Здравствуйте, гость ( Вход | Регистрация )

Форум судебных медиков России
3 страниц V  1 2 3 >  
>

Морфология инфаркта миокарда, донекротическая стадия

>
Angelina
сообщение 23.11.2011 - 14:20
Сообщение #1


Вновь прибывший

Группа: Участники
Регистрация: 5.11.2011
Пользователь №: 29 780


Уважаемые коллеги! У кого есть пропись окраски по Селье, не поделитесь? И какая окраска все таки предпочтительнее (из Вашего опыта) по Ли или Селье?
Пользователь offline
К началу страницы
+Ответить с цитированием
Unior
сообщение 23.11.2011 - 16:39
Сообщение #2


Продвинутый участник

Группа: СМЭ
Регистрация: 13.10.2011
Из: хутор Рудка
Пользователь №: 29 337


Цитата(Angelina @ 23.11.2011 - 15:20)
Уважаемые коллеги! У кого есть пропись окраски по Селье, не поделитесь? И какая окраска все таки предпочтительнее (из Вашего опыта) по Ли или Селье?

А Вам зачем? Не сочтите за грубость. Методику окраски дать или, там, "Нашего опыта" не жалко, этого добра предостаточно, ещё накопленного с конца 70-х годов прошлого века не одним поколением гистологов, даже только в моей лаборатории, но для чего Вам ЭТО (если не секрет, конечно)?
Если в вашей лаборатории есть поляризационная микроскопия или фазовый контраст, то окраска по Селье отпадает за ненадобностью, а к окраске по Ли (ГОФП) необходим лаборант, желательно с десятилетним стажем работы с этой методикой и эксперт, у которого глаза, руки и мозги ростут в соответствующих местах и, главное, общее разумение, что искать, что можно получить, и как правильно оценить полученный результат.
А сама окраска ГОФП интересная, "делов" с ней можно натворить, ого-го. Меня даже немного удивило, почему это на ФСМ оную методику не обуждали.
Пользователь offline
К началу страницы
+Ответить с цитированием
expertms
сообщение 23.11.2011 - 19:32
Сообщение #3


Продвинутый участник

Группа: СМЭ
Регистрация: 24.05.2011
Пользователь №: 27 243


Уважаемый Юниор. Присоединюсь к просьбе. Расскажите, какие неожиданности могут подстерегать (блин) при окраске ГОФП. Нашли недавно с зав. её. Ни разу, видимо, не пользовались. Хочу попробовать.
ЗЫ. У нас ни поляризации, ни фазово-контрастной, только ГЭ. Ваще больше нет ничо.
Пользователь offline
К началу страницы
+Ответить с цитированием
Angelina
сообщение 24.11.2011 - 11:29
Сообщение #4


Вновь прибывший

Группа: Участники
Регистрация: 5.11.2011
Пользователь №: 29 780


Поляризационная микроскопия - это хорошо, но это только в-будущем, лаборанты - опытные, но методикой ГОФП не владеют, т.к. не делали не разу, поэтому и хотим попробовать по Селье.
Пользователь offline
К началу страницы
+Ответить с цитированием
Unior
сообщение 24.11.2011 - 15:23
Сообщение #5


Продвинутый участник

Группа: СМЭ
Регистрация: 13.10.2011
Из: хутор Рудка
Пользователь №: 29 337


Уважаемые, коллеги!
Я к форуму, равное, как и к интернету, вообще, только в этом году приобщился, и то только из-за того, что этот самый и-нет ко мне в кабинет провели. За всё время работы я даже подумать не мог, что в "сетке" можно найти что-то стоящее, да, я многое пропустил, но не потерял, а почему? Да потому, что регулярно посещал медицинскую библиотеку, чего и вам советую . . . или собрать такую у себя в квартире, как некоторые smile.gif . Такие фамилии, как Меркулов, Лилли, Ромейс, вам о чём-то говорят? Там есть ВСЁ, и поскольку уже, что-либо новенькое выдумать врят ли кому повезёт, эти книги всегда останутся актуальными.
Ну, а теперь по теме. Вот я не поленился и пролистал форум до конца, нашел тему, девятую по счету, так что методику окраски по Ли можно найти там. Про эту окраску, вообще, можно сутками рассказывать.
Про Селье. Меркулов пишет: Судебная медицина - Прикрепленный файл  _____.pdf ( 52.38 килобайт ) Кол-во скачиваний:  1755

