник

Группа: СМЭ
Регистрация: 13.10.2011
Из: хутор Рудка
Пользователь №: 29 337


Цитата(Черная Пантера @ 31.10.2011 - 10:38)
Подскажите, какая микроскопическая картина эпидуральной гематомы в первые сутки и на 2-е - 3-и сутки? Целесообразна ли окраска по Перлсу?

!. Не знаю.
2. В этом временном промежутке (2-3 сут) окраска по Перлсу не целесообразна во все.
А вот ради того, чтобы "высказаться Заслуженному Врачу РФ "ЧЁ" брать" темы конечно жалко smile.gif
Пользователь offline
К началу страницы
+Ответить с цитированием
Unior
сообщение 9.07.2012 - 09:24
Сообщение #38


Продвинутый участник

Группа: СМЭ
Регистрация: 13.10.2011
Из: хутор Рудка
Пользователь №: 29 337


Ладно, пока тему не закрыли.
О "тесном" контакте гистолога с танатологом: Мег, берите вскрывавшего этот случай эксперта "за душу" и узнайте откуда он брал (или отдирал!) твердую оболочку, если это с области какого-либо синуса, Ваши фибробласты вполне могут оказаться эдотелием арахноидальных ворсинок.
Фото пока не предоставлю, в связи с цейтнотом, но пару случаев было, когда общая морф. картина ЧМТ не "сходилась" с реактивными изменениями в твердой оболочке, "допрос с пристрастием" танатолога давал область верхнего сагитального синуса.
Пользователь offline
К началу страницы
+Ответить с цитированием
jaklin
сообщение 9.07.2012 - 19:36
Сообщение #39


Продвинутый участник

Группа: СМЭ
Регистрация: 22.07.2011
Пользователь №: 28 038


Цитата(Unior @ 9.07.2012 - 09:24)
Ладно, пока тему не закрыли.
О "тесном" контакте гистолога с танатологом: Мег, берите вскрывавшего этот случай эксперта "за душу" и узнайте откуда он брал (или отдирал!) твердую оболочку,........... пару случаев было, когда общая морф. картина ЧМТ не "сходилась" с реактивными изменениями в твердой оболочке, "допрос с пристрастием" танатолога давал область верхнего сагитального синуса.


Иногда и допрос с пристрастием не помогает. С пеной у рта танатологичка наша мне доказывала: Со слов родственников, бабуля упала 7 дней назад, гематома была спаяна с ТМО. А там даже 12-ти часов не натянешь. Я ей ответила: есть морфологические критерии, которым я верю больше, чем чьим-то родственникам. Сколько раз приходили танатологи и говорили, что зажержанные подозреваемые признались, что били в такое-то время. Но картина никак в это времы не вписывалась.
А по поводу гематомы под ТМО от Мэг, хотелсь бы уточнить, как лежали клетки белой крови ? Ели их было кране мало - давность оч.мала - примерно до 1-2ч. Если все-таки они осели на фибрине - чуть больше. К концу первых суток м.появиться едииничные макрофаги. Все так же будет зависеть от возраста и состояния организма (кома, алкаголизм, наркомания, ребенок или старик). Лучше все-таки увидеть микрофото, чем d_guess.gif

Сообщение отредактировал jaklin - 9.07.2012 - 19:36
Пользователь offline
К началу страницы
+Ответить с цитированием
FILIN
сообщение 9.07.2012 - 19:59
Сообщение #40


ГУРУ ФСМ
Group Icon
Группа: Модераторы
Регистрация: 22.08.2004
Из: Владимирская губерния
Пользователь №: 116


jaklin
В первые 1-2 часа СДГ представлена только жидкой кровью, возможно, с единичными небольшими свертками.
По Вашему случаю - вероятен вариант, когда правы обе. 7 суток назад образовалась первая гематома, около 12 часов назад образовалась вторая (здесь уже думать надо - травматическа, из того же сусуда что и первая после лизиса тромба, из начальных новообразующихся сосудов в самой гематоме). В двух последних вариантах - травма всё равно одна.
Пользователь offline
К началу страницы
+Ответить с цитированием
Мэг
сообщение 9.07.2012 - 20:09
Сообщение #41


Претендент

Группа: Участники
Регистрация: 27.02.2012
Пользователь №: 31 681


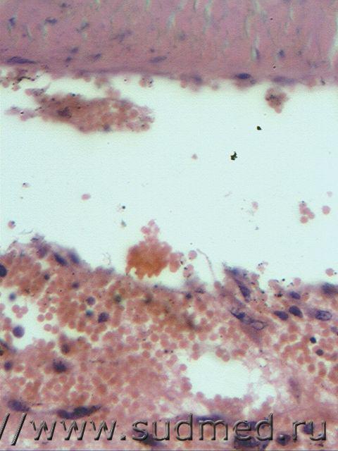
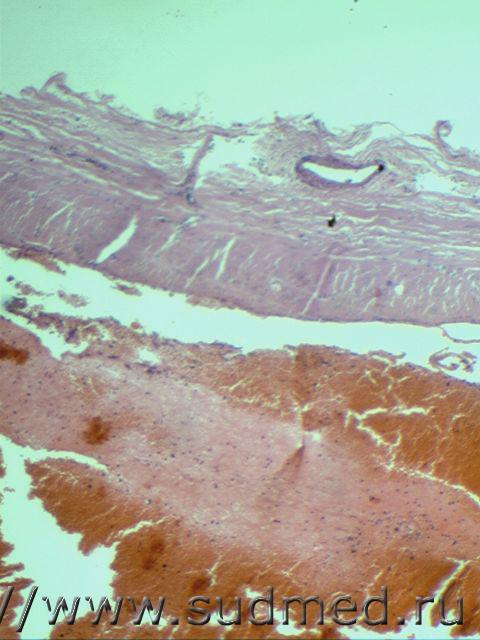
Согласна, допросы с пристратием порой мало чего дают. Поговорила сегодня с танатологом - отвечает, что гематома макро похожа на свежую, какими-либо обстоятельствами получения травмы не владеет.
В гематоме лейкоцитов мало, единичные нити фибрина (на фото плохо видно), а клетки (фибробласты?) получились почетче.
Судебная медицина - Прикрепленное изображение Судебная медицина - Прикрепленное изображениеСудебная медицина - Прикрепленное изображениеСудебная медицина - Прикрепленное изображение

Пользователь offline
К началу страницы
+Ответить с цитированием
sbz
сообщение 9.07.2012 - 21:08
Сообщение #42


Магистр форума

Группа: СМЭ
Регистрация: 13.10.2005
Пользователь №: 858


[/quote]

Так ведь присутствуют фибробласты в сопряжении с ТМО, есть лейкоцитарный детрит (лейкоцитарные тельца) Правда фибробласты слегка тучноваты (а хорошо ли профиксирован материал?) Вижу один сидерофаг
Давность гематомы в обозначенной зоне более 2-х суток

Сообщение отредактировал sbz - 9.07.2012 - 21:09
Пользователь offline
К началу страницы
+Ответить с цитированием
Медик
сообщение 9.07.2012 - 22:25
Сообщение #43


Учитель
Group Icon
Группа: Модераторы
Регистрация: 16.05.2010
Пользователь №: 21 553


Фото.
ТМО,разные эритроциты,фибробласты,нейтрофильные лейкоциты,фибрин,формалиновый пигмент.
Не могу чётко раглядеть,есть ли среди пигмента гемосидерин?Вроде на первом фото внизу справа он есть.

Сообщение отредактировал медик - 9.07.2012 - 22:28
Пользователь offline
К началу страницы
+Ответить с цитированием
sbz
сообщение 9.07.2012 - 22:53
Сообщение #44


Магистр форума

Группа: СМЭ
Регистрация: 13.10.2005
Пользователь №: 858


Цитата(медик @ 9.07.2012 - 23:25)
Фото.
ТМО,разные эритроциты,фибробласты,нейтрофильные лейкоциты,фибрин,формалиновый пигмент.
Не могу чётко раглядеть,есть ли среди пигмента гемосидерин?Вроде на первом фото внизу справа он есть.

А это и самое информативное фото. Первый блин зачастую и не бывает комом...
Пользователь offline
К началу страницы
+Ответить с цитированием
Unior
сообщение 10.07.2012 - 09:15
Сообщение #45


Продвинутый участник

Группа: СМЭ
Регистрация: 13.10.2011
Из: хутор Рудка
Пользователь №: 29 337


Ой, господа, что-то "гложет меня червь сомнения" (всё же фраза доктора Немо стала крылатой) позвольте с Вами не согласиться, с обоими, ну, с чего Вы взяли, что клетки на первом, втором и четвертом фото фибробласты - связи с самой оболочкой нет, выраженных реактивных изменений в самой оболочке нет, может это эндотелиоциты, чтобы развеять мои сомнения не мешало б покрасить на соединительную ткань, хоть по ван-Гизон.
По-поводу сидерофагов и гемосидерина - забываем, господа, забываем - желтая кровяная соль в таких делах никогда не мешает (Перлс)
С фибрином на третьем фото, не спорю, но какой он - рыхлый, плотный, явно это не тонкие нити.
Ладно, это всё придирки, может реактивные изменения в самой оболочке лучше посмотреть?
Пользователь offline
К началу страницы
+Ответить с цитированием

6 страниц V < 1 2 3 4 5 > » 



- Обратная связь Сейчас: 11.11.2025 - 11:39