Целлариус Ю.Г. и Л.А Семенова в "Гистопатологии очаговых метаболических повреждений миокарда" на стр. 39, примерно такое "... фуксинофилия миокардиальных клеток - результат избирательного окрашивания сокращенных миофибрилл ... фуксинофильная дегенерация соответствует контрактурной дегенерации. Степень фуксинофилии не определяет достоверно степени тяжести повреждения ... Поэтому метод Селье нельзя считать достаточно надёжным для определения ранних стадий повреждения миокарда ... предпочтительней поляризационная и фазово-контрастная микроскопия в сочетании с гистохимическими реакциями ..."
Ну, а про ГОФП (метод Ли) можно целую лекцию написать, если я вам ещё не надоел.

Да, в дополнение. Из своего опыта, быстрее в своём городе найти поляризатор или фазовый контраст, чем заставить лаборанта покрасить по Селье smile.gif
Пользователь offline
К началу страницы
+Ответить с цитированием
щепа
сообщение 24.11.2011 - 19:31
Сообщение #6


Опытный участник

Группа: СМЭ
Регистрация: 9.01.2011
Из: ЮФО
Пользователь №: 24 921


Что по Ли,что по Селье окраска очень колготная и неоднозначная! Мне больше нравится Рего.
Пользователь offline
К началу страницы
+Ответить с цитированием
Медик
сообщение 24.11.2011 - 21:40
Сообщение #7


Учитель
Group Icon
Группа: Модераторы
Регистрация: 16.05.2010
Пользователь №: 21 553


Коллеги,а стоит ли так "заморачиваться"?ИМ или ОКН-это столь важно?
Да и существуют проба с теллуритом калия,реакция с нитро-СТ.
Пользователь offline
К началу страницы
+Ответить с цитированием
expertms
сообщение 25.11.2011 - 08:52
Сообщение #8


Продвинутый участник

Группа: СМЭ
Регистрация: 24.05.2011
Пользователь №: 27 243


Уважаемый Юниор! Книги обязательно читаем. Всю патогистологию по книгам практически с нуля. Методика у меня есть, реактивы тоже. Простите великодушно за настойчивость/навязчивость. Я ж ведь только и хотела узнать, поскольку Вы заикнулись, что дело муторное, на чём можно запороться? Коль уж проходили через это, не поделитесь? Я попробую, пораскину мозгами smile.gif а там уж посмотрим, стоит ли овчинка выделки. Скучно на ГЭ всё смотреть.
Пользователь offline
К началу страницы
+Ответить с цитированием
Unior
сообщение 25.11.2011 - 12:16
Сообщение #9


Продвинутый участник

Группа: СМЭ
Регистрация: 13.10.2011
Из: хутор Рудка
Пользователь №: 29 337


Хорошо.
Прошу понять меня правильно, я не агитирую за ГОФП, тем более, что часть используемых реактивов уже входят в список прекурсоров, ладно буду краток...
В отделении эта методика появилась благодоря одной грамотной тётеньки и этой статье:
Судебная медицина - Прикрепленный файл  _________.pdf ( 247.24 килобайт ) Кол-во скачиваний:  3451

И какое-то время (несколько лет) все сердца молодых обязательно красились ГОФП-ом, впоследствии возникали идеи дифференцировать ОИБС и алкогольные отравления, а потом, вообще, начался такой "калавардак" - утопления, повешения тоже давали положительную реакцию, я уже молчу про кровопотерю и шоки, там разные, болезненные состояния, сопровождающиеся агональным периодом, гнилостные изменения сюда же приплюсовали и всё, как-то забросили этот ГОФП, а харьковчане совсем на Рего соскочили.
Несправедливо, подумал я и решил разобраться. Пошёл в библиотеку, правда, оригинальных работ Lie не нашёл, но попалась брошюрка: "Морфологические и гистохимические изменения в сердце при инфаркте миокарда, осложнённом кардиогенным шоком" Автореферат, Харьков, 1973 г. Чернышев А. И.
А теперь цитатами:
"...В последнее время J. Т. Lie и соавт. (1971) был предложен новый гистохимический метод морфологической диагностики ишемии миокарда, куда в качестве основных красителей входят квасцовый гематоксилин, основной фуксин и раствор пикриновой кислоты в абсолютном ацетоне (НВFР). По данным авторов, метод пригоден для диагностики ишемии как на экспериментальном, так и на секционном материале, причем трупный аутолиз не влияет на результаты окраски в пределах 36 часов после смерти. Уже через полчаса после перевязки венечной артерии мышечные волокна зоны ишемии воспринимали окраску HBFP, саркоплазма их окрашивалась в красный с оранжевым оттенком цвет. Наиболее интенсивный в перинуклеарной зоне. В то же время большинство других гистохимических реакций (в частности ШИК реакция) еще были отрицательными в зоне ишемии. Нормальные мышечные волокна окрашивались пикриновой кислотой в желтый цвет. В некротизированных мышечных волокнах (спустя 48 часов после перевязки) реакция на HBFP исчезала. J. T. Lie с соавт. считают, что эта методика отличается от окраски по Селье по результатам, и вместо термина «фуксинофилия», принятого для обозначения изменений мышечных волокон, документируемых окраской по Селье, предлагают термин «фуксиноррагия». По их мнению, «фуксиноррагический» материал имеет как экзогенное по отношению к миокардиоцитам, так и эндогенное происхождение, отличается от ШИК-положительного материала по тинкториальным свойствам и, видимо, является протеином или комплексом протеина с фосфолипидами..."
Потом следует, как они всё прекрасно окрасили, что получили, да, и ещё:
"...Сравнение окраски по Ли с другими общепринятыми, методами исследования показало, что по локализации изменения, выявляемые ею, примерно совпадают с зоной «фуксинофилии» при окраске по Селье. Однако окраска но Ли является более демонстративной, более рельефно подчеркивает границы зон ишемии и на результаты ее меньше влияет трупный аутолиз. Мы разделяем мнение авторов метода, что окраска HBFP способна выявить более ранние изменения в миокарде, чем другие неэнзимные методы исследования. При окраске железным гематоксилином по Гайденгайну (а я так думаю, что он же и Рего) в зоне ишемии (до 12 часов) красятся в черный цвет лишь единичные мышечные волокна, преимущественно примыкающие к интрамуральным артериям и венам. Контрактурные сокращения мышечных волокон, выявляемые при поляризационной микроскопии, обычно хорошо бывают видны в препаратах, окрашенных по методу Ли..."
Выводы делайте сами, если хотите узнать моё мнение, то чуть позже - работа зовёт.

Сообщение отредактировал Unior - 26.11.2011 - 00:45
Пользователь offline
К началу страницы
+Ответить с цитированием
Unior
сообщение 25.11.2011 - 23:01
Сообщение #10


Продвинутый участник

Группа: СМЭ
Регистрация: 13.10.2011
Из: хутор Рудка
Пользователь №: 29 337


Да-а, тогда Хаит, нет, не правильно - Марк Моисеевич, первый начал... придумал свою пламенную фотометрию (светлая Ему память), а что гистологи, ставки должны терять? ХИБС-ы то уходят, "гвалт"- начали кричать..., ай-яй-яй, вместе могли чего "натворить", ай, не мне решать...

Сообщение отредактировал Unior - 26.11.2011 - 00:46
Пользователь offline
К началу страницы
+Ответить с цитированием
expertms
сообщение 26.11.2011 - 11:30
Сообщение #11


Продвинутый участник

Группа: СМЭ
Регистрация: 24.05.2011
Пользователь №: 27 243


Спасибо большое!
Пользователь offline
К началу страницы
+Ответить с цитированием
Dissector
сообщение 26.11.2011 - 23:37
Сообщение #12


Опытный участник

Группа: Участники
Регистрация: 18.08.2008
Из: Украина, Сумы
Пользователь №: 9 385


Цитата(Unior @ 26.11.2011 - 00:01)
Да-а, тогда Хаит, нет, не правильно - Марк Моисеевич, первый начал... придумал свою пламенную фотометрию (светлая Ему память), а что гистологи, ставки должны терять? ХИБС-ы то уходят, "гвалт"- начали кричать..., ай-яй-яй, вместе могли чего "натворить", ай, не мне решать...
Ничего не понял?!?!?!?!? Одни эмоции! Но тема интересная, и твое мнение, Unior, как специалиста в использовании обсуждаемых окрасок, очень интересует! Можно по конкретнее?
Заранее благодарен.
Пользователь offline
К началу страницы
+Ответить с цитированием
Unior
сообщение 28.11.2011 - 11:29
Сообщение #13


Продвинутый участник

Группа: СМЭ
Регистрация: 13.10.2011
Из: хутор Рудка
Пользователь №: 29 337


Цитата(Dissector @ 27.11.2011 - 00:37)
...Одни эмоции! Можно по конкретнее?...

Хорошо. Нет ничего нового, чем хорошо забытое старое! Перенесёмся в далёкие и славные 70-ые...
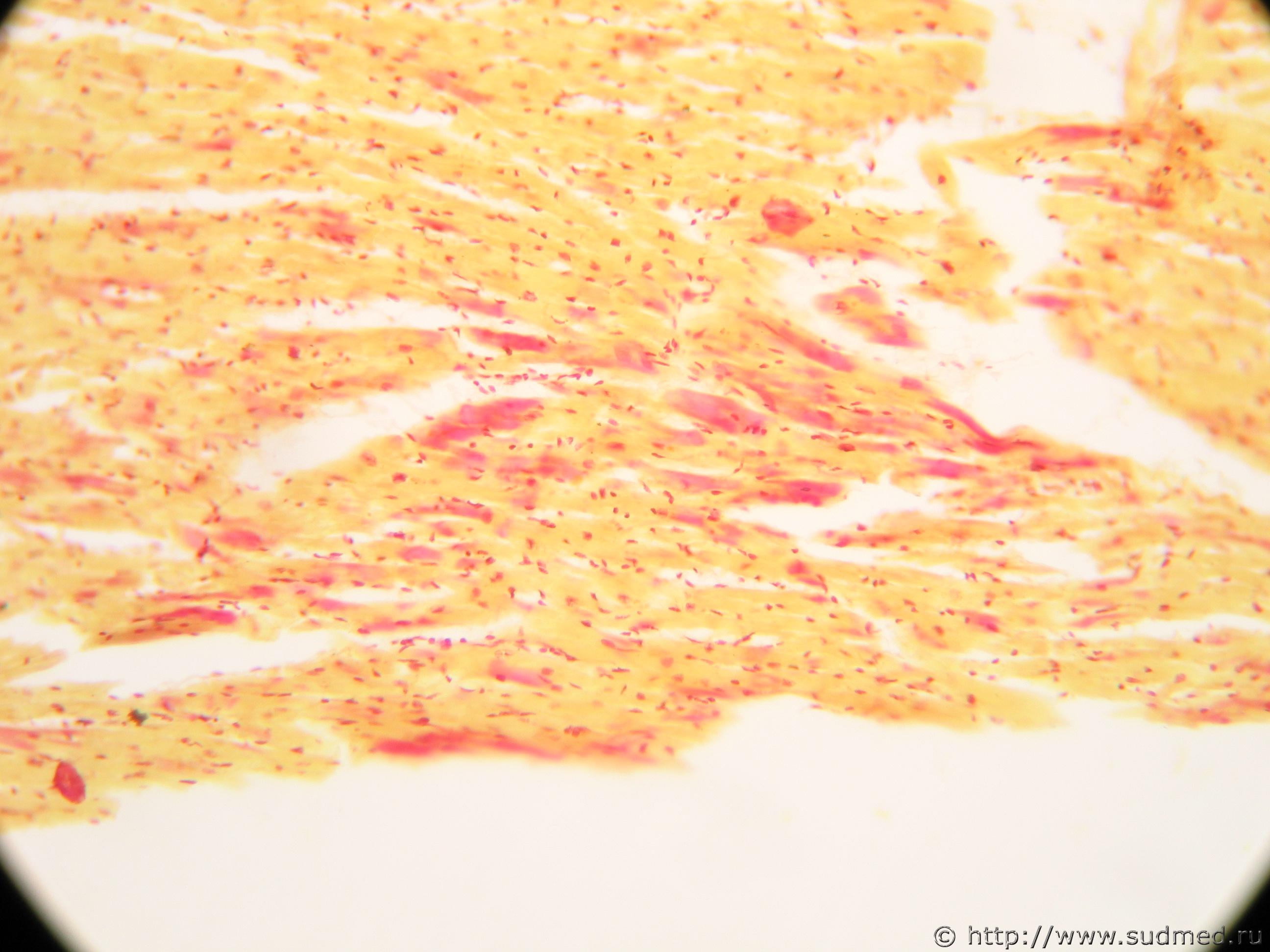
По литературным данным того времени (работы Чечулина, Целлариуса, Семеновой, выше упомянутого Чернышева), учитывая наличие множественных повреждений миокарда вне инфаркта, в виде отдельных груп и целых пластов кардиомиоцитов, окрашенных в отенки красного по Селье и ГОФП есть смысл разделить на коронарогенное и некоронарогенное повреждение миокарда. Повреждение кардиомиоцитов в зоне коронарогенной ишемии локализуются чаще в интрамуральных отделах миокарда, тогда как для очаговых повреждений в интактном миокарде, например, при кардиогенном шоке более характерна субэндокардиальная и субэпикардиальная локализация. При этом полнокровие сосудов, стаз крови в них и очаговые кровоизлияния находятся непосредственно в зоне повреждения мышечных волокон, тогда как при коронарогенной ишемии гиперемия сосудов наблюдается по периферии очагов повреждения. Итенсивность окраски учитывать или нет, не могу сказать, дело ваше.
Судебная медицина - Прикрепленное изображение Судебная медицина - Прикрепленное изображение Судебная медицина - Прикрепленное изображение Судебная медицина - Прикрепленное изображение
Это ГОФП
А если ещё работать в симбиозе с криминалистами (определение К/Na соотношения в миокарде методом пламенной фотометрии), то получается неплохое подспорье эксперту в диагностике ОКН.
Но, к пламенной фотометрии оборудование надо, криминалиста толкового и вытяжку не помешало бы, "бо дюже воняе".
А к гистохимии отношение уже не то, ладно, тут и не в лаборанте дело, "и зайца можно научить курить", просто из-за начавшегося жесткого контроля за расходом реактивов, объяснять куда за месяц пошла пятилитровая канистра ацетона, а трёхлитровая банка гематоксилина почему-то месяцами стоит, всё сложнее.
Да, и эксперты пошли ныне лихие, чего им над хибс-ом заморачиваться, если аргумент у них и так железный: "я и без вас на вскрытии хибс видел" и точка.

Сообщение отредактировал Unior - 28.11.2011 - 12:37
Пользователь offline
К началу страницы
+Ответить с цитированием
щепа
сообщение 28.11.2011 - 15:53
Сообщение #14


Опытный участник

Группа: СМЭ
Регистрация: 9.01.2011
Из: ЮФО
Пользователь №: 24 921


Это Ваши лаборанты красили? Респект-респект! Очень наглядно. У моих получается похуже....
Пользователь offline
К началу страницы
+Ответить с цитированием
Unior
сообщение 28.11.2011 - 16:13
Сообщение #15


Продвинутый участник

Группа: СМЭ
Регистрация: 13.10.2011
Из: хутор Рудка
Пользователь №: 29 337


Цитата(щепа @ 28.11.2011 - 16:53)
Это Ваши лаборанты красили? ...

Конечно. У меня ещё таких фотографий масса, тут же как, лучше, когда два и больше лаборанта один и тотже блок красят, а ещё лучше повторить через день, вот когда результат совпадёт, можно предположить, что окраска прошла верно. Опять же, растворы свежие должны быть, а отсюда и расход реактивов, в ацетоне и пикринке не передержать, мало - всё красное будет, больше вымоется всё.
Лаборанты гистохимию не любят - жуть! Когда раньше выходил со словами: "что девочки? Новую окраску изучать будем", разбегались аки мыши.

Сообщение отредактировал Unior - 28.11.2011 - 17:28
Пользователь offline
К началу страницы
+Ответить с цитированием

3 страниц V  1 2 3 >



- Обратная связь Сейчас: 17.12.2025 - 01:50